Easy, Fast, and Flexible Financing for Everyone - 0% Interest for 12 Months!

 Serving all neighborhoods: Summerlin, Rhodes Ranch, Queensridge, Sun City, Henderson, Spring Valley, Centennial Hills, Red Rock, The Summit, The Lakes, Centennial Hills and the rest of our Valley

 

How to Fix Gum Recession at Summerlin Dental Solutions

gum-recession-treatment at-summerlin-dental solutions

Do you have gum recession? Have you ever looked in the mirror and noticed that your teeth looked longer? Does it seem like your gums are shrinking? This condition is called recession—many adults have it. Let’s look at some of the causes and what you can do about it.

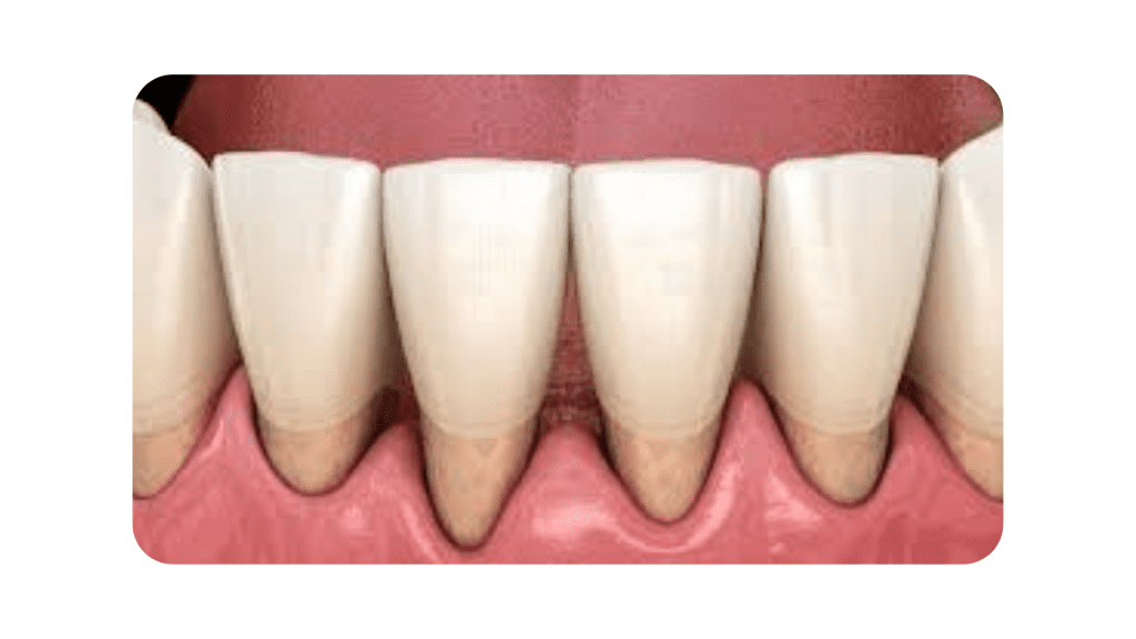
During your exam at Summerlin Dental Solutions, we will take measurements to check for periodontal disease. Dental professionals take recession measurements to see how much attached gingiva is present. This is the kind of tissue that is most resilient to infection.

The more recession, the less attached gingiva. The less attached gingiva, the less bone support. The less bone support, the higher your chances of tooth loss. It is quite a domino effect.

Don’t lose hope. The effect can be halted once you know the cause of your recession.

Do you ever wake up with your jaw clenched, and/or a headache that originates just above your ears? Clenching or grinding your teeth can cause recession. When there is added stress on a tooth, it flexes at the gum line.

Over time this causes microscopic breaks in the enamel and then a notch appears. The gum line is forced to move away from its original position. If this is something you see in your mouth, we can discuss the possibility of an occlusal guard at your next visit.

How do you brush your teeth? Do you brush in a straight line or circles? What kind of bristles do you use? Are the bristles on your toothbrush frayed?

When you brush in a circle, you are sweeping all along the gum line, removing the plaque from most angles. When you brush in a straight line, you may often miss the concave portion of the gums. This leaves plaque behind and leads to gingivitis. Whenever gingivitis occurs, the body attacks supporting structures like bone while trying to get rid of the infection. This is periodontal disease, which can cause recession.

Why are My gums Receding in Summerlin, NV

Recession may also result from an irritant on the gums, such as a bar from a partial denture or orthodontic appliance (braces).

Gums do not “grow back.” The most common treatment for advanced recession is a tissue graft. There are many different kinds of tissue grafts.

Other factors can cause recession. If you think recession is happening in your mouth, schedule an appointment with Dr. Marianne Cohan to discuss your options, so you can make the appropriate treatment choice.

CLICK HERE TO SCHEDULE YOUR APPOINTMENT!

GET TO KNOW YOUR BEST DENTIST IN SUMMERLIN

Dr. Marianne Cohan was voted The Best Dentist/ Dental Office and Best Cosmetic Dentist from The Las Vegas Review-Journal in 2020 and 2021. She received her Doctor of Dental Surgery (DDS) from the State University of New York at Buffalo in 1992.

With an emphasis on cosmetic dentistry, complete makeovers, and implant dentistry, Dr. Cohan is committed to continuing education and feels that we never stop learning. Dr. Cohan takes pride in using high-powered magnification to perform minimally invasive restorative dentistry. She uses all the latest technological advances including digital radiography, digital photography, computer simulations, and high-resolution pictures of your proposed treatment on 55-inch screens. She also utilizes CBCT (cone beam) and laser technology.

Dr. Cohan is always available to her patients and is available for any dental emergency.

CLICK HERE TO SCHEDULE YOUR APPOINTMENT!

 

Health Grades