Easy, Fast, and Flexible Financing for Everyone - 0% Interest for 12 Months!

 Serving all neighborhoods: Summerlin, Rhodes Ranch, Queensridge, Sun City, Henderson, Spring Valley, Centennial Hills, Red Rock, The Summit, The Lakes, Centennial Hills and the rest of our Valley

 

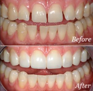
The Impact Of Porcelain Veneers

the-impact-of-porcelain-veneers at summerlin dental solutions

Dental veneers are a frequent procedure used by cosmetic dentists to enhance a person’s smile’s appearance and feel. With Dr. Cohan’s custom porcelain dental veneers, you might have a new smile in as little as a few appointments. In contrast, using braces or other procedures to gradually reshape your teeth over the period of months or even years is an alternative.

Without having to through any lengthy treatment processes, dental veneers are a quick and easy way to give yourself the stunning new smile you’ve always desired. Additionally, the results have a profound impact on people’s life. Dr. Cohan would be happy to meet with you for a personalized consultation to go through your options if you have been thinking about having veneers.

But what precisely are porcelain veneers?

Your front teeth’s surface is covered with a very thin layer of porcelain for each veneer. Any cosmetic issues or imperfections in your smile that you may have will be concealed by your veneer. as tooth staining or a lack of space between them. A patient’s teeth are frequently covered with veneers one at a time, enabling the full set to work in conjunction with the veneers to create the desired smile.

What Role Do Porcelain Veneers Play?

Porcelain veneers are made of high-quality materials that are incredibly long-lasting and able to maintain their original brightness over time without ever becoming tarnished or discolored in any way. Each veneer is utilized to make your front teeth look better on the outside, brightening and symmetrically balancing your smile by hiding imperfections like misshapen or discolored enamel. By placing veneers on the front surfaces of your teeth, this is achieved. The best part is that once your veneers are put in, you’ll be able to detect the change immediately away.

You can gain advantages from veneers like:

Increased levels of confidence: Speaking in public, laughing with friends, or even taking part in a photo session with the people who are important to you may be tough if you are self-conscious about the way your teeth look. However, once the veneers are in place, you’ll be more confident in your ability to speak, smile, and laugh.

Be more cheerful: When your smile is at its best, you’ll find it much easier to start conversations and make a good first impression. You won’t have to worry about what other people are thinking about you because of how your teeth appear when you are confident that they always look their best.

A More Healthy-Looking Smile: Handmade porcelain veneers result in outcomes that are both aesthetically pleasing and appear real. They work together to lessen the appearance of any gaps, crowding, stains, or other flaws in your visible smile and increase its all-around attractiveness.

A More Youthful and Fresher Look: Of all the outcomes created by cosmetic dentistry procedures, porcelain dental veneers’ before-and-after photos are the ones that stand out the most. These restorations will give your teeth a perfect appearance, and your entire appearance will be renewed and invigorated.

The procedures involved in receiving porcelain dental veneers

The process of making porcelain veneers involves three steps. You will first make a consultation appointment with our Summerlin dentist. Your teeth will be examined by our dentist at this visit to see if any need to be fixed with veneers. To help us create a new treatment strategy and get the greatest outcomes, it’s likely that we will take scans or impressions of your teeth.

You will check in to begin the preliminary phase of your therapy at the second stage of the procedure. This visit will take a little bit longer to finish than we had initially thought. The number of veneers you buy will ultimately determine the outcome. Dr. Cohan will go over what to expect and provide you with some preparation tips during the initial visit.

The front surface of the teeth as well as the surface of the teeth surrounding the edges will be somewhat reduced during this step of the process by our Summerlin dentist. This will free up enough space for the porcelain veneers to cover your teeth without adding any more mass. After making all the required preparations, we will either take impressions or scan the area. These models will be delivered to a dental laboratory, which will use the information we provide to construct the permanent porcelain veneers using the models.

We will create a set of temporary veneers for you to wear while we wait for the lab to complete the manufacturing of your permanent veneers, which will take a few weeks. In order to give you a sneak peek at the final look of the veneers you’re thinking about receiving, Dr. Cohan could schedule a second mock-up session.

As soon as the finished veneers are delivered, you will need to return to our office so they may be cemented in. Our Summerlin cosmetic dentist will take out your temporary veneers before measuring the fit of the final veneers. Dr. Cohan will make any necessary adjustments to the veneers before they are finally permanently attached to your natural teeth.

Who Has a Need for Dental Veneers?

You might be wondering if porcelain veneers are the right choice for you. If you fit any of the above descriptions, please contact us so that we can arrange a consultation.

Severe stains that can’t be eliminated by tooth whitening are referred to as discoloration.

When compared to the teeth around them, teeth that are worn down or short appear shorter or more uneven.

Broken or chipped teeth are those that have suffered regional damage or have been broken into little fragments.

Crooked, crowded, or having little spaces between them are examples of teeth that are out of alignment.

Both Summerlin and Las Vegas have porcelain veneers.

If you’re interested in finding out more about how porcelain veneers can enhance the appearance of a smile and make it appear brighter, get in touch with our Summerlin dentist clinic right away. During your assessment, we’ll decide whether you’re a good candidate for this cosmetic dental surgery and whether or not, given your situation, another technique would be more suitable. Soon, we hope to see you!

 

Top Reasons to Choose Veneers

Q1: Why are porcelain veneers so popular?

Veneers provide complete smile transformation in just 2-3 appointments — addressing color, shape, alignment, gaps, and proportion simultaneously. Results last 15-25 years with proper care. No other single cosmetic treatment offers this combination of transformation and longevity.

 

 

Q2: What makes Summerlin Dental Solutions a top choice for veneers?

Dr. Cohan’s AACD Accreditation (held by fewer than 1% of dentists), computerized smile design (preview your results before treatment), 19 Best of Las Vegas wins, 31+ years of experience, and use of premium porcelain materials with precise bonding technique.

 

 

Q3: Are veneers better than other cosmetic options?

Depends on your goals. Veneers are best for comprehensive transformation. Whitening is best for color-only improvement at lower cost. Bonding is best for specific small fixes. Invisalign is best when you want actual tooth movement. Dr. Cohan recommends honestly based on your situation.

 

 

 

Q4: How long is the veneer process at Summerlin Dental Solutions?

Typically 2-3 appointments over 2-4 weeks. First visit: consultation with computerized smile design preview. Second: tooth preparation and TRIOS digital impressions. Third: final bonding of permanent veneers.

 

 

Q5: What do veneer patients say about their results?

Patients consistently describe veneer results as life-changing — improved confidence, willingness to smile in photos, positive changes in personal and professional interactions. Many wish they had gotten veneers years earlier.

 

CLICK HERE TO SCHEDULE YOUR APPOINTMENT!

GET TO KNOW YOUR BEST DENTIST IN SUMMERLIN

Dr. Marianne Cohan was voted The Best Dentist/ Dental Office and Best Cosmetic Dentist from The Las Vegas Review-Journal in 2020 and 2021. She received her Doctor of Dental Surgery (DDS) from the State University of New York at Buffalo in 1992.With an emphasis on cosmetic dentistry, complete makeovers, and implant dentistry, Dr. Cohan is committed to continuing education and feels that we never stop learning. Dr. Cohan takes pride in using high-powered magnification to perform minimally invasive restorative dentistry. She uses all the latest technological advances including digital radiography, digital photography, computer simulations, and high-resolution pictures of your proposed treatment on 55-inch screens. She also utilizes CBCT (cone beam) and laser technology.

Dr. Cohan is always available to her patients and is available for any dental emergency.CLICK HERE TO SCHEDULE YOUR APPOINTMENT!

 

Health Grades