Easy, Fast, and Flexible Financing for Everyone - 0% Interest for 12 Months!

 Serving all neighborhoods: Summerlin, Rhodes Ranch, Queensridge, Sun City, Henderson, Spring Valley, Centennial Hills, Red Rock, The Summit, The Lakes, Centennial Hills and the rest of our Valley

 

How To Stop grinding Your Teeth in Summerlin

teeth grinding solutions at summerlin dental solutions

THESE ARE QUESTIONS THAT WE ARE ASKED:

HOW TO STOP GRINDING TEETH?

HOW TO STOP GRINDING TEETH IN SLEEP NATURALLY?

HOW TO STOP TEETH GRINDING?

WHY DO I GRIND MY TEETH AT NIGHT?

WHY DO PEOPLE GRIND THEIR TEETH?

WHY ARE MY TEETH CRACKING?

The discomfort that teeth grinding, and jaw clenching may cause can be distressing and have a substantial impact on your everyday life if left untreated. Dentists at Summerlin Dental Solutions have noted an increase in the number of patients clenching and grinding their teeth since the COVID-19 pandemic began. In addition to discomfort in the mouth and gums, jaw joints and muscles can be affected by teeth clenching and/or grinding (sometimes referred to as bruxing). The discomfort it produces can be excruciating, and it can have a considerable impact on your everyday activities.

Are you clenching your jaw at this very moment?

Our top and bottom teeth are only intended to come together when we require them to, such as when biting and chewing food. Our teeth may touch each other just for a short period of time throughout the course of the day, which is normal for us.

As you read this, consider how your teeth and jaws have been positioned unconsciously throughout your life. You should be calm when reading, and your teeth should be apart if you are not eating or chewing while doing so. This is true regardless of whether your lips and mouth are closed.

A dental examination at your Summerlin Dental office can assist in identifying the indicators of teeth grinding and jaw clenching.

It is possible that we will wear down our teeth over time if we grind or clench more than nature intended, and that our jaw muscles will grow tired and stiff as a result.

The jaw joints (also known as the temporomandibular joints or TMJ) that connect the lower jaw to the skull are equipped with a disc that aids in the regulation of the way the jaw joints move and rotate.

Discs can become deformed or displaced, which can result in clicking, decreased function, and discomfort. 

So, what is it that causes us to grind our teeth?

One of the most important contributing variables is STRESS.

When we see patients who complain of pain in their jaw joints and surrounding muscles, or who show evidence of grinding or wear on their teeth, we will ask the patient whether they are under any stress at the time.

Many people respond with, “No, I’m not stressed at all!” But when we sit and speak about what’s going on in their lives, the sources of stress soon become clear.

Starting a new job, dealing with issues at home or with family, or adjusting to a life transition are all frequent events that might cause us to become more stressed than we are aware of. When we’re going through a difficult period, it’s not always simple to recognize it.

What can we do to make a difference?

The first step is being aware that you are grinding and clenching your teeth and transforming what is frequently a subconscious behavior into something we can control and stop doing.

We at Summerlin Dental Solutions are trained to examine the health and condition of the jaw joints as well as the muscles that assist you in chewing food.

CLICK HERE TO SCHEDULE AN APPOINTMENT

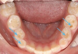
In some cases, a dental examination may be necessary to detect evidence of teeth grinding and jaw clenching, which can manifest as broken teeth and fillings, worn crowns, or cusps (the term used to describe the raised edge of a tooth), and sensitive jaw muscles. Additionally, sore muscles along the sides of the head and neck are rather prevalent.

When we’re going through a difficult or stressful moment, it’s not always simple to recognize the signs.

It is possible that stress management and physical therapy will be significant components of a multi-disciplinary approach to patient treatment. If you grind your teeth at night (ask your spouse), you may wake up with aching teeth, jaw joints, or muscles in your head and neck. Consult with your Summerlin Dental office to determine whether a mouth guard for grinding teeth (also known as a bite elevating device or “nightguard”) is a good option for your particular situation. These help to keep your teeth and jaws safe from grinding teeth in sleep.

Chewing gum for lengthy periods of time should be avoided by people who suffer from painful jaws as a result of clenching and grinding their teeth. While chewing sugar-free gum has been related to a lower risk of dental decay, it has been shown to exacerbate jaw discomfort in people who grind their teeth.

Identifying the root cause and treating the symptoms

At the end of the day, patients must also address the stresses that may be the underlying cause of their illness or condition. For many people, teeth grinding is a cyclical behavior that lessens or vanishes when the cause of their stress is dealt with or eliminated completely. Others, on the other hand, might find it more difficult.

When you need dental care, the guidance and attention of your Summerlin Dental office can assist you in getting the treatment you require.

 

How to Stop Grinding Your Teeth

Q1: How do I know if I grind my teeth at night?

Common signs: waking with jaw pain or headaches, flattened or worn tooth surfaces, chipped teeth, tooth sensitivity, and your partner hearing grinding sounds. Dr. Cohan can identify wear patterns during your exam.

 

 

Q2: What causes teeth grinding?

Stress and anxiety are the most common triggers. Other causes: sleep disorders, misaligned bite, medications, caffeine and alcohol consumption, and sleep apnea. Identifying the cause helps Dr. Cohan recommend targeted treatment.

 

 

Q3: What is the best treatment for teeth grinding?

A custom nightguard from Summerlin Dental Solutions is the most effective treatment. It creates a protective barrier between your teeth, absorbing grinding forces and preventing damage. Over-the-counter guards do not fit precisely enough.

 

 

Q4: Can I stop grinding my teeth without a nightguard?

Stress management, avoiding caffeine and alcohol before bed, jaw stretching exercises, and good sleep hygiene can reduce grinding. However, most chronic grinders still need a nightguard because grinding occurs unconsciously during sleep.

 

 

Q5: What happens if I do not treat teeth grinding?

Over time, grinding causes progressive tooth wear, cracked teeth, damaged dental work, TMJ disorders, chronic headaches, gum recession, and tooth loss. Early intervention with a nightguard prevents thousands in restorative treatment.

 

 

CLICK HERE TO SCHEDULE YOUR APPOINTMENT!

GET TO KNOW YOUR BEST DENTIST IN SUMMERLIN

Dr. Marianne Cohan was voted The Best Dentist/ Dental Office and Best Cosmetic Dentist from The Las Vegas Review-Journal in 2020 and 2021. She received her Doctor of Dental Surgery (DDS) from the State University of New York at Buffalo in 1992.

With an emphasis on cosmetic dentistry, complete makeovers, and implant dentistry, Dr. Cohan is committed to continuing education and feels that we never stop learning. Dr. Cohan takes pride in using high-powered magnification to perform minimally invasive restorative dentistry. She uses all the latest technological advances including digital radiography, digital photography, computer simulations, and high-resolution pictures of your proposed treatment on 55-inch screens. She also utilizes CBCT (cone beam) and laser technology.

Dr. Cohan is always available to her patients and is available for any dental emergency.

CLICK HERE TO SCHEDULE AN APPOINTMENT

Health Grades