Easy, Fast, and Flexible Financing for Everyone - 0% Interest for 12 Months!
Serving all neighborhoods: Summerlin, Rhodes Ranch, Queensridge, Sun City, Henderson, Spring Valley, Centennial Hills, Red Rock, The Summit, The Lakes, Centennial Hills and the rest of our Valley
Offer valid for new Invisalign cases only. Cannot be combined with other discounts or insurance.
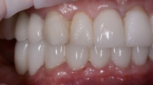
Biocompatible titanium root replacement
Connector piece between implant and crown
Custom porcelain restoration that matches your natural teeth
At our Summerlin dental office, we recommend implants because they:
– Preserve jawbone density (prevents facial collapse)
– Last 25+ years with proper care
– Don’t affect adjacent healthy teeth
– Provide 95%+ chewing efficiency
– Look completely natural
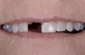
Perfect for replacing one missing tooth without affecting neighboring teeth. Dr. Cohan places the implant precisely using 3D imaging technology available at our Summerlin office.
When you're missing several teeth, individual implants or implant-supported bridges provide optimal results. We'll design a treatment plan specific to your needs and budget.
Full arch replacement using just four strategically placed implants. This innovative technique, available at Summerlin Dental Solutions, allows us to replace an entire set of upper or lower teeth in a single day.
– Same-day teeth (don’t leave our office without a smile)
– Lower cost than individual implants for each tooth
– Faster healing time
– Ideal for patients with bone loss
Implant-Supported Dentures
Traditional dentures that clip securely onto implants, eliminating slipping and improving chewing ability by 300%.
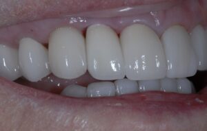
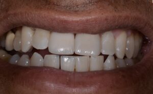
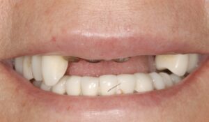
See the stunning difference a healthy, beautiful smile can make. Explore our before-and-after gallery to witness the life-changing results of expert dental care.
By Dr. Marianne Cohan, DDS, AACD, AAFE | Summerlin Dental Solutions | Updated March 2026
Nothing demonstrates the life-changing potential of dental implants better than seeing real results from real patients. The gallery below showcases a range of implant cases completed by Dr. Marianne Cohan at Summerlin Dental Solutions, from single-tooth replacements to full-arch All-on-4 restorations that gave patients an entirely new set of permanent, natural-looking teeth in a single day. Every implant shown here was placed using CBCT-guided surgical protocols with premium Nobel Biocare and Straumann implant systems. Every case was planned digitally for sub-millimeter precision. And every patient was treated in our private, one-patient-at-a-time environment where the only thing that mattered was getting their result right.Dr. Marianne Cohan’s Experience
– 19-time “Best of Las Vegas” winner
– Hundreds of successful implant placements
– Advanced training in implant dentistry
– Member of the American Academy of Implant Dentistry
Our Summerlin office features:
– 3D cone beam CT imaging for precise planning
– Computer-guided implant placement
– In-house crown fabrication
– Digital impressions (no messy molds)
– Multiple sedation options available
– Pain-free techniques
– Comfortable office environment
– Post-operative care included
– Easy access from all Summerlin neighborhoods
– Ample parking available
– Flexible scheduling including early morning appointments
– Emergency contact available
Everything patients from The Summit, The Ridges, Queensridge, Henderson, Centennial Hills, Spring Valley, and all surrounding areas are asking about replacing missing teeth with dental implants at Summerlin Dental Solutions, the practice voted Best of Las Vegas 19 times.
A dental implant is the closest thing modern dentistry has to regrowing a lost tooth. Unlike removable dentures that sit on top of the gums or dental bridges that depend on adjacent teeth for support, an implant replaces the entire tooth from root to crown. A biocompatible titanium post is surgically placed into the jawbone where it fuses with the bone through a process called osseointegration, creating an artificial root that is as strong and stable as the natural root it replaces. A custom crown is then attached to the implant, producing a tooth that looks, feels, bites, and functions exactly like the real thing.
At Summerlin Dental Solutions, Dr. Marianne Cohan is a member of the American Academy of Implant Dentistry (AAID), reflecting specialized training in both the surgical placement and prosthetic restoration of dental implants. Her 3D CBCT scanner enables guided surgical planning that maps the exact position, angle, and depth of each implant before the procedure begins, and her AACD Accreditation (held by fewer than 1% of dentists) ensures the implant crown is cosmetically indistinguishable from your natural teeth. Combined with 19 Best of Las Vegas wins, AI-assisted diagnostics, and the friendliest team you will ever encounter, Summerlin Dental Solutions delivers implant results that patients across the Las Vegas Valley trust with their smile. Below are the 20 questions patients are asking most right now about dental implants.
Q1. What is a dental implant and how does it work? |
A dental implant consists of three components that together replicate the structure and function of a natural tooth. The implant post is a small titanium screw that is surgically placed into the jawbone, serving as the artificial root. Titanium is biocompatible, meaning the body accepts it rather than rejecting it, and over a period of three to six months the bone grows directly onto the implant surface in a process called osseointegration, anchoring it permanently in the jaw with the same stability as a natural root. The abutment is a connector piece that attaches to the top of the implant post and protrudes through the gum tissue. The implant crown is a custom-fabricated porcelain or zirconia tooth that is attached to the abutment, matched precisely to the shade, shape, and contour of your surrounding natural teeth. The result is a replacement tooth that is permanently fixed in place, is cleaned with normal brushing and flossing, preserves the jawbone from the resorption that occurs when a root is missing, and is virtually indistinguishable from a natural tooth. |
Q2. How much does a single dental implant cost in Las Vegas? |
A single dental implant in the Las Vegas area, including the implant post, abutment, and crown, typically costs between $3,000 and $5,500 depending on the complexity of the case, the need for bone grafting, the type of crown material (porcelain, zirconia, or porcelain-fused-to-metal), and the location of the tooth being replaced. Front teeth often require more precise cosmetic customization, which may increase the crown component cost. If bone grafting is needed to build up insufficient jawbone before implant placement, that adds approximately $500 to $2,000 depending on the extent of the graft. While implants are a larger upfront investment than a dental bridge ($2,500 to $5,000), they typically last a lifetime while bridges need replacement every 10 to 15 years, making implants the more economical choice over the long term. At Summerlin Dental Solutions, Dr. Cohan provides a detailed estimate during your consultation. Our team verifies your insurance benefits (many plans now include implant coverage), and 0% interest financing through HFD is available with approval in under a minute and no credit impact. |
Q3. Am I a candidate for dental implants? |
Most adults with one or more missing teeth are candidates for dental implants. The primary requirements are sufficient jawbone density and volume to support the implant post, healthy gum tissue free from active periodontal disease, overall health adequate for minor oral surgery, and commitment to maintaining good oral hygiene and regular preventive care visits after placement. Conditions that were once considered disqualifying, such as diabetes, osteoporosis, and moderate bone loss, are no longer absolute barriers thanks to advances in implant technology and surgical techniques. Patients with insufficient bone may be candidates after a bone grafting procedure that rebuilds the jaw to support implant placement. Smokers can receive implants but face higher failure rates and may be asked to quit before and after surgery for the best outcome. At Summerlin Dental Solutions, Dr. Cohan uses our 3D CBCT scanner and AI-assisted diagnostics to evaluate your bone density, anatomy, and overall health with a level of thoroughness that ensures the decision to proceed is based on the most complete information available. |
Q4. Is dental implant surgery painful? |
Most patients are surprised by how comfortable dental implant surgery is. The jawbone itself does not have pain-sensing nerve endings, so the actual implant placement is far less uncomfortable than patients anticipate. Dr. Cohan uses local anesthesia to numb the area completely, and most patients feel only pressure and vibration during the procedure. For patients who want additional comfort, Summerlin Dental Solutions offers three levels of sedation dentistry: nitrous oxide for gentle relaxation, oral sedation for deeper calm, and IV sedation for patients who prefer to feel as though they slept through the surgery. After the procedure, most patients describe the discomfort as similar to having a tooth extracted: moderate soreness for a few days that is well managed with prescribed pain medication and over-the-counter anti-inflammatories. Most patients return to normal activities the next day. Our spa-like office provides warm blankets, noise-canceling headphones, and personal entertainment screens, and our team is the friendliest you will ever encounter, providing genuine care and reassurance throughout the process. |
Q5. How long do dental implants last? |
The titanium implant post, with proper care and maintenance, can last a lifetime. Once the implant has fully integrated with the jawbone through osseointegration, it becomes a permanent part of your anatomy. Studies consistently show implant success rates above 95% at 10 years and above 90% at 20 years and beyond. The implant crown (the visible tooth portion) typically lasts 15 to 20 years before it may need replacement due to normal wear, though many crowns last even longer. When the crown does eventually need replacement, it is a relatively simple procedure that does not affect the implant post beneath it. The factors that most influence implant longevity include consistent oral hygiene, regular preventive care visits at Summerlin Dental Solutions every three to six months, avoidance of smoking, management of teeth grinding with a custom night guard, and prompt treatment of any gum disease (peri-implantitis) that develops around the implant. |
Q6. What is the dental implant process from start to finish? |
The dental implant process at Summerlin Dental Solutions follows a carefully sequenced timeline. The journey begins with a comprehensive consultation including a 3D CBCT scan, digital X-rays with AI-assisted analysis, and a detailed examination to confirm candidacy and plan the optimal implant position. If bone grafting is needed, it is performed and allowed to heal for three to six months before implant placement. During the surgical appointment, Dr. Cohan places the titanium implant post into the jawbone under local anesthesia and your chosen level of sedation. A healing cap or temporary restoration is placed over the implant site. Over the next three to six months, the implant integrates with the bone through osseointegration. After successful integration is confirmed, the TRIOS digital scanner captures a precise impression of the implant position and surrounding teeth. A custom crown is fabricated at a premier ceramics lab and delivered at the final appointment, where Dr. Cohan checks the fit, shade, and bite before permanently attaching it. The entire process from consultation to final crown typically takes four to eight months, though you have a functional temporary tooth throughout the healing period so you are never without a tooth. |
Q7. Why are dental implants better than bridges or dentures? |
Dental implants offer several fundamental advantages over bridges and dentures. Implants preserve jawbone density because the titanium post replaces the natural root, providing the mechanical stimulation that prevents bone resorption. Bridges and dentures do not replace roots, allowing the bone beneath them to continue shrinking. Implants are independent and do not rely on adjacent teeth for support, so healthy neighboring teeth are left completely untouched. A bridge requires the adjacent teeth to be ground down for crowns, permanently altering their structure. Implants are permanent and fixed, never slipping, shifting, or requiring adhesive the way removable dentures do. Implants restore approximately 100% of natural biting force, compared to 20 to 25% for conventional dentures. Implants are cleaned like natural teeth with normal brushing and flossing, while bridges require special flossing techniques and dentures must be removed for cleaning. And implants can last a lifetime, while bridges typically last 10 to 15 years and dentures need replacement every 5 to 7 years. Dr. Cohan discusses all options honestly during your consultation and recommends the approach that best fits your clinical situation, goals, and budget. |
Q8. What is bone grafting and do I need it before getting an implant? |
Bone grafting is a procedure that rebuilds jawbone volume and density in areas where the bone has deteriorated, most commonly due to tooth loss, gum disease, or long-term denture wear. When a tooth is lost, the bone beneath it begins to resorb because it no longer receives stimulation from the root. Over months and years, the bone can thin to the point where there is not enough volume to securely anchor an implant. Bone grafting adds biocompatible grafting material to the deficient area, which stimulates the body to generate new bone over a healing period of three to six months. Not every implant patient needs bone grafting. Patients who have their implant placed shortly after tooth loss, who have naturally thick and dense jawbone, or who receive a socket preservation graft at the time of extraction often have sufficient bone for immediate implant placement. Dr. Cohan uses our 3D CBCT scanner to measure bone density, width, and height at the exact implant site in three dimensions, determining with precision whether grafting is needed and, if so, exactly how much and where. This pre-surgical certainty eliminates guesswork and ensures the grafting (if needed) creates the optimal foundation for long-term implant success. |
Q9. Can a dental implant be placed the same day a tooth is extracted? |
In many cases, yes. Immediate implant placement, where the implant is placed directly into the extraction socket at the same appointment the tooth is removed, is an increasingly common technique that can significantly shorten the overall treatment timeline. When the conditions are right (the extraction site is free of infection, the surrounding bone is adequate in density and volume, and the implant achieves sufficient primary stability), same-day placement eliminates the need for a separate healing period between extraction and implant surgery. Dr. Cohan evaluates candidacy for immediate placement using our 3D CBCT scanner before the extraction and makes the final determination during the procedure based on what she observes after the tooth is removed. If immediate placement is not appropriate (due to infection, insufficient bone, or complex root anatomy), she performs a socket preservation bone graft at the time of extraction to maintain bone volume for implant placement three to six months later. Either way, a temporary tooth is provided so you never leave the office with a visible gap. |
Q10. How do I care for a dental implant? |
Caring for a dental implant is remarkably similar to caring for a natural tooth. Brush twice daily with a soft-bristled toothbrush and fluoride toothpaste, paying particular attention to the gum line around the implant crown where plaque can accumulate. Floss daily using standard floss, an interdental brush, or a water flosser to clean around the implant post where it emerges through the gum tissue. Use an antimicrobial mouth rinse if recommended by Dr. Cohan. Avoid chewing on extremely hard objects (ice, hard candy, pen caps) that could damage the crown. If you grind or clench your teeth, wear the custom night guard Dr. Cohan provides to protect both the implant crown and your natural teeth. And maintain regular preventive care visits at Summerlin Dental Solutions every three to six months (Dr. Cohan recommends the interval based on your individual risk profile). At these visits, the hygiene team professionally cleans around the implant, and Dr. Cohan checks the implant stability, crown integrity, and the health of the surrounding gum tissue to catch any developing issues early. |
Q11. What is peri-implantitis and how is it prevented? |
Peri-implantitis is an inflammatory condition that affects the gum tissue and bone surrounding a dental implant, essentially the implant equivalent of gum disease. It is caused by bacterial plaque buildup around the implant that triggers an inflammatory response, which, if left untreated, can destroy the bone supporting the implant and ultimately lead to implant failure. Risk factors include poor oral hygiene, smoking, diabetes, a history of gum disease, and insufficient follow-up care after implant placement. Prevention is straightforward: meticulous daily oral hygiene around the implant, professional maintenance cleanings every three to six months at Summerlin Dental Solutions, immediate treatment of any gum inflammation around the implant, and management of systemic risk factors. Dr. Cohan monitors every implant at every preventive visit using probing, digital X-rays, and AI-assisted analysis to detect early signs of peri-implantitis before bone loss occurs. When caught early, peri-implantitis is treatable and the implant can be saved. |
Q12. Will my dental implant look like a real tooth? |
When designed by an experienced cosmetic dentist, an implant crown should be completely indistinguishable from the surrounding natural teeth. At Summerlin Dental Solutions, Dr. Cohan achieves this natural result through several integrated steps. Computerized shade-matching technology identifies the exact color, translucency, and value of your surrounding teeth. The TRIOS digital scanner captures the precise contours of the implant position and neighboring teeth for an exact fit. Dr. Cohan provides detailed specifications to a premier ceramics lab regarding the shade gradient, surface texture, contour, and emergence profile she wants the crown to exhibit. And her AACD Accreditation (held by fewer than 1% of dentists) confirms that her aesthetic judgment meets the highest peer-reviewed standards in cosmetic dentistry. The emergence profile, which is how the crown emerges from the gum tissue and mimics the natural contour of a real tooth, is one of the most important aesthetic details and one that less experienced providers often overlook. Dr. Cohan designs the emergence profile to look completely natural, so the implant crown appears to grow from the gum just like the tooth it replaced. |
Q13. What is the success rate of dental implants? |
Dental implants have one of the highest success rates of any surgical procedure in medicine or dentistry. Peer-reviewed research consistently reports success rates of 95% to 98% at 10 years and above 90% at 20 years and beyond. At Summerlin Dental Solutions, Dr. Cohan maximizes success rates through several factors that are within the clinician’s control: comprehensive pre-surgical planning using 3D CBCT imaging to select the optimal implant position, angle, and depth for each patient’s unique anatomy, AI-assisted diagnostic evaluation to identify and address any conditions that could compromise healing before surgery, precise surgical technique refined over more than 31 years of clinical experience, appropriate healing time before loading the implant with its permanent crown, and a structured maintenance program that monitors every implant at every follow-up visit. The factors that can reduce success rates, such as smoking, uncontrolled diabetes, and poor oral hygiene, are discussed transparently during the consultation so you can optimize your health before and after surgery. |
Q14. What technology does Summerlin Dental Solutions use for dental implants? |
Dental implant placement is one of the most technology-dependent procedures in dentistry, and Summerlin Dental Solutions has invested in every meaningful advancement to ensure the highest level of surgical precision and patient safety. The 3D CBCT scanner is the cornerstone of implant planning, providing a complete three-dimensional map of jawbone density, nerve locations, sinus positions, and neighboring tooth roots so Dr. Cohan can plan the exact position, angle, and depth of the implant before surgery begins. Our AI-assisted radiological analysis identifies hidden infections, pathology, and bone quality concerns that must be addressed before implant placement. The TRIOS digital scanner captures precise impressions for the implant crown without messy putty trays, producing a restoration with an exact fit. Computerized smile design software previews the aesthetic result for visible front-tooth implants. Our soft tissue laser manages gum tissue around the implant site with less bleeding and faster healing. Digital X-rays provide instant post-surgical imaging at 90% less radiation. And dual-screen exam rooms display the 3D surgical plan so you understand exactly what will happen before the procedure begins. |
Q15. What are Dr. Cohan’s qualifications for dental implant placement? |
Dr. Marianne Cohan brings a dual expertise to dental implants that very few providers can match: the surgical skill to place implants with precision and the cosmetic artistry to design implant crowns that look naturally beautiful. She earned her Doctor of Dental Surgery degree from the State University of New York at Buffalo with dual honors: the Operative Dentistry Award (recognizing the restorative precision that implant prosthodontics demands) and the Periodontics Award (recognizing expertise in the bone and tissue biology that determines implant success). Her membership in the American Academy of Implant Dentistry (AAID) reflects specialized training in implant surgical placement, bone grafting, and implant-supported restorations. Her AACD Accreditation (fewer than 1% of dentists) ensures the implant crown meets the highest cosmetic standards. She has been named Best Dentist in America through peer nomination and voted Best of Las Vegas 19 times across four categories including Best Cosmetic Dentist. She maintains additional memberships in the AAFE, ADA, Academy of Laser Dentistry, and Academy of General Dentistry. With more than 31 years of experience and as the sole dentist at the practice, she manages every implant case from planning through final crown delivery. You genuinely could not be in better hands. |
Q16. Does dental insurance cover dental implants in Las Vegas? |
Dental insurance coverage for implants has improved significantly in recent years. Many dental plans now include implant benefits under their major restorative services category, though coverage levels and annual maximums vary by carrier and plan. Typical coverage ranges from 50% to 80% of the implant cost, subject to the plan’s annual maximum (commonly $1,500 to $3,000). Some plans that do not cover the implant post itself may cover the implant crown as a prosthetic benefit. Medical insurance may contribute in cases where tooth loss resulted from accident, trauma, or a medical condition. At Summerlin Dental Solutions, our front office team performs a thorough insurance benefits verification and submits pre-authorization to both your dental and medical carriers when applicable. 0% interest financing through HFD is available for any remaining balance with approval in under a minute and no credit score impact. HSA and FSA accounts can also be applied toward implant treatment. |
Q17. What happens if I wait too long to replace a missing tooth with an implant? |
Every month a missing tooth goes unreplaced, the jawbone beneath the gap continues to resorb. Within the first year of tooth loss, the bone in the extraction area can lose 25% or more of its width. Over several years, the bone loss can become so severe that implant placement is no longer possible without extensive bone grafting, which adds months of healing time and thousands of dollars in additional cost. Beyond bone loss, the teeth adjacent to the gap begin to shift and tilt into the empty space, changing your bite alignment and creating areas that are difficult to clean. The opposing tooth drifts because it has lost its biting partner. The facial structure around the missing tooth area gradually collapses inward. And the longer these changes progress, the more complex and expensive the eventual treatment becomes. A socket preservation bone graft at the time of extraction is one of the simplest ways to protect your future implant option, and placing the implant within the first few months of tooth loss, before significant bone resorption occurs, produces the best outcomes with the simplest, most affordable treatment path. |
Q18. Where is the closest dental implant dentist near The Summit, The Ridges, and Queensridge? |
Summerlin Dental Solutions is located at 851 S Rampart Blvd, Suite 230, Las Vegas, NV 89145, centrally positioned in the heart of Summerlin between Tivoli Village and Boca Park. Queensridge residents are just 5 to 10 minutes from our office. The Summit residents reach us in approximately 10 to 12 minutes via Town Center Drive and Rampart Boulevard. The Ridges residents connect via Rampart or the 215 Beltway in a similarly short drive. Having an AAID-trained implant dentist with CBCT-guided surgical planning, AI-assisted diagnostics, AACD-accredited crown design, IV sedation capability, and soft tissue laser all under one roof within minutes of these communities means patients receive the complete implant journey from consultation through final crown delivery without referrals, handoffs, or multi-office coordination. Call +1(702) 341-9160 to schedule your implant consultation. |
Q19. Can patients from Henderson, Centennial Hills, and Spring Valley get dental implants at Summerlin Dental Solutions? |
Yes. Henderson, Green Valley, and Anthem patients reach our Summerlin office in approximately 25 to 30 minutes via the 215 Beltway. Centennial Hills and North Las Vegas residents travel south on the 215 or US-95 in approximately 20 to 25 minutes. Spring Valley patients are just 10 to 15 minutes south along the 215 Beltway. Patients from all of these communities and all surrounding areas choose Summerlin Dental Solutions for implants because Dr. Cohan’s AAID implant training, CBCT-guided surgical precision, and AACD-accredited cosmetic crown design mean the entire implant process, from bone evaluation through surgical placement through final crown delivery, is managed by one doctor with comprehensive expertise. This single-provider model produces better outcomes than the common alternative where a surgeon places the implant and a separate dentist designs the crown, because the doctor who places the post is the same doctor who designs the crown that sits on it, ensuring optimal alignment between the surgical and prosthetic phases. |
Q20. How do I schedule a dental implant consultation at Summerlin Dental Solutions? |
Call +1(702) 341-9160 and let our team know you are interested in dental implants or have a missing tooth you want to replace. You can also book online through our website or begin with a virtual consultation from home. New patients can complete patient forms online to save time. Your consultation includes a comprehensive examination with Dr. Cohan, a 3D CBCT scan to evaluate your bone density and anatomy at the implant site, digital X-rays with AI-assisted analysis, a clear explanation of whether you are an implant candidate and what, if any, preparatory procedures are needed, a discussion of implant versus bridge versus All-on-4 alternatives if applicable, a preview of the projected aesthetic result for visible teeth, and a detailed cost estimate with insurance verification and financing options. We are located at 851 S Rampart Blvd, Suite 230, in the heart of Summerlin near Tivoli Village and Boca Park. We proudly serve patients from The Summit, The Ridges, Queensridge, Henderson, Centennial Hills, Spring Valley, and all surrounding communities. You could not be in better hands at Summerlin Dental Solutions. |
Summerlin Dental Solutions is centrally located at 851 S Rampart Blvd, Suite 230, in the heart of Summerlin between Tivoli Village, Boca Park, and Downtown Summerlin. Our dental implant practice serves patients from six communities and all surrounding areas throughout the Las Vegas Valley.
The Summit | One of Summerlin’s most prestigious guard-gated communities, The Summit is approximately 10 to 12 minutes from our office. Summit residents who need dental implants expect the highest level of surgical precision and cosmetic quality, and Dr. Cohan’s AAID implant training, CBCT-guided placement, and AACD-accredited crown design deliver results that match the standard of excellence Summit residents demand in every aspect of their lives. |
The Ridges | Nestled against Red Rock Canyon, The Ridges is a short drive from our office via Rampart Boulevard or the 215 Beltway. Ridges residents value Dr. Cohan’s sole-practitioner model for implants, where the same doctor who plans the surgery, places the implant, and designs the crown has a unified vision of the final result from the very first scan. No handoffs between a surgeon and a separate restorative dentist means better outcomes and fewer complications. |
Queensridge | Our closest neighboring community at just 5 to 10 minutes from our office. Queensridge residents benefit from the shortest commute for the multiple visits that implant treatment requires (consultation, surgery, follow-ups, impression, crown delivery), making the multi-appointment timeline as convenient as possible. Many Queensridge families have trusted Dr. Cohan with their implant cases for over two decades. |
Henderson | Henderson, Green Valley, and Anthem patients reach our Summerlin office in approximately 25 to 30 minutes via the 215 Beltway. Henderson patients choose Summerlin Dental Solutions for implants because CBCT-guided surgical planning, AI-assisted diagnostics, and the single-provider model (surgery and prosthetics by the same doctor) produce outcomes that justify the drive. Henderson patients who split their implant care between a surgeon and a separate dentist at closer offices often experience the coordination problems that Dr. Cohan’s comprehensive approach eliminates. |
Centennial Hills | North Las Vegas and Centennial Hills residents travel south on the 215 or US-95 in approximately 20 to 25 minutes. Centennial Hills patients seeking implants value the CBCT-guided precision that eliminates surgical guesswork, the AI diagnostics that ensure the implant site is thoroughly evaluated before surgery, and the AACD-accredited aesthetic that makes the implant crown indistinguishable from a natural tooth. |
Spring Valley | Located just south of Summerlin along the 215 Beltway, Spring Valley patients reach our office in 10 to 15 minutes. As one of our largest patient communities, Spring Valley includes many implant patients whose results have generated powerful referrals. When friends and coworkers cannot tell which tooth is the implant, patients tell them about Summerlin Dental Solutions. |
Dental implant success depends heavily on the precision of the surgical plan and the accuracy of the placement. Every piece of technology at Summerlin Dental Solutions contributes to making each implant case safer, more precise, and more predictable.
3D CBCT Scanner | The most critical technology for implant dentistry. The CBCT scanner produces a complete three-dimensional view of the jawbone, revealing bone density at every point, available height and width for implant placement, the exact location of the inferior alveolar nerve in the lower jaw, the proximity of the maxillary sinus floor in the upper jaw, and the position of adjacent tooth roots. Dr. Cohan uses this 3D data to plan the precise angle, depth, and position of each implant before the surgery begins, transforming the procedure from a judgment call into a guided execution of a pre-determined plan. |
AI-Assisted Radiology | Before any implant surgery is planned, the AI system reviews your diagnostic images alongside Dr. Cohan to identify hidden infections, residual root fragments, cysts, pathology, and bone quality variations at the implant site. For a surgical procedure where the implant must integrate with healthy bone to succeed, this diagnostic thoroughness is an essential safety layer that ensures nothing is missed. |
TRIOS Digital Scanner | After the implant has healed and integrated, the TRIOS scanner captures a precise 3D digital impression of the implant position and surrounding teeth for the fabrication of the implant crown. This digital impression is more accurate than traditional putty methods, producing a crown that fits precisely on the first try and requires minimal or no adjustment at delivery. |
Computerized Smile Design | For implants replacing visible front teeth, smile design software allows Dr. Cohan to digitally design the implant crown in the context of your facial proportions and smile zone, ensuring the shade, shape, and contour complement the surrounding natural teeth for a seamless result. |
Soft Tissue Laser | The dental laser assists with gum tissue management during and after implant surgery, including creating precise incisions for implant access, contouring the gum tissue around the healing implant for optimal emergence profile, and treating any inflammation that develops during the healing period. The laser produces less bleeding, less swelling, and faster healing than traditional methods. |
Digital X-Rays | Instant imaging at up to 90% less radiation is used throughout the implant process: pre-surgical assessment, post-placement verification of implant position, monitoring of bone integration during healing, and ongoing surveillance at every follow-up visit to ensure long-term implant stability. |
Dual-Screen Exam Rooms | Every treatment room features dual monitors where Dr. Cohan displays your 3D CBCT surgical plan, showing you exactly where the implant will be placed, how deep it will go, and how the final crown will look. Understanding the plan before surgery builds confidence and reduces the anxiety that many implant patients feel about a procedure they have never experienced. |
Dr. Marianne Cohan brings a rare combination of surgical implant expertise and cosmetic artistry to every implant case. Her DDS from the State University of New York at Buffalo came with dual honors: the Operative Dentistry Award (the restorative precision that implant crown fabrication demands) and the Periodontics Award (the bone and tissue expertise that determines implant success). Her AAID membership (American Academy of Implant Dentistry) reflects specialized training in implant surgical placement, bone grafting, and implant prosthodontics. Her AACD Accreditation (fewer than 1% of dentists) ensures the implant crown is cosmetically indistinguishable from a natural tooth. She has been named Best Dentist in America through peer nomination and voted Best of Las Vegas 19 times across four categories including Best Cosmetic Dentist. She maintains additional memberships in the AAFE, ADA, Academy of Laser Dentistry, and Academy of General Dentistry. With more than 31 years of experience and as the sole dentist at the practice, she personally manages every implant from first scan to final crown. You genuinely could not be in better hands.
Getting a dental implant is a significant decision, and the team at Summerlin Dental Solutions supports you through every step with warmth, patience, and genuine care. The front desk staff coordinate your multi-visit timeline with flexibility. The surgical assistants ensure your comfort during the procedure. The treatment coordinators work through insurance and financing to make the investment feasible. And hundreds of five-star patient reviews confirm that this is the friendliest, most genuinely caring dental team patients have ever encountered. From consultation through crown delivery and beyond, you are surrounded by people who care about your outcome as much as you do.
Dental implant treatment involves multiple appointments over several months, making the environment where those visits take place especially important. After a stunning renovation, Summerlin Dental Solutions features a gorgeous, modern interior with warm lighting, contemporary design, and an atmosphere patients consistently describe as spa-like. Every treatment chair is equipped with warm blankets, noise-canceling headphones, complimentary beverages, and a personal entertainment screen. For the surgical appointment, three levels of sedation dentistry (nitrous oxide, oral sedation, and IV sedation) ensure complete comfort. The combination of CBCT-guided surgical precision, AACD-accredited crown artistry, a spa-like environment, and the friendliest team in Las Vegas makes the dental implant experience at Summerlin Dental Solutions the best in the valley.
Replace Your Missing Tooth with the Gold Standard Call +1(702) 341-9160 to schedule your implant consultation. Book Online | Virtual Consultation | Financing Options 851 S Rampart Blvd, Suite 230 | Las Vegas, NV 89145 | Near Tivoli Village & Boca Park |
