Easy, Fast, and Flexible Financing for Everyone - 0% Interest for 12 Months!

 Serving all neighborhoods: Summerlin, Rhodes Ranch, Queensridge, Sun City, Henderson, Spring Valley, Centennial Hills, Red Rock, The Summit, The Lakes, Centennial Hills and the rest of our Valley

 

Invisalign Aligners in Las Vegas and Summerlin

Schedule a Free Virtual Consultation With Dr. Cohan Today!

or

$500 OFF

Invisalign Treatment

Get the straighter, more confident smile you’ve always wanted with Invisalign! For a limited time, enjoy $500 off your Invisalign treatment.

Offer valid for new Invisalign cases only. Cannot be combined with other discounts or insurance.

Invisalign in Summerlin and Las Vegas - Clear Aligners for a Perfect Smile

Invisalign in Summerlin

Transform your smile discreetly with Invisalign clear aligners at Summerlin Dental Solutions. Dr. Marianne Cohan, your trusted Las Vegas orthodontic specialist, has helped hundreds of patients achieve straighter teeth without the hassle of traditional braces. Call +1(702) 341-9160 for your free 3D consultation today!

Call +1(702) 341-9160 or contact us online today to schedule an appointment and learn more about dental veneers in Las Vegas.

Why Choose Invisalign in Summerlin?

If you’re considering orthodontic treatment in Las Vegas, Invisalign offers the perfect solution for busy professionals, students, and adults who want to straighten their teeth without compromising their lifestyle. At Summerlin Dental Solutions, Dr. Marianne Cohan combines advanced 3D imaging technology with personalized care to deliver exceptional Invisalign results.Located conveniently in Summerlin, our state-of-the-art facility serves patients throughout Las Vegas, Henderson, and surrounding Nevada communities. As a 19-time “Best of Las Vegas” winner, Dr. Cohan brings unmatched expertise to every Invisalign treatment.

What is Invisalign Treatment?

Invisalign is a revolutionary orthodontic system that uses a series of custom-made, removable clear aligners to gradually move your teeth into proper alignment. Unlike traditional metal braces, Invisalign aligners are virtually invisible, comfortable to wear, and can be removed for eating, drinking, brushing, and flossing.

How the Invisalign process Works:

Step 1: Digital 3D Scan At our Summerlin office, we use advanced iTero digital scanning to create a precise 3D model of your teeth. No messy impressions required!Step 2: Custom Treatment Plan Dr. Cohan designs your personalized treatment plan using Invisalign’s ClinCheck software, showing you exactly how your smile will transform over time.Step 3: Custom Aligner Fabrication Your series of custom aligners are manufactured specifically for your teeth using advanced 3D printing technology.Step 4: Progressive Treatment You’ll wear each set of aligners for 7-14 days, gradually moving your teeth into the desired position. Most patients in Las Vegas complete treatment in 6-18 months.

Benefits of Invisalign vs. Traditional Braces

CategoryFeatureDetails
Aesthetic AdvantagesNearly InvisibleClear aligners are virtually undetectable
 Professional AppearancePerfect for business meetings and social events
 Confidence BoostSmile freely throughout treatment
 Photo-ReadyNo metal brackets to hide in pictures
Lifestyle BenefitsRemovableTake out aligners for important meals and events
 No Food RestrictionsEnjoy all your favorite Las Vegas restaurants
 Easy Oral HygieneBrush and floss normally
 ComfortableNo sharp wires or brackets
Treatment AdvantagesFaster ResultsOften 25% quicker than traditional braces
 Fewer Office VisitsPerfect for busy Summerlin professionals
 Predictable TimelineSee your final results before starting
 Digital PrecisionAdvanced technology for optimal outcomes

Take the first step toward your attractive new smile! Call +1(702) 341-9160 to ask about our Las Vegas dental veneers, or fill out our online contact form today.

Affordable Smiles for Every Budget

Insurance or Financing, We Have a Plan for You

With a variety of payment options—including insurance acceptance, flexible financing, and in-house payment plans—we ensure that your path to a beautiful smile is as easy and affordable as possible.

Real Patients, Real Results

Transformations You Can See, Confidence You Can Feel

See the stunning difference a healthy, beautiful smile can make. Explore our before-and-after gallery to witness the life-changing results of expert dental care.

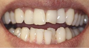
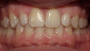
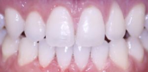
1

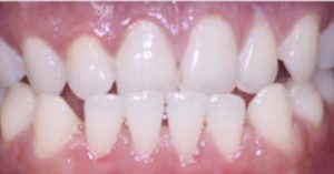
Before Invisalign treatment at Summerlin Dental Solutions
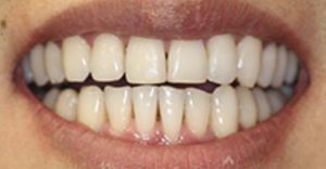
Invisalign results with patient-centered care at Summerlin Dental Solutions

Patient 1

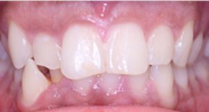
Before Invisalign treatment at Summerlin Dental Solutions

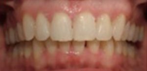
2

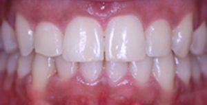
Invisalign results with patient-centered care at Summerlin Dental Solutions

Patient 2

Before Invisalign treatment at Summerlin Dental Solutions

3

Invisalign results with patient-centered care at Summerlin Dental Solutions

Patient 3

Before Invisalign treatment at Summerlin Dental Solutions

4

Invisalign results with patient-centered care at Summerlin Dental Solutions

Patient 4

Before Invisalign treatment at Summerlin Dental Solutions

5

Invisalign results with patient-centered care at Summerlin Dental Solutions

Patient 5

Before Invisalign treatment at Summerlin Dental Solutions

6

Invisalign results with patient-centered care at Summerlin Dental Solutions

Patient 6

7

Patient 7

8

Patient 8

The Invisalign / Clear Aligner Process at Summerlin Dental Solutions

As always, we invite you to schedule a dental appointment by calling us at +1(702) 341-9160 and discuss your options with our dentist.

Frequently Asked Questions About Invisalign and Clear Aligners in Summerlin

Invisalign and Clear Aligners in Summerlin and Las Vegas: 20 Frequently Asked Questions

Everything patients from The Summit, The Ridges, Queensridge, Henderson, Centennial Hills, Spring Valley, and all surrounding areas want to know about straightening their teeth with clear aligners at Summerlin Dental Solutions, the practice voted Best of Las Vegas 19 times.

Straight Teeth Without Brackets, Wires, or Compromise

For decades, the only way to straighten crooked teeth was traditional metal braces, complete with brackets, wires, rubber bands, and 18 to 24 months of visible hardware that most adults would rather avoid. Clear aligner technology changed everything. Today, patients can achieve beautifully aligned smiles using a series of custom-fabricated, virtually invisible plastic trays that gradually move teeth into their ideal positions with no metal, no wires, and no restrictions on what you eat or how you care for your teeth.

At Summerlin Dental Solutions, Dr. Marianne Cohan offers clear aligner treatment including ClearCorrect as an effective, discreet alternative to traditional braces for adults and teens throughout the Las Vegas Valley. What sets her approach apart is the integration of advanced diagnostic technology, including TRIOS digital scanning for precision aligner fabrication, AI-assisted imaging that ensures your teeth and supporting structures are healthy before treatment begins, and the AACD-accredited cosmetic eye that ensures your final alignment is not just straight but aesthetically harmonious with your face. Combined with 19 Best of Las Vegas wins and the friendliest team you will ever encounter, Summerlin Dental Solutions delivers clear aligner results that patients trust with their smile. Below are the 20 questions patients ask most.

20 Frequently Asked Questions About Invisalign and Clear Aligners

Q1. What are clear aligners and how do they straighten teeth?

Clear aligners are a series of custom-made, removable plastic trays that fit snugly over your teeth and apply gentle, controlled pressure to gradually shift them into the desired positions. Each set of aligners is worn for approximately one to two weeks before being replaced by the next set in the series, with each tray making a small incremental adjustment. Over the course of treatment, which typically spans 6 to 18 months depending on the complexity of the case, these incremental movements produce the same type of orthodontic correction that traditional braces achieve, but without brackets, wires, or visible hardware. The aligners are made from a smooth, BPA-free medical-grade plastic that is virtually invisible when worn, making them an ideal choice for adults and teens who want to straighten their teeth without the aesthetic and lifestyle compromises of metal braces.

Q2. What dental issues can Invisalign or Clear Aligner fix?

Clear aligners can effectively treat a wide range of orthodontic concerns including crowded teeth where there is not enough space in the jaw for teeth to align properly, gaps and spaces between teeth, overbite where the upper front teeth extend too far over the lower teeth, underbite where the lower teeth sit in front of the upper teeth, crossbite where some upper teeth close inside the lower teeth, open bite where the upper and lower front teeth do not meet when the mouth is closed, and generally crooked or rotated teeth that create an uneven smile line. At Summerlin Dental Solutions, Dr. Cohan uses our 3D CBCT scanner and TRIOS digital scanner to evaluate your specific case and determine whether clear aligners can achieve the result you want. For more complex orthodontic cases that fall outside the range of aligner treatment, she will recommend the most appropriate alternative and can refer you to a trusted orthodontist if specialized care is needed.

Q3. How much does Invisalign or Clear Aligner cost in Las Vegas?

Clear aligner treatment in the Las Vegas area typically ranges from $3,000 to $7,000 depending on the complexity of the case, the number of aligners required, and the duration of treatment. Minor alignment corrections may fall at the lower end of this range, while more complex cases requiring longer treatment and more aligner sets will be higher. Many dental insurance plans now include orthodontic benefits that cover a portion of clear aligner treatment, and our front office team verifies your insurance benefits before treatment begins. Summerlin Dental Solutions also offers 0% interest financing through HFD with approval in under a minute and no impact on your credit score, making it possible to spread the investment over monthly payments that fit your budget. HSA and FSA accounts can also be applied toward clear aligner treatment.

Q4. How long does clear aligner treatment take?

Treatment duration depends on the severity of the misalignment being corrected. Minor spacing or crowding issues may be resolved in as little as 6 months, while more complex cases involving significant bite correction can take 12 to 18 months. The average treatment time for most patients at Summerlin Dental Solutions falls between 8 and 14 months. One of the advantages of Dr. Cohan’s approach is that she uses the TRIOS digital scanner to create a precise 3D treatment plan that maps every tooth movement from start to finish before treatment begins. You can see a digital simulation of your projected result and understand the estimated timeline during your consultation. Compliance plays a significant role in treatment speed: patients who wear their aligners for the recommended 20 to 22 hours per day and change trays on schedule consistently achieve their results on time or ahead of schedule.

Q5. Is clear aligner treatment painful?

Most patients experience mild pressure and tightness for the first day or two after switching to a new set of aligners, which is a sign that the trays are working and your teeth are moving. This sensation is generally described as discomfort rather than pain and is significantly less intense than the soreness associated with traditional braces adjustments. Over-the-counter pain relievers like ibuprofen can manage the discomfort if needed, and most patients find that the tightness subsides within 48 hours as their teeth adjust to the new tray. At Summerlin Dental Solutions, Dr. Cohan designs your treatment plan to move teeth gradually and efficiently, minimizing unnecessary discomfort at each stage. If you experience anxiety about any aspect of treatment, our sedation dentistry options including nitrous oxide are available for appointments that involve attachments, IPR (interproximal reduction), or other in-office procedures.

Q6. Can I eat and drink normally with clear aligners?

Yes, and this is one of the biggest advantages of clear aligners over traditional braces. Because the aligners are removable, you take them out before every meal and snack, eat whatever you want with no restrictions, brush and floss normally, and then put the aligners back in. There are no forbidden foods, no food getting stuck in brackets, and no emergency visits because a wire popped out while eating a bagel. The only restriction is that you should not eat or drink anything other than plain water while wearing the aligners, because hot beverages can warp the plastic and colored drinks can stain the trays. Dr. Cohan recommends carrying a small travel toothbrush so you can brush after meals before reinserting your aligners, which also promotes excellent oral hygiene throughout treatment.

Q7. How often do I need to visit the dentist during clear aligner treatment?

At Summerlin Dental Solutions, Dr. Cohan typically schedules check-in appointments every 6 to 8 weeks during clear aligner treatment. These visits are brief, usually 15 to 20 minutes, and involve checking your progress against the digital treatment plan, ensuring teeth are tracking correctly, providing your next sets of aligners, making any adjustments to attachments or IPR if needed, and addressing any questions or concerns you have. Because the aligners are pre-fabricated based on the digital treatment plan and you change trays at home on a set schedule, the number of office visits is significantly fewer than with traditional braces, which typically require monthly tightening appointments. For patients traveling from Henderson, Centennial Hills, or other communities farther from Summerlin, the reduced visit frequency is an especially appealing convenience factor.

Q8. Am I too old for clear aligners?

There is no upper age limit for clear aligner treatment. As long as your teeth and gums are healthy, clear aligners can be effective at any age. In fact, a growing percentage of clear aligner patients are adults in their 30s, 40s, 50s, 60s, and beyond who either never had orthodontic treatment as teenagers or whose teeth have shifted over the decades since their braces were removed. At Summerlin Dental Solutions, Dr. Cohan treats patients of every age with clear aligners and frequently combines aligner treatment with other cosmetic procedures such as teeth whitening or porcelain veneers on select teeth to achieve a comprehensive smile makeover. The only prerequisite is that gum disease and active decay must be treated before orthodontic movement begins, which Dr. Cohan evaluates thoroughly during your consultation using AI-assisted diagnostics and 3D imaging.

Q9. Are clear aligners really invisible?

Clear aligners are not technically invisible, but they are very close. The trays are made from a smooth, transparent plastic that fits tightly against your teeth. In most social and professional situations, people will not notice you are wearing them unless they are looking closely from a short distance. At arm’s length and beyond, aligners are essentially undetectable. Some patients require small tooth-colored attachments (small dots of composite resin bonded to certain teeth) that help the aligners grip and move teeth more effectively. These attachments are matched to your tooth shade and are subtle, though they can be slightly more noticeable than the trays themselves. Dr. Cohan places attachments strategically to minimize visibility while maximizing treatment effectiveness. For patients in image-conscious professions or social environments, which describes a significant portion of the Las Vegas population, clear aligners provide a level of discretion that traditional braces simply cannot match.

Q10. What is the difference between getting clear aligners from a dentist versus an online direct-to-consumer company?

The fundamental difference is clinical oversight. When you receive clear aligners from Summerlin Dental Solutions, Dr. Cohan performs a comprehensive examination including digital X-rays, AI-assisted diagnostic analysis, periodontal evaluation, and a 3D CBCT scan if warranted to ensure your teeth, gums, bone, and jaw joints are healthy enough for orthodontic treatment. She designs and monitors your treatment plan personally, seeing you every 6 to 8 weeks to verify teeth are moving correctly and intervening immediately if anything goes off track. Direct-to-consumer aligner companies typically rely on at-home impressions or smartphone scans, limited or no in-person examination, remote monitoring (often by a dentist who has never met you), and no X-rays or periodontal evaluation before treatment begins. Moving teeth without first diagnosing and treating underlying conditions like gum disease, cavities, or bone loss can accelerate damage and produce results that look straighter but are built on a compromised foundation. The price difference between dentist-supervised and direct-to-consumer aligners reflects the value of clinical safety, diagnostic thoroughness, and professional accountability.

Q11. Can clear aligners be combined with veneers or other cosmetic treatments?

Yes, and this combination is one of the most effective approaches to a complete smile transformation. Some patients have teeth that are both crooked and aesthetically imperfect (stained, chipped, worn, or unevenly shaped). In these cases, Dr. Cohan may recommend aligner treatment first to move the teeth into proper alignment, followed by porcelain veneers, teeth whitening, teeth contouring, or a comprehensive smile makeover to refine the final aesthetics. Straightening the teeth first means fewer veneers may be needed (since alignment is already corrected), the veneers that are placed require less enamel removal (because the teeth are already in position), and the overall result is more natural and conservative. Dr. Cohan’s AACD Accreditation ensures the cosmetic phases of the treatment plan are designed with the same artistic precision that defines her veneer and makeover work.

Q12. Do I need to wear a retainer after clear aligner treatment?

Yes. Retainers are essential for maintaining your results after any orthodontic treatment, including clear aligners. Without a retainer, teeth have a natural tendency to drift back toward their original positions over time, a phenomenon called orthodontic relapse. Dr. Cohan provides custom retainers fabricated from a precise TRIOS digital scan of your newly aligned smile. Most patients wear their retainer full-time for the first few months after treatment, then transition to nighttime-only wear indefinitely. The retainer is similar in appearance to a clear aligner tray: virtually invisible, comfortable, and easy to maintain. Wearing your retainer consistently is the key to ensuring your investment in aligner treatment delivers a lifetime of straight, beautiful results. Dr. Cohan monitors your alignment at every preventive care visit and will let you know if any minor shifting is occurring so it can be addressed before it becomes visible.

Q13. What technology does Summerlin Dental Solutions use for clear aligner treatment?

Summerlin Dental Solutions uses the most advanced dental technology available to plan, fabricate, and monitor clear aligner treatment with precision. The TRIOS digital scanner is the cornerstone of the process, capturing a detailed 3D digital model of your teeth and bite in minutes without messy impression trays. This digital model is used to design your complete treatment plan, simulate every tooth movement from start to finish, and fabricate each aligner tray with an exact fit. Our AI-assisted radiological analysis reviews your X-rays to ensure no hidden decay, fractures, or bone loss are present before treatment begins. The 3D CBCT scanner provides three-dimensional views of your jawbone and tooth roots for cases where root position, impacted teeth, or bone density need to be evaluated. Digital X-rays deliver instant imaging at up to 90% less radiation. And dual-screen exam rooms display your treatment simulation in real time, showing you a projected video of your teeth moving from their current positions to their final alignment so you can see your future smile before you begin.

Q14. What are Dr. Cohan’s qualifications for clear aligner treatment?

Dr. Marianne Cohan brings a unique combination of orthodontic training, cosmetic expertise, and diagnostic technology to every clear aligner case. She earned her Doctor of Dental Surgery degree from the State University of New York at Buffalo with dual honors including the Operative Dentistry Award and the Periodontics Award. With more than 31 years of clinical experience and over 25 years serving Las Vegas, she has treated hundreds of clear aligner cases spanning every complexity level. Her AACD Accreditation (held by fewer than 1% of dentists) means she approaches aligner treatment not just as an orthodontic procedure but as a cosmetic one, designing the final tooth positions to be aesthetically harmonious with each patient’s facial features, lip line, and smile arc. She is a Best Dentist in America through peer nomination and a 19-time Best of Las Vegas winner across four categories including Best Cosmetic Dentist. She maintains memberships in the AAFE, AAID, ADA, Academy of Laser Dentistry, and Academy of General Dentistry. For a procedure that reshapes your smile for life, you genuinely could not be in better hands.

Q15. Can teenagers get clear aligners instead of traditional braces?

Yes. Clear aligners have become an increasingly popular alternative to traditional braces for teenagers, and Dr. Cohan treats many teen patients with this approach at Summerlin Dental Solutions. Teen aligner systems include features specifically designed for younger patients, such as compliance indicators that change color to show whether the aligners have been worn for the recommended number of hours, eruption tabs that accommodate teeth that are still growing in, and replacement aligners in case of loss. The advantages for teens are significant: no food restrictions (aligners are removed for eating), easier oral hygiene (no brackets to brush around), fewer emergency visits (no broken wires), and the confidence of a virtually invisible treatment during the socially sensitive teenage years. Dr. Cohan evaluates each teen’s dental development, maturity level, and compliance readiness before recommending aligners and involves the parents in the treatment planning conversation to set realistic expectations.

Q16. Does dental insurance cover clear aligner treatment in Las Vegas?

Many dental insurance plans now include orthodontic benefits that apply to clear aligner treatment, typically covering 50% of the treatment cost up to a lifetime orthodontic maximum (commonly $1,000 to $2,000, though maximums vary by plan). Some plans restrict orthodontic coverage to patients under age 19, while others extend it to adults. At Summerlin Dental Solutions, our front office team verifies your specific insurance benefits before treatment begins and provides a clear breakdown of your estimated insurance contribution and out-of-pocket costs. For any remaining balance, 0% interest financing through HFD is available with approval in under a minute and no credit score impact. HSA and FSA accounts can also be applied toward aligner treatment. Our goal is to ensure finances never stand between you and the straighter smile you deserve.

Q17. Where is the closest Invisalign or clear aligner dentist to The Summit, The Ridges, and Queensridge?

Summerlin Dental Solutions is located at 851 S Rampart Blvd, Suite 230, Las Vegas, NV 89145, centrally positioned in the heart of Summerlin between Tivoli Village and Boca Park. Queensridge residents are just 5 to 10 minutes from our office. The Summit residents reach us in approximately 10 to 12 minutes via Town Center Drive and Rampart Boulevard. The Ridges residents connect via Rampart or the 215 Beltway in a similarly short drive. Because clear aligner check-ins are needed only every 6 to 8 weeks and typically take just 15 to 20 minutes, the appointment commitment is very manageable for residents of these communities. Having an AACD-accredited cosmetic dentist with TRIOS digital scanning and 3D treatment simulation within minutes of home means you receive the highest standard of clear aligner care with maximum convenience. Call +1(702) 341-9160 to schedule your aligner consultation.

Q18. Can patients from Henderson get clear aligner treatment at Summerlin Dental Solutions?

Yes. Henderson, Green Valley, and Anthem patients reach our Summerlin office in approximately 25 to 30 minutes via the 215 Beltway. Henderson patients choose Summerlin Dental Solutions for clear aligner treatment because Dr. Cohan’s AACD-accredited cosmetic approach ensures the final alignment is designed for aesthetic harmony (not just straight teeth), the TRIOS digital scanner produces more accurate aligner trays than traditional impressions, and the AI-assisted diagnostics ensure treatment begins on a healthy foundation. Because check-in visits are only every 6 to 8 weeks, Henderson patients make the drive approximately 4 to 6 times over the course of the entire treatment, which is a very manageable commitment for a result they will enjoy for life.

Q19. Is there a clear aligner dentist near Centennial Hills and Spring Valley?

Yes. Summerlin Dental Solutions serves clear aligner patients from throughout the Las Vegas Valley including Centennial Hills, North Las Vegas, Spring Valley, and all surrounding areas. Centennial Hills residents travel south on the 215 or US-95 in approximately 20 to 25 minutes, while Spring Valley patients are just 10 to 15 minutes south along the 215 Beltway. Both communities include patients of every age who are choosing clear aligners over traditional braces for the discretion, comfort, and convenience they offer. Many Spring Valley patients combine their aligner check-in visits with preventive care appointments or other services, making the most of each trip to our office.

Q20. How do I schedule a clear aligner consultation at Summerlin Dental Solutions?

Call +1(702) 341-9160 and let our team know you are interested in clear aligners or teeth straightening. You can also book online through our website or begin with a virtual consultation from the comfort of your home, which is a great first step if you want to share photos and discuss your goals before visiting the office. New patients can complete patient forms online before arriving to save time. Your consultation includes a comprehensive examination with Dr. Cohan, digital X-rays with AI-assisted analysis to evaluate your oral health, a TRIOS 3D scan to create a digital model of your teeth, a treatment simulation showing your projected tooth movement and final result, a recommendation on whether clear aligners are the right approach for your case, and a detailed cost estimate with insurance verification and financing options. We are located at 851 S Rampart Blvd, Suite 230, in the heart of Summerlin near Tivoli Village and Boca Park. We proudly serve patients from The Summit, The Ridges, Queensridge, Henderson, Centennial Hills, Spring Valley, and all surrounding communities. You could not be in better hands at Summerlin Dental Solutions.

Communities We Serve for Clear Aligner Treatment

Summerlin Dental Solutions is centrally located at 851 S Rampart Blvd, Suite 230, in the heart of Summerlin between Tivoli Village, Boca Park, and Downtown Summerlin. Our clear aligner practice serves patients from six communities and all surrounding areas throughout the Las Vegas Valley.

The Summit

One of Summerlin’s most prestigious guard-gated communities, The Summit is approximately 10 to 12 minutes from our office. Summit residents appreciate having AACD-accredited clear aligner treatment with TRIOS digital precision within minutes of their community. The 6 to 8 week check-in schedule makes the time commitment minimal for a result that transforms the smile for life.

The Ridges

Nestled against Red Rock Canyon, The Ridges is a short drive from our office via Rampart Boulevard or the 215 Beltway. Ridges families trust Dr. Cohan for clear aligner treatment because her sole-practitioner model means the same doctor who designs the treatment plan is the one who monitors every stage and adjusts the approach if needed. That consistency produces better outcomes and fewer surprises.

Queensridge

Our closest neighboring community at just 5 to 10 minutes from our office. Queensridge residents enjoy the shortest commute of any community we serve, and several Queensridge families have multiple members undergoing aligner treatment simultaneously. The convenience of award-winning orthodontic care just minutes away makes it easy for the whole family to stay on schedule.

Henderson

Henderson, Green Valley, and Anthem patients reach our Summerlin office in approximately 25 to 30 minutes via the 215 Beltway. Because clear aligner check-ins are only needed every 6 to 8 weeks, Henderson patients make the drive just 4 to 6 times over the entire treatment course. They tell us the AACD-accredited cosmetic design approach and TRIOS scanning precision make those visits well worth the trip.

Centennial Hills

North Las Vegas and Centennial Hills residents travel south on the 215 or US-95 in approximately 20 to 25 minutes. This growing community includes many young professionals and families who are choosing clear aligners over traditional braces for the discretion and flexibility they offer and who value having a cosmetic dentist with peer-reviewed credentials guiding their treatment.

Spring Valley

Located just south of Summerlin along the 215 Beltway, Spring Valley patients reach our office in 10 to 15 minutes. As one of our largest patient communities, Spring Valley residents represent a significant portion of our aligner patient base, with many patients combining their 6 to 8 week check-ins with other family appointments to maximize the value of each visit.

Advanced Technology for Precision Clear Aligner Treatment

Clear aligner treatment relies on digital precision at every stage, from the initial scan to the final tray. Summerlin Dental Solutions has invested in every meaningful advancement in dental technology to ensure every aligner case is planned with accuracy and executed with confidence.

TRIOS Digital Scanner

The cornerstone of our clear aligner workflow. The TRIOS scanner captures a detailed 3D digital model of your teeth and bite in minutes using a small handheld wand, completely eliminating the messy putty impression trays that most patients find uncomfortable. This digital model serves as the foundation for your entire treatment plan, the aligner fabrication process, and the treatment simulation that shows you your projected result. The accuracy of the TRIOS scan directly translates to better-fitting aligners that track more predictably and require fewer refinements.

AI-Assisted Radiology

Before any orthodontic treatment begins, our AI system reviews your diagnostic images alongside Dr. Cohan to identify hidden decay, fractures, infections, and bone loss that must be treated before teeth are moved. Starting aligner treatment on an unhealthy foundation can accelerate damage and compromise results. The AI ensures nothing is missed, so your treatment begins at the right time and on the strongest possible foundation.

3D CBCT Scanner

For complex aligner cases where root position, impacted teeth, bone density, or jaw joint anatomy need detailed evaluation, the CBCT scanner provides three-dimensional views that flat X-rays cannot. This is particularly valuable for adult patients with previous dental work, missing teeth, or suspected bone loss, where the orthodontic plan must account for anatomical factors that are invisible on standard imaging.

Computerized Smile Design

Dr. Cohan integrates smile design software into clear aligner planning when the treatment is part of a broader cosmetic plan. This allows her to design the final tooth positions not just for orthodontic correctness but for aesthetic harmony with the patient’s facial features, lip line, and smile arc, ensuring the end result is both straight and beautiful.

Digital X-Rays

Providing instant imaging at up to 90% less radiation than conventional film, digital X-rays are used for initial assessment, progress monitoring during treatment, and post-treatment evaluation. The reduced radiation is especially relevant for aligner patients who may have X-rays taken at multiple points during the treatment timeline.

Soft Tissue Laser

For aligner patients who need minor gum recontouring as part of their smile plan, or who develop minor gum tissue irritation during treatment, our soft tissue laser provides minimally invasive treatment with faster healing and less discomfort than traditional methods.

Dual-Screen Exam Rooms

Every treatment room features dual monitors where Dr. Cohan displays your 3D treatment simulation, showing a projected animation of your teeth moving from their current positions to the final result. Watching your future smile come to life on screen is one of the most exciting moments of the consultation, and the dual screens allow you to see every detail clearly and ask questions as the simulation plays.

The Cosmetic Expert and Friendliest Team Behind Your New Smile

Dr. Marianne Cohan brings a perspective to clear aligner treatment that few dentists can match: the perspective of an AACD-accredited cosmetic artist. While most clear aligner providers focus primarily on straightening teeth, Dr. Cohan designs each case with the final aesthetic result as the guiding principle. Straight teeth that are not proportioned to the face, that do not follow a harmonious smile arc, or that expose an uneven gum line still fall short of their potential. Dr. Cohan’s dual honors from the State University of New York at Buffalo (the Operative Dentistry Award and the Periodontics Award), her 31 years of clinical experience, and her AACD Accreditation (fewer than 1% of dentists) ensure that your clear aligner result is not just orthodontically correct but cosmetically exceptional. She is a Best Dentist in America through peer nomination, a 19-time Best of Las Vegas winner across four categories including Best Cosmetic Dentist, and maintains memberships in the AAFE, AAID, ADA, Academy of Laser Dentistry, and Academy of General Dentistry. As the sole dentist at the practice, she personally monitors every stage of your aligner journey. You genuinely could not be in better hands.

The team at Summerlin Dental Solutions makes the aligner experience enjoyable from start to finish. The front desk staff coordinate your 6 to 8 week check-in schedule with flexibility and warmth. The assistants make attachment placement and IPR procedures comfortable and efficient. The treatment coordinators walk you through insurance and financing with patience and zero pressure. And hundreds of five-star patient reviews confirm that this is the friendliest, most genuinely caring dental team patients have ever encountered. The excitement the team shares when you see your treatment simulation for the first time, and again when your final trays come off and your straight smile is revealed, is genuine and contagious.

A Spa-Like Setting for Your Orthodontic Journey

Clear aligner treatment involves multiple visits over several months, so the environment where those visits take place shapes your entire experience. After a stunning, top-to-bottom renovation, Summerlin Dental Solutions features a gorgeous, modern interior with warm lighting, contemporary design, and an atmosphere patients consistently describe as spa-like. Every treatment chair is equipped with warm blankets, noise-canceling headphones, complimentary beverages, and a personal entertainment screen. Even a quick 15-minute aligner check-in feels like a moment of calm in a busy day rather than another errand on the list.

For appointments that involve more involved procedures such as attachment bonding, IPR, or concurrent cosmetic work, sedation dentistry options including nitrous oxide, oral sedation, and IV sedation are available to ensure complete comfort. The combination of a beautiful environment, advanced technology, and a team that genuinely cares about your comfort makes Summerlin Dental Solutions a fundamentally different orthodontic experience than anything you may have encountered before.

See Your Straighter Smile Before Treatment Begins

Call +1(702) 341-9160 to schedule your aligner consultation.

Book Online     |     Virtual Consultation     |     Financing Options

851 S Rampart Blvd, Suite 230  |  Las Vegas, NV 89145  |  Near Tivoli Village & Boca Park

Initial Consultation (FREE)

Dr. Cohan will evaluate your teeth, bite, and facial structure to determine if Invisalign is right for you. We’ll discuss your smile goals and create a customized treatment plan. This comprehensive consultation includes:
  • Digital smile analysis
  • 3D treatment preview
  • Cost estimate with financing options
  • Questions and answers about the process

Treatment Planning

Using our advanced iTero scanner, we’ll capture detailed 3D images of your teeth. Dr. Cohan will then design your treatment plan, showing you:
  • Exact tooth movements for each stage
  • Predicted treatment timeline
  • Final results simulation
  • Any attachments or refinements needed

Active Treatment Phase

You’ll receive your first few sets of aligners and detailed instructions. Throughout treatment, you’ll visit our Summerlin office every 6-8 weeks for progress checks. Dr. Cohan monitors your results and makes adjustments as needed.
Retention PhaseOnce treatment is complete, you’ll receive custom retainers to maintain your beautiful new smile. Dr. Cohan provides detailed instructions for long-term care and maintenance.

Invisalign Cost in Las Vegas & Financing Options

Investment Range

Invisalign treatment in Las Vegas typically ranges from $3,500 to $8,000, depending on the complexity of your case. At Summerlin Dental Solutions, we believe everyone deserves a beautiful smile, which is why we offer flexible payment options.

Insurance Coverage

Most dental insurance plans cover Invisalign and Clear Aligner similar to traditional braces, typically 50% of the cost. Our team will:
  • Verify your benefits before treatment begins
  • Maximize your insurance coverage
  • Handle all insurance paperwork
  • Provide pre-treatment estimates

Flexible Financing Options

CareCredit: 0% interest financing for 12-24 months for qualified patients In-House Payment Plans: Spread costs over your treatment timeline HSA/FSA: Use pre-tax dollars for your investment Family Discounts: Special rates for multiple family members

Why Choose Dr. Marianne Cohan for Invisalign and clear aligners in Summerlin?

Expertise & Experience

  • Invisalign Preferred Provider: Advanced training and certification
  • 19x Best of Las Vegas Winner: Proven track record of excellence
  • Hundreds of Cases: Extensive experience with complex alignments
  • Continuing Education: Latest techniques and technology

Advanced Technology

Our Summerlin office features the most advanced orthodontic technology:
  • iTero Digital Scanner: No messy impressions, immediate results
  • 3D Treatment Planning: See your new smile before you start
  • Digital Progress Tracking: Monitor results in real-time
  • Same-Day Consultations: Often available for urgent cases

Personalized Care

Every Invisalign treatment is customized for your unique needs:
  • Comprehensive Evaluation: Thorough analysis of your bite and jaw function
  • Custom Treatment Plans: Tailored to your lifestyle and timeline
  • Regular Progress Checks: Ensuring optimal results
  • Post-Treatment Support: Long-term smile maintenance

Am I a Candidate for Invisalign or Clear aligners?

Ideal Candidates Include:

  • Adults and teens with mild to moderate orthodontic issues
  • Working professionals who want discrete treatment
  • Active individuals who participate in sports or public speaking
  • Image-conscious patients who want to maintain their appearance

Conditions Invisalign or clear aligners Can Treat:

  • Crowded Teeth: Overlapping or twisted teeth
  • Gaps Between Teeth: Small to moderate spacing issues
  • Overbite: Upper teeth extend too far over lower teeth
  • Underbite: Lower teeth extend past upper teeth
  • Crossbite: Upper and lower teeth don’t align properly
  • Open Bite: Front teeth don’t touch when mouth is closed

Special Considerations:

  • Mild to Moderate Cases: Best suited for less complex movements
  • Compliance Required: Must wear aligners 22+ hours daily
  • Age Requirements: Typically 12+ when all adult teeth have erupted
  • Oral Health: Gums and teeth must be healthy before starting

Invisalign for Adults in Las Vegas

Adults make up over 25% of orthodontic patients today, and Invisalign is the preferred choice for adult treatment in Summerlin. Dr. Cohan specializes in adult orthodontics, understanding the unique needs of working professionals.Adult-Specific Benefits:
  • Professional Discretion: Maintain your image during business meetings
  • Faster Treatment: Often 12-18 months vs. 24-36 months for braces
  • Comfortable Lifestyle: No dietary restrictions or painful adjustments
  • Social Confidence: Smile freely at social events and networking
Teen Invisalign or Clear Aligners in Las VegasSummerlin Dental Solutions offers specialized Invisalign Teen treatment, designed specifically for growing teenagers. This system includes:
  • Compliance Indicators: Blue dots that fade to help track wear time
  • Eruption Tabs: Accommodate still-emerging teeth
  • Replacement Aligners: Up to 6 free replacements for lost aligners
  • Growth Accommodation: Designed for developing jaws
 Benefits for Las Vegas Teens:
  • Social Confidence: No “metal mouth” during important school years
  • Sports Participation: No risk of mouth injuries from brackets
  • Special Events: Remove for school pictures, dances, graduations
  • Academic Focus: Fewer dental appointments during school hours
 
Advanced Invisalign Options Available Invisalign Aligner ExpressFor minor corrections (6 months or less):
  • Simple spacing or crowding issues
  • Minor relapse after previous treatment
  • 7-14 aligners total
  • Lower cost option
Invisalign Clear Aligner ComprehensiveFor complex cases requiring full treatment:
  • Severe crowding or spacing
  • Bite corrections
  • 15+ aligners
  • Unlimited refinements
Invisalign i7Ultra-fast treatment for minor corrections:
  • 7 aligners maximum
  • 3.5-month treatment time
  • Perfect for minor touch-ups
  • Most affordable option
 Maintaining Your Results: Life After Invisalign and Clear AlignersRetainer OptionsVivera Retainers: Custom clear retainers made from the same technology as Invisalign aligners. These are 30% stronger than other clear retainers and maintain your results long-term.Traditional Retainers: Wire and acrylic options available for patients who prefer conventional retention methods.Long-Term Care Instructions
  • Wear retainers as prescribed (typically nightly)
  • Maintain excellent oral hygiene
  • Regular dental cleanings every 6 months at our Summerlin office
  • Periodic retainer check-ups
Schedule Your Free Invisalign Consultation TodayReady to transform your smile with Invisalign in Summerlin? Dr. Marianne Cohan and the team at Summerlin Dental Solutions are here to help you achieve the confident smile you’ve always wanted. What to Expect at Your Consultation:
  • Comprehensive oral examination
  • 3D digital scan of your teeth
  • Personalized treatment plan presentation
  • Cost breakdown with financing options
  • All questions answered by Dr. Cohan personally
 Serving Las Vegas Communities:We proudly serve patients from Summerlin, The Summit, The Ridges, Queensridge, Downtown Las Vegas, Henderson, Green Valley,  Centennial Hills, Mountains Edge, and surrounding Nevada areas. Our convenient Summerlin location offers ample parking and flexible scheduling to accommodate your busy lifestyle.

Let’s Start Your Smile Journey!

Contact Us Today

At Summerlin Dental Solutions, we’re always ready to take your calls! Give us a call or fill out the form below to contact one of our team members.
By submitting, you agree to receive text messages from Summerlin Dental Solutions at the number provided, including those related to your inquiry, follow-ups, and review requests, via automated technology. Consent is not a condition of purchase. Msg & data rates may apply. Msg frequency may vary. Reply STOP to cancel or HELP for assistance. Acceptable Use Policy
Health Grades