


































The holidays could cause you to feel anxious or even cause you to rearrange your social schedule. Why not treat yourself to a present of dental veneers now that the holidays are over?
A veneer is a very thin shell made of porcelain that is custom-made to cover the front section of an individual tooth. Veneers are often made to seem like natural teeth. You can use veneers to give a single tooth or numerous teeth the appearance of being straighter and more even, and this will give you a lovely smile. Veneers are a type of dental restoration that require very little preparation of the tooth, can hide a variety of flaws in the tooth's appearance, and, with proper maintenance, can last for many years. You only need two appointments to have the beautiful smile you've always dreamed of having. How Good Of A Candidate Am I To Get Veneers? Your grin is one of a kind, and as a result, Dr. Cohan will personalize your treatment in order to make sure that your veneers are tailored especially to meet your requirements. Veneers are able to address any of the following cosmetic issues, regardless of whether you wish to change just one tooth or your entire smile: gaps between teeth, chips, cracks, and discoloration. • Teeth that are malformed or have an unusual shape • Discoloration of the teeth caused by tetracycline or fluorosis • Spaces and gaps between the teeth • Teeth that have been chipped or fractured Benefits of Dental Veneers Dental veneers are not only a fantastic way to improve the appearance of your teeth, but they also provide many other benefits to your teeth and to your overall dental health. Veneers are an excellent approach to improve the look of your teeth. Your natural teeth will receive additional reinforcement and protection once veneers are placed on them by a dentist. Teeth that have been chipped or worn down are more susceptible to further injury because they are weaker. You are providing the underlying tooth with more support, and you are preventing any further damage from occurring to the tooth by placing a hard coating over it in the form of a porcelain veneer. Dental veneers offer the most lifelike appearance of any restorative dental treatment. When custom designing each particular veneer, Dr. Cohan works with porcelain of the greatest possible quality. Extra care is made to select the ideal hue, shading, form, and size for you, based on your preferences and preferences alone. They are resistant to stains and will keep their beautiful appearance for many years to come. It is not difficult to maintain veneers, and they should be cared for in the same manner as natural teeth. It is advisable to brush your teeth at least twice a day with a toothbrush that has soft bristles and toothpaste that does not include abrasive ingredients. Because each tooth has its own veneer with smooth edges, flossing is a breeze because there is no chance of the floss getting caught in the spaces between the teeth. To ensure that your veneers remain in good health, it is essential to visit your dentist for routine preventative care on a regular basis. Porcelain veneers not only have a very natural appearance, but they also have a high level of durability and can last for a very long time. Other dental operations, such as dental bonding, have a lifespan of a few years before they need to be redone. You should anticipate dental veneers to endure for several years, and perhaps decades, if you take care of them properly at home. The resilience of porcelain ensures that it can endure biting into the majority of foods; nevertheless, it is not recommended that you use your teeth to bite nails or open packages. What Steps Are Involved in the Procedure of Getting Dental Veneers? Following the initial consultation, you may find that you are able to start enjoying your new smile sooner than you had anticipated. During this first session, our dentist in Summerlin will analyze the state of your oral health, talk with you if veneers are the best option for you, and identify which teeth could most benefit from having veneers placed on them. To ensure that you are as comfortable as possible throughout the veneer treatment process, local anesthetic will be delivered at the beginning of each consultation. After taking impressions of the teeth in question, a very minute portion of the enamel on the teeth in question will be removed using a buffing instrument. In order to tailor-make your dental veneers, the lab will get imprints of your teeth as well as the color and shape preferences you provide. You will leave this session with temporary veneers to assist alleviate any tooth sensitivity you may be experiencing as a result of your treatment. Your teeth are going to be prepared for the placement of permanent porcelain veneers, and your next appointment is going to be for that. Dr. Cohan will make any and all necessary modifications to ensure that the outcomes are ideal. After that, you can carry on with the rest of your day while admiring your improved grin. Why Should You Go with Dr. Cohan? You deserve to have the smile of your dreams, and at Summerlin Dental Solutions, we realize that you want to exhibit the finest version of yourself during the holiday season, and that you want to do so with confidence. Dental veneers are a type of cosmetic dental technique that, when completed in just two visits, can give a patient an amazing smile that appears completely natural. This holiday season, you might want to think about treating yourself to dental veneers as a gift to yourself. One of the dentists in Las Vegas with the most experience in the field of cosmetic dentistry is Dr. Cohan. In addition, she has a strong commitment to giving each patient a gorgeous smile that nevertheless retains its natural appearance. Your smile can undergo anything from a minor adjustment to a significant makeover with the help of dental veneers. You have complete control over the outcome. Through collaborative effort with Dr. Cohan and the wonderful members of her team, you can realize the grin you've always envisioned for yourself. Make Your Appointment for Your Consultation Today! Investing in dental veneers for yourself will not only give you the confidence you need to look your best throughout the Christmas season, but it will also help you save money. You can anticipate receiving the greatest quality dental care at Summerlin Dental Solutions, which is located in the Summerlin neighborhood of Las Vegas. You can count on Dr. Cohan and her incredible staff to provide you with the highest quality tailored care that is catered to your specific need. We are looking forward to seeing your refreshed grin!
CLICK HERE TO SCHEDULE YOUR APPOINTMENT!
GET TO KNOW YOUR BEST DENTIST IN SUMMERLIN
Dr. Marianne Cohan was voted 15- time Best of Las Vegas from The Las Vegas Review-Journal. She received her Doctor of Dental Surgery (DDS) from the State University of New York at Buffalo in 1992.

With an emphasis on cosmetic dentistry, complete makeovers, and implant dentistry, Dr. Cohan is committed to continuing education and feels that we never stop learning. Dr. Cohan takes pride in using high-powered magnification to perform minimally invasive restorative dentistry. She uses all the latest technological advances including digital radiography, digital photography, computer simulations, and high-resolution pictures of your proposed treatment on 55-inch screens. She also utilizes CBCT (cone beam) and laser technology.
Dr. Cohan is always available to her patients and is available for any dental emergency.
Discover the path to painless dentistry and bid farewell to dental anxiety with our comprehensive guide. Are you one of the many people who dread going to the dentist? You're not alone. Dental anxiety affects millions, preventing them from seeking the necessary dental care they need. But fear not! Our ultimate guide is here to help you overcome your dental fears and transform your dental experience into a comfortable and stress-free one. In this guide, we'll explore a range of strategies, tips, and techniques that can make your dental visits a breeze. From relaxation techniques and sedation options to the latest in dental technology, we'll provide you with the knowledge and tools to alleviate your dental anxiety. Say goodbye to sleepless nights and sweaty palms - our goal is to ensure your dental appointments are something you can look forward to with confidence. No more excuses or delays in getting the dental care you deserve. Step into a new world of painless dentistry, where your comfort and well-being are prioritized. Join us as we embark on this journey together towards a brighter, healthier smile. Understanding Dental Anxiety Dental anxiety is a pervasive issue that affects a significant portion of the population. It manifests as a feeling of unease or dread when faced with the prospect of dental treatment. This anxiety can range from mild nervousness to severe fear, with some individuals experiencing panic attacks at the mere thought of visiting a dentist. Understanding the nature of dental anxiety is crucial for both patients and dental professionals, as it can significantly influence a person's willingness to seek necessary oral care. One of the primary reasons dental anxiety occurs is the fear of pain. Many people have experienced a painful dental procedure or have heard horror stories from friends and family, which can heighten their fear. The anticipation of discomfort can create a cycle of avoidance, where individuals postpone dental visits, leading to worsening dental health and increased anxiety. Furthermore, a lack of understanding about what to expect during a dental appointment can amplify feelings of uncertainty and fear. Additionally, dental anxiety can be exacerbated by past traumatic experiences in the dental chair, whether they were due to the procedure itself or the behavior of the dental staff. Negative experiences can create a lasting impression, making it challenging for individuals to approach future appointments with a positive mindset. Recognizing the various dimensions of dental anxiety is the first step toward addressing it effectively and finding ways to cultivate a more comfortable dental experience. The Impact of Dental Anxiety on Oral Health The consequences of dental anxiety extend beyond immediate discomfort; they can lead to a decline in overall oral health. Individuals who experience dental anxiety often avoid routine check-ups and necessary treatments, resulting in untreated dental issues that can escalate over time. Conditions such as cavities, gum disease, and tooth decay can worsen without regular professional care, leading to more complex and painful procedures in the future. Moreover, the relationship between dental anxiety and oral health can create a vicious cycle. As dental health deteriorates due to neglected care, the anxiety associated with potential treatments can increase, making individuals even less likely to seek help. This avoidance not only hampers their oral health but can also affect their overall well-being, as poor dental health is linked to various systemic issues, including heart disease and diabetes. Additionally, the psychological toll of dental anxiety can impact a person's self-esteem and quality of life. Individuals may feel embarrassed about their dental condition, leading to social withdrawal or avoidance of situations that require them to smile or speak openly. The emotional burden of dental anxiety is significant, emphasizing Understanding Dental Anxiety Dental anxiety is a prevalent issue that affects many individuals, rendering them reluctant to seek essential dental care. This anxiety can manifest in various ways, including feelings of dread, panic attacks, or a general sense of unease when thinking about dental visits. The fear may stem from past negative experiences, the sounds and smells associated with dental procedures, or even the anticipation of discomfort. Recognizing this anxiety as a legitimate concern is the first step toward addressing it effectively. Understanding the psychological aspects of dental anxiety is crucial. Many individuals may not even realize that their feelings are rooted in anxiety rather than a dislike of dental care itself. This realization can help patients differentiate between their feelings and the actual need for dental treatment. By acknowledging that dental anxiety is common, patients can feel empowered to seek solutions and communicate their concerns to their dental professionals, paving the way for a more positive dental experience. Furthermore, it is essential to note that dental anxiety can vary widely among individuals. While some may feel mild discomfort, others experience significant distress that can lead to avoidance of necessary dental appointments. This variance highlights the importance of personalized approaches to managing anxiety, as each patient may require different strategies to feel comfortable and secure in the dental setting. By understanding the nuances of dental anxiety, both patients and providers can work together to create a more supportive and reassuring environment. The Impact of Dental Anxiety on Oral Health The implications of dental anxiety extend far beyond the immediate discomfort of a dental visit; they can significantly impact overall oral health. When individuals avoid dental appointments due to anxiety, they may miss crucial check-ups and treatments, leading to the progression of undiagnosed issues. Conditions like cavities, gum disease, and oral infections can develop silently, escalating into more severe health problems that may ultimately require invasive procedures to rectify. Moreover, the avoidance of dental care can lead to a cycle of worsening anxiety. As dental issues accumulate, the fear of potential pain and discomfort associated with treatment can grow, creating an even greater barrier to seeking help. This cycle can ultimately result in severe oral health problems that not only affect the mouth but can also have implications for overall health, increasing the risk of systemic diseases such as heart disease and diabetes. Additionally, dental anxiety may also influence personal and social aspects of life. Individuals may feel self-conscious about their oral health, leading to a lack of confidence in social situations. This can further contribute to a negative self-image and hinder overall well-being. Understanding the extensive repercussions of dental anxiety emphasizes the need for effective strategies to manage and overcome these fears, promoting a healthier relationship with dental care. Common Causes of Dental Anxiety Dental anxiety can stem from a multitude of sources, and understanding these causes is essential in addressing the issue effectively. One of the most common triggers is a negative past experience, such as painful dental procedures or unempathetic dental staff. These experiences can create lasting impressions that lead to heightened fear and anxiety about future visits. For many, the memories of discomfort or embarrassment can resurface at the mere thought of sitting in a dentist's chair. Another significant factor contributing to dental anxiety is the fear of the unknown. Many patients may feel anxious about not knowing what to expect during their appointment, particularly if they are facing a new procedure or treatment. This uncertainty can lead to a cascade of worries, from the potential pain involved to the outcomes of the procedure. In some cases, patients may also fear that their dental problems could lead to bad news or extensive treatment plans, adding to their anxiety. Additionally, the influence of media and societal perceptions of dentistry cannot be overlooked. Movies, television shows, and even anecdotal stories from friends and family can perpetuate negative stereotypes about dental experiences. These portrayals can exaggerate the pain and discomfort associated with dental visits, instilling fear in individuals who may not have had personal experiences to draw upon. Recognizing these common causes is vital for both patients and dental professionals in developing strategies to alleviate anxiety and foster a more positive dental experience. Overcoming Dental Anxiety: Tips and Techniques Overcoming dental anxiety is a process that often requires a combination of strategies tailored to the individual. One effective approach is to practice relaxation techniques before and during dental visits. Deep breathing exercises, visualization, and mindfulness can help calm nerves and create a sense of control. By focusing on their breath and visualizing a peaceful place, patients can reduce their anxiety levels and approach their appointment with a clearer mindset. Another helpful technique involves desensitization. This method gradually exposes patients to the dental environment in a controlled manner. For instance, a patient might start by visiting the dentist's office just to familiarize themselves with the surroundings, then progress to sitting in the dental chair, and eventually move on to more involved procedures. This gradual exposure can help diminish fear by creating positive associations with the dental experience over time. Additionally, finding a supportive dental team can significantly impact a patient's experience. Open communication about fears and concerns with the dentist and staff can lead to tailored approaches that prioritize comfort. Dentists who take the time to explain procedures, answer questions, and provide reassurance can help create a more positive atmosphere. Building this trust is essential in helping patients feel safe and cared for during their visits. The Importance of Communication Between the Dentist and the Patient Effective communication between the dentist and the patient is paramount in addressing dental anxiety. When patients feel comfortable expressing their fears and concerns, dentists can tailor their approach to meet individual needs. This two-way communication fosters an environment of trust, allowing patients to voice their worries about procedures or past experiences without fear of judgment. Dentists can employ various techniques to enhance communication, such as actively listening, asking open-ended questions, and using empathetic language. By demonstrating understanding and compassion, dental professionals can help patients feel heard and validated, which can alleviate anxiety. Additionally, clearly explaining treatment plans and procedures can demystify the process, reducing the fear of the unknown that often exacerbates anxiety. Moreover, establishing a rapport with patients can encourage ongoing dialogue. Regular check-ins about comfort levels during procedures and soliciting feedback can help dentists modify their techniques in real-time, ensuring that patients feel secure throughout their visit. This collaborative approach not only helps mitigate anxiety but also promotes a more positive and engaging dental experience, leading to better oral health outcomes in the long run. Sedation Dentistry: An Option for Managing Dental Anxiety Sedation dentistry offers a valuable option for patients struggling with dental anxiety. This approach involves using sedative medications to help patients relax during dental procedures, making the experience significantly less stressful. There are various levels of sedation available, ranging from minimal sedation, where the patient remains awake but calm, to general anesthesia, where the patient is completely unconscious. The choice of sedation method often depends on the individual’s level of anxiety, the complexity of the procedure, and the dentist’s recommendation. One of the most common forms of sedation used in dentistry is nitrous oxide, commonly known as laughing gas. This method allows patients to remain conscious while experiencing a sense of euphoria and relaxation. Nitrous oxide is particularly effective because its effects wear off quickly, allowing patients to drive themselves home afterward. For those with more severe anxiety, oral sedatives or intravenous (IV) sedation may be more appropriate, as they provide a deeper level of relaxation. While sedation dentistry can be a highly effective solution for managing anxiety, it is essential for patients to have thorough discussions with their dentist regarding their medical history and any concerns they may have. This dialogue ensures that the chosen sedation method is safe and appropriate for the individual. By exploring sedation options, patients can find a solution that allows them to receive the necessary dental care while minimizing anxiety and discomfort. Creating a Comfortable Environment in the Dental Office The environment of a dental office plays a significant role in shaping a patient's experience. A comfortable and welcoming atmosphere can help alleviate anxiety before a patient even sits in the dental chair. Elements such as soothing colors, comfortable seating, and calming artwork can make a substantial difference in how patients perceive their surroundings. In addition to the physical environment, the demeanor of the dental staff is crucial. Friendly and approachable staff members can create a positive first impression and help patients feel at ease. Simple gestures, such as a warm greeting, a reassuring smile, or even small talk, can help break the ice and set a relaxed tone for the visit. When patients feel cared for. Furthermore, the demeanor of the dental staff plays a crucial role in creating a comforting atmosphere. Friendly, compassionate team members who take the time to explain procedures and check on patients throughout their visit can foster trust and alleviate fears. By prioritizing comfort and creating a supportive environment, dental practices can help anxious patients feel at ease and more willing to seek the care they need. Technology Advancements in Dentistry That Help Reduce Anxiety Advancements in dental technology have revolutionized the way procedures are performed, often resulting in a more comfortable experience for patients. One notable innovation is the use of digital imaging, which allows for quicker and more accurate diagnoses while minimizing the need for uncomfortable traditional x-rays. Patients can benefit from less radiation exposure and a more streamlined experience, reducing anxiety associated with diagnostic procedures. Additionally, laser dentistry has emerged as a less invasive alternative to traditional methods. Lasers can be used for various procedures, including cavity treatment and gum reshaping, often resulting in less pain and faster recovery times. The precision of laser technology minimizes damage to surrounding tissues, further enhancing patient comfort during and after treatment. With the use of lasers, patients may experience less bleeding and swelling, leading to a more positive overall experience. Moreover, the development of computer-aided design and manufacturing (CAD/CAM) technology has transformed restorative dentistry. This technology allows for same-day crowns, bridges, and veneers, reducing the need for multiple appointments and minimizing anxiety related to lengthy treatment plans. By embracing these advancements, dental professionals can provide patients with a more efficient and comfortable experience, helping to alleviate fears and promote better oral health. Expert Advice on Coping with Dental Anxiety Seeking expert advice on managing dental anxiety can be invaluable for those struggling with their fears. Many dental professionals recommend creating a personalized anxiety management plan, which may include relaxation techniques, communication strategies, and sedation options. It's essential for patients to identify what triggers their anxiety and develop coping mechanisms that suit their individual needs, whether through breathing exercises, visualization, or mindfulness practices. Another effective strategy is to educate oneself about dental procedures. Knowledge can be a powerful tool in combating fear. Understanding what to expect during an appointment can help demystify the experience and reduce anxiety. Dental professionals often provide educational resources or can take the time to explain procedures in a way that is easy to understand. Being informed can empower patients and make them feel more in control. Lastly, professional counseling or therapy may be beneficial for individuals with severe dental anxiety. Cognitive-behavioral therapy (CBT) has been shown to be effective in treating phobias and anxiety disorders. A trained therapist can help patients work through their fears, develop coping strategies, and create a more positive association with dental care. By combining expert advice with personal strategies, individuals can find effective ways to manage their dental anxiety and embrace a more positive dental experience.
In conclusion, overcoming dental anxiety is a journey that involves understanding its roots, exploring coping strategies, and embracing advancements in dental care. By recognizing the impact of anxiety on oral health and taking proactive steps to address it, individuals can transform their dental experiences into positive ones. Whether through relaxation techniques, effective communication with dental professionals, or the use of sedation options, a range of tools is available to help manage anxiety. Creating a comfortable dental environment is equally important, as it can significantly enhance the experience for anxious patients. With the integration of technology and personalized care, the landscape of dentistry is evolving, offering patients more ways to feel at ease during their visits. Embracing these changes not only promotes better oral health but also supports individuals in overcoming their fears. Ultimately, the goal is to foster a positive relationship with dental care, allowing individuals to maintain their oral health without the burden of anxiety. By prioritizing comfort and well-being, patients can confidently step into the dental office, ready to embrace the journey towards a healthier smile.
GET TO KNOW YOUR BEST DENTIST IN SUMMERLIN
Dr. Marianne Cohan was voted 15- time Best of Las Vegas from The Las Vegas Review-Journal. She received her Doctor of Dental Surgery (DDS) from the State University of New York at Buffalo in 1992.

With an emphasis on cosmetic dentistry, complete makeovers, and implant dentistry, Dr. Cohan is committed to continuing education and feels that we never stop learning. Dr. Cohan takes pride in using high-powered magnification to perform minimally invasive restorative dentistry. She uses all the latest technological advances including digital radiography, digital photography, computer simulations, and high-resolution pictures of your proposed treatment on 55-inch screens. She also utilizes CBCT (cone beam) and laser technology.
Dr. Cohan is always available to her patients and is available for any dental emergency.
Missing teeth can affect a wide range of things, including your nutrition and your self-esteem. Dental implants and partial dentures are two of the most common alternatives for replacing missing teeth nowadays. However, which one is the best? You will need to take the following things into account: Benefits of Dental Implants Dental implants are the best option for replacing missing teeth in today's world. Every implant is made from a biocompatible and hypoallergenic substance that is known to increase the strength of the bone surrounding it. Additionally, it is the only type of tooth replacement that is fashioned exactly like a real tooth. When you get dental implants, you have the option of inserting a pair of them into a broader space to support a dental bridge that has many teeth. Implants are a permanent part of your smile, unlike removable partials, which you take out every night. There is nothing to remove before going to bed. Additionally, because dental implants are more durable than natural teeth, you can continue to enjoy all of your favorite foods and textures. With an implant, you can do anything from chewing a bit of gum to eating a steak. Most individuals are surprised to learn that obtaining dental implants may be a very comfortable experience. It is usually easier than having a tooth pulled or getting a few fillings. The best part is that implants do not interfere with the rest of your smile. They don't depend on the teeth next to them to stay in position (as partials do), and there is no need to alter the healthy teeth that are next to them. They are by far the least invasive option for replacing your missing teeth. The Advantages of Partial Dentures Dentures and partial dentures are a quick and inexpensive option for replacing all of your lost teeth at once. They can be created and delivered in just a few weeks. If a lot of planning has been done, it is possible to have dentures fitted on the same day as an extraction. Sadly, dentures have a limited lifespan. Even while they appear to be the most affordable option for replacing lost teeth, they could end up being more expensive in the long run. A typical partial or complete denture will need to be replaced approximately every ten years. After you have replaced it a few times, you may have already spent enough money to cover the cost of dental implants! While they are waiting to arrange their dental implant therapy, some patients choose to acquire a partial denture as a temporary alternative. If you are one of such people, you might want to inquire about our financing options for implants. You can have dentures and modifications (such as temporary flippers) at nearly any age, but you need to be at least 18 years old to get dental implants. A Comfortable Alternative for Replacing Missing Teeth If you choose dental implants, your final results will appear and feel more like natural teeth than any other type of tooth replacement. This means that your daily routines are nearly identical to what they have always been. Sadly, removable prosthesis can reduce your biting strength, make it difficult to taste your food, and even affect your ability to speak. If you want to minimize the impact on your lifestyle, dental implants are the finest option. Which one is simpler to take care of? Every night, full and partial dentures are taken out. To release any food or debris that has built up throughout the day, it is essential to soak them in a cleansing solution. The next morning, you should clean your gums and brush the prosthesis well before putting it back in your mouth. Taking care of dental implants on a daily basis is similar to taking care of natural teeth. Just remember to brush and floss every day, making sure to clean along the gumlines. There may be occasions when you will need to use a water flosser or floss threader to clean underneath the implant restoration. In either case, it is essential to visit Summerlin dental Solutions at least two times a year. Patients with implants will get their regularly scheduled exams as well as routine dental cleanings.
That is correct. Funding is available! Dental implant financing is available at our Summerlin Dental Solutions office. If relevant, we can also work with your insurance company to help you get any benefits that you are entitled to. This manner, you can have a long-lasting smile solution that is affordable for you each month. There is no need to wait! If you would like to learn more about treatments for missing teeth, such as dental implants, please call our office or BOOK ONLINE today! GET TO KNOW YOUR BEST DENTIST IN SUMMERLIN
Dr. Marianne Cohan was voted 15 - time Best of Las Vegas from The Las Vegas Review-Journal. She received her Doctor of Dental Surgery (DDS) from the State University of New York at Buffalo in 1992.

With an emphasis on cosmetic dentistry, complete makeovers, and implant dentistry, Dr. Cohan is committed to continuing education and feels that we never stop learning. Dr. Cohan takes pride in using high-powered magnification to perform minimally invasive restorative dentistry. She uses all the latest technological advances including digital radiography, digital photography, computer simulations, and high-resolution pictures of your proposed treatment on 55-inch screens. She also utilizes CBCT (cone beam) and laser technology.
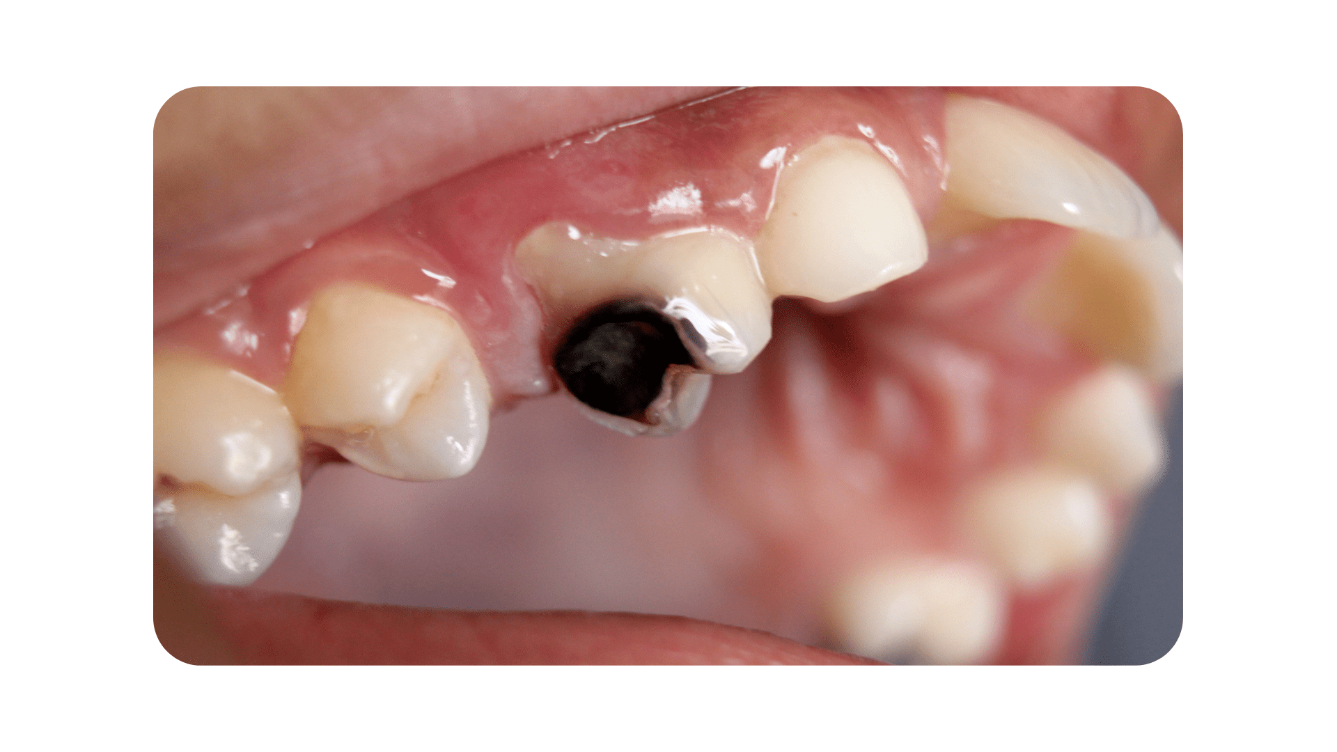
The risk of getting dental decay is not something that should be taken lightly. Cavities can appear unexpectedly, create a severe toothache, and essentially put your life on halt until they are treated. What is tooth decay, and what causes it? The food particles that remain in your mouth after you eat turn into plaque. Acid is produced when the bacteria in plaque break down the sugars and carbohydrates that are present in your mouth. This acid is powerful enough to soften and destroy the enamel, which is the outer coating of a tooth. This condition is known as dental decay, or a cavity. Stages, Symptoms, and Treatments of Tooth Decay
Because tooth decay has numerous stages, there are a variety of symptoms that you may see, feel, or even taste at times. The treatment you will require for your cavity will be determined by how serious the decay is and where it is located. Stage 1: The enamel is decaying. A cavity has not yet passed through the enamel, which is the outer coating of the tooth, during its early stages. During this period, symptoms are not very severe. In fact, you might not notice any of them at all. Sometimes, you may notice that your tooth has darkened, or you may feel a little sensitivity. Our Summerlin dentist will remove the area that has enamel decay and fill the empty space with a tooth-colored filling material in order to repair the decay. Fillings are a quick and inexpensive option that can last for many years. Stage 2: Dentin After the decay has passed through the enamel surface, it will reach the dentin layer. The dentin layer is fragile and is particularly susceptible to decay. This means that if the cavity reaches the dentin, it can spread quickly. During this stage, you will notice that your tooth sensitivity is more pronounced. You might feel uncomfortable when you eat sweets, clean your teeth, or are in chilly conditions. If the decay has impacted much of your tooth, our dentist in Summerlin may suggest that you get a crown instead of a filling. A crown is a hard cap that goes over your tooth and protects it from further harm. Because this treatment is more complex, it does take longer to finish. Additionally, it is more expensive than simply a basic filling. However, if crowns are manufactured and maintained correctly, they can last for many years, making your investment worthwhile. Stage 3: Pulp Chamber The decay will enter the pulp chamber once it has passed through the dentin layer. This is the section of the tooth that has blood arteries, nerves, and connective tissue. Your tooth will become infected after the cavity has reached the pulp. You will go through a lot of discomfort during this time. You may also start to feel uncomfortable due to heat, in addition to chilly weather. You may also experience persistent discomfort that necessitates the use of pain medication to alleviate it. We will take an x-ray of your tooth to make sure that the cavity has reached the pulp chamber. Root canal therapy will be necessary to fix and protect your tooth. This surgery consists of taking out the nerve tissue, cleaning the canals, and closing them off in order to stop bacteria from coming back in. You will probably need to be fitted for a crown in addition to receiving therapy on the nerves of your tooth. This will help to prevent additional harm to the tooth that is already at risk. Stage 4: Abscess The roots of your teeth are the parts that you cannot see when you look inside your mouth. They are located in the jaw. Nerve channels that go down each root extend beyond the pulp chamber. If your cavity has reached the nerves in the root of your tooth, you may have a terrible pain and swelling in your face. If you have an abscess, you will see a little bump on your gums, which is called a fistula. A dental abscess is a major medical issue. You might not find any relief from over-the-counter pain drugs. The toothache could prevent you from sleeping at night or cause you to wake up often. The gum tissue surrounding the tooth that is impacted may swell, and this swelling could migrate to your face. You might possibly develop a fever. If a cavity has caused a serious infection, it may not be possible to salvage the tooth with a root canal. It may be essential to do an extraction. We will be able to determine the state of your tooth and if it can be saved by using a dental x-ray. If it turns out that we need to take it out, a dental implant or a bridge could be a good option for you to replace it. Preventing Cavities Maintaining excellent dental hygiene is the most effective approach to avoid cavities. Make sure to have frequent cleanings and check-ups with your dentist in Las Vegas so that any problems can be addressed as soon as they arise. If you haven't gone to the dentist in a while or think you might have a cavity, you should make an appointment with Dr. Cohan at Summerlin Dental Solutions. Make an appointment by calling or book online today. GET TO KNOW YOUR BEST DENTIST IN SUMMERLIN
Dr. Marianne Cohan was voted 15- time Best of Las Vegas from The Las Vegas Review-Journal. She received her Doctor of Dental Surgery (DDS) from the State University of New York at Buffalo in 1992.

With an emphasis on cosmetic dentistry, complete makeovers, and implant dentistry, Dr. Cohan is committed to continuing education and feels that we never stop learning. Dr. Cohan takes pride in using high-powered magnification to perform minimally invasive restorative dentistry. She uses all the latest technological advances including digital radiography, digital photography, computer simulations, and high-resolution pictures of your proposed treatment on 55-inch screens. She also utilizes CBCT (cone beam) and laser technology.
Are you jealous of the brilliant, white, and uniform smiles that celebrities have? Isn't that the case for everyone? A whole set of porcelain veneers or a smile makeover might cost thousands of dollars. This is not the best option for the ordinary person. As a result, you could feel that you are only left with the dream of having that dazzling smile. Fortunately, you may improve the appearance of your smile without spending a fortune! There are a variety of cosmetic alternatives available, including payment plans, to help you achieve your smile makeover. Affordable Cosmetic Dentistry Alternatives There are certain economical choices that can remove years off your smile’s appearance and give you the confidence that you’ve always wanted. The following methods are effective when performed individually, but they are considerably more effective when they are used in conjunction with one another. EnamelPlasty An enamelplasty could significantly improve your smile if your teeth are uneven or jagged. This quick and uncomplicated process costs only a few cents in comparison to porcelain veneers. The procedure is completed in a matter of minutes and does not require any form of anesthetic because it is painless. Our dentist will do an enamelplasty to reshape the enamel, which is the outermost layer of your teeth. This will make your teeth look more even and balanced. This surgery can enhance the appearance of chipped teeth and uneven edges, and it can also shorten long, sharp teeth, which is a common trait among some people. The effects of this form of treatment are long-lasting. Enamelplasty should only be done when a small amount of contouring is needed. If you consume too much, your teeth may get sensitive. Whitening of the Teeth If you bleach your teeth, your smile will be considerably brighter. There are a number of various choices for whitening. If you only have a small amount of discoloration, you can use an over-the-counter bleaching kit to lighten your teeth by a few shades. Whitening toothpaste can help prevent new stains from forming between dental appointments. If you would like a prescription-strength formula or require more significant results, our dental staff can assist you in determining which option is most suitable for you. We provide a technique that you can use at home to whiten your teeth over the course of several days. If you desire quicker results, you might want to consider our in-office whitening treatment. This operation takes around an hour and a half to complete, and it provides you with immediate benefits and a number of different shades of improvement. Although tooth whitening is effective, the results do not last long. You might need to make adjustments to your findings about twice a year, depending on your behaviors. In addition, those with really sensitive teeth may wish to think about a different alternative, as bleaching can occasionally lead to inflammation. Bonding for Teeth Dental bonding is a semi-permanent remedy for teeth that have been chipped. We apply a tooth-colored composite material to the surface of your teeth that is misshaped or chipped during this operation. This offers us the ability to select an attractive color and allows us to adjust the contour of the teeth so that they appear more uniform.
Invisalign Invisalign is a type of orthodontic treatment that you can receive without having to change your daily routine. This treatment uses a series of stiff aligners (plastic trays) that softly glide your teeth into place instead of metal wires and brackets. Because the aligners are transparent, no one will be able to tell that you are undergoing treatment. The trays can be taken out, which makes cleaning your teeth easier and makes them more comfortable to wear than traditional braces. Invisalign can fix bite problems, straighten teeth that are not aligned, and close gaps between teeth. Think about how great the results would be if you combined Invisalign with teeth whitening! Icon Resin Infiltration (ICON) - Removal of White Spots White spots on teeth can be caused by a number of factors, including inadequate dental care, decay, excessive exposure to fluoride, or a high fever during childhood. The ICON treatment can get rid of these white patches. There is no need for drilling or anesthesia with this inexpensive technique. The procedure is fast and easy. We apply a solution to your tooth, rinse it out, and then use a specific laser to heal it. Voila…your white spots are gone permanently! Cosmetic Dentistry Procedure in Las Vegas, Nevada As you can see, there are cosmetic dental alternatives accessible for every budget. If you would like to find out which surgery or combination of treatments is most suitable for you, visit Dr. Cohan immediately. Our Summerlin dentist and the courteous staff of Summerlin Dental Solutions look forward to meeting you and being a part of your change. GET TO KNOW YOUR BEST DENTIST IN SUMMERLIN
Dr. Marianne Cohan was voted 15- time Best of Las Vegas from The Las Vegas Review-Journal. She received her Doctor of Dental Surgery (DDS) from the State University of New York at Buffalo in 1992.

With an emphasis on cosmetic dentistry, complete makeovers, and implant dentistry, Dr. Cohan is committed to continuing education and feels that we never stop learning. Dr. Cohan takes pride in using high-powered magnification to perform minimally invasive restorative dentistry. She uses all the latest technological advances including digital radiography, digital photography, computer simulations, and high-resolution pictures of your proposed treatment on 55-inch screens. She also utilizes CBCT (cone beam) and laser technology.
Dr. Cohan is always available to her patients and is available for any dental emergency.
Recall that high school crush you developed on that man sporting a lip ring? I wonder about his present state of teeth. At Summerlin Dental Solutions, we are all about the freedom of self-expression; if body modifications like tattoos and piercings appeal to you, we are here for you. As your dental health professionals, we highly advise against oral piercings especially since they may be rather damaging to your teeth—and we want you to maintain your teeth healthy so you can continue to express yourself with your beautiful smile. Oral piercings are any piercing in or around the mouth. The only choices in the past were conventional tongue or lip piercings; today, there are more choices than you could possibly shake a stick at. Should it be in your mouth, you have better think someone has pierced it.
Infection You know the risk of infection and the need of keeping your new piercing clean if you have ever had ears or anything else pierced. But given their position in or around the mouth, oral piercings have a far greater infection rate. Millions of bacteria—some of which are benign and others rather harmful—that could penetrate the piercing site and start an infection abound in the mouth. Secondary infections can cause major sickness including blood-borne hepatitis, angina, and herpes, claims the American Dental Association. Oral piercings have always a danger of infection, but especially in the first weeks after the first one. Infection symptoms include swelling, discomfort, fever, chills, shaking, or a red-streaked appearance all around the piercing. As soon as you see symptoms of an infection, get in touch. Damage to teeth and gum Damage of teeth and gums is one of the most often occurring dental issues connected with oral piercings. Whether from chewing ice or brushing your teeth too aggressively, it's easy enough to harm your teeth and gums already. Including a piece of metal jewelry, the equation becomes a formula for disaster. Oral piercings can damage enamel in the form of cracks, chips, scratches, and tooth sensitivity and irritate the gum tissue. If you have any dental work done—including fillings or crowns—oral piercings can damage these as well. Therefore, if you do not want to spend more money and time in the dental chair having your dental work corrected, we advise selecting a non-oral piercing—should you really feel the need to pierce anything. Damage of Nerves After a tongue piercing, numbness from nerve injury is not unusual; this is typically transient but occasionally may be permanent. Apart from the movement and operation of your lips, nerve injury might compromise your sense of taste. Furthermore well-known to damage the tongue's blood vessels, tongue piercings can lead to significant blood loss. Additional Hazards With piercings, allergic reactions are always possible. Some people are just hypersensitive to some metals, while others have specific metal allergies. Tongue piercings can produce more saliva, which can lead to lisp and cause too much drooling as well as change your speaking habits. Not as striking as you had hoped it would be, huh? Lastly, oral piercings might pose issues in dental treatment since they distort x-rays and obscure our view of your mouth in its whole. Our counsel We do advise taking out an oral piercing if you already have one, but we understand if it has become a mainstay of your style. After reading this post, if you are either keeping or still considering obtaining an oral piercing, at least follow our advise on how to take care of it and avoid or minimize dental issues. • Select a jewelry design that complements the site of your mouth. • Adjust your jewelry accordingly. Initially, longer or larger jewelry could be required owing to swelling; but, once the swelling subsides, the jewelry should be changed or altered to suit. •Should you pick metal jewelry, be conscious of any sensitivities you could have and ensure the item meets surgical implant grade criteria. • Choose a smaller ball for the bottom of the tongue to minimize contact with this delicate tissue area; use polymer balls to lower the chance of harm. • Contrary to what you would think, alcohol-free is a healthier alternative as alcohol is drying and a dry mouth is more prone to infection; keep the piercing clean and clear of debris by brushing and flossing diligently and rinsing with mouthwash after every meal • Steer clear of toying with your jewelry or moving it about in your mouth—including clicking it around against your teeth or chewing on it. Speak and eat with awareness of how the jewelry moves. Be kind. • Often check the tightness of your jewelry (with clean hands) to make sure it's secure so you won't choke or swallow on it. •.If you play sports, you could wish to take off your jewelry and always use a mouthguard. Keep up your conscientious dental cleaning schedule and see Summerlin Dental Solutions often so we may identify any minor issues before they become more serious. This post should cause you to consider oral piercings twice. After all, there are plenty of other sites to pierce and lots of other ways you might express yourself without irreparably hurting your mouth. Whether you already have an oral piercing or are thinking about having one, we hope you will use our recommendations on how to best reduce the damage. We would be happy to talk with you should you have any further questions regarding oral piercings or anything else pertaining to oral health. GET TO KNOW YOUR BEST DENTIST IN SUMMERLIN
Dr. Marianne Cohan was voted 15- time Best of Las Vegas from The Las Vegas Review-Journal. She received her Doctor of Dental Surgery (DDS) from the State University of New York at Buffalo in 1992.

With an emphasis on cosmetic dentistry, complete makeovers, and implant dentistry, Dr. Cohan is committed to continuing education and feels that we never stop learning. Dr. Cohan takes pride in using high-powered magnification to perform minimally invasive restorative dentistry. She uses all the latest technological advances including digital radiography, digital photography, computer simulations, and high-resolution pictures of your proposed treatment on 55-inch screens. She also utilizes CBCT (cone beam) and laser technology.
Dr. Cohan is always available to her patients and is available for any dental emergency.
Bite Adjustment
Have you noticed any changes in the way your mouth feels? Do you have difficulty chewing meals or do you frequently get headaches? If such is the case, it may mean that your bite has to be adjusted. Bite adjustments are essential for keeping your mouth healthy and can help relieve many of the common symptoms that come with jaw misalignment. In this blog post, we will go over five indicators that suggest you may require a bite adjustment and explain how to obtain one.
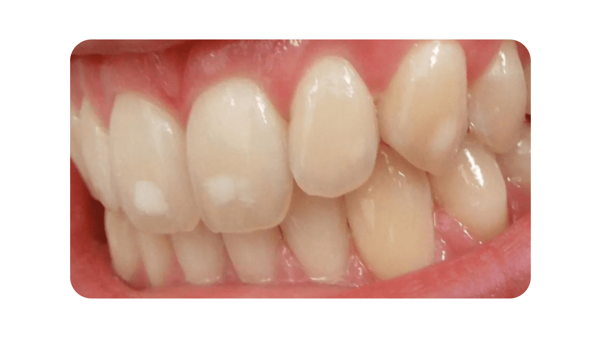
Your grin is one of the most effective ways to make a strong impression wherever you go. But what is it that makes teeth beautiful? Dr.Cohan, a cosmetic dentist in Las Vegas, knows that a flawless smile makeover requires a balance of angles, tints, and curves. If you are thinking about getting veneers, gum recontouring, or other cosmetic dental treatments, here are seven crucial things to keep in mind when you come in for an aesthetic consultation.
Width and Length of the Tooth Are your teeth shorter than they are supposed to be? Maybe they appear to be thin or misshapen? Are there any signs of wear on the chewing surfaces? Veneers and porcelain crowns are examples of treatments that can help to achieve consistency in tooth size so that they complement your facial profile. Color & Hue If your teeth were the whitest of white, it would look unnatural. Fortunately, you may choose bright shades of porcelain in a variety of colors to achieve a whiter shine without looking "fake." During your smile makeover, Dr. Cohan will use a precise shade guide to help choose the best color for your teeth. This will ensure that you are happy with the final results. Concealing Flaws in Individuals Your entire smile might be negatively affected by only one tooth that is chipped, pitted, or slightly discolored. Fortunately, these imperfections can be instantly covered up with simple cosmetic dentistry treatments, like as bonding. You should cover up any small defects that are noticeable to other people, even if the teeth around them are in perfect condition. Alignment and Spacing of Teeth A little bit of crowding or gaps can give the false impression that your smile is not as healthy as it actually is. These areas are also more likely to collect food debris, become stained, develop tartar, and wear down unevenly. You might be completely okay with how they appear. However, in order to achieve the ideal smile makeover, our cosmetic dentistry practitioner would probably suggest anything like aligners or veneers. Teeth That Are Healthy and Complete Teeth that are broken, chipped, or missing can make the good teeth around them look less appealing. Cosmetic dentistry treatments can be used to repair your bite with lasting fillings or crowns that blend in, giving you a lovely smile. The "Ideal Frame" Your teeth are only half of what makes a smile gorgeous. If you don't have the ideal "frame" surrounding your teeth, putting in a lot of time and effort into a smile makeover can be disappointing. What is the subject of our conversation? Your gums, of course! If you have a "gummy" grin or uneven gum tissues, your teeth may appear shorter or asymmetrical, even if they are not. At The Center for Restorative & Cosmetic Dentistry, we often use laser gum treatments as part of smile makeovers and veneer cases in order to get outstanding outcomes. Make an appointment with Summerlin Dental Solutions cosmetic dentist now by giving us a call. GET TO KNOW YOUR BEST DENTIST IN SUMMERLIN
Dr. Marianne Cohan was voted 15- time Best of Las Vegas from The Las Vegas Review-Journal. She received her Doctor of Dental Surgery (DDS) from the State University of New York at Buffalo in 1992.

With an emphasis on cosmetic dentistry, complete makeovers, and implant dentistry, Dr. Cohan is committed to continuing education and feels that we never stop learning. Dr. Cohan takes pride in using high-powered magnification to perform minimally invasive restorative dentistry. She uses all the latest technological advances including digital radiography, digital photography, computer simulations, and high-resolution pictures of your proposed treatment on 55-inch screens. She also utilizes CBCT (cone beam) and laser technology.
Dr. Cohan is always available to her patients and is available for any dental emergency.
How to fix the black line around a dental crown. If you have a dental crown that is older, you may be startled to notice that it has changed slightly over the years. A black line has formed around the dental crown. Regrettably, this is a problem that many people experience. In the past, the most natural-looking restoration was porcelain-fused-to-metal. There is now an additional choice. Metal-free crowns look just like your own teeth and do not cast a shadow when you smile.
Shadow Surrounding the Crown The dark line is sometimes caused by an optical illusion, but this is unusual. If a crown does not fit well, it can create a shadow on the gum tissue that is around it. They are usually not as dark as the lines that are caused by metal showing, and they are typically only a cosmetic issue. How to Handle Black Lines Close to a Crown It is advisable to replace the crown regardless of whether the line is caused by metal or a shadow. If it does not fit properly at the gum line, it can leave you vulnerable to decay developing in the small crevice. Bacteria that are trapped can also cause irritation to the gum tissue that is located near the base of the crown, which can result in an infection. Although lines formed by an older crown aren’t inherently dangerous to your oral health, it can present aesthetic difficulties. Your dentist can replace your restoration for any reason in order to maintain the health and appearance of your smile. After your old crown has been removed, your dentist will address any decay or damage before preparing your teeth for the new crown. After it has been prepped, your dentist will take a digital scan of your tooth, so there is no need to hold a filthy material in your mouth for several minutes. The data from the scan is sent to state-of-the-art software, where your dentist will design your crown to fit your exact specifications. Finally, the information is sent to an in-office milling machine that cuts your crown from a single block of all-ceramic material in about 1 hour. You won’t need to worry about a temporary crown or a second appointment. After just one day, you may say goodbye to the black lines around your crown. Discover the difference with all-ceramic restorations. Dr. Cohan at Summerlin Dental Solutions has over 30 years of expertise in dentistry. Besides getting her dentistry degree, she has taken further training at many post education opportunities. She blends her knowledge with developments in dentistry to deliver greater services. If you’re interested in an amazing experience contact our office today to arrange your consultation at 702-341-9160
GET TO KNOW YOUR BEST DENTIST IN SUMMERLIN
Dr. Marianne Cohan was voted 15- time Best of Las Vegas from The Las Vegas Review-Journal. She received her Doctor of Dental Surgery (DDS) from the State University of New York at Buffalo in 1992.

With an emphasis on cosmetic dentistry, complete makeovers, and implant dentistry, Dr. Cohan is committed to continuing education and feels that we never stop learning. Dr. Cohan takes pride in using high-powered magnification to perform minimally invasive restorative dentistry. She uses all the latest technological advances including digital radiography, digital photography, computer simulations, and high-resolution pictures of your proposed treatment on 55-inch screens. She also utilizes CBCT (cone beam) and laser technology.
Dr. Cohan is always available to her patients and is available for any dental emergency.
Going to the dentist for a cleaning does not have to be a drag. Honestly, the length of your dental appointment is primarily up to you. How Long Will Your Teeth Cleaning Take: Its Really Up To You! An average teeth cleaning takes about 30 to 60 minutes, but the time can vary depending on a number of factors. The positive aspect is that the main factor is completely under your control and is determined by how well you take care of your oral hygiene. Your checkup will go more quickly if your teeth are in good condition. This is wonderful news for people who are busy during the day or who feel anxious when they are at the dentist's office. You actually have the power to reduce the time spent at the dentist’s office, and can even create a more enjoyable experience for yourself by keeping your teeth clean and healthy with strong, daily hygienic practices. The fact is that much of the dental cleaning is wrapped up in removing the plaque and tartar that has built up in your mouth. The amount of plaque and tartar that needs to be removed is the main factor that determines how long this process will take.
There is one catch, however: there will always be at least a little plaque and tartar that will need to be removed. This is one reason why regular dental cleanings and checkups are so important.
Several factors determine how long your dental cleaning can last. These factors can include the speed at which your dentist/dental hygienist works, the number of people that are in the office and the addition of any corrective operations that may be essential for your to undergo Sometimes, your teeth cleaning may take a little longer than you planned. A busy day at the dentist’s office might occasionally slow down your appointment. In other circumstances, there can be unanticipated complications that emerge with other patients, which can prevent your dentist from seeing you in the most expedient manner. If your dentist does detect a cavity or other issue, he or she will have to spend extra time to explain to you what the problem is and what it will take to cure it. Or, your dentist may urge you to simply have the procedure done right then and there — this is most usual with a simple cavity filling. When planning to go to the dentist, it is ideal to plan for at least a 30 minute visit. To keep on the safe side, you may want to consider booking an hour of time. What To Expect When You Getting Your Teeth Cleaned Now it is time to get into what you will encounter at a basic teeth cleaning. The simplest cleanings are the routine checkups of a regular, returning patient. This is because the cleaning may commence right away - without any of the new patient forms and insurance documentation. Upon being escorted back to your patient room, the hygienist will ask you a number of health-related questions. These questions can assist your dentist in gaining a better understanding of your general health, which will enable them to build a treatment plan that is tailored to your specific needs. Cleaning is a rather straightforward process. The following are the responsibilities of your dental hygienist: Get rid of stains, plaque, and tartar on your teeth. Assess the condition of your gums. Make a note of any indications of additional oral health issues. Make your teeth shine. Make sure you floss your teeth. After the cleaning procedure is over, your dentist will enter the room and check your mouth and throat. They will also assess the work of the hygienist to make sure that all of your teeth are clean and brilliant. If any more treatment is needed, your dentist will recommend it. The Importance of Regular Teeth Cleanings One of the most significant things you can take to avoid problems with your oral health is to have your teeth cleaned every six months. If you haven't gone to the dentist in a while or want to get a thorough teeth cleaning, make an appointment for a dental checkup now. You can schedule an appointment for today by calling (702) 341-9160 OR BOOK ONLINE NOW
GET TO KNOW YOUR BEST DENTIST IN SUMMERLIN
Dr. Marianne Cohan was voted 15- time Best of Las Vegas from The Las Vegas Review-Journal. She received her Doctor of Dental Surgery (DDS) from the State University of New York at Buffalo in 1992.

With an emphasis on cosmetic dentistry, complete makeovers, and implant dentistry, Dr. Cohan is committed to continuing education and feels that we never stop learning. Dr. Cohan takes pride in using high-powered magnification to perform minimally invasive restorative dentistry. She uses all the latest technological advances including digital radiography, digital photography, computer simulations, and high-resolution pictures of your proposed treatment on 55-inch screens. She also utilizes CBCT (cone beam) and laser technology.
Dr. Cohan is always available to her patients and is available for any dental emergency.
There are three basic components involved in the installation of a dental implant: The implant, which is sometimes known as a post or an artificial tooth root, The abutment is a piece that connects to the implant. The prosthesis might be an artificial tooth crown, a dental bridge, or a denture/partial denture. In today's post, we will be discussing the abutment, which is the important linking piece. What is an abutment? The abutment is the component that connects a dental implant to an artificial tooth. It connects the implant to the crown, dental bridge, or denture. Abutments for Healing During the first surgery, your dentist could attach a temporary healing abutment to the post. A healing abutment is also referred to as a "healing cuff" or "healing cap" on occasion. The healing abutment is removed when the implant has merged with the bone and is ready for the final abutment. After that, the permanent abutment is connected. What material is the abutment made from? Titanium, stainless steel, zirconia, gold, and polyether ether ketone are all materials that can be used to build abutments. Every kind of substance has its own unique characteristics. Your dentist will select the most suitable material for your individual requirements. What is the process my dentist uses to attach the abutment? It doesn't take long to attach the abutment. Your dentist will cut into your gum tissue at the place of the implant in order to reveal the implant. After that, the abutment is connected. Your dentist might put the prosthesis in at the same time. Alternatively, your dentist may want to wait until your gums have recovered.
GET TO KNOW YOUR BEST DENTIST IN SUMMERLIN
Dr. Marianne Cohan was voted 15- time Best of Las Vegas from The Las Vegas Review-Journal. She received her Doctor of Dental Surgery (DDS) from the State University of New York at Buffalo in 1992.

With an emphasis on cosmetic dentistry, complete makeovers, and implant dentistry, Dr. Cohan is committed to continuing education and feels that we never stop learning. Dr. Cohan takes pride in using high-powered magnification to perform minimally invasive restorative dentistry. She uses all the latest technological advances including digital radiography, digital photography, computer simulations, and high-resolution pictures of your proposed treatment on 55-inch screens. She also utilizes CBCT (cone beam) and laser technology.
Dr. Cohan is always available to her patients and is available for any dental emergency.
One of the most common operations that dentists conduct is filling cavities. The procedure has been improved and is almost ideal, so it is typically a non-invasive experience with a very short recovery period. On the other hand, fillings can also be a source of stress and anxiety for a lot of people. A significant portion of this worry comes from the patient's lack of understanding and the things that they do not know.
The answer is no, and that's the short version. The majority of fillings do not cause any discomfort at any point during the treatment. This is the outcome of using numbing drugs that are quite effective. Dulling the Discomfort Your dentist will use a local anesthetic, such as lidocaine, benzocaine, or epinephrine, to numb your tooth, gum, and jaw. These chemicals will prevent nerves from delivering any pain signals from your mouth to your brain, so you won't feel any discomfort as the dentist begins to drill. You can feel a little discomfort that feels like a minor sting, but that is simply an indication that the anesthetic is working. Advice for Pain and Recovery It usually takes only a couple of days to recuperate from a regular cavity filling. You may feel some slight pain and discomfort during this time. This is caused by the nerve adjusting to the new filling in your tooth. It is also normal to feel some stiffness in your gums and jaw. In the end, all of these side effects are usually minimal and should not interfere with your daily life. An over-the-counter pain killer can help reduce a lot of this agony. Additionally, you can lessen or even prevent pain during your recuperation by following these straightforward suggestions.
If your teeth continue to hurt for longer than a week or if the discomfort becomes severe, it could be a sign of an infection or another consequence. What is the point of taking the risk? Filling a cavity Is Preferable to the Alternative If you are still concerned about getting a filling, it can be helpful to learn about the reasons why someone would need to have one in the first place. We have cavities, so we need fillings. Cavities are areas of deterioration in teeth that show up as little holes on the surface of the tooth. Plaque is a type of harmful bacteria that sticks to your teeth and feeds on leftover food particles in your mouth after you eat. The acids that are released by plaque are what cause them. If cavities are not filled and left untreated, the decay can grow so serious that it reaches the nerve inside the bone, resulting in excruciating pain. If the cavity expands and reaches the gum, it can also cause severe discomfort and perhaps an infection, which can ultimately result in the complete death of the tooth. When cavities reach this stage, the required treatments become more serious, including root canals and extractions. These procedures are much more painful than getting a filling. Consequently, a filling is always the best alternative with the fewest adverse effects. You don't have to be afraid when you go to the dentist to get your cavities filled or to get other oral health issues treated. At Summerlin Dental Solutions, we have a team of dental specialists who are both highly qualified and compassionate. They can take care of all your dental needs. If you need a cavity filled, make an appointment with our in-house specialists at Summerlin Dental Solutions in Las Vegas. You can schedule an appointment for today by calling (702) 341-9160 OR BOOK ONLINE! GET TO KNOW YOUR BEST DENTIST IN SUMMERLIN
Dr. Marianne Cohan was voted 15- time Best of Las Vegas from The Las Vegas Review-Journal. She received her Doctor of Dental Surgery (DDS) from the State University of New York at Buffalo in 1992.

With an emphasis on cosmetic dentistry, complete makeovers, and implant dentistry, Dr. Cohan is committed to continuing education and feels that we never stop learning. Dr. Cohan takes pride in using high-powered magnification to perform minimally invasive restorative dentistry. She uses all the latest technological advances including digital radiography, digital photography, computer simulations, and high-resolution pictures of your proposed treatment on 55-inch screens. She also utilizes CBCT (cone beam) and laser technology.
Dr. Cohan is always available to her patients and is available for any dental emergency.
Straighten Your Smile: Exploring the Battle of Invisalign vs Traditional Braces
Are you looking to straighten your smile but feeling torn between the battle of Invisalign vs traditional braces? You're not alone. Many people seeking orthodontic treatment find themselves unsure of which option to choose. In this article, we will explore the pros and cons of Invisalign and traditional braces, helping you make an informed decision. Invisalign, characterized by its discreet clear aligners, has gained popularity for its ability to straighten teeth without the need for metal wires or brackets. On the other hand, traditional braces offer a tried-and-true method of teeth straightening using metal brackets and wires. We will discuss factors such as effectiveness, comfort, treatment duration, maintenance, and cost to help you weigh your options. Whether you prioritize aesthetics or are more concerned with efficiency, we'll provide the information you need to make an educated choice. So, let's dive into the world of orthodontics as we explore the battle of Invisalign vs traditional braces and find the best solution for your unique smile transformation.
Traditional braces have been a staple in orthodontics for decades, providing a reliable method for correcting misaligned teeth and bite issues. These devices consist of metal brackets that are attached to the teeth and connected by wires. The primary function of braces is to apply continuous pressure to the teeth over time, gradually moving them into the desired position. This method has been proven effective for a wide range of orthodontic problems, making it a popular choice among both orthodontists and patients. The brackets are typically made from stainless steel, though options for ceramic or plastic brackets exist for those seeking a more aesthetically pleasing appearance. The wires that connect the brackets are adjusted periodically by the orthodontist to ensure that the proper amount of pressure is applied. Additionally, rubber bands may be used to enhance the effectiveness of the treatment, particularly for correcting bite issues. With proper care and adherence to the orthodontist's instructions, traditional braces can deliver significant results over time. While traditional braces are effective, they come with specific considerations. The treatment duration can vary from person to person, typically ranging from one to three years. During this time, patients must be diligent about maintaining oral hygiene, as food particles can easily become trapped around the brackets and wires, leading to plaque buildup and potential dental issues. Regular visits to the orthodontist for adjustments are also necessary, making it essential for patients to commit to a schedule that works for their lifestyle. Pros and Cons of Traditional Braces When weighing your options for orthodontic treatment, it’s important to consider the pros and cons of traditional braces. One of the most significant advantages is their effectiveness in treating complex dental issues, including severe overcrowding and bite misalignments. Traditional braces can exert greater force on teeth, allowing for precise adjustments that can lead to more dramatic results compared to other options. This makes them particularly beneficial for individuals with significant orthodontic challenges. Another advantage is the affordability of traditional braces, which tend to be less expensive than other orthodontic options like Invisalign. Many insurance plans also cover a portion of the costs associated with traditional braces, making them an accessible choice for many patients. Additionally, since braces are fixed appliances, there is no concern over compliance Understanding Traditional Braces Traditional braces have been a staple in orthodontic treatment for decades, providing an effective solution for a wide range of dental issues. They consist of metal brackets that are bonded to the teeth and connected by a wire, which is adjusted periodically to gradually move the teeth into their desired positions. The design of traditional braces allows for comprehensive control over tooth movement, making them suitable for complex cases such as severe crowding, crossbites, or misalignments. One of the key advantages of traditional braces is their versatility. Orthodontists can use various types of brackets, including ceramic options that blend with the teeth for a more aesthetic appeal. Additionally, the mechanism of traditional braces is well-understood, with numerous studies backing their effectiveness, making them a reliable choice for many patients. This familiarity has also led to advancements in technology, resulting in lighter and more comfortable braces than those used in the past. However, traditional braces come with their own set of challenges. The most notable drawback is their visibility; the metal brackets and wires can be a source of self-consciousness for many individuals, especially adults seeking treatment. Furthermore, maintaining oral hygiene can be more complicated with braces, as food particles can easily get trapped between the brackets and wires, requiring diligent cleaning habits to avoid cavities and gum disease. Pros and Cons of Traditional Braces When considering traditional braces, understanding the pros and cons is essential for making an informed decision. One of the significant advantages is their effectiveness in treating a wide range of orthodontic problems. Whether dealing with severe overbites, underbites, or significant tooth misalignment, traditional braces can provide comprehensive correction due to their ability to exert consistent pressure on the teeth over time. This effectiveness often results in predictable and stable outcomes, making them a reliable option for many patients. Another pro is the duration of treatment. For many individuals, traditional braces can achieve results more quickly than other orthodontic methods, particularly in complex cases. The orthodontist can make adjustments regularly, allowing for fine-tuning of the treatment plan and potentially reducing the overall duration of wearing braces. Additionally, traditional braces often require fewer office visits for adjustments compared to other methods, making them appealing for those with busy schedules. On the downside, traditional braces can be uncomfortable, especially after adjustments when the wires are tightened. The metal brackets can cause irritation to the inside of the mouth, leading to soreness and discomfort. Moreover, the aesthetic aspect cannot be overlooked; many patients, particularly adults, may feel self-conscious wearing visible metal braces. Lastly, there are dietary restrictions to consider, as certain foods can damage the braces or become stuck, requiring careful planning of meals during treatment.
Invisalign has revolutionized orthodontic treatment, appealing particularly to those who prioritize aesthetics and comfort. The system uses a series of clear, removable aligners that are custom-made to fit over the teeth, offering a virtually invisible option for straightening smiles. One of the most significant advantages of Invisalign is its discretion; many individuals feel more confident wearing clear aligners instead of traditional metal braces. This can be especially beneficial for adults and teens who may be concerned about their appearance during treatment. Another pro of Invisalign is the comfort factor. The aligners are made from smooth plastic, which is less likely to cause irritation to the gums and cheeks compared to metal brackets and wires. Furthermore, the removability of the aligners means patients can eat their favorite foods without restrictions and maintain better oral hygiene, as brushing and flossing can be done without any obstacles. This flexibility can lead to a more enjoyable treatment experience for many individuals. However, Invisalign is not without its drawbacks. While it is effective for many cases, it may not be suitable for more complex orthodontic issues that require significant tooth movement. Compliance is another concern; for the best results, aligners must be worn for 20 to 22 hours a day, and failure to do so can prolong treatment or compromise results. Lastly, the cost of Invisalign can be higher than traditional braces, which may be a deciding factor for budget-conscious patients. Comparing the Effectiveness of Traditional Braces and Invisalign When it comes to effectiveness, traditional braces and Invisalign serve different purposes and work in unique ways. Traditional braces have a long-standing history of successfully treating various orthodontic conditions, including severe cases that require extensive tooth movement. The use of brackets and wires allows for precise adjustments by the orthodontist, providing strong control over tooth positioning. This makes traditional braces a go-to option for complex cases such as significant overbites, crossbites, or severe crowding. In contrast, Invisalign is best suited for mild to moderate orthodontic issues. The aligner system can effectively correct problems like minor crowding or spacing, and it can address some bite issues. However, it may struggle with more intricate cases that require complex tooth movements, as the clear aligners may not provide the same level of force and control that brackets and wires can. This can lead to limitations in treatment options for individuals with more severe dental alignment needs. Another aspect to consider is the treatment timeline. Traditional braces typically require a longer commitment, often ranging from one to three years, depending on the complexity of the case. In contrast, Invisalign treatment may be shorter for some patients, often taking around 12 to 18 months. However, the duration can vary greatly based on individual circumstances and adherence to the treatment plan. Ultimately, discussing your specific dental needs with an orthodontist will help determine which option may be more effective for achieving your desired results. Factors to Consider When Choosing Between Traditional Braces and Invisalign Choosing between traditional braces and Invisalign involves considering several important factors that go beyond aesthetics and comfort. One of the most significant aspects is the severity of your orthodontic issue. For individuals with complex misalignments or severe dental problems, traditional braces may be the more effective option. They offer greater control over tooth movement and can address a wider range of orthodontic concerns, making them suitable for patients requiring extensive treatment. Another key factor is your lifestyle and personal preferences. For busy adults or teenagers who are involved in sports or social activities, the discretion and comfort of Invisalign may be more appealing. The ability to remove the aligners allows for greater flexibility with eating and oral hygiene, which can enhance the overall experience of undergoing orthodontic treatment. However, it’s crucial to evaluate whether you can commit to wearing the aligners as prescribed, as inconsistent use can lead to less effective results. Cost is also an essential consideration when weighing your options. Traditional braces may be more affordable upfront, but the total cost can vary based on the duration of treatment and specific needs. Invisalign, while potentially more expensive, can sometimes be offset by the convenience of fewer office visits and the ability to maintain better oral hygiene. Weighing these factors against your budget will help you make a well-informed decision regarding which orthodontic treatment aligns best with your financial situation. Cost Comparison Between Traditional Braces and Invisalign When it comes to the financial aspect of orthodontic treatment, both traditional braces and Invisalign come with their own cost structures that patients must consider. Traditional braces typically range from $3,000 to $7,000, depending on the complexity of the case, the duration of treatment, and the region where the treatment is performed. Factors such as the type of braces (metal, ceramic, or lingual) can also influence the overall cost. Insurance coverage may help offset some of these expenses, especially for children and teenagers. On the other hand, Invisalign treatment generally falls within a similar price range, often between $3,500 and $8,000. However, the exact cost can vary depending on the severity of the dental issue, the length of treatment, and the specific aligners required. Because Invisalign involves a series of custom-made aligners, the cost may increase with the number of aligners needed for comprehensive treatment. As with traditional braces, patients should check with their insurance provider to see what coverage options are available. It's important to note that while initial costs are a significant factor, potential long-term savings should also be considered. Invisalign’s removability allows for better oral hygiene, potentially reducing the risk of cavities and gum disease during treatment. This can result in lower dental expenses down the line. Additionally, with fewer office visits typically required for aligner adjustments compared to the regular tightening appointments for braces, patients may find that they save on associated costs, making Invisalign a more financially viable option for some. Frequently Asked Questions About Orthodontic Treatment Options As patients explore their orthodontic options, they often have a multitude of questions regarding treatment specifics, outcomes, and processes. One common inquiry revolves around the age at which orthodontic treatment should begin. Many orthodontists recommend an initial consultation around age seven, as this allows for early detection of potential issues. However, treatment can be effective at any age, with many adults seeking orthodontic care to improve their smiles and oral health. Another frequent question pertains to the duration of treatment. The length of time required to achieve desired results can vary significantly between individuals. Traditional braces typically require between one to three years, depending on the complexity of the case. Conversely, Invisalign may yield results in as little as 12 months for simpler cases, but more complex situations may require a similar timeframe as traditional braces. Regular check-ins with an orthodontist will help clarify expectations and timelines. Patients also often wonder about the potential discomfort associated with each treatment option. Traditional braces can cause soreness and irritation, particularly after adjustments when the wires are tightened. Invisalign, while generally more comfortable, may still cause some initial discomfort as the teeth shift into new positions. Open communication with the orthodontist can provide insights into managing discomfort and establishing a treatment plan that accommodates the patient's needs. Conclusion: Making an Informed Decision for Your Smile Navigating the world of orthodontics can be a daunting task, especially when faced with the decision between traditional braces and Invisalign. Both treatment options have distinct advantages and challenges, making it essential for individuals to assess their specific dental needs, lifestyle preferences, and financial situations. Understanding the differences in effectiveness, comfort, duration of treatment, and long-term costs can empower patients to make an informed choice that aligns with their goals for a straighter smile. Ultimately, the best approach is to consult with an experienced orthodontist who can provide personalized recommendations based on a thorough examination of your teeth and bite. They can help you weigh the pros and cons of each option, considering factors such as the severity of your misalignment, your lifestyle, and your aesthetic preferences. Whether you opt for the tried-and-true method of traditional braces or the modern convenience of Invisalign, the journey to a straighter, healthier smile is within reach. Taking the time to make an informed decision not only enhances your confidence but also sets the stage for lasting oral health benefits. As you embark on this transformative journey, remember that your smile is an investment—one that will serve you well for years to come. Embrace the opportunity to improve your dental health and aesthetics, and take the first step towards achieving the smile you have always desired. GET TO KNOW YOUR BEST DENTIST IN SUMMERLIN
Dr. Marianne Cohan was voted 15- time Best of Las Vegas from The Las Vegas Review-Journal. She received her Doctor of Dental Surgery (DDS) from the State University of New York at Buffalo in 1992.

With an emphasis on cosmetic dentistry, complete makeovers, and implant dentistry, Dr. Cohan is committed to continuing education and feels that we never stop learning. Dr. Cohan takes pride in using high-powered magnification to perform minimally invasive restorative dentistry. She uses all the latest technological advances including digital radiography, digital photography, computer simulations, and high-resolution pictures of your proposed treatment on 55-inch screens. She also utilizes CBCT (cone beam) and laser technology.
Dr. Cohan is always available to her patients and is available for any dental emergency.
Your smile is one of the first things people notice about you, and dental fillings are often an essential part of maintaining that winning smile. However, there may be hidden risks lurking in those unsightly metal fillings that you may not be aware of.
Metal dental fillings, commonly made with amalgam, contain a mixture of metals, including silver, tin, and mercury. While they have been widely used for decades due to their durability and cost-effectiveness, concerns have been raised about the potential health risks associated with mercury exposure.
Mercury is known to be a toxic substance, and although the amount found in dental fillings is generally considered safe for most people, some individuals may be more susceptible to its harmful effects. Certain groups, such as pregnant women, children, and individuals with kidney problems, may be at a higher risk.
In recent years, there has been a growing interest in alternative filling materials, such as tooth-colored composites or porcelain, which are considered safer and more aesthetically pleasing. These alternatives not only offer a healthier choice but also provide a natural-looking solution.
Protecting your smile and health means being informed about the hidden risks of unsightly metal dental fillings and considering alternative options that prioritize both your appearance and well-being.
When it comes to dental fillings, the most common type used in practice is dental amalgam, which is a durable material that has been utilized for over a century. Dental amalgam is a mixture of metals, including silver, tin, copper, and mercury. Its popularity stems from its strength and longevity, making it an ideal choice for filling cavities in posterior teeth that endure significant chewing forces. Despite its effectiveness, many individuals find its metallic appearance less than appealing, leading to concerns about aesthetics in their smiles.
Another type of metal filling is gold, which is known for its durability and biocompatibility. Gold fillings are often custom-made and can last for many years, providing an excellent option for patients seeking long-term solutions. However, the cost associated with gold fillings can be significantly higher than that of amalgam, which may deter some patients from choosing this option. Additionally, the yellowish hue of gold can be conspicuous, making it less favorable for those looking for a more natural appearance in their dental work.
Lastly, there are stainless steel fillings, primarily used in pediatric dentistry for children. Stainless steel is used for temporary restorations in primary teeth, often until a more permanent solution can be implemented. While they are highly functional and resistant to wear, their metallic look often does not align with aesthetic preferences for adult patients. Each type of metal filling has its pros and cons, and understanding these differences can help patients make informed decisions about their dental care.
One of the most significant concerns surrounding metal dental fillings, particularly amalgam, is the presence of mercury. Mercury is a toxic element that can pose health risks, particularly when exposure levels exceed safe limits. Although dental amalgam is considered safe for most individuals, the cumulative exposure to mercury over time can be a cause for concern, especially for vulnerable populations like pregnant women and young children. Research has indicated that mercury can accumulate in the body, leading to potential neurological and developmental issues, particularly in children whose nervous systems are still developing.
In addition to mercury exposure, some patients may experience allergic reactions to certain metals found in amalgam fillings. Symptoms can include localized swelling, pain, or even systemic reactions that can affect overall health. While these reactions are relatively rare, they do highlight the importance of being aware of your body’s response to dental materials. It's essential for patients to discuss any known metal allergies with their dentist before undergoing dental procedures that involve metal fillings.
Moreover, metal fillings can lead to dental health issues over time. The expansion and contraction of metal materials due to temperature changes in the mouth can create gaps between the filling and the tooth structure. This can lead to secondary decay, which may compromise the integrity of the tooth and necessitate further dental work. Ultimately, understanding the potential risks associated with metal fillings enables patients to weigh their options carefully and decide what is best for their health and well-being.
Metal dental fillings can influence oral health in various ways, both positively and negatively. On one hand, their durability and strength make them suitable for restoring functionality to damaged teeth. They can withstand the forces of chewing and grinding, allowing individuals to maintain their dietary habits without restrictions. However, the benefits of metal fillings can be overshadowed by long-term consequences that may arise from their use.
One significant concern is the potential for corrosion over time. Metal fillings, particularly amalgam, can corrode and release trace amounts of mercury into the surrounding tissues. While the amount is usually considered negligible, there are ongoing debates about the cumulative effects of this exposure, especially in individuals with multiple fillings. Corrosion can also lead to the breakdown of the filling itself, leading to further decay and the need for replacement.
Additionally, metal fillings can affect the balance of oral microbiota. Studies suggest that the presence of metal in the mouth may alter the local environment, impacting the types of bacteria that thrive. This shift in the oral microbiome can contribute to dental problems, including cavities and gum disease. Understanding how metal fillings can affect oral health is crucial for making informed decisions about restorative dental options, as well as for implementing preventive care strategies that promote long-term health.
In response to growing concerns about the aesthetics and potential health risks of metal dental fillings, many patients are exploring alternative materials. One of the most popular options is composite resin, a tooth-colored material that can be closely matched to the natural shade of the surrounding teeth. Composite fillings are made from a mixture of plastic and fine glass particles, providing a durable and aesthetically pleasing restoration. They bond well to the tooth structure, which can help strengthen the tooth and reduce the risk of further decay.
Another alternative is glass ionomer cement, which is composed of acrylic and a special type of glass. This material is often used for fillings in areas that are less subject to heavy chewing forces, such as in pediatric dentistry or for root caries. Glass ionomer has the added benefit of releasing fluoride, which can help to protect the tooth from future decay. While it may not be as durable as composite resin or amalgam, it serves as a suitable option for specific dental needs.
Porcelain and ceramic materials are also gaining popularity for dental restorations, particularly in cases where aesthetics are a primary concern. These materials can be custom-made to match the patient’s natural tooth color and provide excellent strength and durability. Porcelain fillings can be used for both inlays and onlays, offering a versatile solution for restoring damaged teeth. As dental technology continues to advance, the range of alternatives to metal fillings expands, providing patients with more options than ever before.
Choosing non-metal dental fillings comes with a range of benefits that go beyond mere aesthetics. One of the most significant advantages is the reduced risk of adverse health effects associated with metal exposure. Non-metal fillings, such as composite resins and porcelain, do not contain mercury or other potentially harmful metals, making them a safer choice for individuals concerned about their health. This is particularly important for high-risk groups, including pregnant women and children, who may be more susceptible to the effects of metal toxicity.
In addition to health benefits, non-metal fillings offer superior aesthetic results. Composite resins can be color-matched to the patient's natural teeth, creating a seamless appearance that metal fillings simply cannot achieve. This is especially important for fillings placed in visible areas of the mouth, such as the front teeth. Patients often report increased confidence and satisfaction with their smiles after opting for non-metal restorations, enhancing their overall quality of life.
Furthermore, non-metal fillings tend to bond more effectively to tooth structure, which can help to strengthen the tooth and prevent further decay. The adhesive properties of composite materials allow for a more conservative approach to cavity treatment, as less of the healthy tooth structure needs to be removed during the filling process. This can lead to better long-term outcomes and a more natural feel for the patient. In summary, choosing non-metal dental fillings can provide enhanced safety, improved aesthetics, and better overall dental health.
Protecting your smile and health from the potential risks associated with metal dental fillings involves a proactive approach to dental care. The first step is to have open and honest discussions with your dentist about your concerns and preferences regarding filling materials. By expressing your desire to explore non-metal options, your dentist can provide guidance and recommendations tailored to your specific needs. It is essential to have a comprehensive understanding of the materials available and their respective advantages and disadvantages.
Regular dental check-ups are crucial in maintaining oral health and catching potential issues early. During these visits, your dentist can assess the condition of any existing fillings and monitor for signs of wear, corrosion, or decay. If any problems are detected, timely intervention can prevent more extensive damage and preserve the health of your teeth. Being proactive in your dental care can help you maintain a healthy smile and potentially reduce the need for future restorations.
In addition to regular visits to the dentist, practicing good oral hygiene at home is vital in protecting your smile. Brushing and flossing daily can help prevent the development of cavities and reduce the likelihood of needing fillings in the first place. Using fluoride toothpaste and mouthwash can also provide added protection against decay. By adopting a comprehensive approach to oral health, you can minimize risks and ensure that your smile remains bright and healthy for years to come.
Finding a dentist who specializes in non-metal dental fillings can significantly impact the quality of your dental care and the options available to you. Start by researching local dentists with a focus on cosmetic and restorative dentistry. Many dental practices now advertise their use of biocompatible materials, making it easier for patients to identify those who prioritize non-metal solutions. Online reviews and patient testimonials can provide valuable insights into a dentist's expertise and the experiences of other patients.
It's also beneficial to schedule consultations with potential dentists to discuss your specific needs and preferences. During these meetings, ask about their experience with various non-metal filling materials, such as composite resins and ceramics. Inquire about their approach to dental care and how they tailor their treatment plans to individual patients. A dentist who listens to your concerns and provides thorough explanations will help you feel more confident in your decision.
Lastly, consider seeking recommendations from friends, family, or healthcare providers. Personal referrals can lead you to trusted professionals who have a proven track record in providing high-quality dental care. Finding a dentist who aligns with your values and priorities ensures that you receive the best possible treatment, ultimately safeguarding your smile and health.
Regular dental check-ups play a vital role in maintaining your overall oral health and preventing potential issues from escalating. During these visits, your dentist can conduct thorough examinations to identify any signs of decay, gum disease, or problems with existing fillings. Early detection is key to addressing concerns before they become more serious, saving you time, discomfort, and money in the long run. Additionally, routine cleanings help remove plaque and tartar buildup, further reducing the risk of cavities and other dental issues.
Another crucial aspect of regular check-ups is the opportunity to consult with your dentist about your filling materials. If you have metal fillings, these appointments provide a chance to discuss any concerns regarding their safety or effectiveness. Dentists can evaluate the condition of your fillings and recommend appropriate interventions, such as replacements with non-metal materials if necessary. This ongoing dialogue is essential for making informed decisions about your dental care.
Moreover, maintaining a consistent dental care routine helps reinforce the importance of oral hygiene in your daily life. Your dentist can provide personalized tips and strategies to improve your oral health, including proper brushing and flossing techniques, dietary suggestions, and the use of fluoride products. By prioritizing regular check-ups and maintenance, you invest in your long-term dental health and ensure that your smile remains radiant and healthy.
As you navigate the world of dental fillings, it is essential to make informed decisions that prioritize both your smile and overall health. Understanding the different types of fillings, the potential risks associated with metal options, and the benefits of non-metal alternatives empowers you to take control of your dental care. By educating yourself about the materials available and the impact they can have on your well-being, you can choose solutions that align with your values and health goals.
Engaging in open communication with your dentist is crucial for making the best choices for your oral health. By discussing your concerns and preferences, you can work together to develop a treatment plan that meets your needs. Regular dental check-ups and maintenance will further support your efforts in preserving your smile and preventing future issues.
Ultimately, protecting your smile and health is a lifelong journey that requires diligence and awareness. By staying informed about dental materials and practices, you can ensure that your dental choices reflect your commitment to a healthy, beautiful smile for years to come.
GET TO KNOW YOUR BEST DENTIST IN SUMMERLIN
Dr. Marianne Cohan was voted 15- time Best of Las Vegas from The Las Vegas Review-Journal. She received her Doctor of Dental Surgery (DDS) from the State University of New York at Buffalo in 1992.

With an emphasis on cosmetic dentistry, complete makeovers, and implant dentistry, Dr. Cohan is committed to continuing education and feels that we never stop learning. Dr. Cohan takes pride in using high-powered magnification to perform minimally invasive restorative dentistry. She uses all the latest technological advances including digital radiography, digital photography, computer simulations, and high-resolution pictures of your proposed treatment on 55-inch screens. She also utilizes CBCT (cone beam) and laser technology.
Dr. Cohan is always available to her patients and is available for any dental emergency.
How to Eliminate Bad Breath Following a Tooth Extraction.
Halitosis, which is often known as foul breath, is another common oral health issue that people experience around the world, just like tooth decay.
After having a tooth pulled or undergoing other oral procedures, it is usual to experience bad breath. In addition to being uncomfortable, foul breath following tooth extraction can indicate a more serious issue. However, it is typically not something that requires immediate attention because many of the more serious disorders that might emerge following a tooth extraction are accompanied by other symptoms that are more obvious.
Table of Contents
Finding Out What Causes Bad Breath After a Tooth Extraction - foul breath following tooth extraction
Sometimes, bad breath after a tooth extraction is caused by germs infecting the wound that is left behind after the tooth is removed. A lot of different kinds of bacteria in your mouth produce stinky compounds that are expelled from your mouth when you breathe. In these situations, the terrible breath is frequently accompanied by a fever, pus, and intense pain. If you have any of the symptoms of an infected wound, you should go to your dentist very once.
It is normal for your gums to continue to bleed a little bit after surgery. If blood builds up in your mouth, particularly overnight, it can make your breath smell bad. You should visit your dentist to find out if there is a problem if bleeding continues after you have a tooth extraction.
A dry socket is a problem that arises when the blood clot that forms over the empty tooth socket does not form correctly or becomes dislodged. This exposes the bone to debris. After wisdom teeth are removed, dry socket is the most common complication. If you smoke or do not follow your dentist's recommendations after surgery, you are at a higher risk of developing a dry socket.
After a tooth extraction, it might be unpleasant to wash your teeth properly, and many individuals will avoid brushing the area where the tooth was removed or will only brush it gently. This allows for the formation of bacterial plaque, which can lead to food becoming lodged between your teeth and beginning to rot, resulting in an unpleasant odor. After tooth extraction, it is more vital than ever to maintain good oral hygiene, as you have a wound in your mouth that needs to be safeguarded from infection.
Your saliva is not only crucial for helping you digest food, but it is also a natural cleaning agent that your body uses to keep your mouth clean. Saliva is essential for getting rid of bacteria and the unpleasant-smelling compounds they create in your mouth. When your saliva production decreases, this procedure does not work effectively, which causes you to have bad breath.
After a tooth extraction, it is usual for patients to have a decrease in saliva production as a side effect of the pain medications that are provided. It is typical to wake up with a dry mouth after having a tooth removed since you will have a breathing tube put while you are under anesthesia. The breathing tube keeps your mouth open during the surgery.
Maintaining good oral hygiene is the most important and effective technique to treat bad breath after a tooth extraction. Get a toothbrush with extremely soft bristles, and consult your dentist about the best approach to brush the area that is healing without interfering with the healing process. After the first few days, make sure to brush your teeth and use mouthwash after every meal. Don't forget to brush your tongue, too, because it can carry a lot of bacteria that can quickly move to your empty tooth socket.
Mouthwash is the quickest way to eliminate any additional bacteria that may have accumulated in your mouth due to dryness after surgery. Because the wound is still new, the majority of dentists recommend that you should not use mouthwash for the first 24 hours after having a tooth removed. Drinking enough of water is important since the dryness itself will add to the causes of bad breath after oral surgery. However, you should avoid excessive rinsing and spitting because this will get rid of the saliva that protects your mouth from bacteria and cleans away chemicals that can produce odor.
If you smoke, you are more likely to experience dry mouth, and smoking can significantly slow the healing of a cut in your mouth. Additionally, smoking increases your chances of developing a dry socket. If you are unable to stop using nicotine for the entire time that you are recovering, you might think about moving to a method of delivery that does not include smoking, such as vaping. While this still has a negative impact on the healing of wounds, it is much less harmful than tobacco smoke.
There is no reason to panic if you have terrible breath after having a tooth pulled. If you do not have any other symptoms, such as pain, bleeding, or a fever, it is improbable that there is a significant issue. However, if your bad breath does not go away after a day or two, it is a good idea to contact your dentist. This way, you can be sure that nothing is amiss and obtain their advise on what is causing your bad breath. If you experience any other bad symptoms following your operation, you should talk to your dentist about them, since they could indicate a more serious issue. GET TO KNOW YOUR BEST DENTIST IN SUMMERLIN
Dr. Marianne Cohan was voted 15- time Best of Las Vegas from The Las Vegas Review-Journal. She received her Doctor of Dental Surgery (DDS) from the State University of New York at Buffalo in 1992.

With an emphasis on cosmetic dentistry, complete makeovers, and implant dentistry, Dr. Cohan is committed to continuing education and feels that we never stop learning. Dr. Cohan takes pride in using high-powered magnification to perform minimally invasive restorative dentistry. She uses all the latest technological advances including digital radiography, digital photography, computer simulations, and high-resolution pictures of your proposed treatment on 55-inch screens. She also utilizes CBCT (cone beam) and laser technology.
Dr. Cohan is always available to her patients and is available for any dental emergency.

Complications can still arise, even when your tooth extraction is uncomplicated and straightforward. Because wisdom teeth extraction is the most common dental surgery, millions of people have some kind of difficulties or discomfort following the procedure each year. In most situations, this is completely normal. Naturally, having a tooth extracted is a major treatment, and your body will need some time to heal afterward.
Table of Contents
However, if you have an unusual amount of discomfort in the days and weeks following your extraction, it is possible that you have developed an infection as a result of the tooth extraction. What are the symptoms of an infection following a tooth extraction, and how can you tell when you should go to the dentist?
In most cases, an infected tooth will show signs of Infection following Tooth Extraction. You will almost likely develop symptoms that will make it evident to you that you have an infection, so you do not need to worry about an infection remaining unnoticed. So, what is the process by which these infections first develop? An Infection Following Tooth Extraction usually happens when bacteria are able to reach the area where the tooth used to be. The infection starts when the bacteria get into the bloodstream. After then, the body will begin to combat the infection using a variety of techniques, including as fever, swelling, and the accumulation of pus. In nearly all cases, this infection will result in severe discomfort that will keep getting worse until the illness is treated. Here is a brief checklist of the primary signs of an infected socket following tooth extraction: Increasing pain Bleeding that does not stop Breath that is foul Discharge or pus Interestingly, one of the most prevalent reasons for Infection Following Tooth Extraction is smoking too soon after the treatment or using any other oral tobacco products. This is due to the fact that smoking makes it significantly more challenging for the body to fend off an infection, and it also raises the chances of the blood clot that forms in your mouth becoming loose. Therefore, if you want to avoid getting an infection after having a tooth pulled, you should attempt to avoid smoking while you are recovering.
If you have an infected wisdom tooth extraction or believe you have contracted an infection after a conventional tooth extraction, you are likely wondering what to do next. First and foremost, head immediately to your dentist as soon as possible so you may get the wound assessed and passed by an expert. Infections are a significant medical disease that can lead to severe problems if they are not treated. The procedure will be less traumatic and invasive if you begin it sooner rather than later. If you have an infection, the dentist will clean the area and probably give you a prescription for medicines to take at home. How long does it take for an infected tooth to heal after it has been extracted? The seriousness of the infection is what determines this. In most cases of normal extractions, you should be completely healed in one to two weeks. However, if you get an infection, it will take longer to heal. Another item to think about is the reason for the tooth extraction and where the tooth was positioned. For instance, if you had a tooth taken out because of an abscess, you must wait to observe what happens to the abscess after the tooth is gone and whether or not it was successfully removed.
If bacteria are able to enter through a chip, crack, or cavity, there is a possibility that the infection could spread to your other teeth. Is it possible for a dentist to extract a tooth that is infected? The short answer is yes, of course, but it The dentist will try everything possible to save the infected tooth, and extraction will only be considered not the first thing that should be done. as a last resort in most circumstances. Before that occurs, the dentist will typically attempt to drain the infection or carry out a root canal. Yes, you can pull an infected tooth, but this will only be the therapy if all other options have been exhausted.
If you get an Infection Following Tooth Extraction, it won't be the most pleasant experience, but it can be treated quickly if you take care of it right after. If you experience any of the following visible signs, you should schedule an appointment with your dentist as soon as possible so that they may evaluate your condition and begin treatment: extreme and increasing pain, constant bleeding, poor breath, and pus or discharge. GET TO KNOW YOUR BEST DENTIST IN SUMMERLIN
Dr. Marianne Cohan was voted 15- time Best of Las Vegas from The Las Vegas Review-Journal. She received her Doctor of Dental Surgery (DDS) from the State University of New York at Buffalo in 1992.

With an emphasis on cosmetic dentistry, complete makeovers, and implant dentistry, Dr. Cohan is committed to continuing education and feels that we never stop learning. Dr. Cohan takes pride in using high-powered magnification to perform minimally invasive restorative dentistry. She uses all the latest technological advances including digital radiography, digital photography, computer simulations, and high-resolution pictures of your proposed treatment on 55-inch screens. She also utilizes CBCT (cone beam) and laser technology.
Dr. Cohan is always available to her patients and is available for any dental emergency.
You have seen that there is black material on your teeth that does not come off, no matter how much you brush. If it is true, it is possible that it is not a typical stain. You are dealing with calculus or black tartar on your teeth. This guide contains all the information you need to know in order to address this dental issue. If you have black at the base of the tooth or in its upper half, here is what you should know about calculus and how to get your perfect smile back! Teeth with Black Tartar? Every time you consume a meal or drink a beverage, you are providing food for the bacteria in your mouth. That bacteria causes black plaque to form on teeth. Flossing and brushing can help you get rid of it. However, if you do not treat it, it will solidify and turn into black tartar on your teeth. Calculus will develop black and leave a stain. In addition to making it more difficult to maintain your oral hygiene, it can also lead to a variety of oral health issues.
Table of Contents
Even though tartar on teeth is mostly a cosmetic issue, it is important to address it as soon as you can. If not, you are putting your oral health in danger. If you see black at the bottom of the tooth, it may indicate that the tooth is beginning to deteriorate. If there is black between your teeth and gums, it could irritate your gum line and create inflammation. According to the findings, nearly every second adult over the age of 30 in the United States has gingivitis. It is the first stage of gum disease that threatens your oral health. If you do not treat it, it has the potential to develop into periodontitis. It is a serious gum disease that frequently causes significant pain and tooth loss. Periodontitis is a health risk for various disorders, including diabetes, heart disease, and respiratory ailments. This is why it is important to address black spots on teeth that are close to the gums as soon as you can.
The reasons for black stuff on teeth are not so different from the reasons for other health problems. The following are some of the factors that may result in tartar buildup on teeth: Poor oral hygiene. If you do not clean and floss your teeth on a regular basis, you may end up with black stains on your teeth. Plaque is formed first and tartar is formed later, so you should not allow plaque to solidify. Unhealthy eating patterns. Candy and other sugary foods are a major issue for dental health. It might cause a number of issues with your teeth. This also applies to processed foods that are high in starch. Bad drinking habits. Wine is one of the major contributors to tartar buildup on teeth, but alcohol is not the only culprit. You should also stay away from sugary drinks and juices. Using tobacco. If you smoke, your teeth will eventually become discolored. Additionally, if you do not maintain good oral hygiene, the likelihood of tartar developing will only rise. The harm caused by trauma. If you hit your tooth, it could break the enamel, which would make it more susceptible to tartar. Teeth with Black Tartar
What is the most effective method for identifying black tartar on teeth? Look out for these symptoms to determine whether there is a possible issue: The surface of the tooth has dark discoloration. Is there a black spot at the base of a tooth or nearby? Deposits that can be seen. If you notice deposits on your teeth, it could be tartar or a sign that it may develop shortly. Unpleasant breath. This is a common sign that you may have a problem with your oral health. Gums that bleed and teeth that are loose. If tartar has already turned into gum disease, you should go to your dentist very once.
According to a comprehensive research published in 2019, the black substance on teeth that is near the gums and cavities are not related to each other. Having tartar does not necessarily signify that you have a cavity. In addition, your risk of developing it may be lower than others.
The first thing you need to do is buy a toothbrush that has soft bristles. After that, obtain a toothpaste that contains fluoride or one that says "for tartar and plaque." After you have the right equipment, make sure to clean your teeth at least two times a day. Be sure to commit to the process and remove any plaque or deposits. According to the experts, a water flosser is a good option because the high pressure can assist remove plaque from hard-to-reach areas. If that doesn't work, the next step in removing tartar from your teeth is to make an appointment with your dentist. A dental specialist will recommend the best course of action for your unique circumstance and employ advanced equipment.
You may be considering purchasing a plaque scraper and using it at home. However, there is a significant risk because your teeth can be easily damaged. It is preferable to allow a professional to execute the work for which they are licensed and trained. A dental practitioner will scrape the surface of your tooth using a procedure called tooth scaling. This deep cleaning will help deal with black material on teeth near gums. If it is necessary, the dentist will even perform root planning to clean below the gumline.
Prevention is the best medication, which applies to dealing with tartar. You will not be at risk for tartar growth if you take care of the plaque. To avoid calculus from forming, the following are the best rules to follow: Make sure to brush and floss on a regular basis. According to the professionals, you should clean your teeth in the morning and before going to bed. You must use toothpaste that is of high quality and brush your teeth for a minimum of two minutes each time. Flossing once a day should be plenty. For greater results, select a water flosser in addition to the traditional floss. Be mindful of what you consume. The basic tip is to reduce sugar intake, but you should also avoid sticky and highly processed food. In addition, avoid drinking sodas and other drinks that are high in sugar. Change the way you live. If you smoke or consume alcohol, attempt to cut back on those behaviors as much as you can. Regular exercise and improving your general health can help you avoid problems with your oral health. Key point Tartar, also known as calculus, is a black staining that can appear on your teeth. It looks bad and takes away from your beautiful grin. It can potentially become a more serious problem for your oral health, thus it is important to address it in a timely manner. If the black discoloration doesn't go away after brushing and flossing, it's a good idea to reach out to your dentist. Make an appointment to have a deep cleaning and to discuss the best way to improve your dental health! GET TO KNOW YOUR BEST DENTIST IN SUMMERLIN
Dr. Marianne Cohan was voted 15- time Best of Las Vegas from The Las Vegas Review-Journal. She received her Doctor of Dental Surgery (DDS) from the State University of New York at Buffalo in 1992.

With an emphasis on cosmetic dentistry, complete makeovers, and implant dentistry, Dr. Cohan is committed to continuing education and feels that we never stop learning. Dr. Cohan takes pride in using high-powered magnification to perform minimally invasive restorative dentistry. She uses all the latest technological advances including digital radiography, digital photography, computer simulations, and high-resolution pictures of your proposed treatment on 55-inch screens. She also utilizes CBCT (cone beam) and laser technology.
Dr. Cohan is always available to her patients and is available for any dental emergency.

Tooth discoloration is something that can happen to anyone, even those who brush their teeth on a regular basis. Wine can make your teeth purple, while caffeine can make them yellow. There is no reason to worry about these. On the other hand, if you have a black spot on your tooth, it could be a sign of a more serious issue that requires attention. Regardless of the situation, this article will provide you with all the knowledge you need to understand what the spot is and what you can do about it. Is a black spot on a tooth an indication of a cavity? It is a certainty that cavities can lead to the formation of a black spot on tooth. If you do not clean and floss your teeth regularly, food and germs can accumulate on your teeth, resulting in the formation of a material known as plaque. If plaque is left alone, it will eat away at your enamel and create an opportunity for cavities to develop. At that point, you might notice a black dot on the tooth. What is the reason for the black or dark spot on my teeth? Black spots on tooth can be caused by a number of different factors. Therefore, just because you looked in the mirror one morning and saw a black spot on your gums, you shouldn't immediately assume that you have a cavity. The following are some possible reasons for the problem you are experiencing: A black spot may occur on the teeth as a result of an injury to the tooth. The tooth in question has tartar accumulation. A black spot on tooth may be produced by a condition called fluorosis, which is the result of consuming too much fluoride. Your teeth may also get discolored due to staining. What can I do to prevent more black dots from appearing on my teeth? If you are concerned that your behaviors may lead to the development of more brown spots on your teeth, there are a few steps you can do to ensure that it does not happen again. You must make a commitment to yourself to follow a strict dental hygiene routine and treat your teeth with the same care and respect that you would show to someone you love. Make sure to brush and floss your teeth. The simplest counsel is frequently the most effective. Whenever you visit the dentist, they always remind you to brush and floss your teeth. They are not merely using that term as a slogan. Brushing your teeth significantly decreases the likelihood of plaque accumulating on them. Flossing takes it a step farther by removing that possibility. The entire process takes less than five minutes to complete. If you have the money and don't want to commit to a dental hygiene regimen, you might want to think about obtaining porcelain veneers. Veneers are a form of shell that permanently attach to your teeth. If you choose this option, you will be able to safeguard your teeth and you will not have to look up "how to remove black spot on tooth" on the internet in the near future. What is the best way to remove a black spot from my tooth/molar teeth? The first thing you should do is go to the dentist to obtain a professional evaluation. They will inform you of the situation and what steps you must take to resolve the issue. Let's discuss some of the possible paths the dentist might take you down. You will need to undergo various dental procedures if you have a cavity. In most cases, you will require treatments such as fillings, root canals, or crowns. You don't need to be concerned about these because they are extremely prevalent and have a very high success rate. Black spot on tooth that are caused by tartar are somewhat different. Tartar buildup can be removed and discoloration can be improved using procedures like dental prophylaxis or periodontal treatment. If you don't have a cavity and the black substance on your teeth near your gums is due to staining, then teeth whitening will be a good option for you. The Bottom Line A black dot on the tooth could indicate a serious problem. On the other hand, it could be something as basic as stains on your teeth. Therefore, it is your duty to schedule an appointment with your dentist. After that, they may inform you that you will need to have a treatment done to save your tooth, or they may simply send you on your way. Regardless, there are plenty of services available to you to help you with the dental issues you are facing in today's world. GET TO KNOW YOUR BEST DENTIST IN SUMMERLIN
Dr. Marianne Cohan was voted 15- time Best of Las Vegas from The Las Vegas Review-Journal. She received her Doctor of Dental Surgery (DDS) from the State University of New York at Buffalo in 1992.

With an emphasis on cosmetic dentistry, complete makeovers, and implant dentistry, Dr. Cohan is committed to continuing education and feels that we never stop learning. Dr. Cohan takes pride in using high-powered magnification to perform minimally invasive restorative dentistry. She uses all the latest technological advances including digital radiography, digital photography, computer simulations, and high-resolution pictures of your proposed treatment on 55-inch screens. She also utilizes CBCT (cone beam) and laser technology.
Dr. Cohan is always available to her patients and is available for any dental emergency.
Have you ever bitten into something, a cupcake, ice cream, or taken a drink of hot coffee only to experience a stinging ache in your tooth? Sensitivities to hot, cold, or sweet foods or drinks indicate that you may have a cracked, decaying, or diseased tooth. Luckily, they are readily corrected with a trip to the dentist. So, let’s take a closer look at what makes a tooth sensitive to cold, hot, or sweet meals. Why is my tooth sensitive to hot and cold? While the most typical reason for a tooth being sensitive to warmth and cold is a cavity, there are various alternative explanations for this discomfort. Now, let's take a look. Symptoms of Sensitive Teeth If you suffer a fast, acute pain while ingesting something cold, hot, or sweet, or while flossing or cleaning your teeth, you have tooth sensitivity and may call our professionals to receive aid. However, not every tooth sensitivity is the same. Some may feel pain infrequently, while others may have difficulty each time they eat. Either way, it is necessary to determine first what is producing the sensitivity. Causes of Tooth Sensitivity to Cold and Heat There are various reasons you may be suffering a tooth sensitive to cold or teeth that hurt when eating sweets. First, you may have a cavity, or another kind of dental decay, such as a cracked tooth, the beginnings of a cavity that shows up as a black spot on your teeth, worn-down enamel, fillings that need repair, or gum disease. People who have healthy teeth have protective layers that include a coating on the outside of the tooth called tooth enamel and cementum, which protects the roots of the tooth that are located under the gum. These layers protect against infection and shield the nerves in your teeth and gums, which are located in the dentin of the tooth, from acid and food that is at different temperatures. If you wear away these layers, you will expose the dentin or nerve center of the tooth. If this happens and the nerve center comes into contact with hot, cold, or sweet foods, you will feel an intense pain. Is Cold Sensitivity a Sign That You Need a Root Canal? Having a tooth that is sensitive to cold or cold water does not necessarily suggest that you will need a root canal, since there are varying stages of tooth decay. Usually, the dentist will suggest various procedures before anything else. Is it possible for tooth sensitivity to go away? Your dentist can prescribe oral care or undertake dental operations to avoid more sensitivity and relieve the discomfort, depending on the reason of your tooth sensitivity. Tooth sensitive to cold but not to warmth Common Reasons Why a Tooth Is Sensitive to Cold When you eat or drink something cold, such as ice cream or ice water, you could experience a sudden, intense discomfort in your mouth. Here are a few reasons why your tooth is sensitive to cold meals but not hot foods. Gums that are pulling back When you drink cold water, your tooth will pain because the inner nerve of the tooth is exposed, which might cause cold sensitive. As a result, those with receding gums that expose their tooth roots are more likely to be sensitive to cold temperatures. Excessive Use of the Product If you brush your teeth too hard or use a toothbrush with stiff bristles, you may wear away the enamel or cause your gums to recede. Stress and Teeth Grinding People who are under stress often clench or grind their teeth. In addition to wearing down your teeth and enamel, this can also produce fractures, which can contribute to sensitivity. Teeth with Cracks If you grind your teeth or bite down on something hard, you may end up with cracks in your teeth. The fissure therefore allows the cold to reach the root of the tooth, which causes the tooth to be sensitive to cold. Nerve Roots That Are Exposed Exposed root nerves are caused by worn-down enamel or receding gums, and they are more sensitive to cold substances. Common Causes of Tooth Sensitive to Heat It is usual for one tooth to be sensitive to cold, and it is also common for your teeth to pain when you eat sweets. On the other hand, it is a bit more worrisome if your teeth are sensitive to hot foods or liquids. Gum disease or tooth decay A tooth that is sensitive to cold could be an indication of gum disease or cavities. On the other hand, a tooth that is sensitive to hot objects could mean that the nerve inside the tooth is deteriorating or dying and producing an abscess. When I consume sweets, my teeth hurt. Ways to Care for Tooth That Are Sensitive There are a number of different methods for treating and preventing sensitive teeth, so let's have a look: Ways to Avoid Damage to Your Enamel and Receding Gums Brushing your teeth softly using a toothbrush that has soft bristles is an easy way to avoid damaging your enamel and receding gums. This method allows you to clean and protect your teeth without eroding enamel or increasing your gum line, which would expose your roots. Ways Dentists Can Assist with Dental Sensitivity Dentists can assist in a number of ways when it comes to treating dental sensitivity. For instance, they might use fluoride gel to clean your teeth. This gel helps to battle bacteria that cause cavities and strengthens the enamel on your teeth. If the roots of the teeth are exposed, the dentist may also conduct a gum graft to cover the exposed area and relieve sensitivity. Finally, if your root nerve is infected, they may perform a root canal. Solutions for Tooth Sensitivity at Home You can avoid dental sensitivity at home by adjusting your diet and steering clear of sweet or acidic foods, such as orange juice. In addition, brushing your teeth twice a day, flossing on a regular basis, and chewing sugar-free gum after every meal will be beneficial. What is the quickest way to relieve pain from sensitive teeth? The most effective technique to relieve pain caused by a tooth that is sensitive to cold, hot, or sweet foods is to go to the dentist. If you do not have an oral hygienist, we propose Summerlin Dental Solutions for skilled dental care for US consumers. GET TO KNOW YOUR BEST DENTIST IN SUMMERLIN
Dr. Marianne Cohan was voted 15- time Best of Las Vegas from The Las Vegas Review-Journal. She received her Doctor of Dental Surgery (DDS) from the State University of New York at Buffalo in 1992.

With an emphasis on cosmetic dentistry, complete makeovers, and implant dentistry, Dr. Cohan is committed to continuing education and feels that we never stop learning. Dr. Cohan takes pride in using high-powered magnification to perform minimally invasive restorative dentistry. She uses all the latest technological advances including digital radiography, digital photography, computer simulations, and high-resolution pictures of your proposed treatment on 55-inch screens. She also utilizes CBCT (cone beam) and laser technology.
Dr. Cohan is always available to her patients and is available for any dental emergency.
Pregnancy exposes women to a variety of new experiences, some of which might be uncomfortable or painful, during the whole period of their pregnancy. However, in addition to the most evident adverse effects, such as morning sickness, inflammation, and hormonal changes, some women have severe tooth pain during pregnancy. While it is crucial to keep in mind that feeling this is rather normal, there is no reason to be alarmed. This article will explain what you can do if you have a toothache while you are pregnant. We will also provide some advice for what you can use to relieve tooth pain during pregnancy so that you and your baby remain safe. Common Oral Issues That Occur During Pregnancy As previously stated, tooth pain during pregnancy is not unusual, but it does not imply that it should be disregarded. In fact, there are a lot of variables that can raise your risk of oral health problems when you are pregnant, including changes in your dietary choices, changes in your brushing and flossing routines, and elevated hormone levels (progesterone and estrogen). Pregnancy thrush is a condition that some pregnant women suffer. It is caused by an overgrowth of yeast on the tongue and the inside of the cheeks. If you are pregnant and want to check for thrush, the simplest way to do so is to look for milky white areas on the inside of your mouth. Swollen gums are another prevalent ailment that might be attributed to hormonal changes. Hormonal changes during pregnancy can cause blood flow to sensitive places in your mouth, which can lead to the uncomfortable experience of having sensitive teeth. Another typical reason for tooth pain during pregnancy is the wisdom teeth, which have been known to cause problems while you are pregnant. Increased blood flow and variations in hormone levels are frequently the cause of this. Is it possible to have your wisdom teeth taken out while you are pregnant? Yes, thankfully. It is possible to have wisdom teeth removed while pregnant, but the best time to do so is during the second trimester. Toothache during pregnancy : Reasons for Tooth Pain During Pregnancy There are a number of different reasons that toothaches can occur during pregnancy. Because your body is going through a lot of changes, there are instances when you may experience odd side effects that are difficult to explain. With that in mind, here are some of the most typical explanations: An accumulation of plaque When you are pregnant, your body may occasionally alter its natural response to highlighting plaque. If your body chooses to stop fighting it off as it usually does, plaque can start to build up on your teeth and gums, which can lead to tooth decay. As a result, this can cause cavities and a variety of other dental problems. Nausea during the morning Believe it or not, morning sickness can sometimes be the cause of tooth pain during pregnancy. If you vomit due to morning sickness, the acid in your stomach can burn and harm your teeth, damaging the enamel. This exposes them to microorganisms and can lead to other problems, such as swollen gums during pregnancy and tooth rot. Periodontal disease Pregnancy gingivitis is a condition that affects an estimated 75% of women who are pregnant. This can progress to periodontal disease, which is a serious illness that needs to be treated by a dentist. Treatments for Tooth Pain When Pregnant If you suffer excruciating tooth pain during pregnancy, the first and most crucial thing you need to take is to go and visit your dentist. They will check you over and make sure nothing terrible is going on with reference to your oral troubles. Secondly, the greatest remedy is to stay on top of your oral hygiene. This involves regular brushing, flossing, and rinsing with mouthwash to keep plaque at bay and bacteria to a minimum. Lastly, avoid foods that are too hot or cold, as you will probably be more sensitive to temperature during your pregnancy. How to Prevent Tooth Pain While Pregnant As previously stated, it is preferable to prevent something than to treat it after it has occurred. With this in mind, attempt to make your dental hygiene regimen more frequent. Furthermore, after you wash your teeth, make sure to rinse your mouth out or drink water after you vomit in order to remove any extra stomach acid that could be harmful to your teeth. Finally, strive to consume a balanced diet that is natural and clean, and limit your intake of sugary foods and carbohydrates. This is not only the finest option for your teeth, but it is also the best option for your baby. Visiting the Dentist While Pregnant You should be ready to go to the dentist when you are pregnant, now that you are aware that pregnancy can cause your wisdom tooth discomfort to become intolerable, as well as a number of other dental problems, including swollen gums and infections. A lot of women mistakenly believe that they can skip their dentist appointments when they are pregnant, but this is not the case. Going to the dentist and getting procedures done is not only safe for you, but it is also the best thing you can do for both you and your child. Many women have experienced the need to have their teeth removed while they are pregnant. If you are feeling any pain, please get in touch with us immediately so that we can help you keep your teeth healthy at any point in your life. GET TO KNOW YOUR BEST DENTIST IN SUMMERLIN
Dr. Marianne Cohan was voted 15- time Best of Las Vegas from The Las Vegas Review-Journal. She received her Doctor of Dental Surgery (DDS) from the State University of New York at Buffalo in 1992.

With an emphasis on cosmetic dentistry, complete makeovers, and implant dentistry, Dr. Cohan is committed to continuing education and feels that we never stop learning. Dr. Cohan takes pride in using high-powered magnification to perform minimally invasive restorative dentistry. She uses all the latest technological advances including digital radiography, digital photography, computer simulations, and high-resolution pictures of your proposed treatment on 55-inch screens. She also utilizes CBCT (cone beam) and laser technology.
Dr. Cohan is always available to her patients and is available for any dental emergency.
Are you unsure about the expense yet would want to get bridge work done for your dental needs? Look no further! Everything you need to know about bridge work dental cost will be broken out in this extensive guide so you
can make choices on your oral health with knowledge. Common dental procedure used to replace missing teeth, bridge work offers both cosmetic and functional advantages. Nevertheless, guide elements can affect the cost of bridge treatment including the type of material used, the number of teeth involved, and the degree of case complexity. The several kinds of dental bridges that are accessible, their expenses, and the elements influencing the general cost will be covered in this paper. We will also look at possible insurance coverage and finance choices that can help to reduce some of the financial load. Planning your dental treatment depends on knowing the cost of bridge work dental treatments involve. By the time the work ends, you will know exactly what to expect and be more prepared to make a wise choice regarding your dental situation. So let's begin your path towards a more brilliant smile! Bridge work in dentistry refers to: In dentistry, bridge work is a technique whereby one or more missing teeth are replaced by a dental bridge. Attached to the nearby teeth, sometimes referred to as abutment teeth, this dental restoration closes the void created by lost teeth. One can create bridges using porcelain, gold, or a mix of several materials. Bridge work mostly aims to give the patient's smile functionality and attractiveness again so that they may chew food correctly and communicate clearly. Usually, obtaining a dental bridge calls for several dentist visits. The dentist will assess the patient's dental condition, take X-rays, and design a treatment course at the first visit. This proposal lists the materials and kind of bridge to be utilized. Impressions are created to provide a perfect fit for the bridge following abutment teeth preparation. Usually taken a few weeks to fabricate, temporary bridges are put until the permanent one is complete. The patient visits the dental clinic for the placement once the permanent bridge is ready. Before putting the bridge into place, the dentist will make any required changes to guarantee it fits comfortably. All things considered, bridge work is a major dental operation that can restore a person's smile and so improve their oral function, thereby enhancing their quality of life. Dental bridge varieties There are various kinds of dental bridges, each meant to meet certain demands and circumstances. Among the most often used are conventional, Cantilever, Maryland, and implant-supported bridges. Usually made of a prosthetic tooth—or teeth—traditional bridges are fastened by crowns on the nearby real teeth. When both sides of the gap show natural teeth, this kind of bridge is perfect. Though they are supported just on one side, cantilever bridges resemble conventional bridges. This design is appropriate for some circumstances when an adjacent tooth on one side of the gap exists, therefore providing a good solution. Maryland bridges, sometimes called resin-bonded bridges, use a framework anchored to the rear of the nearby teeth. Usually used for patients with lost front teeth, these bridges need little modification to the surrounding teeth. Implant-supported bridges are a more permanent fix and anchor the bridge firmly in place using dental implants. Patients with several missing teeth who want a long-lasting fix will find this approach especially helpful. Every kind of dental bridge has benefits and drawbacks; the decision will rely on personal situation including the location of the missing teeth and general condition of the surviving teeth. Dental bridges: their significance Maintaining general well-being and oral health depends mostly on dental bridges. Rebuilding functioning is one of the main advantages of bridge work. Missing teeth can make it difficult to effectively chew food, which would result in dietary restrictions and maybe nutritional deficits. Bridges help people to enjoy a greater range of foods without pain by closing up the gaps. Furthermore adding to a person's smile's cosmetic appeal are dental bridges. Missing teeth can cause gaps that compromise someone's self-esteem and confidence. A well-placed bridge can greatly enhance the look of the grin, therefore enabling people to feel more confident and at ease in public events. Aesthetic enhancements can increase general quality of life in addition to confidence level. Dental bridges support jawbone structure in addition to use and appearance. Lack of stimulation causes the jawbone to start to shrink over time when teeth are lost. An aged look and changes in facial structure can follow from this. Long-term oral health depends on patients helping to preserve the integrity of their facial features and prevent bone loss by substituting a bridge for lost teeth. What Factors influence bridge work dental cost ? The cost of dental bridge treatment can be influenced by several elements, hence patients should know what motivates these costs. The kind of bridge being used is among the most important elements. While implant-supported bridges must be surgically placed and may call for further operations, traditional bridges may be less costly. The materials chosen also affect cost; porcelain bridges could be more costly than those constructed of metal. The quantity of teeth being replaced is also very important. The general guide cost will be larger the more teeth that require bridging. Particularly if bone grafting or other preparation work is required before the bridge can be placed, each extra tooth calls for more material, labor, and maybe more difficult procedures. Pricing of the dental practice can also be influenced by its physical location. Often impacted by the cost of living, demand for dental treatments, and the experience of the dentist, dental expenses can vary greatly from one area to another. Furthermore influencing the total cost is the dentist's reputation and experience; highly qualified experts may charge extra for their work because of their training and success record. What are Typical dental bridge construction costs? The guide elements already mentioned can significantly affect the typical cost of dental bridge work. Typical traditional dental bridges could run from $1,000 to $5,000 per unit. Usually including the initial consultation, bridge implantation, and any required follow-up consultations, this pricing covers Patients should budget between $3,000 and $7,000 overall for a full dental bridge, which could call for several parts. Usually ranging from $5,000 to $15,000 or more, implant-supported bridges lean on the upper end of the cost range. The complexity of the operation—which can need for several dental implants, surgical placement, and maybe bone grafting to prepare the jaw for the implants—is the cause of this greater expense. Although the initial cost could be costlier, patients should know that implant-supported bridges might provide a more durable fix with a longer lifetime. One should be aware that personal situation will affect these averages. The ultimate price might be influenced by elements including the particular dentist office, the cost of living in the area, and any extra treatments needed. Patients are urged to see their dentist for a customized estimate based on their particular circumstances and course of treatment. Bridge construction insurance coverage The particular plan the patient uses and the type of bridge being fitted will greatly affect the insurance coverage for dental bridge work. Particularly if it is judged medically necessary, many dental insurance plans do offer some degree of reimbursement for bridge work. Patients should be advised, meantime, of the restrictions and exclusions that might apply to their coverage. Usually, dental insurance programs cover a portion of the expenses related to bridge construction, including the operation itself and the used materials. After the deductible is satisfied, most plans pay between 50% and 80% of the overall expenses. Patients should check their policy documentation or talk with their insurance company to learn their coverage limits, waiting times, and any out-of-pocket costs they could run across. Insurance sometimes does not cover specific kinds of bridges, including ones deemed only cosmetic. For example, insurance might not cover an implant-supported bridge if it is considered a discretionary surgery rather than a required restoration. Furthermore, certain plans can have particular limitations on the frequency of dental treatments, thus patients might have to wait a specific term before being covered once more for bridge work. Bridge project funding choices Several financing choices can help people considering dental bridge work find the treatment more reasonably priced. Many dental offices provide in-house financing programs whereby patients may pay for their treatment over time. Many times lacking interest, these programs let consumers better control their dental costs without going broke. Third-party financing firms like CareCredit also guide consumers credit especially for medical bills like dental work. Usually with adjustable repayment options, these companies let consumers select a plan that fits their means. Many procedures welcome CareCredit and related services, which could be a good choice for consumers without the required money but wanting quick treatment. Patients could also discuss payment strategies straight with their dentist. Certain dental practices could be ready to assist patients in developing a customized payment plan fit for their financial circumstances. This open communication helps reduce part of the anxiety related to financing dental treatments, so facilitating the management of the necessary care.
Finding reasonably priced dental bridge solutions calls for thought and study. Comparing rates among several dentist offices is one good tactic. Seeking advice from several dentists will help patients to get estimates and grasp the range of expenses involved. Although cost is a major consideration, one also has to take into account the experience of the dentist and the quality of treatment rendered. Investigating local dental colleges is another way to get reasonably priced dental treatment. Many dental schools let students under the direction of seasoned experts offer discounted treatments. Although the learning process causes these services to take more time, they can be a great means for patients to get premium treatment at a fraction of the expense. Finally, depending on income, patients might investigate community health clinics or non-profit groups that might provide sliding scale dental treatment. For those who might not otherwise be able to afford it, these groups frequently grant access to necessary dental treatment. Investigating several sources of reasonably priced dental treatment helps patients to identify the best one that satisfies their dental requirements and budget. Questions regarding the cost of bridge work to ask your dentist When thinking about dental bridge work, consumers should be frank with their dentist about expectations and costs. These are some crucial questions to probe during the consultation process: For my circumstances, what kind of bridge do you advise? Why? Knowing the dentist's justification for suggesting a certain kind of bridge helps one to understand the operation and related expenses. Could you thoroughly break out the expenses involved? Patients should ask for an open quote including supplies, labor, and any further treatments needed that shows the expenses for every element of the operation. There are several guide financing choices. Understanding the financing choices or payment schedules the clinic provides as well as any possible payment systems will help one better control the expenses. Will my insurance pay for any component of the surgery? Patients should ask whether the practice can help with claim submission and about its experience with insurance companies. The bridge's estimated lifetime is what? And what are the possible maintenance or replacement costs? Patients can better prepare for the long run by knowing the projected lifetime of the bridge and whatever future expenses could result from. Inquiring these questions helps patients to better grasp the financial side of dental bridge work and guide their treatment decisions. Be certain to decide on bridge work dental cost with knowledge Anyone contemplating this restoring treatment must first understand the cost of bridge work in dentistry. Knowing the several kinds of bridges, elements influencing expenses, insurance choices, and financing possibilities can help you make wise judgments fit for your oral health requirements and financial condition. Open conversation with your dentist, inquiries and concerns about treatment choices and cost should be given first priority. This proactive approach will guarantee your knowledge and comfort with your decisions, thereby producing a successful result and better dental health. Investing in dental bridge work will ultimately guide you to greatly improve your quality of life by restoring smile functioning and appearance. Careful guide planning and thought will help you negotiate the financial side of dental treatment, therefore enabling you to get the smile you deserve free from needless financial burden.
GET TO KNOW YOUR BEST DENTIST IN SUMMERLIN
Dr. Marianne Cohan was voted 15- time Best of Las Vegas from The Las Vegas Review-Journal. She received her Doctor of Dental Surgery (DDS) from the State University of New York at Buffalo in 1992.

With an emphasis on cosmetic dentistry, complete makeovers, and implant dentistry, Dr. Cohan is committed to continuing education and feels that we never stop learning. Dr. Cohan takes pride in using high-powered magnification to perform minimally invasive restorative dentistry. She uses all the latest technological advances including digital radiography, digital photography, computer simulations, and high-resolution pictures of your proposed treatment on 55-inch screens. She also utilizes CBCT (cone beam) and laser technology.
Dr. Cohan is always available to her patients and is available for any dental emergency.
Though worried about the expense, are you thinking about having a root canal treatment? You are not one-sided. Often a subject of uncertainty and false information is the actual cost of root canal therapy. We shall expose the reality behind the costs of this dental operation in this essay.
Often used to save a tooth from extraction, root canal treatment—also called endodontic treatment—is to stop more infection, the afflicted pulp and nerve are removed from the tooth's root canal and sealed. Although root canal therapy has well-known advantages, its cost is still much of conjecture. We will investigate the elements influencing the cost of root canal therapy including tooth location, degree of damage, and case complexity in our search. Understanding these elements will help you to make a wise selection and create a financial treatment planning. Watch this space as we clarify the actual cost of root canal treatment and separate reality from myth.
Table of Contents
Often known as endodontic therapy, root canal treatment is a dental operation used to save an infected or inflammatory tooth. The procedure entails the precise removal of the pulp, the soft tissue within the tooth including blood vessels and nerves. The inside of the tooth is cleaned and sculpted to ready it for a filling once the pulp is taken out. Usually gutta-percha, this filler material is packed into the cleansed channel to seal it and stop any more bacterial invasion. At last, the tooth is usually restored in look and function by a crown or another restoring material. Many may question why a root canal is required instead than just having the tooth pulled. The solution is in the maintenance of natural teeth. Maintaining appropriate alignment and function depends on the tooth being retained in the mouth, which a root canal lets happen. Chewing, speaking, even facial structure maintenance depend on teeth in great part. Saving the tooth helps patients prevent the problems resulting from tooth loss, including movement of neighboring teeth and jaw bone loss. All things considered, root canal therapy is a quite successful operation capable of saving a damaged tooth and relieving pain. A dentist or endodontist—who specializes in treating the pulp and surrounding tissues of the tooth—performs it. Demystifying this vital dental therapy starts with knowing what a root canal is.
Many times, root canal therapy is surrounded by a fog of false knowledge that causes patients to have unwarranted concern and fear. One of the most common fallacies is that the operation is quite unpleasant. Actually, root canal treatment is meant to reduce inflammation- or infection-related pain. Modern methods and anesthetic guarantee that the operation itself is rather pleasant; many patients claim to have little to no discomfort throughout the therapy. Usually, the suffering connected with the disease requiring the root canal is much more important than the therapy itself. Another widespread belief is that root canals are only needed by elderly people. Depending on their dental condition and the prevalence of decay or infection, anyone can indeed need a root canal at any age. An individual's risk for requiring this treatment is much influenced by factors like heredity, oral hygiene habits, and food choices. Consequently, it is important to realize that anyone with a compromised tooth can benefit from root canal therapy; it is not confined to any one age group. At last, some people think a tooth loses functionality once it undergoes a root canal. With good care, a tooth treated with a root canal can, however, endure many years—often a lifetime. The tooth can need a crown or a filling following treatment to rebuild strength and function. Regular check-ups and good dental hygiene practices help a treated tooth to remain in your mouth functioning as it should.
One cannot stress the importance of root canal therapy since it is absolutely essential for tooth health. The possibility of this operation to save a natural tooth is among its main advantages. Often the alternative when a tooth is infected is extraction, which can cause a range of problems including shifting teeth, bone loss, and trouble chewing. Maintaining their natural bite and avoiding the possible problems resulting from tooth loss is possible for patients by means of a root canal preservation process. Moreover, stopping the dissemination of infection depends on root canal treatment. Untreated an infected tooth can result in abscesses, painful pus-filled pockets that might aggravate more health issues. More serious systemic problems can result from these infections spreading to neighboring tissues and perhaps into the bloodstream. Early resolution of the issue by a root canal helps patients to prevent major health hazards and preserve their general condition. Apart from advantages for physical health, root canal therapy has psychological ones as well. A person's quality of life may be seriously disrupted by dental pain, which can cause worry and anxiety. Through this operation, patients can alleviate their pain and infection, so enabling them to resume their regular activities free from the weight of tooth discomfort. Therefore, root canal treatment is not only important for physical condition but also for psychological one.
Timely intervention depends on an awareness of the symptoms and indicators suggesting the necessity of a root canal. One of the most often occurring signs is ongoing dental pain. This pain could be throbbing or intense and get worse when biting or pressing the impacted tooth. It can also spread to other parts of the mouth, thereby making it challenging to identify the precise cause of pain. See a dental professional right away if you have persistent pain. Sensitivity to hot or cold temperatures is another indication of a root canal requirement. Although some degree of sensitivity is natural, especially with recently erupted teeth, increased sensitivity that persists long after the stimulus has been eliminated may raise some concern. This kind of sensitivity can indicate that the nerve within the tooth is compromised or infected, which calls for more examination and maybe root canal therapy. Sometimes obvious symptoms like gum soreness or swelling point to a pulp issue with the tooth. Should a tooth develop an abscess, you may find swelling or a pimple-like bump on the gums adjacent to the afflicted tooth. Furthermore, tooth discolouration itself suggests that the pulp within is either dead or dying. By being aware of these indicators and symptoms, one can guarantee quick treatment and prevent more serious consequences down road.
Usually requiring several phases, root canal therapy starts with a comprehensive evaluation by the dentist or endodontist. The dentist will evaluate the state of the tooth and take X-rays to ascertain the degree of damage and whether any infection exists during this first visit. Effective treatment depends on an awareness of the particular architecture of the tooth's root canals. The dentist will explain the operation and address any queries the patient might have once the inspection is over. Local anesthetic is given to the patient on the day of the treatment to guarantee her comfort and pain-free state all through the procedure. The dentist will make an aperture in the crown of the tooth to reach the pulp chamber and root canals following numbing of the area. The infected or damaged pulp is meticulously removed using specialist devices; the canals are cleaned and sculpted to get ready for filling. Eliminating microorganisms and avoiding next illnesses depend on this stage. Gutta-percha, a biocompatible substance, fills the canals once they have been cleaned and sculpted; it seals them and stops any reinfection. Until a permanent restoration—like a crown—can be fitted, a temporary filling is inserted in the opening to guard the tooth. Sometimes the crown needs to be placed during a follow-up visit, so restoring the appearance and function of the tooth. Good communication and care guarantees that patients feel informed and supported all through the procedure. Factors influencing the cost of root canal therapy When one considers the cost of root canal treatment, numerous elements come into play that can affect the whole cost. One of the main elements is the location of the tooth needing treatment. Due their intricacy, molars—which have many roots and canals—usually cost more to treat than front teeth, such incisors. The more complex the operation is, the more related expenses are since more time and money are needed to finish the therapy. Another important consideration influencing expenses is the degree of damage done to the teeth. Should the infection have progressed noticeably or if there is considerable degradation, further treatments such crown implantation or more imaging tests could be required. These extra procedures can raise the general treatment cost. Higher expenses can also result from a tooth that is especially difficult to reach or calls for specific treatments. The cost of root canal treatment is much influenced by geographical location as well. The area and the particular clinic will determine the very different dental prices. For example, demand and overhead costs in metropolitan areas could cause them more expenses. Conversely, rural locations could have more competitive rates. To guarantee they get the best value for their treatment, patients are advised to compare pricing from several dentist offices and shop around.
Managing the expenses connected with root canal treatment depends on knowing about insurance coverage for the therapy. Recognizing them as essential procedures to preserve oral health, many dental insurance policies include endodontic treatments. Nevertheless, the particular plan and provider will affect the degree of coverage. Usually, insurance plans cover some of the treatment expenses—including the operation itself, anesthesia, and any required follow-up care. Reviewing their insurance policy will help patients to know what is covered and what out-of-pocket costs they could run into. Certain plans could call for a waiting period before coverage starts or have restrictions on the annual coverage count of root canals. Patients also should be informed of any coinsurance, copayments, or deductibles that might apply to their treatment. Knowing these specifics will enable consumers to properly budget their money. Many dental offices provide financing choices or payment schedules for people without dental insurance to help patients control the expense of root canal treatment. These schedules allow the cost to be distributed over several months, therefore facilitating the treatment access. Certain procedures can also provide discounts for cash payments or for upfront payments. Investigating these possibilities guarantees that required dental treatment is obtained and helps to reduce the financial load.
Although root canal therapy is a quite successful approach to save a broken tooth, some individuals might take into account other options. One of the most often used substitutes is tooth extraction, in which case the afflicted tooth is totally removed. When the tooth is severely injured or if the patient has underlying medical issues complicating therapy, this alternative might be suitable. Extraction can, however, present several difficulties, including the requirement for dental implants or bridges to replace the missing tooth, which can be expensive and call for other operations. Medication might also be used to momentarily control the infection and pain. Sometimes dentists may prescribe antibiotics to treat a bacterial illness while the patient is weighing their alternatives. This method does not, however, solve the fundamental problem with the tooth, thus it is just temporary. Once the medicine is stopped, the infection can resurfaced, therefore it is necessary to finally look for a more definite remedy. Some patients ask about alternative to root canal treatment natural or holistic therapies. Although certain natural therapies could improve oral health or help with discomfort, they usually are not enough to properly cure a tooth infection. Depending just on these treatments could cause more problems and cause delay in required therapy. Patients should finally see their dentist to go over the best course of action catered to their particular condition and requirements.
Many patients undergoing this required therapy give finding reasonably priced root canal treatment solutions top importance. One smart approach is to look about and evaluate prices at several dentist offices. Ask many practices about their root canal treatment pricing as well as any extra expenses for crowns or follow-up appointments. Gathering this data helps patients make wise decisions and select a provider within their means. Patients might also give thought to getting therapy from dentistry colleges or offices. Many dental schools provide less expensive treatments carried out by students under the direction of seasoned faculty members. At a fraction of the usual cost, this can be a terrific approach to get excellent treatment. Although learning procedure causes treatment at a dental school to take more time, the savings can be really large. Investigating dental discount plans or membership programs is still another choice. For a monthly or annual subscription, these programs are meant to provide cheaper pricing on dental treatments including root canals. Though not insurance, for patients without coverage these programs can offer significant discounts. Carefully reading the terms and conditions helps one to grasp any restrictions and to make sure the plan addresses the required therapies. In essence, choosing root canal therapy requires knowledge. To sum up, knowing the actual cost of root canal treatment requires weighing several elements, including the particular details of the operation, insurance coverage, and personal financial circumstances. Patients can reduce anxiety and make wise decisions regarding their oral health by arming themselves with knowledge on the procedure and common misunderstandings. Timely intervention and effective treatment results depend on an awareness of the indicators and symptoms suggesting the necessity for a root canal. Furthermore, investigating substitutes and reasonably priced solutions helps people to take charge of their dental treatment without sacrificing their health. Whether one decides on root canal treatment or another, the important thing is to give dental health first priority and get professional advice. Speaking with a reputable dental practitioner will assist to clarify things and guide the best course of action catered to your requirements. In the end, root canal treatment can help to save a natural tooth, therefore enhancing both physical and psychological wellness. Understanding the expenses involved and the various choices helps consumers approach their dental treatment with confidence, therefore guaranteeing a better smile for years to come.
GET TO KNOW YOUR BEST DENTIST IN SUMMERLIN
Dr. Marianne Cohan was voted 15- time Best of Las Vegas from The Las Vegas Review-Journal. She received her Doctor of Dental Surgery (DDS) from the State University of New York at Buffalo in 1992.

With an emphasis on cosmetic dentistry, complete makeovers, and implant dentistry, Dr. Cohan is committed to continuing education and feels that we never stop learning. Dr. Cohan takes pride in using high-powered magnification to perform minimally invasive restorative dentistry. She uses all the latest technological advances including digital radiography, digital photography, computer simulations, and high-resolution pictures of your proposed treatment on 55-inch screens. She also utilizes CBCT (cone beam) and laser technology.
Dr. Cohan is always available to her patients and is available for any dental emergency.
Inflammation of the alveolar bone is the condition that is referred to as dry socket, also known as alveolar osteitis. This is a common issue that arises during the process of tooth extraction, and it can be quite painful since the bone and nerves within the tooth become exposed. What exactly does a dry socket look like, and are there any significant distinctions between a dry socket and a regular socket? Well, let's find out. In what ways can you tell if you have a dry socket? You will be left with a socket that is empty after having a tooth extracted, which is the location where the original tooth and its root would have been. In the event that your wound is healing as it should, the empty socket should start to mend on its own, and your pain should start to reduce with each passing day. Nevertheless, the most significant distinction between a dry socket and a normal socket is that the level of pain you experience will start to increase as time goes on. It is possible that you will feel a throbbing sensation that travels from your jaw to your ear and finally to your ear. What does it look like when a socket is dry?
What are some of the most common symptoms associated with it?
Intensifying the hurt Bone or tissue that is visibly present upon inspection In poor taste High levels of sensitivity Breath that is foul In the empty socket, there was no blood clot.
What are the causes of dry sockets? There will be a significant gap in your mouth after tooth extraction, such as the removal of your wisdom teeth, and your body will need time to recuperate so that it can function properly. In response, the body produces inflammation, which results in swelling in the surrounding area. The process by which platelets come together to create a blood clot is the body's way of preventing further damage to the wound and ensuring that it is completely closed.
On the other hand, when comparing dry socket to normal, the situation is quite different on account of the fact that dry socket indicates that the body has not appropriately healed. What are the symptoms of dry socket in these situations, and what are the factors that lead to this condition? An increase in the likelihood of getting a dry socket can be attributed to a few different reasons
including the following:
If you had a preexisting infection before to the operation, smoking, and applying excessive pressure to the area (which could cause the clot to get dislodged) are all factors that could cause complications.
An Approach to Treating Dry Socket Assume for a moment that the worst possible scenario has transpired and that you have discovered that you have developed a dry socket. When compared to a regular socket, what are some of the different methods that you might treat a dry socket? The American Dental Association recommends that patients visit their dentist in order to control their symptoms.
Before anything else, you need to make an appointment with your dentist and seek professional guidance if you are experiencing a great deal of discomfort or if you have the impression that the blood clot has become dislodged.
In most instances, the dentist will use a saline solution to flush out the socket in order to disinfect the area and prevent the infection from spreading to other parts of the mouth. After that, they will gradually pack the socket with a medicated dressing that will manage the pain while simultaneously urging the body to produce new cloth and mend in the correct manner.
Once the dressing has been applied, you will typically be required to visit the dentist once every two to three days in order to have the wound cleaned, to have the dressing changed, and to have the dentist examine the socket to determine how well it is healing. It is possible that you will be administered painkillers and anti-inflammatory medications throughout this period of time in order to facilitate the healing process.
When will you be able to avoid worrying about your dry socket? As soon as you reach the fifth day after the surgery, you can probably stop worrying about dry sockets. If you are wondering when you can stop worrying about dry sockets, you can reach that point. Over time, the likelihood of experiencing a dry socket decreases; hence, the longer the wound has the opportunity to heal, the greater the likelihood that you will just have a normal socket after having a tooth extracted. You can fairly conclude that you are out of the woods and that you have healed appropriately if, for instance, you can see a healthy blood clot growing in your wound and it has been five days or more after the injury occurred. How can you tell if you are experiencing pain or if you have a dry socket? Keep an eye on your pain as the first thing to monitor. Take into consideration that it is totally natural for you to experience some level of discomfort after having a tooth extracted. This is something that you should keep in mind. As a matter of fact, having a tooth extracted from your mouth is a distressing experience for most individuals, and it is typically necessary for you to take painkillers for at least a few days after the surgery is finished. On the other hand, if you observe that your pain levels continue to increase after two to three days and you feel that your mouth is becoming more sensitive, then there is a good likelihood that you have acquired a dry socket. Having said that, the degree to which an individual is able to tolerate pain varies quite a little from person to person. Additionally, there are a few instances in which individuals acquire dry socket without experiencing or the intense sensations of pain. On the other hand, if you are able to maintain your composure in the face of discomfort, there is no need to seek medical attention because the body will heal itself. Be sure to keep a close check on the wound so that you can examine it regularly and make sure that no infections are developing. There are a number of crucial indicators that indicate an infection, including discoloration, pus flowing from the socket, and an unpleasant odor. Understanding the differences between a dry socket and a normal socket is crucial after tooth extraction, with the primary symptom of a dry socket being increased pain days after the procedure. Keeping a record of your discomfort can help determine if you are improving or need to consult your dentist. A brief summary It is my hope that by this point, you have a solid comprehension of the distinctions between a dry socket and a normal socket, as well as some of the most important things to keep an eye out for after you have had a tooth extracted. It is important to keep in mind that the primary symptom that you will experience if you do develop a dry socket is an increased level of pain, even though it has been several days after your operation. Keep a notebook to track your discomfort, noting any improvements or whether you need to contact the dentist for a wound check
GET TO KNOW YOUR BEST DENTIST IN SUMMERLIN
Dr. Marianne Cohan was voted 15- time Best of Las Vegas from The Las Vegas Review-Journal. She received her Doctor of Dental Surgery (DDS) from the State University of New York at Buffalo in 1992.

With an emphasis on cosmetic dentistry, complete makeovers, and implant dentistry, Dr. Cohan is committed to continuing education and feels that we never stop learning. Dr. Cohan takes pride in using high-powered magnification to perform minimally invasive restorative dentistry. She uses all the latest technological advances including digital radiography, digital photography, computer simulations, and high-resolution pictures of your proposed treatment on 55-inch screens. She also utilizes CBCT (cone beam) and laser technology.
Dr. Cohan is always available to her patients and is available for any dental emergency.

Tooth discoloration is something that can happen to anyone, even those who brush their teeth regularly. Your teeth can turn purple from drinking wine and yellow from consuming caffeine. There is no need to worry about these. However, if you have a black spot on tooth, that may suggest a deeper problem that has to be addressed. Whatever the case may be, this article will provide you all the information you need to know about what the spot is and what you can do about it. Is a black spot on a tooth an indication of a cavity? There is no doubt that cavities can cause a black spot to appear on a tooth. If you do not brush and floss your teeth regularly, food and bacteria can accumulate on your teeth, which can lead to the formation of plaque. Left to its own devices, plaque chips away at your enamel and opens the door for cavities to form. At that point, you might notice a black dot on the tooth. What is the reason for the black or dark spot on my teeth? Black spots on teeth can be caused by a number of different factors. Therefore, just because you saw a black spot on your gums when you looked in the mirror one morning, you shouldn't assume that you have a cavity. The following are some possible reasons for your problem: Tooth damage might result in a black patch on the tooth developing. Tartar buildup on the tooth in question. A disorder termed fluorosis, caused by high fluoride ingestion may be responsible for a black dot on the tooth. Staining might also be responsible for the discoloration of your teeth. How Can I Avoid More Black Dots on My Teeth? If you are worried that your habits may cause more brown spots on your teeth, there are a few things you can do to make sure it never happens again. You need to promise yourself that you will commit to a stringent dental hygiene regimen and treat your teeth as you treat someone you love. Brush and floss your teeth. The basic advice is often the best advice. Every time you go to the dentist, they tell you repeatedly to brush and floss your teeth. They are not merely using that term as a slogan. Brushing your teeth significantly lowers the likelihood of plaque accumulating on your teeth. Flossing takes it a step farther by removing that possibility. The entire process takes less than five minutes to complete. If you have the financial means and do not want to commit to a dental hygiene regimen, you might want to think about obtaining porcelain veneers. Veneers are a form of shell that are permanently attached to your teeth. If you choose this path, you will protect your teeth, and you won’t find yourself searching “black spot on teeth how to remove” on the internet any time soon. How Can I Get Rid of a Black Spot on my Molar Teeth? The first thing you will want to do is see your dentist to obtain an assessment by an expert. They will tell you what’s going on and what you need to do to repair the situation. Let’s go over some of the potential paths the dentist will take you. If you have a cavity, you will be looking at some dental work. Typically, you will need to undergo operations like fillings, root canals, or crowns. There is no need to worry about these as they are fairly common, and the success rate is exceptionally high. Black markings on teeth caused by tartar are a bit different. Tartar buildup can be removed and discoloration can be improved with procedures like dental prophylaxis or periodontal treatment. However, if you do not have a cavity and the black substance on your teeth near your gums is a result of staining, then teeth whitening will be a good option for you. The Bottom Line You can have a serious problem if you see a black dot on the tooth. On the other hand, it could be something as basic as stains on your teeth. Make sure to do the right thing and schedule an appointment with your dentist. After that, they may inform you that you require a procedure to save your tooth, or they may simply send you on your way. In any case, there are plenty of resources available to you to help you address the issues you are having with your teeth in today's world.
GET TO KNOW YOUR BEST DENTIST IN SUMMERLIN
Dr. Marianne Cohan was voted 15- time Best of Las Vegas from The Las Vegas Review-Journal. She received her Doctor of Dental Surgery (DDS) from the State University of New York at Buffalo in 1992.

With an emphasis on cosmetic dentistry, complete makeovers, and implant dentistry, Dr. Cohan is committed to continuing education and feels that we never stop learning. Dr. Cohan takes pride in using high-powered magnification to perform minimally invasive restorative dentistry. She uses all the latest technological advances including digital radiography, digital photography, computer simulations, and high-resolution pictures of your proposed treatment on 55-inch screens. She also utilizes CBCT (cone beam) and laser technology.
Dr. Cohan is always available to her patients and is available for any dental emergency.
Have you recently noticed white patches on your teeth? Don’t panic, they might be nothing to worry about, and they are usually simple to treat. What Are White Spots on Teeth? White spots on your teeth can be an early sign of decay, although in some cases it is a purely cosmetic discoloration with no implications for your health or oral hygiene. In many cases, they can be prevented or treated to remove them and prevent further discoloration. What Causes White Spots on Teeth? White spots on your teeth can be caused in adulthood, or as a child, depending on the reason. Some causes of white stains on teeth can be harmful if left unchecked, while others are benign: The Cause of White Spots Teeth in Adults White marks on teeth in adults are most commonly the result of the way your teeth developed as a child. Over consumption and under consumption of certain vitamins and minerals can affect the development of adult teeth when they are still growing. Genetics also plays a factor in how susceptible your teeth are to developing white spots. White patches on teeth that appear after you have reached adulthood are most likely an early sign of tooth decay. They can be addressed by improving your oral hygiene and can be covered by a resin to protect the tooth and limit additional decay or the formation of cavities. The Causes of White Spot Teeth in Children White patches on teeth in children are vital to address, as white spots on baby teeth might be a symptom of abnormalities that may impact the development of their adult teeth. One of the most prevalent causes of white spots on teeth in children is ingesting toothpaste, as its high fluoride content can impair the formation of teeth, especially children’s teeth. This is because their adult teeth are still being developed, and too much fluoride in their system will influence how their teeth grow. Although moderate cases of this are functionally innocuous, more severe cases might damage and thin the enamel coating on their adult teeth because of this. Bacterial plaque is also a common cause of white teeth spots in youngsters, typically as a result of not brushing regularly enough, or not knowing how to brush their teeth effectively. It can also be the outcome of wearing braces, as wearing braces can make it harder for your child to brush all part of their teeth adequately. While discolouration caused by plaque on baby teeth will not impact a child’s adult teeth, it can be a warning of poor oral hygiene habits that will affect their adult teeth if they are not rectified. Children can also acquire white spots on teeth due of vitamin deficits in their diet, or vitamin shortages in their mother’s diet during pregnancy and lactation. Some people naturally have thinner enamel on their teeth which might lead to white patches on teeth. If you have always had white patches on your teeth that are not caused by other reasons, your children can inherit this vulnerability too. Eating too many sugary or acidic meals can also thin your child’s dental enamel. Different Types of White Spots on Teeth Fluorosis White patches on teeth are usually produced by fluorosis, a disorder arising from eating too much fluoride. Fluorosis is often caused by swallowing toothpaste, drinking water that has a lot of fluoride in it, or taking fluoride supplements. Enamel Hypoplasia Enamel hypoplasia is a dental abnormality in which the layer of enamel on the teeth is thinner than it normally is. In adults, it can be caused by a lack of vitamins, physical injury to the teeth, or heredity. Sugar and acidic meals and drinks can also lead to thin tooth enamel by dissolving the outer layer of your tooth enamel over time. They can also provide a food source for the growth of bacterial plaque. If you have poor dental hygiene, this can get worse because sweets and acids can cause more damage the longer they stay on your teeth. The removal of minerals The collection of bacterial plaque on your teeth can decalcify your enamel over time. In many situations, the white spots are early indicators of cavities that can be reversed if they are treated soon. Poor oral hygiene is the most prevalent cause of demineralization, which is a condition that is frequently seen in people who wear braces since braces can make it harder to clean your teeth. Diet Low in Calcium Calcium is an essential mineral for the development of healthy teeth. If you increase the amount of calcium you consume, you may be able to avoid or even reverse the development of white spots on your teeth. What are some ways to eliminate white spots on my teeth? The best method to deal with white patches on teeth is to prevent them with good dental hygiene and to see a dentist at the first sign of white marks so they can advise you on the type of white spots you have and how to cure them. Possible treatments include: If white spots are caused by a lack of fluoride, topical fluoride may be administered. Micro-abrasion is a procedure that removes a layer of enamel from your teeth, which can help to eliminate various discolorations and stains. To give your teeth a more uniform white tone, dentists can conduct tooth whitening treatments. Toothpaste, gels, and strips are examples of tooth whitening solutions that do not require a prescription and are available for purchase. These may take longer to be effective than dental bleaching treatments. Veneers are placed on the front of your teeth to cover up any discoloration. Even while inexpensive or poorly applied veneers can be easy to identify, they can be made to appear very natural. Finally White spots on teeth can be created by many factors in both childhood and maturity. If you or your child have white spots on your teeth, you should speak with your dentist about it because there are many things that can be done to address the issue. More importantly, if you do not take care of the problem in a timely manner, it could become worse.
GET TO KNOW YOUR BEST DENTIST IN SUMMERLIN
Dr. Marianne Cohan was voted 15- time Best of Las Vegas from The Las Vegas Review-Journal. She received her Doctor of Dental Surgery (DDS) from the State University of New York at Buffalo in 1992.

With an emphasis on cosmetic dentistry, complete makeovers, and implant dentistry, Dr. Cohan is committed to continuing education and feels that we never stop learning. Dr. Cohan takes pride in using high-powered magnification to perform minimally invasive restorative dentistry. She uses all the latest technological advances including digital radiography, digital photography, computer simulations, and high-resolution pictures of your proposed treatment on 55-inch screens. She also utilizes CBCT (cone beam) and laser technology.
Dr. Cohan is always available to her patients and is available for any dental emergency.
Alveolar osteitis, often known as dry socket, is a condition in which the alveolar bone becomes inflamed. This is a common problem that can arise after a tooth extraction. It can be highly painful because the bone and nerves are exposed. What does a dry socket look like? Are there any significant distinctions between a dry socket and a normal socket? Let's see what we can discover.
How can you tell if you have a dry socket?
You will have an empty socket where the old tooth and its root used to be after the tooth is removed. If your wound is healing properly, the empty socket should begin to mend on its own, and your pain should start to lessen with each passing day. The primary distinction between a dry socket and a regular socket is that your discomfort will gradually get more intense over time. You can feel a throbbing sensation that starts in your jaw and travels all the way up to your ear. What are the major symptoms of a dry socket, and what does it look like? Pain that is becoming worse Bone or tissue that can be seen during an examination Poor taste Extreme sensitivity Bad breath The empty socket does not have a blood clot.
What Causes Dry Sockets?
When a tooth is removed, such as a wisdom tooth, a significant hole will be left in your mouth that your body will need to mend. As a result, the body produces inflammation, which leads to swelling in the surrounding area. When platelets get together and form a blood clot, this is the body's way of protecting the wound and sealing it shut. On the other hand, the situation is slightly different when comparing dry socket to a regular socket because this indicates that the body has not healed properly.
In these situations, what does dry socket look like, and what causes it to occur? There are a few things that can increase the chances of acquiring a dry socket, including placing excessive pressure on the wound (thus dislodging the clot), smoking, or having a preexisting infection before the surgery took place.
How to Treat Dry Socket
Let's assume that the worst-case scenario has occurred and you have been unlucky enough to develop a dry socket. What are some of the methods you would use to treat a dry socket as opposed to a normal socket? The American Dental Association encourages going to the dentist to control signs. First and foremost, if you believe that the clot has come loose or if you are experiencing significant discomfort, you should return to your dentist and ask for professional guidance.
In most situations, the dentist will use a saline solution to flush out the socket in order to clean the area and prevent the spread of infection. Next, they will gradually fill the socket with a medicated dressing that will help manage the pain while also urging the body to create new cloth and heal properly.
After the dressing is put on, you will typically need to go back to the dentist every two to three days. During these visits, the dentist will change the dressing, clean the wound, and check the socket to see how well it is healing. During this period, you may be given painkillers and anti-inflammatory medications to help with the healing process.
When is it okay to stop being concerned about dry socket?
If you're wondering when you can stop worrying about dry sockets, you can generally consider yourself safe five days following the procedure. The danger of developing dry socket decreases as time goes on. Therefore, the longer the incision has to heal, the more likely it is that you will just have a normal socket after having a tooth out. For instance, if you notice a healthy blood clot growing in your wisdom teeth wound and it has been five days or more, you can reasonably conclude that you are in the clear and that your healing process has gone well.
How do you tell if you have a dry socket or if you are just in pain?
The first thing you should keep an eye on is your pain. It is totally natural to experience some level of pain after having a tooth pulled, so keep that in mind. Having a tooth removed from your mouth is a terrible event for most people, and it will normally require you to take painkillers for at least a few days after the surgery is over. However, if you observe that your pain levels continue to increase after 2-3 days and your mouth seems more sensitive, it is very likely that you have developed a dry socket.
That being said, pain tolerances can vary greatly from one individual to another, and there are some uncommon instances in which a person develops dry socket without experiencing any severe symptoms of pain. However, the good news is that if you can bear the discomfort, you do not need to seek therapy because the body will recover itself. Just make sure to keep an eye on the wound so you can make sure that no infections are developing. Discoloration, pus flowing from the socket, and a foul odor are some of the main signs of an infection.
Summary
By now, you should have a solid idea of the distinctions between a dry socket and a normal socket, as well as some of the most important things to watch for after having a tooth removed. Keep in mind that if you do develop a dry socket, the primary symptom you will notice is an increase in pain that continues to worsen even after several days have gone by after your operation. As a result, it is a good idea to keep a record of your pain (maybe by using a notebook) so that you can note whether or not you are feeling better or whether you need to reach out to the dentist to have your wound examined.
GET TO KNOW YOUR BEST DENTIST IN SUMMERLIN
Dr. Marianne Cohan was voted 15- time Best of Las Vegas from The Las Vegas Review-Journal. She received her Doctor of Dental Surgery (DDS) from the State University of New York at Buffalo in 1992.

With an emphasis on cosmetic dentistry, complete makeovers, and implant dentistry, Dr. Cohan is committed to continuing education and feels that we never stop learning. Dr. Cohan takes pride in using high-powered magnification to perform minimally invasive restorative dentistry. She uses all the latest technological advances including digital radiography, digital photography, computer simulations, and high-resolution pictures of your proposed treatment on 55-inch screens. She also utilizes CBCT (cone beam) and laser technology.
Dr. Cohan is always available to her patients and is available for any dental emergency.

Cavities are among the most frequently occurring dental issues. In fact, studies indicate that 9 out of 10 people will have at least one cavity at some point in their life, and many people will have multiple cavities throughout the course of their lives. However, what do cavities look like on teeth, and how can you tell if you have one? Continue reading to find all the information you need regarding the appearance of cavities and the symptoms that indicate you may have one. What Are Cavities Like? What do cavities look like? This is one of the most often asked questions that individuals have concerning cavities. The fact of the matter is that one cavity can seem extremely different from another cavity. They might vary in size and appearance. In general, they appear to be little holes or chips in the teeth. They might also look like dark patches on the teeth, and they can be different sizes, ranging from a small hole in a tooth that is hard to see to a large cavity that is nearly as big as the tooth itself. You can have cavities that you cannot see because some cavities are so little that they are invisible to the human eye. What is a cavity? What is a cavity, exactly? To put it simply, a cavity is a hole in your tooth. Cavities can form in any of your teeth, and they can also develop between your teeth. In fact, cavities can occur anywhere in your mouth. They indicate that your teeth are decaying, and decayed teeth frequently have a lot of cavities. What are the causes of cavities? How do cavities form in the first place? Teeth are quite tough and naturally resistant, but they cannot maintain that strength indefinitely. The meals you eat and the liquids you consume expose your teeth to a variety of substances, and over time, the tough enamel coating that protects your teeth begins to wear away. If you eat a lot of acidic meals, the enamel layer on your teeth will break down and your teeth will be less protected since the acid in food is very damaging to this coating. Furthermore, the bacteria in your mouth can consume sugary meals, which leads to the production of even more acids that accumulate as plaque around your teeth. As tooth decay progresses, the enamel deteriorates, and white patches may develop on your teeth. If the damage is permitted to worsen without giving the enamel time to heal, an early cavity may begin to develop, and it will continue to become larger as time goes on.
Toothache A toothache is a typical indication that you have cavities. Depending on the size and depth of the cavity in issue, you may have a dull discomfort in your mouth or even on the sides of your face, which may extend to your head. Gums that are swollen or bleeding Cavities can also cause damage to your gums. They have the ability to get swollen and begin to bleed. If you have any discomfort, irritation, or bleeding from your gums, you may have a cavity that has to be addressed as soon as possible. Sensitivity When people have cavities, the sensitive nerve endings are exposed, which causes their teeth to become more sensitive. As a result, you might feel pain or discomfort when you eat hot meals or drink anything that is very cold. A tooth that has dark or discolored areas You can also check for cavities by looking at your teeth in the mirror or by having a friend or family member help you. As mentioned before, cavities frequently show up as black patches on the teeth. They could be yellow, brown, or black in color. Hole in the tooth When you can see a hole in one of your teeth, it is one of the most evident symptoms that you have a cavity. Before you can notice a cavity in this way, you will usually have other symptoms, such as pain and sensitivity. Bad breath Cavities and dental decay may also be causes of bad breath. When teeth decay and rot away because of acid, germs, and plaque, it is normal for bad smells to start to surface. This can lead to breath that is not very fresh. Ways to Avoid Cavities There are a number of things you may do to prevent cavities from developing. Here are some easy tips that you can follow: Ideally, you should brush your teeth twice a day using a high-quality toothpaste that contains fluoride to help prevent cavities. To remove any food that may be lodged or trapped between your teeth, floss your teeth routinely after meals or in the evening. Make an effort to eat a balanced diet and stay away from items that are too high in sugar or acid. Make sure you visit your local dentist for frequent check-ups. What is the treatment for cavities? If you have a cavity, you should go to the dentist to get it treated. Cavities will not heal or go away on their own. If they are not treated, they might grow larger and lead to more serious tooth disease. Although your dentist will be able to cure the cavity, it can cause considerable tooth pain and agony. Depending on the size and depth of the cavity and the overall condition of the tooth, they may employ different techniques. Fillings: If cavities are detected early, they can often be filled with a composite material, metal, or porcelain filling. Crowns: If the tooth decay is already extremely serious, the dentist may remove the affected area of the tooth and build a crown to cover up the damage. Root Canal : In the most serious cases, when the root of the tooth is dead or injured, the entire nerve, blood vessels, and the rotting tooth will need to be removed and sealed up in a process called as a root canal. Make sure to practice good oral hygiene and inform your dentist if you notice any symptoms in order to prevent dental cavities. If you find a cavity sooner rather than later, you will probably only need a dental filling instead of a more complicated procedure. Your dental health is our number one priority. If you are having any of these symptoms or think you might have a cavity, please get in touch with us as soon as possible to make an appointment.
GET TO KNOW YOUR BEST DENTIST IN SUMMERLIN
Dr. Marianne Cohan was voted 15- time Best of Las Vegas from The Las Vegas Review-Journal. She received her Doctor of Dental Surgery (DDS) from the State University of New York at Buffalo in 1992.

With an emphasis on cosmetic dentistry, complete makeovers, and implant dentistry, Dr. Cohan is committed to continuing education and feels that we never stop learning. Dr. Cohan takes pride in using high-powered magnification to perform minimally invasive restorative dentistry. She uses all the latest technological advances including digital radiography, digital photography, computer simulations, and high-resolution pictures of your proposed treatment on 55-inch screens. She also utilizes CBCT (cone beam) and laser technology.
Dr. Cohan is always available to her patients and is available for any dental emergency.

If the sun did not exist, there would be no possibility of there being life on Earth as we know it. In addition to being the source of light and heat, the blazing star is also tasked with protecting the master key that opens the door to life itself. Solar energy, which is required for plant life (and for the entire food chain), is provided by the blazing star. In addition, people can benefit from the powerful star's beams in a variety of ways, including the following: exposure to sunlight can help alleviate depression, aid in the digestion of food, lower blood pressure, help reduce anxiety, alleviate body pain, improve cardiovascular strength, and have an impact on dental health.
Over the course of time, prolonged exposure to sunlight has developed a negative connotation due to the fact that there are negative outcomes associated with receiving an excessive amount of a beneficial factor. Exposure to the sun's rays can, without a shadow of a doubt, hasten the aging process, as well as increase the risk of developing skin cancer, which is the most common form of cancer in the United States, as well as outbreaks of herpes simplex virus, allergic reactions, damage to the eyes, and painful sunburns. Despite the fact that there are risks involved, researchers believe that the positive effects on one's health that are associated with being exposed to a constant stream of light far outweigh the negative effects that are associated with doing so.
Vitamin D, also known as the "sunshine vitamin," is not consumed in adequate quantities by a significant portion of the population in the United States. 25 percent of the population in the United States is at risk for vitamin D inadequacy, while 8 percent of the population in the United States is at risk for vitamin D deficiency, which can contribute to dental problems caused by bone loss. These statistics come from the United States National Center for Health (2011). Both inadequate care and insufficient care are linked to an increased likelihood of developing dental problems.

The sun is the best (and free) source of vitamin D; skin that is directly exposed to sunlight will start the body's natural production of the organic compound. Vitamin D levels in the body can be maintained at healthy levels with adequate sun exposure. Vitamin D is absolutely necessary for maintaining strong bones and teeth. Vitamin D is an essential component of the process that mineralizes bones. It does this by making calcium easier to absorb, which is why it plays such an important role in the process. Calcium is one of the most important nutrients for preserving dental health; however, without vitamin D, the body is unable to absorb sufficient quantities of calcium. Calcium is one of the most important nutrients for preserving dental health. It is unfortunate that this is the case because calcium is one of the minerals that teeth are made of.
People who have low levels of vitamin D not only have an increased risk of breaking bones as a result of osteoporosis, but they also may have a weakened immune system, stand a bigger chance of developing multiple sclerosis and rickets, and increase the odds of individuals dying from specific internal cancers (http://www.news-medical.net/news/34041.aspx). People who have low levels of vitamin D also have an increased risk of breaking bones as a result of
Canker Sores are bad.
Even though they are only small blisters, cold sores can cause a great deal of discomfort due to the infection they cause in the mouth. Cold sores can appear anywhere in the mouth. The unattractive growths are caused by herpes simplex virus type 1, which typically infects people before the age of ten and can be transmitted from person to person. According to estimates provided by the Herpes Virus Association, approximately six out of ten people are infected with HSV-1, which is the virus that leads to cold sores and herpes above the waist (commonly appearing on the face or lips). Even after the virus has been dormant in the body for a significant amount of time, it can be reactivated by sun exposure and cause an outbreak. In accordance with 1-800-Dentist's findings, "According to estimates provided by the Herpes Virus Association, approximately 60% of people are carriers of HSV-1. "Protecting one's lips from the sun with a product that has a sun protection factor (SPF) of 15 is an absolute necessity, regardless of whether a person is attempting to increase their Vitamin D levels or are simply heading out for the day. The sun can cause significant damage to the lips, including premature aging and even cancer. This level of protection can help shield individuals not only from outbreaks of cold sores but also from sun damage, which can contribute to oral cancer. Not only that, but it can also help shield individuals from outbreaks of fever blisters.
The terrifying foe known as oral cancer.
Oral cancer is the common name for the condition known as head and neck cancer. Head and neck cancer is caused by an uncontrolled growth of cells that invades the tissue around it and causes damage to it, most notably in the head and neck region. Oral cancer has a mortality rate that is significantly higher than that of other cancers because it is typically diagnosed at a later stage than other cancers. The infection has already spread to other parts of the body at this point in time. According to the information that can be found on the website http://www.oralcancerfoundation.org/facts/, during the course of this year in the United States, a diagnosis of oral or pharyngeal cancer will be given to nearly 37,000 individuals. Over 8,000 people will lose their lives as a direct result of it, which equates to approximately one death every hour, twenty-four hours a day. Only a little bit more than half of the 36,000 people who have recently been diagnosed with cancer will still be alive in five years. Prolonged exposure to the sun is one of the risk factors that, when combined with other elements, can increase the likelihood of developing the condition.
Even though using tobacco and drinking alcohol is the primary factor in the development of oral cancer, sun exposure (especially at a young age or with continued frequency) also significantly increases the risk that cancerous cells will form. Using tobacco and drinking alcohol is the primary factor in the development of oral cancer. The sun is to blame for this because it emits ultraviolet radiation that travels through the atmosphere and causes damage.
In order to take advantage of the benefit and reduce the likelihood of developing complications as a result of sun exposure, it is necessary to exercise caution. This is because sun exposure can increase the risk of developing complications. One of the steps that can be taken to help deliver the ideal balance is for customers to wear a sun sensor patch that will automatically change colors to warn them when they have reached their sun exposure limit. This will help ensure that customers do not overexpose themselves to the sun.
You don't happen to have a sensor patch, do you? In general, you should spend no more than ten minutes per day exposed to direct sunlight. Exposed time should be limited as much as possible.
If you haven't been to the dentist in so long that you can't remember when you did it, now is the time to schedule an appointment. Dr. Cohan, who works at Summerlin Dental Solutions in Summerlin, Nevada, is able to assist with the diagnosis of dental health issues that are caused by sun exposure. In addition, he is able to assist you with your needs regarding oral hygiene. Summerlin Dental Solutions is located in Summerlin, Nevada.
CLICK HERE TO SCHEDULE YOUR APPOINTMENT!
Dr. Marianne Cohan was voted 15- time Best of Las Vegas from The Las Vegas Review-Journal. She received her Doctor of Dental Surgery (DDS) from the State University of New York at Buffalo in 1992.

With an emphasis on cosmetic dentistry, complete makeovers, and implant dentistry, Dr. Cohan is committed to continuing education and feels that we never stop learning. Dr. Cohan takes pride in using high-powered magnification to perform minimally invasive restorative dentistry. She uses all the latest technological advances including digital radiography, digital photography, computer simulations, and high-resolution pictures of your proposed treatment on 55-inch screens. She also utilizes CBCT (cone beam) and laser technology.
Dr. Cohan is always available to her patients and is available for any dental emergency.
The average lifespan for a well-maintained dental crown is typically around 15 years. However, when taken care of properly, it is common to see them last upwards of 25-30 years. The mouth is a complex system, and there are many factors that can affect the longevity of a crown, including a person’s oral hygiene habits, along with the day-to-day wear it is exposed to.

How Can I Extend the Lifespan of my Crown
How Do I Know When My Crown Needs Replacing?
The amount of wear on a crown is unique to each individual and, though porcelain crowns are durable, they are not indestructible. A crown needs to be replaced if it is chipped or cracked. Allowing a damaged crown to remain in your mouth can increase the chances of decay forming under the crown. Though a crown itself cannot decay, cavities can still form underneath if proper oral hygiene routines are not maintained. Depending on the condition of the crown and extent of the decay, a replacement crown could be necessary. If this decay is not taken care of properly, the tooth might require a root canal. An imbalanced bite, or a crown that was not expertly made and fitted to your bite, could be a reason why a crown would fail earlier than expected. This is one of the most common causes of crown failure. Fortunately, most insurance companies will cover the replacement of a crown if it is over five years old.
More Questions?
Just because a crown is old, does not mean it needs to be replaced. Your dentist should alert you to any warning signs that your crown might fail. A well-maintained crown is an investment that can last you a lifetime. If you are in need of a dental crown, have any questions, or would like to schedule a consultation with one of our experts, please contact our office.
CLICK HERE TO SCHEDULE YOUR APPOINTMENT!
Dr. Marianne Cohan was voted 15- time Best of Las Vegas from The Las Vegas Review-Journal. She received her Doctor of Dental Surgery (DDS) from the State University of New York at Buffalo in 1992.

With an emphasis on cosmetic dentistry, complete makeovers, and implant dentistry, Dr. Cohan is committed to continuing education and feels that we never stop learning. Dr. Cohan takes pride in using high-powered magnification to perform minimally invasive restorative dentistry. She uses all the latest technological advances including digital radiography, digital photography, computer simulations, and high-resolution pictures of your proposed treatment on 55-inch screens. She also utilizes CBCT (cone beam) and laser technology.
Dr. Cohan is always available to her patients and is available for any dental emergency.

When you examined your lips, have you ever been certain that something was there that wasn't there the day before? A dark spot on your lip might make you feel self-conscious about your appearance and can even be embarrassing.
The following list includes thirteen potential causes for black spots on the lips.
Numerous circumstances might cause a person's lips to develop black or dark patches. Many of the contributing variables to this ailment are manageable at home with simple medicine.
Hyperpigmentation
Hyperpigmentation is a skin condition that is relatively prevalent and provides no health hazards. This disorder, which is identified by the darkening of skin areas, is also known as melasma. The colorization could appear everywhere and could be either brown or gray.
Hormone changes are frequently the cause of melasma, and pregnant women are especially prone to getting the disorder.
It's crucial to keep them out of the light until the spots go away, however this may take some time. Topical medicines are often suggested as the next course of treatment if the problem persists.
Vitamin Shortage
Skin discoloration and uneven skin tone are both signs of a vitamin deficit. A doctor can identify deficiencies, most frequently through blood tests. Treatment plans frequently include vitamin-rich diets or a variety of vitamin supplements.
For really severe illnesses, the doctor may prescribe vitamin injections.
An Excess of Iron
A condition known as hemochromatosis is brought on by an excess of iron in the body. Iron builds up in the organs and joints in this syndrome. Hemochromatosis patients may notice a darkening of their skin in a number of places, including on their lips.
Schedule a consultation with your primary care doctor to go over your treatment options, which may involve regular blood donations or prescription medication.
Dehydration
A lack of water intake can cause the body to react in a number of harmful ways. It might, however, result in dryness and irritation of the skin on the face. On the lips, rough skin forms and layers of skin start to fall off. It's possible that you'll get scars, scabs, and other color alterations.
What is the treatment? Make sure to drink enough of water and eat foods high in liquids throughout the day to avoid becoming dehydrated.
Dental Appliances
Dental equipment including braces, dentures, retainers, and other dental fixtures can cause pressure sores if they are not placed correctly. These pressure sores typically leave black stains on the lips or gums where they were until they finally heal.
You might need to find a dentist and schedule an appointment with them in order to get the fixture fixed in order to address these sores. The spots also need to be protected from direct sunlight while they are healing.
Allergies
Another sign that allergies may be to blame is dark blotches on the lips. The medical word for allergic responses that show up on the lips is pigmented contact cheilitis.
The potential reasons of lip irritation include the following:
The following:
If you experience an allergic reaction to any of these ingredients, you need to stop using them right away and seek medical attention.
Medications
One of the potentially harmful side effects of taking several drugs is discoloration of the skin of the lips. Examples of drugs that may result in dark spots to form on the lips include those that fit into the following categories:
Cytotoxic Medications
Changing one's pharmaceutical regimen may entail changing one's course of treatment.
Hormone Dysfunction

Numerous hormonal disorders can induce oscillations in thyroid hormone levels, which can result in the development of black spots on the lips.
To acquire a precise diagnosis and develop a treatment plan, call a doctor as soon as you can.
Vessel Lake
Venous lakes are distinguished by their slender size and high appearance. The hues range from a deep purple to a very dark blue. They are often not malignant, do not hurt, and have no other symptoms, although they can be mistaken for melanoma.
Despite the fact that the precise cause of venous lakes is uncertain, it is widely acknowledged that sun exposure is a contributing factor.
Laser therapy is necessary to eradicate venous lakes.
Sunspots
Sunspots are small, hyperpigmented areas of skin that appear on skin that has been exposed to UV rays for a long time. Those qualities include:
Sun spots are regarded as a sort of precancer that might result in skin cancer. In the medical profession, they are also referred to as actinic keratosis. Schedule a visit with your doctor if you are concerned about sunspots. Chemical peels are a method that can be used to eliminate sun spots, and may be one of the alternatives they provide.
Drinking and Smoking
The toxic substances and hazardous chemicals found in tobacco products can hurt the lips and mouth. Additionally, excessive alcohol use can upset the body's normal toxin balance, which can lead to the appearance of dark patches on the lips.
The best way to stop this symptom from happening is to stop or reduce the amount of these goods you consume.
Angiokeratoma
A benign skin growth known as an angiokeratoma can vary in size, appearance, and even color. They are often dark red or black in color, have a strong feel, and have an irregular surface. Usually, elderly persons experience the appearance of these wart-like lesions.
Angiokeratomas often don't pose any health problems. As an alternative, you can speak with a dermatologist about having the growths examined for any indications of cancer.
Angiokeratoma lesions can typically be removed with laser therapy or by freezing the affected area.
Cancer
The appearance of cancerous growths on the lips can take many distinct forms. One or more of the following symptoms are frequently indicative of cancer development:
I was curious if it was possible to develop a freckle on your lip.
The immediate response is, "Yes." A lip freckle, also known as a labial melanotic macule, is an oval area with a flat surface that can range in color from brown to black.
The majority of people with freckles on their lips are middle-aged women, while they can also be seen on men and younger people. It almost often affects the lower lip and usually develops as a lone lesion. Lip freckles can often confused with other pigmented lesions like sunspots or melanomas. It is in your best interest to have your condition evaluated by a doctor if you see a dark spot on your lip.
How does skin cancer on the lips appear?
Although it can occur on the top lip as well, lip cancer most usually affects the lower lip. Most frequently, lip cancer is categorized as an oral cancer subtype.
Lip cancer typically manifests as the following symptoms:
Although the exact origin of lip cancer is unknown, there are a lot of factors that can increase your risk of getting skin cancer, such as the following:
By avoiding the sun in the middle of the day, using sunscreen that offers wide spectrum protection, avoiding tanning beds, and quitting smoking, you can lower your risk of developing lip cancer. There is no reason to start using tobacco if you don't already.
Homemade remedies are available for treating black patches on the lips.
Many at-home treatments promise to get rid of black patches on the lips. The skin of the lips can allegedly be made healthier or lighter by using the products listed below to remove dark spots:
The following:
You'll start by applying any of the components mentioned above many times daily to your lips. It's been reported that if you stick to this routine, the dark spot will gradually fade away. Some of these remedies need the components to be broken up or blended in order to create a paste or juice.
Skin Care is Important.
Additionally, you might consider investing in specific lip balms that shield your skin from UV rays. An alternative way of exfoliating is to use sugar or salt scrubs. Exfoliation removes dead, discolored cells from the body.
Quit Smoking.
The best way to treat any black spots that may have developed on your lips as a result of smoking is to stop smoking. The use of nicotine patches or gum is one of numerous strategies for quitting smoking. There are alternatives to quitting smoking "cold turkey," which may not be suited for everyone. If you haven't already started using tobacco products, don't start now.
When should you schedule a visit with a doctor if you see black spots on your lips?
Only after trying every other alternative should you see a doctor. There is evidence that some of these treatments are successful for at least some people, despite the fact that home cures have not undergone rigorous scientific testing. In the event that the problem persists, you should see a doctor.
If you observe that a skin lesion is growing quickly, is glossy, or is unnaturally colored or shaped, you should see a doctor as soon as possible.
To treat these issues, locate a dentist in your region. Dental issues may be connected to some of the reasons of black spots on the lips. You should consult a doctor as soon as you can if you find a dark spot on your lips and think it might be malignant.
CLICK HERE TO SCHEDULE YOUR APPOINTMENT!
Dr. Marianne Cohan was voted 15- time Best of Las Vegas from The Las Vegas Review-Journal. She received her Doctor of Dental Surgery (DDS) from the State University of New York at Buffalo in 1992.

With an emphasis on cosmetic dentistry, complete makeovers, and implant dentistry, Dr. Cohan is committed to continuing education and feels that we never stop learning. Dr. Cohan takes pride in using high-powered magnification to perform minimally invasive restorative dentistry. She uses all the latest technological advances including digital radiography, digital photography, computer simulations, and high-resolution pictures of your proposed treatment on 55-inch screens. She also utilizes CBCT (cone beam) and laser technology.
Dr. Cohan is always available to her patients and is available for any dental emergency.

Because there are so many options available, and because every company asserts that they are the finest, it can be challenging to choose which toothpaste would serve your needs the best. Some characteristics, such as flavor, might be subject to individual preference. In some instances, you might require a different quantity of a particular ingredient in your toothpaste compared to the average person. Therefore, rather than making a decision based on what the majority of people want, consult with our Summerlin dentist about which option would be most suitable for your specific requirements.
Components Commonly Discovered in the Majority of Toothpastes
In most cases, the following components can be found in all brands of toothpaste:
Details on the Toothpaste Formulation
Let's look into some specifics now that you have a general idea of the compounds that can be found in the majority of different types of toothpaste.
Sensitivity
Dental disorders such as gum recession can induce sensitivity to both hot and cold temperatures. To address this issue, there are formulations of toothpaste on the market that contain components such as potassium nitrate or strontium chloride.
The way that sensitive toothpaste works is by generating a coating on the outer surface of the tooth that acts as a protective barrier, keeping temperatures from reaching the nerve and causing discomfort. This layer is formed by applying the toothpaste in a circular motion. It is possible that it will take a few weeks after beginning use of this product before any noticeable differences appear.
Whitening
Everyone has the desire to have teeth that are whiter and more brilliant. The removal of surface stains is accomplished by some whitening toothpastes by the use of abrasives. Some, like carbamide peroxide, hydrogen peroxide, and baking soda, are used to whiten teeth. Other whitening products may contain these and other substances.
Be mindful of the impact that using whitening toothpaste has on your teeth, even though some of them claim to be safe for use on a daily basis. If you have started to feel sensitivity since you have started using whitening toothpaste, then you should stop using the toothpaste immediately and seek medical attention.
Tartar Control
When plaque calcifies into tartar, it is far more difficult to remove than it was before. It has been demonstrated that tartar control toothpastes containing chemical components such as pyrophosphates and zinc citrate are effective at removing plaque that is resistant to removal. There are several brands of tartar control toothpaste on the market today, and some of them contain an antibiotic called triclosan. This antibiotic eliminates the harmful bacteria that are found in the mouth.
Fluoride

Fluoride is a mineral that can be found naturally occurring in the teeth and bones of humans. Additionally, it is derived from the earth, plants, and rocks, and it is applied to the teeth of humans in order to promote better dental health. Fluoride has the potential to save a person's teeth. Because it is so helpful, some water treatment plants include it in their systems so that the community's drinking water can have fluoride. This is done so that the community can benefit from having fluoride in their water.
The use of fluoride dental products results in stronger tooth enamel, which reduces the likelihood that the enamel may be affected by tooth decay. Because of the potency of this component, it is able to remineralize areas that have been impacted by acid damage, thereby reversing the early stages of this damage. Fluoride should be included in the toothpaste that people of all ages use, including youngsters.
The ADA's Acceptance and Certification Mark
The American Dental Association (ADA) looks out for the consumer's best interests by conducting clinical trials on currently available toothpastes.
It is required that all toothpastes contain fluoride in order for them to pass muster with the ADA. Additionally, they may contain components that lower dental sensitivity, whiten teeth, minimize gingivitis or tartar buildup, prevent enamel erosion or prevent bad breath.
It is not possible for a toothpaste to receive approval if it contains flavoring chemicals that are known to induce tooth decay, such as sugar. In addition, in order for a manufacturer of toothpaste to have their product approved by the ADA, they will be required to provide scientific proof demonstrating the product's effectiveness and safety. This procedure could take as much as seven years to complete.
Look for the American Dental Association's (ADA) seal of acceptance whenever you go shopping for a new toothpaste. This will assure that you are purchasing a high-quality product.
Remember to Get Your Teeth Checked at the Dentist!
Even though there are many effective dental products available to consumers today, nothing can replace a visit to the dentist for a cleaning that is performed by a trained professional. Make a pact with yourself to do everything in your power to maintain excellent dental health and stick to it. Be sure to schedule routine appointments at Summerlin Dental Solutions in Summerlin, Nevada so that you can maintain the highest level of dental health possible. We look forward to meeting you.? Call us up right away!
CLICK HERE TO SCHEDULE YOUR APPOINTMENT!
Dr. Marianne Cohan was voted 15- time Best of Las Vegas from The Las Vegas Review-Journal. She received her Doctor of Dental Surgery (DDS) from the State University of New York at Buffalo in 1992.

With an emphasis on cosmetic dentistry, complete makeovers, and implant dentistry, Dr. Cohan is committed to continuing education and feels that we never stop learning. Dr. Cohan takes pride in using high-powered magnification to perform minimally invasive restorative dentistry. She uses all the latest technological advances including digital radiography, digital photography, computer simulations, and high-resolution pictures of your proposed treatment on 55-inch screens. She also utilizes CBCT (cone beam) and laser technology.
Dr. Cohan is always available to her patients and is available for any dental emergency.
y.
Dr. Cohan is always available to her patients and is available for any dental emergency.

Brushing your teeth is a well-known and widely-recognized part of overall health maintenance. Due to the interconnected nature of the body, oral health issues can be a precursor to systemic issues. If you want to get the most out of your time spent brushing your teeth, it's crucial that you do so correctly.
It's likely that you've heard a wide variety of advice, myths, and specifics about how to brush your teeth. While there is a wealth of useful data available online, I do believe it is important to dispel a few myths. This article will dispel six common misconceptions about proper tooth care and brushing techniques.

I'm wondering if there are any other teeth-brushing myths you've heard. It's fine if you bought into a few of them as you went along! This is a real thing that occurs.
Due to the overwhelming amount of data available online and the advice we receive from our loved ones, it can be difficult to determine the best course of action. And I bet there are more urban legends circulating about the state of your teeth and gums that you believe. Sure, send some of those my way! I'd be happy to dispel those misconceptions for you.
CLICK HERE TO SCHEDULE YOUR APPOINTMENT!
Dr. Marianne Cohan was voted 15- time Best of Las Vegas from The Las Vegas Review-Journal. She received her Doctor of Dental Surgery (DDS) from the State University of New York at Buffalo in 1992.

With an emphasis on cosmetic dentistry, complete makeovers, and implant dentistry, Dr. Cohan is committed to continuing education and feels that we never stop learning. Dr. Cohan takes pride in using high-powered magnification to perform minimally invasive restorative dentistry. She uses all the latest technological advances including digital radiography, digital photography, computer simulations, and high-resolution pictures of your proposed treatment on 55-inch screens. She also utilizes CBCT (cone beam) and laser technology.
Dr. Cohan is always available to her patients and is available for any dental emergency.

When it comes to your oral health, there are a number of reasons why it is in your best interest to give up smoking.
Even though tobacco use is the leading preventable cause of illness and death around the world, a staggering 32.4 million people in the United States continue to engage in the habit of smoking cigarettes. This is the case despite the fact that the number of people who smoke in the United States is staggering.
Despite the fact that overall smoking rates have significantly decreased over the course of several decades, the American Cancer Society (ACS) reports that more than 16 million Americans are currently living with a smoking-related disease. [Further citation is required] [Further citation is required]
It is common knowledge that smoking increases one's risk for a number of diseases, the most well-known of which are lung cancer and heart disease. On the other hand, the mouth is where many of the health issues that are associated with smoking become evident the earliest and in the most obvious way. Issues that are not as serious, such as discoloration of the teeth, can be on the same spectrum as diseases that have the potential to be fatal, such as cancers of the mouth and throat. These can range from one another.
Tobacco contains a number of different chemicals, including nicotine, tar, and others, all of which contribute to an accumulation of bacteria in the body, which is harmful in a variety of different ways. To add insult to injury, tobacco use lowers the immune defenses of the body, making it more difficult to combat the diseases that were previously mentioned.
Continue reading to gain a better understanding of the connection between tobacco use and oral health, the signs and symptoms that you should look out for, and the reasons why quitting smoking will be the best thing you can do for your mouth when you quit smoking.
There are three primary ways in which the use of tobacco, including smoking and the use of other products containing tobacco, can lead to problems with oral health:
The oral health problems that can result from smoking can vary greatly from one person to the next. They may shift depending on a variety of factors, such as the quantity used and the length of time that smoking has been a habit for the individual.
The Lungs of a Cigarette Smoker
Because nicotine and tar are both components of tobacco, "smoker's mouth" can develop after only a brief period of time spent puffing on cigarettes. It can cause your teeth to become discolored, give you bad breath, cause an increase in the buildup of plaque and tartar, which can lead to periodontal disease and cavities, and generally result in poor oral hygiene.
If a person smokes cigarettes for a sufficiently long period of time, they put themselves at risk of developing mouth sores as well as a condition that is commonly referred to as "smokers tongue." This condition gives the tongue the appearance of being hairy and may even cause it to change color, taking on a yellowish, greenish, or brownish hue.
Inflammation of the Gums
One of the most significant risks that smoking poses to a person's oral health is the development of periodontal disease. According to the findings of a study that was published in the Journal of Dental Research, people who smoked had an increased risk of gum disease that was more than twice as high as non-smokers.
The following is a list of the most prevalent forms of gum disease:
1. Gingivitis, an inflammation of the gums that can be harmful to the body and occurs when plaque and tartar build up and become embedded under the gums as a result of poor oral hygiene. Periodontitis can be identified by a number of symptoms, some of which include gums that are irritated, tender, swollen, and prone to bleeding.
2. Periodontal Disease: If gingivitis is not treated, it can progress into periodontitis, which is a more advanced form of gum disease. Gingivitis is the milder of the two gum diseases.
Periodontal disease is an inflammatory infection that eats away at the gum tissues and can be prevented by maintaining good oral hygiene. Periodontal disease can also be referred to as gum disease. This can, over time, result in receding gums, deep pockets, and bone loss, all of which can make infections both more common and more serious. Additionally, deep pockets can make flossing more difficult. If treatment is not received, there is a chance that the teeth will become loose, that they will lose their attachment, or that they will have to be extracted.
Periodontitis can be treated in two ways: surgically and by performing a deep cleaning below the gum line. Both of these methods are effective.
Diseases of the Throat and Mouth Cancer
The most severe forms of oral cancer, which are caused by tobacco use, can affect the lips, tongue, and throat as well as the mouth. These cancers frequently result in death. According to the Mouth Cancer Foundation, the risk of developing oral cancer in smokers is approximately six times higher than the risk of developing oral cancer in people who do not use tobacco. There is a possibility that you will experience swelling or lumps around your mouth or neck, persistent sores or patches, difficulty swallowing, or repeated bleeding in the mouth and throat. These symptoms can be caused by herpes simplex virus type 1.
Attending routine dental checkups increases the likelihood that any abnormalities in the mouth will be detected as early as possible. This allows for more effective treatment. Your dentist has completed specialized training to be able to examine you for warning signs of oral cancer, and going in for these examinations on a routine basis increases the likelihood that any abnormalities will be discovered.
How to Break Your Smoking Habit and Improve Your Oral and Overall Health by Quitting Smoking

Quitting smoking is the most important step you can take to reduce all of these risks, and it's also the step that most people overlook. Or better yet, never start. The American Lung Association recommends the following strategies for assisting smokers in kicking the habit:
Find ways to keep yourself occupied that are also beneficial to you, and then make sure you actually do those things. Exercising, beginning a new hobby, or participating in an activity that you enjoy with friends who don't smoke are all effective methods for kicking the habit.
Quitting smoking will unquestionably result in a significant increase in benefits, despite the fact that the process of doing so may be difficult. Your lung function will improve over time, your heart rate and blood pressure will decrease, and as a direct result, your risk of developing cardiovascular disease will drop by a significant amount. On its website, the American Cancer Society (ACS) provides a Quit Smoking Timeline, which outlines the numerous positive effects that quitting smoking will have on a person's health from the moment they put their first cigarette out of their mouth to well after ten years have passed since they last lit up a cigarette in their mouth. This timeline covers the period of time from the moment they quit smoking until well after ten years have passed since they last lit up a cigarette
It is possible to reverse some forms of gum disease, and all forms can be halted or prevented entirely by maintaining a healthy oral hygiene routine and going to the dentist for checkups on a regular basis. A study that was presented at the meeting of the American Academy of Periodontology and that was published in the Journal of Periodontology discovered that the likelihood of developing periodontal disease decreased significantly with each additional year since the individual stopped smoking. This information was presented at the meeting of the American Academy of Periodontology.
CLICK HERE TO SCHEDULE YOUR APPOINTMENT!
Dr. Marianne Cohan was voted 15- time Best of Las Vegas from The Las Vegas Review-Journal. She received her Doctor of Dental Surgery (DDS) from the State University of New York at Buffalo in 1992.

With an emphasis on cosmetic dentistry, complete makeovers, and implant dentistry, Dr. Cohan is committed to continuing education and feels that we never stop learning. Dr. Cohan takes pride in using high-powered magnification to perform minimally invasive restorative dentistry. She uses all the latest technological advances including digital radiography, digital photography, computer simulations, and high-resolution pictures of your proposed treatment on 55-inch screens. She also utilizes CBCT (cone beam) and laser technology.
Dr. Cohan is always available to her patients and is available for any dental emergency.

What exactly is meant by the term "supplemental insurance plan"?
We are all aware that having some form of financial protection, whether it be health, dental, life, auto, or home insurance, is a good idea. This is because having coverage will give you peace of mind and will protect you in the future. However, what if the insurance plan you have does not cover everything that you might require?
You may be familiar with the term "supplemental insurance" in relation to dental benefits and health insurance. But what exactly is supplemental coverage, why might you require it, and is purchasing it really going to be worth the money that you spend on it? Let's dive in.
What exactly does "Supplemental Coverage" entail?
To put it another way, supplemental dental insurance is additional private health coverage that you can purchase to help you pay for costs that aren't covered by your primary insurance policy. This additional coverage can assist you in paying for costs that aren't covered by your primary insurance policy.
Your need to pay common out-of-pocket expenses like copays, deductibles, and coinsurance might be reduced or even eliminated entirely, depending on the supplemental benefits you pick to go along with your primary insurance plan. Some supplemental plans may also pay for a portion of services and other costs that are not covered in any way by your primary insurance policy. This is something that is not the case with all supplemental plans.
As a result of the fact that supplemental insurance is intended to fill in these gaps, policies that are designed specifically for people who are enrolled in Original Medicare are frequently referred to as "Medigap" plans.
Supplemental Insurance Definition
A policy known as supplemental insurance is one that you hold in addition to the primary benefits you already have. It can help you pay for out-of-pocket costs or other expenses that aren't covered by your primary plan, such as deductibles or copayments.
Why Do I Require Additional Insurance Coverage?
At this point, you might be wondering to yourself, "Do I really need additional insurance?" The correct response is "no." It is possible for you to go to the dentist and receive the necessary services even if you do not have insurance that covers the cost of doing so. On the other hand, the question of whether or not you ought to get supplemental insurance is an entirely separate one.

Unfortunately, this question is difficult to answer due to the fact that everyone's circumstances are unique. Consider whether or not you would gain any benefits from purchasing additional coverage. comes down to what your primary insurance covers, what services you might need in the coming year, and how much you are reasonably able to pay on your own for any out-of-pocket costs that may arise. Other out-of-pocket expenses, such as deductibles, copays, and coinsurance, as well as other fees, can quickly add up to hundreds, if not thousands, of dollars in charges. You will have increased protection against these financial burdens if you have supplemental insurance, particularly in the event of an unanticipated illness or injury that may require dental care.
Who Should Consider Purchasing Additional Health Insurance?
Those who are already covered by dental benefits provided by their employer may not need to worry as much about purchasing additional insurance. Having said that, the majority of standard plans only cover fifty percent of major procedures like crowns and root canals, and they might not provide any coverage at all for orthodontics. You should probably think about purchasing some kind of supplemental plan if you or your family members believe that you will require extensive medical procedures or braces in the near future.
People who already have health insurance plans that meet the requirements of the Affordable Care Act are another group that might gain something from purchasing supplemental coverage. Adult dental coverage is not regarded as a "essential health benefit" by the Patient Protection and Affordable Care Act (ACA). Those who have purchased health insurance through their state's marketplace should probably give some thought to the possibility of purchasing supplemental coverage through private insurance.
Those who are currently enrolled in Original Medicare are the final group that may want to give supplemental insurance serious consideration. If you receive these kinds of benefits through the federal government, you may wonder if you truly require a Medicare supplement plan. The answer, which is likely yes, is that you do need a Medicare supplement plan.
Dental procedures are not covered by the original Medicare plan, unless the treatment in question is required in conjunction with certain hospital care. (Medicare Advantage (Part C) plans offer comprehensive protection by bundling Medicare Parts A and B into a single plan. Additional coverage options, such as dental and prescription drug (Part D) coverage, may be added to a participant's Part C plan. Medicare Supplement insurance policies, also known as Medigap, are able to assist in the payment of any out-of-pocket costs that are not covered by Medicare Parts A and B. Although it extends coverage beyond that of Medicare, the supplemental insurance known as Medigap is not provided by the federal government.
Regrettably, participants in the Original Medicare program frequently do not receive the necessary dental care they require. This is an even more serious problem when one considers that seniors, who make up the majority of Medicare recipients, are already at an increased risk for issues such as tooth decay and gum disease. It has been demonstrated that issues like these can contribute to or exacerbate the development of other conditions like diabetes and heart disease.
Should any of these problems manifest themselves, considering adding dental coverage to your supplemental insurance plan can help you address them as soon as they appear. You will also have access to preventative dental care, which will lower the likelihood that you will require more expensive procedures in the future.

Supplemental insurance may end up saving you a significant amount of money in the long run if your primary health insurance policy does not cover dental care or only covers a small portion of dental care costs.
Consider the following: If you do not have dental coverage, the cost of just one preventative dental visit (which typically includes an exam, cleaning, X-rays, and fluoride), could range anywhere from $200 to $300. The majority, if not all of these costs, will probably be covered by a quality dental plan. It will also help you save a significant amount of money on any additional procedures, such as fillings, crowns, root canals, or dentures, that you may require in the future.
And what about plans known as "Medigap"? Is it worth it to pay for Medicare supplement plans? If you are enrolled in the Original Medicare program, purchasing additional dental insurance as a supplement to your coverage is a very good idea. According to the Kaiser Family Foundation, in 2016, 65% of people receiving Medicare did not have dental coverage, and 49% of those people stated that they had not visited a dentist in the previous year. 19% of those without supplemental insurance who did seek dental care reported out-of-pocket costs of more than $1,000. This was the case for those who did seek dental treatment.
Given the correlation between oral and systemic health, it is of the utmost importance to ensure that you have access to dental care; however, we are aware that there are many factors to take into consideration. Make use of our advice to assist you in selecting a plan that is suitable for both you and your grin.
CLICK HERE TO SCHEDULE YOUR APPOINTMENT!
Dr. Marianne Cohan was voted 15- time Best of Las Vegas from The Las Vegas Review-Journal. She received her Doctor of Dental Surgery (DDS) from the State University of New York at Buffalo in 1992.

With an emphasis on cosmetic dentistry, complete makeovers, and implant dentistry, Dr. Cohan is committed to continuing education and feels that we never stop learning. Dr. Cohan takes pride in using high-powered magnification to perform minimally invasive restorative dentistry. She uses all the latest technological advances including digital radiography, digital photography, computer simulations, and high-resolution pictures of your proposed treatment on 55-inch screens. She also utilizes CBCT (cone beam) and laser technology.
Dr. Cohan is always available to her patients and is available for any dental emergency.

Do you have white patches in your mouth and you're not sure what causes them? Find out what's causing your white spots, what symptoms they cause, and how they can be treated.
Are you experiencing any pain or discomfort on the inside of your mouth? Do you experience excruciating pain in the white patches that appear in your mouth? There could be a number of factors contributing to these annoying white spots. And while it is true that if they are not treated they may eventually disappear, it is also possible that these white patches are related to health conditions that need to be treated by either your dentist or your doctor. Continue reading if you've experienced any of the symptoms described above so that you can learn how to bring them under control.
Sores of the mouth and the cold sores
Canker sores, also known as apthous ulcers, are frequently mistaken for cold sores, but there is no comparison between the two types of sores. An ulcer that forms on the floor of the mouth is medically referred to as a canker sore. A cold sore is a viral infection that manifests as a fluid-filled blister on the outside of the mouth, most commonly on the lips. Cold sores are caused by the herpes simplex virus. In contrast to a canker sore, a cold sore is caused by the herpes simplex virus (HSV), and if it is not treated, it can spread to other people very easily. Canker sores are more of a painful annoyance than anything else, and they can go untreated for a long time.
Canker sores are one of the most common oral conditions that people experience. The majority of people who have canker sores only experience them on an occasional basis. However, between twenty and thirty percent of those who have them experience recurrent outbreaks. Canker sores are painful mouth ulcers that typically appear three to four times per year and last for about a week each time. Canker sores that are complex are more severe in both size and pain, and they can last for up to a month.
Causes of mouth ulcers known as cankers
Canker sores are caused by a variety of factors, including but not limited to hormonal shifts, stress, and physical mouth trauma. Canker sores can also be caused by eating certain foods, such as citrus fruits. Deficiencies in essential vitamins, such as vitamin B12, iron, folic acid, and zinc, can also contribute to the issue.
Canker sores' telltale signs and symptoms
Canker sores are ulcers that develop on the gums and other soft tissues of the mouth. They can be round or oval in shape, and the perimeters are colored red, while the interior is white or a very pale yellow. Before the full effect takes hold, you might experience a stinging or burning sensation. Another symptom is a painful stinging sensation, which is especially noticeable when eating or talking.
Canker sore treatments and remedies

Rinse your mouth with a solution of baking soda and water, or saltwater, to assist in the treatment of your canker sores. You could also try applying a dab of milk of magnesia directly to the wound to see if it helps. Both of these approaches can be repeated multiple times throughout the course of a single day.
If your symptoms have been going on for more than two weeks, getting worse with home remedies, occurring several times per year, or are severe, you should schedule an appointment with your dentist. In the event that your canker sores are accompanied by other symptoms, such as a headache, fever, diarrhea, or rash on the skin, you should seek medical attention. Treatments for canker sores are aimed at alleviating the symptoms, reducing the inflammation, and preventing secondary effects like a bacterial infection from occurring. They are unable to provide any assurance that you will not be susceptible to ulcers in the future.
You could be given a steroid mouth rinse, anesthetics, or antibiotics to treat the infection and relieve the pain. These treatments aim to reduce the inflammatory irritation that is causing the infection.
Protection Against Canker Sores
Canker sores (patches) are, in general, difficult to anticipate and challenging to avoid. Fortunately, once they have made their presence known, there are steps that can be taken to ensure that the predicament will not deteriorate further. Please make every effort to avoid coming into contact with your canker sores. It's best to avoid touching them too often with your tongue and to be extra cautious when you're brushing your teeth. Steer clear of foods and beverages that are particularly acidic, spicy, or hot. Also, try to avoid eating foods that are rough on the teeth, such as chips.
Leukoplakia
It is important to take leukoplakia very seriously. Even though benign leukoplakia accounts for the vast majority of cases, there is a possibility that some cases may be precancerous.
What Sets the Stage for Leukoplakia
Leukoplakia is one of the dental issues that can be brought on by chewing tobacco and smoking on a regular basis. Inadequately fitting dentures, HIV or AIDS, and prolonged sun exposure to the lips have all been implicated as potential contributors to the development of leukoplakia. Oral leukoplakia has been linked to oral cancer in a small number of extremely rare cases.
Leukoplakia's telltale signs and symptoms
The most prominent symptom of leukoplakia is the presence of thick, white patches in the mouth that do not come off easily when scraped. These patches can be flat or take on an irregular shape, and over time they tend to become more rigid or thicker. When the condition is severe, you might have some discomfort or even some pain when you swallow. Erythroplakia are the red lesions that could appear. Leukoplakia that is accompanied by red lesions has an increased risk of developing into cancer or becoming precancerous.
Medications and therapies for leukoplakia
Anyone who has been given a diagnosis of leukoplakia should immediately give up using any kind of tobacco product. A dentist will be able to rectify the situation for you if it turns out that the leukoplakia you have is brought on by improperly fitting dentures, an uneven tooth surface, or an irregular filling surface. You may be given antiviral medications or treatments that are applied topically if it is determined that your leukoplakia is caused, in part, by a weakened immune system.
To determine whether or not your patches are cancer, a biopsy of your leukoplakia should be performed by either your dentist or your doctor. Oral surgery will be performed to remove it if it turns out to be necessary.
Leukoplakia Prevention

Once you've had leukoplakia, it's possible to get it again in the future. We recommend that you schedule a follow-up appointment with both your primary care physician and your dentist.
Giving up tobacco in any form as well as giving up smoking is one of the most effective ways to prevent leukoplakia. Leukoplakia can be avoided to a large extent by practicing diligent oral hygiene on a regular basis. One more helpful piece of advice is to drink less alcohol and consume a diet that is high in antioxidants.
Oral lichen planus Oral lichen planus is a form of lichen planus that affects the mouth and causes inflammation of the mucous membranes. It is an autoimmune condition. Oral cavity lichen planus is the most common type of lichen planus, but it can affect any mucosal lining, including the lining of the esophagus and the vaginal canal. Oral lichen plus affects only 2% of the population, and the majority of those affected are older women.
The factors that lead to oral lichen planus
There is a school of thought amongst professionals that genetics and immunity could play a part. Some people think lichen planus is caused by an autoimmune disease or a cell-mediated immune response, but others disagree. Oral lichen planus has been linked to the use of beta-blockers and nonsteroidal anti-inflammatory drugs (NSAIDs). These links have been substantiated by medical research.
Symptoms of Oral Lichen Planus Oral lichen planus is characterized by the development of lacy white patches. A burning pain may also be present, along with bleeding gums when eating or brushing teeth, redness, open sores, and swelling. Other symptoms include these. You may also find that foods that are too acidic or too hot bother your stomach.
Oral lichen planus treatments and medications
The symptoms of oral lichen planus can be managed, despite the fact that there is no cure for the condition. Corticosteroids can be taken orally, applied topically, or injected to reduce inflammation. A dentist or doctor can prescribe these medications. You might also be given numbing gels to help reduce any pain that you are experiencing.
In addition, the immune system of some people can be controlled or suppressed through the use of certain medications. You should be aware that oral lichen planus can increase your likelihood of developing secondary infections, nutritional deficiencies, and oral cancer. Checkups at regular intervals are something that people who suffer from oral lichen planus are strongly encouraged to do.
Preventative measures for oral lichen planus patches
You may not be able to completely avoid developing oral lichen planus, but you can reduce your chances of getting it by maintaining a healthy weight with a diet that is high in fruits and vegetables and by cutting back on your consumption of alcohol and tobacco.
Thrush of the Mouth
There is a trace amount of the candida fungus present in the oral cavity, digestive tract, and skin of every human being. These are maintained at a level that is conducive to good health by other bacteria and microorganisms. However, if this delicate equilibrium is upset, you may end up developing oral thrush because the fungus candida grows to unhealthy proportions in your mouth.
The Roots of Oral Candidiasis
Oral thrush, also known as candidiasis, can be caused by an overgrowth of candida and can be brought on by a number of factors, including the use of certain medications, such as antibiotics, birth control pills, and corticosteroids. Oral thrush can also develop in people who are pregnant, have cancer, uncontrolled diabetes, HIV infection, or dry mouth.
It is possible to have an overgrowth of candida if you are a smoker, if your dentures do not fit properly, if you are breastfeeding an infected baby, or if you do not practice good oral hygiene.
Oral thrush has the following symptoms:
White sores that are slightly raised patches and have the appearance of cottage cheese can be one of the symptoms of oral thrush.
It is common for the sores and patches to manifest themselves on the tongue or the inner cheeks, but they can also manifest themselves on the gums, tonsils, roof of the mouth, or the back of the throat.
It's possible that oral thrush will make your mouth feel as though it's full of cotton. At the corner of your mouth, it may cause you to experience irritation, pain, a loss of taste, redness, and cracking or bleeding. Visit your dentist or primary care physician as soon as possible if you observe any of these symptoms.
Treatments Available for Oral Candidiasis
Gargling with salt water, quitting smoking or cutting back on the amount of tobacco you use, reducing the amount of sugar you consume, and using an antibacterial mouthwash are all effective treatments for oral thrush. You may also be given an antifungal medication by your dentist or primary care physician.
Oral thrush may be a symptom of another medical problem; therefore, your dentist may recommend that you discuss any possible underlying health issues with a physician.
Protection Against Oral Thrush
Oral thrush can be avoided with the help of proper oral hygiene to the greatest extent possible.
Make it a habit to brush and floss your teeth every day, clean your dentures at least once per day, and maintain regular dental checkups. After using a corticosteroid inhaler, you should always make sure to rinse your mouth with water before continuing with your day. Rapid treatment is necessary for vaginal yeast infections. Reduce the amount of sugar you consume, and if you have diabetes, pay close attention to maintaining stable blood sugar levels.
Concerned About White Spots on Your Skin?
Do you want to get to the bottom of what's causing the white spots in your mouth once and for all? To get started, call Summerlin Dental Solutions in Summerlin, Nevada today.
CLICK HERE TO SCHEDULE YOUR APPOINTMENT!
Dr. Marianne Cohan was voted 15- time Best of Las Vegas from The Las Vegas Review-Journal. She received her Doctor of Dental Surgery (DDS) from the State University of New York at Buffalo in 1992.

With an emphasis on cosmetic dentistry, complete makeovers, and implant dentistry, Dr. Cohan is committed to continuing education and feels that we never stop learning. Dr. Cohan takes pride in using high-powered magnification to perform minimally invasive restorative dentistry. She uses all the latest technological advances including digital radiography, digital photography, computer simulations, and high-resolution pictures of your proposed treatment on 55-inch screens. She also utilizes CBCT (cone beam) and laser technology.
Dr. Cohan is always available to her patients and is available for any dental emergency.