Easy, Fast, and Flexible Financing for Everyone - 0% Interest for 12 Months!

 Serving all neighborhoods: Summerlin, Rhodes Ranch, Queensridge, Sun City, Henderson, Spring Valley, Centennial Hills, Red Rock, The Summit, The Lakes, Centennial Hills and the rest of our Valley

 

Veneers in Las Vegas and Summerlin

Schedule a Free Virtual Consultation With Dr. Cohan Today!

or

                                                      Porcelain Veneers in Las Vegas: Natural, Lasting Results from an AACD Accredited Cosmetic Dentist

Your smile is the first thing people notice  and at Summerlin Dental Solutions, we believe it should reflect the best version of you. Dr. Marianne Cohan is an AACD-accredited cosmetic dentist with over 31 years of experience and 19 consecutive Best of Las Vegas awards. She combines artistry, advanced digital technology, and a one-patient-at-a-time approach to deliver veneer results that look completely natural  and last for decades.

Whether you want to fix chips, close gaps, correct alignment, or completely transform your smile, porcelain veneers offer one of the most predictable and dramatic improvements in cosmetic dentistry. Every veneer case at our Summerlin office begins with a comprehensive examination, AI-assisted digital X-rays, a 3D CBCT scan when indicated, and a digital smile design preview so you see your projected results before any treatment begins.

📷 HERO IMAGE

Dr. Cohan with a smiling veneer patient at Summerlin Dental Solutions. Alt text: “Porcelain veneers Las Vegas cosmetic dentist Dr. Marianne Cohan Summerlin Dental Solutions”

What Are Porcelain Veneers?

Porcelain veneers are ultra-thin shells of medical-grade ceramic bonded to the front surfaces of your teeth. Each veneer is custom-designed to match the ideal shape, size, and shade for your face  correcting imperfections while preserving as much natural tooth structure as possible.

Veneers can address a wide range of cosmetic concerns in a single treatment: chips, cracks, gaps between teeth, minor misalignment, uneven tooth length, permanent staining that doesn’t respond to teeth whitening, and worn or aged-looking teeth. For patients who want comprehensive change, veneers are often the foundation of a full smile makeover.

Unlike dental crowns which cover the entire tooth for structural repair — veneers cover only the visible front surface and require significantly less tooth reduction. And unlike dental bonding, which uses composite resin applied chairside, porcelain veneers are fabricated in an elite ceramics lab, hand-layered to replicate the translucency and depth of natural enamel.

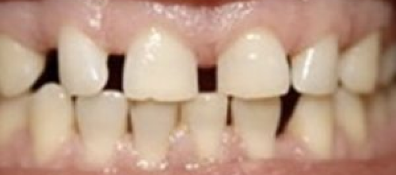
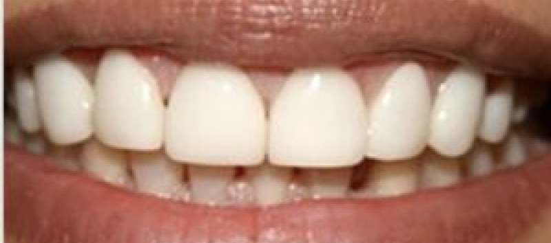
📷 BEFORE & AFTER IMAGE #1

Close-up comparison showing natural-looking porcelain veneers. Alt text: “Before and after porcelain veneers Las Vegas Summerlin Dental Solutions”

Why Patients Choose Dr. Cohan for Veneers in Las Vegas

1. AACD Accreditation — The Highest Standard in Cosmetic Dentistry

The American Academy of Cosmetic Dentistry (AACD) accreditation is the most rigorous credential in cosmetic dentistry. Fewer than 500 dentists worldwide hold this distinction. Dr. Cohan completed a multi-year process that included peer-reviewed case submissions, live examinations, and demonstration of consistently exceptional results. When you choose an AACD-accredited dentist, you’re choosing a provider whose work has been independently verified by the profession’s highest authority.

2. Digital Smile Design Preview — See Your Results Before Treatment

At Summerlin Dental Solutions, you never commit to veneers blindly. Dr. Cohan uses smile design software to map your ideal veneer shape, size, and shade onto a photograph of your face. You see exactly what your new smile will look like and you have full input on the design —before any tooth preparation begins.

3. One Patient at a Time — No Assembly Line Dentistry

Dr. Cohan sees only one patient per appointment block. This means you receive her full, undivided attention throughout every visit. There’s no rushing, no handoffs to assistants for critical steps, and no compromise on precision. This approach takes more time per case, but it’s the only way to consistently produce the level of results that earned Dr. Cohan 19 Best of Las Vegas awards.

4. Elite Lab Partnership — Hand-Layered Porcelain

The quality of your veneers depends as much on the ceramist as the dentist. Dr. Cohan partners with elite dental ceramics laboratories that hand-layer each veneer to replicate the light-refracting properties, translucency gradients, and surface texture of natural enamel. The result is veneers that are virtually indistinguishable from natural teeth even under close inspection.

5. 31+ Years of Experience and Verifiable Credentials

Dr. Cohan has practiced cosmetic and general dentistry in Las Vegas since 1993. She holds an active Nevada dental license, is a member of the AACD and AAFE (American Academy of Facial Esthetics), and maintains current certifications in sedation dentistry, laser dentistry, and Invisalign treatment.

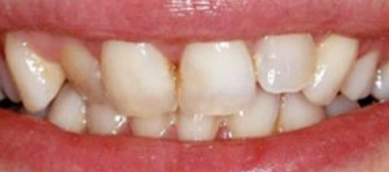
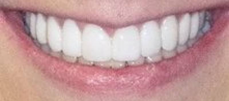
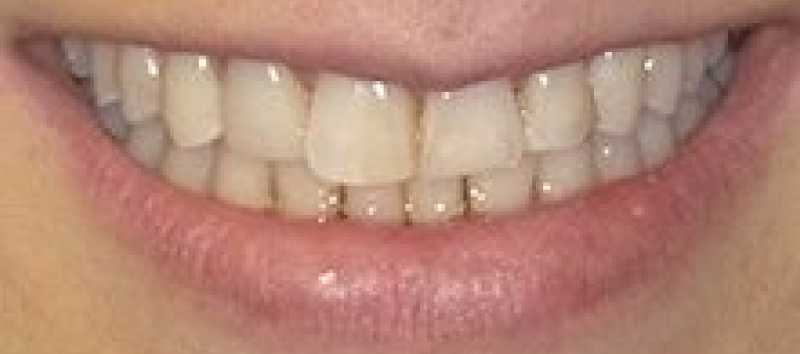
📷 BEFORE & AFTER IMAGE #2

Full smile transformation showing 8-10 veneers. Alt text: “Smile makeover with porcelain veneers Summerlin Las Vegas cosmetic dentist”

Schedule Your Veneer Consultation

Call (+17023419160 or book online today.

Book Online →     |     Virtual Consultation →     |     Financing Options →

Summerlin Dental Solutions  •  851 S Rampart Blvd, Suite 230  •  Las Vegas, NV 89145

Types of Veneers Available at Summerlin Dental Solutions

Traditional Porcelain Veneers

Traditional porcelain veneers require removing approximately 0.5mm of enamel from the front of each tooth — about the thickness of a contact lens — to create space for the veneer. This allows the ceramist to build optimal thickness for strength and aesthetics. Porcelain veneers range from $1,200 to $2,500 per tooth in the Las Vegas market and typically last 10 to 20+ years with proper care.

No-Prep Veneers (Lumineers®)

No-prep veneers are ultra-thin and bond directly to the tooth with minimal to zero enamel removal. This makes them a reversible option for some patients. Brands like Lumineers® are the most well-known. No-prep veneers range from $800 to $2,000 per tooth. They preserve more natural tooth structure but aren’t suitable for every case  patients with significantly crooked, protruding, or bulky teeth may get a better result with traditional prep. Dr. Cohan evaluates your specific situation and recommends the approach that will look and function best long-term.

Emax / Pressed Ceramic Veneers

Emax veneers are made from lithium disilicate, one of the strongest and most aesthetically pleasing dental ceramics available. They combine the beauty of traditional porcelain with superior flexural strength, making them ideal for patients who grind their teeth or need veneers on teeth that take heavier biting forces. At $1,000 to $2,200 per tooth in Las Vegas, they offer the best combination of longevity and natural appearance.

Composite Veneers

Composite veneers are made from tooth-colored resin applied directly to the tooth surface in a single visit. They range from $250 to $600 per tooth and can be an affordable option for patients who want improvement but aren’t ready for a full porcelain investment. Composite veneers typically last 5 to 7 years and are more prone to staining and chipping than porcelain. They can be repaired chairside, however, making maintenance simpler.

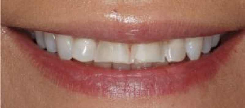
📷 BEFORE & AFTER IMAGE #3

Side-by-side comparison of different veneer types or close-up showing natural translucency. Alt text: “Porcelain vs composite veneers comparison Las Vegas dentist”

⚠️ A WARNING ABOUT “VENEER TECHS” AND DISCOUNT VENEER POP-UPS IN LAS VEGAS

Social media  particularly TikTok and Instagram has fueled a growing trend of unlicensed “veneer techs” and pop-up veneer studios offering dramatically low prices. These operations are appearing across the Las Vegas valley, advertising veneers for $200–$400 per tooth with same-day results and flashy before-and-after videos.

Here’s what they don’t show you: these providers apply composite material without proper bonding protocols, sterilization, or diagnostic imaging. They do not take X-rays, do not check for underlying decay or gum disease, and often use materials that chip, stain, and detach within months. Patients regularly end up in legitimate dental offices  including ours  needing expensive corrective work to repair the damage.

In Nevada, only a licensed dentist can legally perform veneer procedures. If someone is offering you veneers without a dental license, without X-rays, without a treatment plan, and at a price that seems too good to be true it is. Your smile is not the place to cut corners.

📷 BEFORE & AFTER IMAGE #4

Corrective case: patient who had discount veneers replaced with porcelain by Dr. Cohan. Alt text: “Veneer replacement corrective case Las Vegas cosmetic dentist”

How to Afford Veneers in Las Vegas: Financing Options That Make It Possible

The number one reason patients delay veneers isn’t fear of the dentis it’s the upfront cost. A full set of 8 porcelain veneers at $1,500 per tooth is a $12,000 investment. That’s real money. But at Summerlin Dental Solutions, we’ve structured our financing specifically to remove that barrier.

CareCredit: 0% Interest for 12 Months

CareCredit is the most widely used healthcare financing card in the country, and Summerlin Dental Solutions is a CareCredit provider. The standout feature is promotional 0% interest financing for 12 months on qualifying purchases. That means a $6,000 set of veneers breaks down to $500 per month for one year with zero interest  or a $12,000 smile makeover at $1,000 per month. There are no upfront costs, no prepayment penalties, and no annual fees.

HFD (Healthcare Finance Direct): Near-100% Approval

HFD is our second financing option, and it’s ideal for patients who may not qualify for CareCredit. HFD offers near-100% approval rates with no impact on your credit score during the application process. Plans extend up to 84 months, making even comprehensive treatment affordable on a monthly basis.

Dental Insurance Coverage

Most dental insurance plans classify veneers as cosmetic and do not cover them. However, if your case includes components that are medically necessary  such as crowns on damaged teeth or gum disease treatment those portions may be covered. Our front office team will verify your benefits and help you maximize any available coverage. Visit our insurance information page for details.

For full details on all available financing options, visit our financing page.

💳 Don’t Let Cost Stand Between You and Your Dream Smile

Call +17023419160 or book online today.

Book Online →     |     Virtual Consultation →     |     Financing Options →

Summerlin Dental Solutions  •  851 S Rampart Blvd, Suite 230  •  Las Vegas, NV 89145

📷 BEFORE & AFTER IMAGE #5

Smile makeover financed through CareCredit — 6 veneers. Alt text: “Affordable veneers Las Vegas financed smile makeover before after”

What to Expect: The Veneer Process at Summerlin Dental Solutions

Visit 1: Consultation and Digital Smile Design

Your first visit is a comprehensive evaluation. Dr. Cohan examines your teeth and gums, takes digital X-rays analyzed with AI-assisted radiology, and captures a 3D scan of your mouth using the TRIOS® digital scanner no messy putty impressions. She then uses smile design software to map your ideal veneer shape, size, and shade onto a photograph of your face. You see your projected results before any treatment begins and have full input on the final design. This consultation is also where you’ll receive your personalized cost estimate and discuss financing options. If dental anxiety is a concern, ask about our sedation dentistry options to keep you comfortable throughout the process.

Visit 2: Tooth Preparation and Temporary Veneers

If you’re getting traditional porcelain veneers, Dr. Cohan will gently prepare your teeth by removing a thin layer of enamel (approximately 0.5mm about the thickness of a contact lens). Digital impressions are taken and sent to the ceramics lab. You’ll leave with temporary veneers that protect your teeth while the permanent set is being crafted. For no-prep veneers, this step involves minimal to zero enamel removal. If laser gum contouring is part of your plan common for patients whose gum line is uneven  it’s typically done at this visit using our soft tissue laser for faster healing.

Visit 3: Bonding and Final Placement

When your custom veneers arrive from the lab, Dr. Cohan places each one with precision, checking the fit, bite, and color under multiple lighting conditions. Once you approve the look and feel, the veneers are permanently bonded. You walk out with your new smile the same day. If you’re also considering straightening teeth before veneers, Invisalign can sometimes reduce the number of veneers needed by correcting alignment first and we’re currently offering $500 off Invisalign treatment for new cases.

📷 BEFORE & AFTER IMAGE #6

Final result: complete veneer case showing natural light and multiple angles. Alt text: “Dental veneers final results natural smile Las Vegas Summerlin”

Frequently Asked Questions About Veneers at Summerlin Dental Solutions

Q: How much do veneers cost in Las Vegas in 2026?

The cost depends on the type. Composite veneers range from $250 to $600 per tooth. Porcelain veneers range from $925 to $2,500 per tooth. No-prep veneers range from $800 to $2,000 per tooth. A full smile makeover involving 6 to 10 porcelain veneers typically costs between $5,500 and $25,000 in the Las Vegas and Summerlin area. At Summerlin Dental Solutions, we provide a detailed cost estimate during your free virtual consultation so there are no surprises.

Q: Does dental insurance cover veneers in Nevada?

Dental insurance almost never covers veneers because they are classified as cosmetic. However, if your case includes components that are medically necessary  such as crowns on damaged teeth or gum disease treatment  those portions may be covered. Summerlin Dental Solutions accepts most insurance plans. Visit our insurance information page for details.

Q: What financing options are available for veneers at Summerlin Dental Solutions?

We offer CareCredit with 0% interest for 12 months, HFD (Healthcare Finance Direct) with near-100% approval rates and no credit score impact, and in-house payment plans for larger cases. Many patients combine insurance for covered procedures with CareCredit or HFD for the cosmetic portion. Visit our financing page or apply in our office in minutes.

Q: How long do veneers last?

Composite veneers typically last 5 to 7 years. Porcelain veneers last 10 to 20 years or longer with proper care. Emax pressed ceramic veneers can last 15 to 25 years. Longevity depends on oral hygiene, diet, and whether you grind your teeth. Dr. Cohan can recommend a custom nightguard if you’re a grinder to protect your investment.

Q: Do veneers look natural?

When placed by an experienced cosmetic dentist using high-quality materials and modern technology, veneers should be virtually indistinguishable from natural teeth. Dr. Cohan uses smile design software to preview your results, the TRIOS® digital scanner for exact-fit impressions, and works with elite ceramics labs that hand-layer porcelain to match the translucency and surface texture of natural enamel. The “fake” look people worry about is typically the result of budget materials, poor shade matching, or inexperienced placement.

Q: What is the difference between no-prep veneers and traditional veneers?

Traditional porcelain veneers require removing approximately 0.5mm of enamel from the front of each tooth. This is irreversible. No-prep veneers (such as Lumineers®) are ultra-thin and bond directly with minimal to no enamel removal. No-prep veneers preserve more natural tooth structure but aren’t suitable for every case patients with significantly crooked, protruding, or bulky teeth may get a better result with traditional prep. Dr. Cohan evaluates your specific situation and recommends the approach that will look and function best long-term.

Q: Are “veneer techs” on social media legitimate?

No. In Nevada, only a licensed dentist can legally perform dental procedures, including veneers. Unlicensed “veneer techs” operating through social media and pop-up studios apply composite material without diagnostic imaging, sterilization protocols, or treatment planning. The results frequently chip, stain, or detach within months, and patients often need expensive corrective work from a licensed dentist to repair the damage. Always verify that your provider holds a valid Nevada dental license.

Q: Can I get veneers if I have cavities or gum disease?

Cavities and gum disease must be treated before veneers can be placed. Bonding veneers to decayed teeth or inflamed gums leads to premature failure and further oral health problems. At Summerlin Dental Solutions, your initial consultation includes a comprehensive exam and AI-assisted X-ray analysis to identify any issues that need to be resolved first. We’ll build those treatments into your overall plan and timeline so everything is handled in the right order.

Q: How many veneers do I need?

Most patients get veneers on 4 to 10 upper front teeth the teeth visible in your smile line. Some patients only need 1 or 2 to fix a specific chip or gap. During your consultation, Dr. Cohan uses smile design software to show you exactly which teeth would benefit from veneers and what the result will look like, so you can make an informed decision about how many to treat.

Q: How do I get started with veneers in Las Vegas?

The easiest first step is a free virtual consultation with Dr. Cohan. Upload a photo of your smile at dentalsolutionslv.com/virtual-consultation and receive a preliminary assessment and cost estimate without leaving your home. You can also call +1(702) 341-9160 to schedule an in-office consultation at our Summerlin location at 851 S Rampart Blvd, Suite 230, Las Vegas, NV 89145. We’ll walk you through your options, show you projected results with digital smile design, and help you choose a financing plan that works for your budget.

Q: Do veneers hurt?

Most patients report minimal discomfort during the veneer process. Local anesthetic is used during tooth preparation, and any post-procedure sensitivity typically resolves within a few days. For patients with dental anxiety, we offer sedation dentistry options ranging from nitrous oxide to oral conscious sedation so you can remain completely comfortable throughout treatment.

Q: Can veneers fix crooked teeth without braces?

Veneers can correct the appearance of mild misalignment  including slight crowding, gaps, and uneven teeth without orthodontic treatment. For more significant alignment issues, Dr. Cohan may recommend Invisalign first to move teeth into optimal position, then use fewer veneers for the final cosmetic refinement. This combination approach often produces the most natural-looking and longest-lasting results.

Q: What happens if a veneer chips or falls off?

Porcelain veneers are extremely durable, but accidents happen. If a veneer chips, it may be possible to polish the edge smooth for minor damage. For larger chips or if a veneer detaches, Dr. Cohan can re-bond or replace it. This is one reason it’s important to choose an experienced cosmetic dentist properly bonded, well-fitting veneers rarely fail. Patients who grind their teeth should wear a nightguard to protect their investment.

Q: Can I whiten my veneers?

No. Porcelain and composite veneers do not respond to whitening treatments. The shade of your veneers is set at the time of fabrication. This is why Dr. Cohan carefully selects your veneer shade during the design phase and why many patients choose to whiten their natural teeth before getting veneers, so the veneers can be matched to a brighter baseline.

Q: How do I care for my veneers?

Care for veneers the same way you care for natural teeth: brush twice daily with a non-abrasive toothpaste, floss daily, and keep up with regular preventive care visits at Summerlin Dental Solutions. Avoid biting hard objects (ice, pen caps, fingernails), and if you grind your teeth, wear a custom nightguard. With proper care, porcelain veneers can last 15 to 20+ years.

Q: Are veneers worth the investment?

For patients who are self-conscious about their smile, veneers are consistently rated as one of the most life-changing dental investments. They deliver immediate, dramatic results that affect your confidence in social, professional, and personal situations every single day. When placed by an AACD-accredited dentist using premium materials, veneers provide a decade or more of beautiful, low-maintenance results  making the per-year cost remarkably affordable.

Q: What’s the difference between veneers and crowns?

Veneers cover only the visible front surface of the tooth and require minimal enamel removal. Crowns encase the entire tooth and are used when a tooth is structurally compromised  for example, after a root canal, a large fracture, or significant decay. Dr. Cohan will recommend the option that best protects your long-term oral health while achieving the cosmetic result you want.

Q: Can I eat normally with veneers?

Yes. After the initial bonding period (24–48 hours of soft foods), you can eat normally with veneers. However, it’s wise to avoid extremely hard foods like ice, hard candy, and popcorn kernels  the same things that can damage natural teeth. Porcelain veneers are strong, but they are not indestructible.

Q: What if I don’t like my veneers?

This is exactly why Dr. Cohan uses digital smile design software  you approve your results visually before any irreversible work begins. She also places temporary veneers before the final set, giving you a preview of the shape and fit in your mouth. If adjustments are needed, they’re made before final bonding. Patient satisfaction is Dr. Cohan’s top priority, and her process is specifically designed to eliminate surprises.

Q: How do I schedule a veneer consultation at Summerlin Dental Solutions?

You can schedule your veneer consultation by calling +1(702) 341-9160, booking online, or starting with a virtual consultation from the comfort of your home. Your initial visit includes a comprehensive examination with Dr. Cohan, digital imaging, and a computerized smile design preview so you can see your potential results before making any commitment.

Why Las Vegas Patients Choose Summerlin Dental Solutions for Veneers

When you’re investing thousands of dollars in your smile, the provider you choose matters more than the price. At Summerlin Dental Solutions, every veneer case begins with a comprehensive examination, digital X-rays analyzed with AI-assisted radiology, a 3D CBCT scan when indicated, and a digital smile design preview. Dr. Cohan discusses every option, answers every question, and creates a treatment plan tailored to your goals and budget. That level of care is what separates a veneer that transforms your confidence for 15 years from one that falls off in 15 weeks.

If you’ve already received discount veneers that failed, Dr. Cohan can evaluate the damage and discuss corrective options including porcelain veneers, crowns, or a complete smile makeover.

Ready to Transform Your Smile?

During your consultation at Summerlin Dental Solutions, Dr. Cohan will listen to your goals, evaluate your smile, and show you a digital preview of what is possible — with zero obligation and zero pressure. From there, every decision is yours. All we provide is the expertise, the technology, the comfort, and the care to make your transformation extraordinary. You could not be in better hands.

Call +17023419160  to schedule your veneer consultation, book online, or begin with a virtual consultation from home. Flexible 0% financing through CareCredit and HFD is available with approval in minutes.

Schedule Your Veneer Consultation

Call+17023419160  or book online today.

Book Online →     |     Virtual Consultation →     |     Financing Options →

Summerlin Dental Solutions  •  851 S Rampart Blvd, Suite 230  •  Las Vegas, NV 89145

COMPLETE LINK INVENTORY FOR WEB TEAM

→  dentalsolutionslv.comHomepage: dentalsolutionslv.com

→  dentalsolutionslv.comMeet Dr. Cohan: /meet-dr-marianne-cohan/

→  dentalsolutionslv.comAwards: /dr-cohan-a-19-time-best-of-las-vegas-winner-sett/

→  dentalsolutionslv.comCosmetic Dentistry: /cosmetic-dentistry/

→  dentalsolutionslv.comAnti-Aging Dentistry: /cosmetic-dentistry/anti-aging-dentistry/

→  dentalsolutionslv.comTeeth Whitening: /cosmetic-dentistry/teeth-whitening/

→  dentalsolutionslv.comDental Bonding: /cosmetic-dentistry/dental-bonding/

→  dentalsolutionslv.comSmile Makeovers: /restorative-dentistry/smile-makeovers/

→  dentalsolutionslv.comCrowns: /restorative-dentistry/crowns/

→  dentalsolutionslv.comFull-Mouth Reconstruction: /restorative-dentistry/full-mouth-reconstruction/

→  dentalsolutionslv.comDental Implants: /implants/

→  dentalsolutionslv.comGeneral Dentistry: /general-dentistry/

→  dentalsolutionslv.comGum Disease: /general-dentistry/gum-disease/

→  dentalsolutionslv.comPreventive Care: /general-dentistry/preventive-care/

→  dentalsolutionslv.comTeeth Grinding: /general-dentistry/teeth-grinding/

→  dentalsolutionslv.comSedation Dentistry: /general-dentistry/sedation-dentistry/

→  dentalsolutionslv.comInvisalign: /invisalign/

→  dentalsolutionslv.comAdvanced Technology: /advanced-technology/

→  dentalsolutionslv.comPatient Reviews: /patient-reviews/

→  dentalsolutionslv.comFinancing: /patient-info/financing/

→  dentalsolutionslv.comInsurance Info: /patient-info/insurance-and-financial-information/

→  dentalsolutionslv.comContact/Book: /contactus/

→  dentalsolutionslv.comVirtual Consultation: /virtual-consultation/

Schema Markup: Implement FAQPage structured data for all 20 FAQs. Add Service schema for the Veneers service page. Ensure FAQs are indexed for local ‘veneers near me’

Affordable Smiles for Every Budget

Insurance or Financing, We Have a Plan for You

With a variety of payment options—including insurance acceptance, flexible financing, and in-house payment plans—we ensure that your path to a beautiful smile is as easy and affordable as possible.

Real Patients, Real Results

Transformations You Can See, Confidence You Can Feel

See the stunning difference a healthy, beautiful smile can make. Explore our before-and-after gallery to witness the life-changing results of expert dental care.

Smile makeover before at Summerlin Dental Solutions in Las Vegas

1

Smile makeover results at Summerlin Dental Solutions in Las Vegas

Patient 1

Smile makeover before at Summerlin Dental Solutions in Las Vegas

2

Smile makeover after at Summerlin Dental Solutions in Las Vegas

Patient 2

Custom before smile makeover treatment at Summerlin Dental Solutions

3

Smile makeover after at Summerlin Dental Solutions in Las Vegas

Patient 3

Custom before smile makeover treatment at Summerlin Dental Solutions

4

Custom after-smile makeover treatment at Summerlin Dental Solutions

Patient 4

Custom before-smile makeover treatment at Summerlin Dental Solutions

5

Custom after-smile makeover treatment at Summerlin Dental Solutions

Patient 5

Custom before-smile makeover treatment at Summerlin Dental Solutions

6

Custom smile makeover treatment at Summerlin Dental Solutions

Patient 6

Custom smile makeover treatment at Summerlin Dental Solutions

7

Custom smile makeover treatment at Summerlin Dental Solutions

Patient 7

Smile makeover before at Summerlin Dental Solutions in Las Vegas

8

Smile makeover results at Summerlin Dental Solutions in Las Vegas

Patient 8

A Step-by-Step Overview of the Process

                                                                                                                                                                                                                                                                                                                                    The veneering procedure is divided into several steps. We’ll give you a local anesthetic to ensure you’re comfortable while your veneers are being placed. Some people like getting an oral sedative in addition to their session. The next step in preparing your natural tooth involves lightly reshaping it with a bur, a tiny, portable rotary cutting tool. Your dentist can apply a properly shaded composite to your teeth, shape the material, and harden it with a high-intensity light if your treatment calls for direct composite veneers.

If necessary, more composite layers can be used to shape and lengthen the veneer to match your smile. After the composites’ installation, the veneers will be polished and completed using burs and polishers to create a vibrant, natural smile.

If porcelain veneers are part of your treatment, the dentist will take an impression of your teeth to create your new smile. The dental facility where the veneers are expertly made will receive this imprint. 

After we take an impression, the lab typically returns your veneers in one to two weeks. As soon as they are placed, you should schedule an appointment to have them bonded. At this appointment, your dentist will ensure that the veneers are the proper size, shape, and color for you. If your case has to be expedited, we can return them in as little as two days.

We thoroughly clean the teeth first, then the interior of the new veneer. As a result, the veneer will attach more readily to the tooth. The veneer is subsequently attached to the tooth using dental cement. Finally, the cement is swiftly hardened using UV light.

Timelines, CAD/CAM & Dental Laboratories

Temporary veneers give a preview of the desired outcome, although it should be emphasized that they are not always necessary. Your dentist can forego a temporary procedure if your treatment only necessitates one or a few teeth and enough enamel remains on the surface.

Additionally, temporary veneers or crowns may increase sensitivity, as can a brief period of time following the placement of final veneers. Your dentist will remove the temporary veneers and place the permanent ones at the placement session. Then, they will review and make any necessary adjustments to guarantee the best possible fit, color, and appearance.

Restoration & Post-Process Care

The durability of veneers has been demonstrated to allow them to last for many years before needing to be changed. If you want to maintain your oral health and the longevity of your veneers, it’s essential to visit your dentist and hygienist for regular checkups and cleanings. Following up is also crucial.

Your dentist can explain the cost and time involved in replacing damaged porcelain veneers, as they cannot be repaired once they are chipped or fractured.

Avoid biting or chewing on hard things like nuts, ice, shells, or bones to reduce the chance of injury. You should also avoid opening or tearing packs with your teeth. Additionally, your dentist might advise you to avoid certain foods that could hurt both your new veneers and you. As usual, brush and floss your teeth, but be sure to use a non-abrasive toothpaste.

Veneers often don’t require any particular care beyond what would be necessary for anyone’s natural teeth. Maintain your regular oral hygiene practices, such as brushing, flossing, and using an antimicrobial mouthwash. Although porcelain veneers are stain-resistant, your dentist may advise you to stay away from staining foods and beverages (e.g., coffee, tea, or red wine).

Frequently Asked Questions

Do veneers feel like natural teeth after placement?

Yes, once your veneers are properly bonded and you’ve had a short adjustment period (a few days to a couple of weeks), they should feel completely natural in your mouth. They are custom-made to fit seamlessly and should not interfere with speaking or eating.

Is the process of getting veneers painful?

The process of getting veneers is generally not considered painful. Your dentist will typically use local anesthesia to ensure your comfort during any tooth preparation. You might experience some temporary sensitivity to hot or cold after the procedure, but this usually subsides within a few weeks.

How long do veneers typically last?

With proper care and maintenance, porcelain veneers can last anywhere from 10 to 15 years, and sometimes even longer. Composite veneers, while more affordable, generally have a shorter lifespan, usually lasting between 5 to 7 years.

Can veneers become stained over time, even if they’re stain-resistant?

While porcelain veneers are highly resistant to staining, the bonding material used to attach them to your teeth can sometimes absorb stains. Additionally, surface scratches or wear over time can make veneers appear duller or discolored. Good oral hygiene and avoiding excessive consumption of highly staining foods and drinks can help maintain their brightness.

Summerlin Dental Solutions Is Here to Help

Veneers are aesthetic tools that improve a person’s smile by slightly or significantly changing the way their teeth look. In addition to improving color and giving teeth a more natural shape, dental veneers also lessen cracks, fix chips, and conceal other minor tooth problems. Your ticket to a gorgeous smile and stunning new you may be our Las Vegas dental veneers!                                                                                                                                                                                                                                                                                                                                                                                                                                                 

Veneers in Summerlin and Las Vegas

Transform your smile with porcelain veneers or cosmetic crowns at Summerlin Dental Solutions. Dr. Marianne Cohan, your award-winning Las Vegas cosmetic dentist, specializes in creating stunning smile makeovers that look completely natural. Whether you need veneers for minor imperfections or full-coverage crowns for more extensive restoration, we’ll help you choose the perfect solution. Call +1(702) 341-9160 for your free cosmetic consultation today!

What Are Porcelain Veneers?

Porcelain veneers are ultra-thin, custom-made shells of tooth-colored porcelain that are bonded to the front surfaces of your teeth. These remarkable restorations can transform your smile in just two visits to our Summerlin office, correcting a wide range of cosmetic imperfections with stunning, natural-looking results.At Summerlin Dental Solutions, Dr. Cohan crafts each veneer with meticulous attention to detail, ensuring your new smile complements your facial features perfectly. Using advanced digital technology and premium porcelain materials, we create veneers that are virtually indistinguishable from natural teeth.

The Science Behind Veneers

Modern porcelain veneers are typically just 0.5-0.7mm thick – about the thickness of a contact lens. Despite their thinness, high-quality dental porcelain is incredibly strong and durable. When properly bonded to your natural tooth structure, veneers can withstand normal chewing forces and last 15-25 years with proper care.

When Crowns Offer Better Cosmetic Results Than Veneers

While veneers are excellent for many cosmetic concerns, Dr. Cohan’s expertise includes knowing when full-coverage crowns provide superior aesthetic results. As an honest practitioner, she always recommends the treatment that will give you the best long-term outcome – not just the most expensive option.

Situations Where Crowns Excel Over Veneers:

1. Severe DiscolorationWhen Crowns Are Better:

  • Teeth with deep, intrinsic staining (tetracycline stains)
  • Root canal treated teeth that have darkened significantly
  • Fluorosis with severe mottling
  • Previous restorations showing through
Why Crowns Work Better: Full-coverage crowns completely mask underlying tooth color, while veneers may allow severe discoloration to show through, especially at the margins. 2. Extensive Structural DamageWhen Crowns Are Preferred:
  • Large existing fillings (>50% of tooth surface)
  • Multiple surfaces needing restoration
  • Significant wear or erosion
  • Cracks extending beyond the front surface
Dr. Cohan’s Approach: “In my Summerlin practice, I often see patients who’ve been told they need veneers when crowns would actually provide better long-term stability and aesthetics. Crowns protect the entire tooth structure while delivering beautiful cosmetic results.” 3. Bite and Alignment IssuesCrown Advantages:
  • Can adjust tooth length more dramatically
  • Better for correcting severe bite discrepancies
  • Ideal for building up worn teeth
  • Superior for major shape modifications
 4. Longevity ConsiderationsWhen Crowns Last Longer:
  • Patients with heavy bite forces (grinding/clenching)
  • Those needing significant structural repair
  • Cases requiring major color or shape changes
  • Situations where tooth preparation is already necessary

As always, we invite you to schedule a dental appointment by calling us at +1(702) 341-9160 and discuss your options with our dentist.

Take the first step toward your attractive new smile! Call +1(702) 341-9160 to ask about our Las Vegas dental veneers, or fill out our online contact form today.

Porcelain Veneers: Perfect for These Smile Concerns

Ideal Veneer Candidates

Veneers remain the gold standard for certain cosmetic improvements:Minor to Moderate Imperfections:

  • Gaps Between Teeth: Close small to moderate spaces instantly
  • Chips and Minor Fractures: Repair and strengthen damaged areas
  • Mild Misalignment: Straighten slightly crooked teeth without braces
  • Size Discrepancies: Create uniform tooth proportions
  • Surface Irregularities: Smooth rough or pitted enamel
Color Corrections:
  • Mild to Moderate Staining: Coffee, wine, and tobacco discoloration
  • Uneven Tooth Color: Harmonize natural color variations
  • Aging-Related Yellowing: Restore youthful tooth brightness
  • Minor Fluorosis: Light spots and streaking
Shape and Size Issues:
  • Worn Edges: Restore natural tooth contours
  • Short Teeth: Lengthen teeth for better proportions
  • Pointed or Rounded Teeth: Create ideal tooth shapes
  • Minor Rotations: Visually straighten slightly turned teeth

The Veneer vs. Crown Decision Process at Our Las Vegas Practice

Dr. Cohan’s Comprehensive Evaluation

When you visit our Summerlin office for a cosmetic consultation, Dr. Cohan performs a detailed analysis to determine the best treatment option: Diagnostic Process:

  1. Digital Photography: High-resolution images from multiple angles
  2. 3D Imaging: Advanced scanning for precise treatment planning
  3. Bite Analysis: Evaluation of function and wear patterns
  4. Tooth Structure Assessment: Determining remaining healthy enamel
  5. Facial Harmony Review: Ensuring results complement your features

Decision Factors:

Veneers Are Recommended When:

  • Tooth structure is predominantly healthy
  • Cosmetic concerns are front-surface focused
  • Minimal tooth preparation is desired
  • Patient wants conservative treatment
  • Existing dental work is minimal
Crowns Are Recommended When:
  • Extensive tooth structure is compromised
  • Multiple surfaces need restoration
  • Severe color changes are required
  • Significant bite corrections are needed
  • Long-term structural protection is priority

Combination Treatments

Many patients in our Las Vegas practice benefit from combination approaches:

  • Veneers on front teeth for aesthetics
  • Crowns on back teeth for function
  • Strategic mix based on individual tooth condition
  • Phased treatment for budget considerations

Consultation and Planning (Visit 1)

What to Expect: Dr. Cohan will spend 60-90 minutes understanding your smile goals and evaluating your teeth. This comprehensive consultation includes:

  • Smile Analysis: Digital evaluation of your current smile
  • Facial Measurements: Ensuring proportional results
  • Color Matching: Selecting the perfect shade
  • Treatment Planning: Deciding between veneers, crowns, or combination
  • Cost Discussion: Transparent pricing and financing options 

 

Preparation and Impressions (Visit 2)

The Preparation Process:

  • Minimal Tooth Preparation: Only 0.5-0.7mm of enamel removed
  • Comfort Measures: Local anesthesia ensures pain-free experience
  • Digital Impressions: No messy molds – just quick digital scanning
  • Temporary Veneers: Protect teeth and preview your new look
  • Shade Selection: Final color confirmation under various lighting

Delivery and Bonding (Visit 3)

Your Transformation Day:

  • Try-In Process: Preview veneers before permanent bonding
  • Final Adjustments: Perfect fit and bite refinement
  • Permanent Bonding: Strong, lasting attachment to teeth
  • Bite Verification: Ensuring proper function
  • Care Instructions: Detailed maintenance guidelines

Cosmetic Crown Process for Complex Cases

When We Recommend Full Coverage Crowns

Advanced Preparation Visit: For cases requiring crowns instead of veneers, Dr. Cohan follows a comprehensive approach:Crown Preparation Advantages:

  • Complete Color Control: Total masking of underlying discoloration
  • Structural Restoration: Rebuilding damaged or weakened teeth
  • Bite Optimization: Correcting function while enhancing aesthetics
  • Longevity: Often 20-30 years with proper care
Our Crown Materials:
  • All-Porcelain Crowns: Maximum aesthetics for front teeth
  • Porcelain-Fused-to-Metal: Strength for back teeth if needed
  • Zirconia Crowns: Ultimate strength with excellent aesthetics
  • E-max Lithium Disilicate: Premium aesthetics with high strength

Cost Comparison: Veneers vs. Crowns in Las Vegas

Veneer InvestmentPorcelain Veneers in Summerlin:

  • Per Tooth: $1,200 – $2,500 each
  • Smile Makeover (6-8 veneers): $7,200 – $20,000
  • Treatment Timeline: 2-3 visits over 3-4 weeks
  • Lifespan: 15-25 years with proper care
Crown InvestmentCosmetic Crowns in Las Vegas:
  • Per Tooth: $1,500 – $3,000 each
  • Full Smile Restoration: $9,000 – $24,000
  • Treatment Timeline: 2-3 visits over 3-4 weeks
  • Lifespan: 20-30 years with proper care
Why Crowns May Offer Better Value:
  • Complete Protection: Covers entire tooth structure
  • Versatility: Addresses both cosmetic and functional issues
  • Durability: Often last longer than veneers
  • Insurance: More likely to have insurance coverage if tooth damage exists

Financing Your Smile Transformation

Flexible Payment Options at Summerlin Dental Solutions:

  • CareCredit: 0% interest for 12-24 months
  • In-House Payment Plans: Spread costs over treatment timeline
  • Insurance Maximization: We help optimize your benefits
  • HSA/FSA: Use pre-tax dollars for treatment
  • Family Discounts: Special rates for multiple family members

As always, we invite you to schedule a dental appointment by calling us at +1(702) 341-9160 and discuss your options with our dentist.

Frequently Asked Questions:

Dental Veneers in Summerlin and Las Vegas: 20 Frequently Asked Questions

Everything patients from The Summit, The Ridges, Queensridge, Henderson, Centennial Hills, Spring Valley, and all surrounding areas want to know about porcelain veneers, composite veneers, and smile transformations at Summerlin Dental Solutions, the practice voted Best of Las Vegas 19 times.

Your Smile Is the First Thing People Notice. Make It Unforgettable.

Dental veneers have become the most sought-after cosmetic dental procedure in the United States, and for good reason. No other single treatment can address staining, chips, gaps, uneven sizing, worn edges, and minor misalignment all at once, producing a transformation that patients describe as life-changing. But veneers are only as good as the dentist who designs and places them. The material is important. The lab matters. But the artistic eye and clinical precision of the cosmetic dentist directing every decision is what separates a result that looks naturally stunning from one that looks obviously artificial.

At Summerlin Dental Solutions, Dr. Marianne Cohan is an Accredited Member of the American Academy of Cosmetic Dentistry, a credential held by fewer than 1% of dentists in the United States. That AACD Accreditation required her to submit an extensive portfolio of veneer and cosmetic cases for rigorous peer review by the top cosmetic dentists in the profession. Combined with her computerized smile design software, TRIOS digital scanner for precision impressions, and more than 31 years of clinical artistry, Dr. Cohan delivers veneer results that patients across Summerlin, Henderson, Spring Valley, and the entire Las Vegas Valley trust with the smiles that matter most to them. The practice has been voted Best of Las Vegas 19 times, including Best Cosmetic Dentist. Below are the 20 questions patients ask most about dental veneers.

20 Frequently Asked Questions About Dental Veneers

Q1. What dental problems can veneers fix?

Porcelain veneers are one of the most versatile treatments in cosmetic dentistry because they can address multiple aesthetic concerns simultaneously. Veneers can correct teeth that are stained or discolored beyond what professional whitening can achieve (including tetracycline staining and fluorosis), teeth that are chipped, cracked, or showing visible wear on the biting edges, minor gaps and spaces between teeth without orthodontics, teeth that appear too small, too narrow, or asymmetrical in relation to the rest of the smile, mildly crooked or rotated teeth that create an uneven smile line, worn-down teeth that have lost their original length and proportion, and teeth with visible old fillings or bonding that no longer match. At Summerlin Dental Solutions, Dr. Cohan evaluates each patient’s specific concerns using computerized smile design software and develops a veneer plan that addresses every issue in a coordinated, natural-looking result.

Q2. What is the difference between porcelain veneers and composite veneers?

Porcelain veneers are custom-fabricated shells made from high-grade dental ceramic in a specialized lab, individually matched to your exact shade, translucency, and contour. They resist staining exceptionally well and typically last 15 to 20 years or longer. Composite veneers are built directly on the tooth surface using tooth-colored composite resin, sculpted and shaped by the dentist in a single visit. They are more affordable upfront but are more susceptible to staining over time and generally last 5 to 7 years before needing replacement or touch-up. Dr. Cohan offers both options and recommends porcelain for patients seeking the most durable, natural-looking, and stain-resistant result, while composite may be recommended for younger patients, single-tooth corrections, or patients who want a trial transformation before committing to porcelain. She explains the advantages and trade-offs of each during your consultation so you can make an informed decision that fits your goals and budget.

Q3. How many veneers do I need for a full smile makeover?

The number of veneers depends on how much of your smile is visible when you talk and laugh. Most people show between 6 and 10 upper teeth in their natural smile, and a full smile makeover typically involves 6 to 10 upper veneers, sometimes combined with 6 to 8 lower veneers for patients who show their lower teeth prominently. However, not every patient needs a full set. Some patients achieve their desired result with just 2 or 4 veneers on the most visible front teeth. Dr. Cohan uses computerized smile design software to map your smile zone precisely, analyzing which teeth are visible from the front, from the side, and during natural conversation. She then designs the minimum number of veneers needed to achieve a complete, balanced transformation. Overtreating is never the goal. The right number of veneers is the number that achieves your vision while preserving as much healthy tooth structure as possible.

Q4. Are veneers permanent? Can they be reversed?

Traditional porcelain veneers require the removal of a thin layer of enamel (typically about half a millimeter) to create space for the veneer shell. Because enamel does not regenerate, this preparation is considered irreversible, and the treated teeth will always need to be covered with a veneer or similar restoration. This is why the quality of the initial design and placement is so important: a well-designed veneer from an AACD-accredited dentist like Dr. Cohan should last 15 to 20 years, and when it eventually needs replacement, the new veneer is simply bonded over the same prepared tooth. For patients who want to preserve more natural tooth structure, no-prep or minimal-prep veneer options are available in select cases. These ultra-thin porcelain shells require little to no enamel removal, making them closer to reversible. Dr. Cohan evaluates each patient individually using our 3D CBCT imaging and TRIOS digital scans to determine which preparation approach will deliver the most natural, long-lasting outcome for your specific teeth.

Q5. How much do porcelain veneers cost in Las Vegas?

Porcelain veneers in the Las Vegas area typically range from $1,500 to $2,500 per tooth, depending on the complexity of the case, the number of teeth being treated, the type of porcelain used, and the skill level of the cosmetic dentist performing the work. Composite veneers generally cost between $500 and $1,200 per tooth. A full smile makeover involving 8 to 10 porcelain veneers typically falls in the $12,000 to $25,000 range. While veneers represent a significant investment, the longevity (15 to 20 years for porcelain), the daily confidence they provide, and the fact that they can replace the need for multiple separate treatments (whitening, bonding, orthodontics) make them one of the highest-value procedures in cosmetic dentistry. At Summerlin Dental Solutions, Dr. Cohan provides a detailed cost estimate at your consultation, and our team verifies your insurance benefits and helps you explore 0% interest financing through HFD with approval in under a minute and no credit impact.

Q6. What does the veneer consultation at Summerlin Dental Solutions include?

Your veneer consultation is one of the most important appointments in the entire process because it is where your smile transformation is designed. The consultation includes a comprehensive examination with Dr. Cohan evaluating your teeth, gums, bite, and overall oral health, digital X-rays and AI-assisted diagnostic imaging to ensure there are no underlying issues that need attention before veneer treatment begins, a detailed discussion of your goals, preferences, and any photos or references you bring, a computerized smile design session where Dr. Cohan creates a digital preview of your projected result on screen so you can see your potential new smile before any work begins, a recommendation on the type, number, and shade of veneers best suited for your case, and a complete cost estimate with insurance verification and financing options. You leave the consultation with a clear vision of what your smile will look like, what the process involves, and what it will cost, with zero obligation to proceed.

Q7. How does Dr. Cohan design veneers to look natural rather than fake?

This is where Dr. Cohan’s AACD Accreditation and artistic training make the critical difference. A natural-looking veneer result depends on getting dozens of subtle details right: the width-to-height ratio of each tooth must follow golden proportion guidelines, the central incisors should be slightly larger than the lateral incisors with a gradual size reduction toward the canines, the incisal edges should follow the curvature of the lower lip (the smile arc), the surface texture must include the subtle ridges and micro-irregularities that natural enamel has, the translucency at the incisal edges must mimic how natural teeth allow light to pass through, and the shade must account for the natural color gradient that exists in healthy teeth (slightly warmer near the gum, slightly brighter at the edge). Dr. Cohan maps all of these parameters using computerized smile design software and works with a premier ceramics lab that specializes in hand-crafting individual veneers to her exact specifications. The result is a smile that looks effortlessly beautiful rather than obviously constructed.

Q8. How long does the veneer process take from start to finish?

The typical veneer timeline at Summerlin Dental Solutions is two to four weeks from initial consultation to final bonding, spread across two to three appointments. The first appointment is the consultation and smile design session described above. The second appointment involves tooth preparation, where Dr. Cohan gently removes a thin layer of enamel, takes precise TRIOS digital impressions, and places temporary veneers. The impressions and Dr. Cohan’s detailed design specifications are then sent to a premier ceramics lab where each veneer is individually hand-crafted over one to two weeks. The third appointment is the bonding session, where your custom veneers are placed, checked for fit and shade, and permanently bonded. For patients preparing for a specific event such as a wedding, milestone birthday, or career change, Dr. Cohan and her team can coordinate the timeline to ensure your new smile is ready when you need it.

Q9. Do veneers require special care or maintenance?

Veneers require the same daily care as your natural teeth: brush twice a day with a non-abrasive fluoride toothpaste, floss daily, and maintain regular preventive care visits every six months at Summerlin Dental Solutions. Porcelain veneers resist staining from coffee, wine, tea, and other common culprits, but the natural tooth structure and bonding material at the veneer margins can still discolor, so professional cleanings are important for keeping the entire smile looking uniform. Avoid biting directly into extremely hard objects like ice, hard candy, or pen caps. If you grind or clench your teeth, Dr. Cohan will recommend a custom night guard to protect your veneers from the excessive forces that grinding produces. With proper care, porcelain veneers typically last 15 to 20 years or longer, and Dr. Cohan monitors every veneer at each check-up visit for signs of wear, marginal integrity, and shade consistency.

Q10. Can veneers fix a gummy smile?

Veneers can be combined with gum recontouring to address a gummy smile, and this combination is one of Dr. Cohan’s most frequently requested cosmetic treatments. A gummy smile occurs when excess gum tissue covers too much of the tooth surface, making the teeth appear short, small, or disproportionate to the face. Using our soft tissue laser, Dr. Cohan can gently and precisely reshape the gum line to reveal more of the natural tooth structure, creating a balanced frame for the veneers. The laser procedure heals faster, produces less discomfort, and requires no sutures compared to traditional gum surgery. Once the gum line is established, veneers are designed to fit the new proportions, resulting in teeth that appear longer, more balanced, and beautifully framed. The combination of laser gum recontouring and porcelain veneers produces some of the most dramatic smile transformations in all of cosmetic dentistry.

Q11. Can I see what my veneers will look like before treatment starts?

Yes, and this is one of the most exciting aspects of the veneer process at Summerlin Dental Solutions. During your consultation, Dr. Cohan uses computerized smile design software to create a digital preview of your projected result. The software maps your facial proportions, lip line, and smile zone, then composites the proposed veneer design onto your photograph so you can see a realistic representation of your new smile before any preparation begins. You can request adjustments to the shape, size, proportion, and shade until you are completely satisfied with the design. This collaborative approach ensures there are no surprises at the bonding appointment and gives you confidence that the final result will match or exceed your expectations. Additionally, temporary veneers placed during the preparation appointment give you a real-world preview of the shape and contour of your new smile while the permanent veneers are being fabricated.

Q12. What is AACD Accreditation and why does it matter for veneers specifically?

AACD Accreditation (American Academy of Cosmetic Dentistry) is the highest credential in cosmetic dentistry, and it matters more for veneers than for almost any other dental procedure because veneers are equal parts clinical science and visual art. Achieving AACD Accreditation requires submitting an extensive portfolio of clinical cases, including veneer cases, for rigorous evaluation by a panel of the most accomplished cosmetic dentists in the profession. The panel evaluates shade selection, margin integrity, gingival health, functional occlusion, and aesthetic harmony, requiring the candidate to demonstrate mastery of every dimension of cosmetic excellence. Fewer than 1% of dentists in the United States have earned this credential. When you choose Dr. Cohan for your veneers, you are choosing a dentist whose veneer work has been independently verified to meet the highest peer-reviewed standards in the profession. For a procedure where the difference between excellent and mediocre is visible every time you smile, that verification matters.

Q13. Are veneers a good option for older adults looking to rejuvenate their smile?

Absolutely, and anti-aging dentistry is one of the fastest-growing areas of cosmetic dental practice. As we age, teeth naturally darken, wear down, develop micro-fractures, and lose the translucency and length that characterize a youthful smile. The facial muscles shift, and less tooth shows when we speak or smile. Veneers reverse all of these changes simultaneously: they restore the original length and proportion of the teeth, brighten the smile by several shades, increase tooth visibility, and create a youthful smile arc that lifts the entire lower face. Patients who combine veneers with teeth contouring and laser gum recontouring frequently tell Dr. Cohan that friends and family assume they have had a facelift. The anti-aging effect of a well-designed veneer smile is that dramatic, and it is achieved without surgery, without downtime, and with results that last 15 to 20 years.

Q14. Can I get veneers if I have dental anxiety?

Yes. The veneer process involves multiple appointments, so patient comfort is especially important. Summerlin Dental Solutions offers three levels of sedation dentistry to ensure complete comfort throughout the veneer journey. Nitrous oxide (laughing gas) provides gentle relaxation while you remain fully aware. Oral sedation delivers deeper calm through prescription medication taken before your appointment. IV sedation offers the deepest level of comfort, with most patients having no memory of the procedure. In addition to sedation, our spa-like office environment provides warm blankets, noise-canceling headphones, complimentary beverages, and personal entertainment screens at every treatment chair. Our team is the friendliest you will ever encounter at a dental office, and they understand that a smile transformation is both an exciting and a vulnerable experience. They will support you with genuine care at every appointment, from consultation through final bonding and beyond.

Q15. What happens if a veneer chips, cracks, or comes loose?

While porcelain veneers are remarkably durable, they can occasionally chip, crack, or debond due to trauma, biting on something extremely hard, or the cumulative effects of teeth grinding. If a veneer chips or cracks, Dr. Cohan evaluates the damage to determine whether the veneer can be repaired in place, whether it needs to be replaced, or whether the underlying tooth requires additional treatment. If a veneer comes loose but is intact, it can often be re-bonded in a single short appointment. Dr. Cohan uses our TRIOS digital scanner and 3D CBCT imaging to assess the underlying tooth structure and ensure the veneer or its replacement is bonded to a sound foundation. For patients who grind their teeth, a custom night guard is strongly recommended after veneer placement to protect the investment. Most veneer repairs and replacements are straightforward, and Dr. Cohan’s monitoring at each preventive care visit catches early signs of stress or wear before a failure occurs.

Q16. How do I choose the right shade for my veneers?

Shade selection is one of the most important decisions in the veneer process, and Dr. Cohan approaches it with the same artistic precision she brings to every aspect of the design. The ideal shade depends on your skin tone, eye color, hair color, the whites of your eyes, and your personal preferences. Using computerized shade-matching technology and physical shade guides, Dr. Cohan helps you select a shade that is bright and youthful without appearing unnaturally white. She also accounts for the natural shade gradient that exists in real teeth, where the area near the gum line is slightly warmer than the biting edge, and works with her ceramics lab to build this gradient into each veneer for maximum realism. During the smile design preview, you see the proposed shade on screen in the context of your actual face, which is far more accurate than holding a shade tab next to your teeth in a mirror. If you are unsure between two shades, Dr. Cohan’s AACD-trained eye and decades of experience guide you toward the choice that will look best in every lighting condition, from indoor to outdoor to flash photography.

Q17. Where is the best veneer dentist near The Summit, The Ridges, and Queensridge?

Summerlin Dental Solutions is located at 851 S Rampart Blvd, Suite 230, Las Vegas, NV 89145, centrally positioned in the heart of Summerlin between Tivoli Village and Boca Park. Queensridge residents are just 5 to 10 minutes from our office. The Summit residents reach us in approximately 10 to 12 minutes via Town Center Drive and Rampart Boulevard. The Ridges residents connect via Rampart or the 215 Beltway in a similarly short drive. All three communities include residents who value the highest standard of cosmetic excellence, and Dr. Cohan’s AACD Accreditation, computerized smile design technology, and partnership with premier ceramics labs deliver exactly that standard. For a procedure as personal and visible as veneers, having an AACD-accredited cosmetic dentist within minutes of home is an extraordinary advantage. Call +1(702) 341-9160 to schedule your veneer consultation.

Q18. Can patients from Henderson get porcelain veneers at Summerlin Dental Solutions?

Yes. Henderson, Green Valley, and Anthem patients reach our Summerlin office in approximately 25 to 30 minutes via the 215 Beltway. Henderson patients choose Summerlin Dental Solutions for veneers because AACD-accredited veneer artistry is exceptionally rare in Nevada, with fewer than 1% of dentists holding this credential anywhere in the country. Henderson patients tell us they researched cosmetic dentists throughout the valley and concluded that Dr. Cohan’s combination of peer-reviewed credentials, computerized smile design capability, and thousands of successful veneer cases made the drive to Summerlin the clear choice. Many Henderson veneer patients continue to travel to our office for all of their ongoing dental care because the experience and the relationship they built during their veneer process was unlike anything they had found closer to home.

Q19. Is there a cosmetic veneer dentist near Centennial Hills and Spring Valley?

Yes. Summerlin Dental Solutions serves veneer patients from throughout the Las Vegas Valley including Centennial Hills, North Las Vegas, Spring Valley, and all surrounding areas. Centennial Hills residents travel south on the 215 or US-95 in approximately 20 to 25 minutes, while Spring Valley patients are just 10 to 15 minutes south along the 215 Beltway. Both communities have become significant portions of our cosmetic patient base, with patients citing Dr. Cohan’s AACD Accreditation, the digital smile preview technology, and the natural-looking quality of her veneer results as the deciding factors. For a procedure where the result is visible to everyone you meet for the next 15 to 20 years, patients from these communities tell us the short drive to an AACD-accredited practice is the wisest investment they can make.

Q20. How do I schedule a veneer consultation at Summerlin Dental Solutions?

Call +1(702) 341-9160 and let our team know you are interested in dental veneers. You can also book online through our website or begin with a virtual consultation from the comfort of your home, which is a great first step if you want to share photos and discuss your goals before visiting the office. New patients can complete patient forms online before arriving to save time. Your veneer consultation includes a comprehensive examination with Dr. Cohan, digital X-rays with AI-assisted analysis to ensure your oral health supports veneer treatment, a computerized smile design session with a digital preview of your new smile, a recommendation on veneer type, number, and shade, and a detailed cost estimate with insurance verification and financing options. We are located at 851 S Rampart Blvd, Suite 230, in the heart of Summerlin near Tivoli Village and Boca Park. We proudly serve patients from The Summit, The Ridges, Queensridge, Henderson, Centennial Hills, Spring Valley, and all surrounding communities. You could not be in better hands at Summerlin Dental Solutions.

Communities We Serve for Porcelain Veneers and Cosmetic Dentistry

Summerlin Dental Solutions is centrally located at 851 S Rampart Blvd, Suite 230, in the heart of Summerlin between Tivoli Village, Boca Park, and Downtown Summerlin. Our AACD-accredited cosmetic dentistry practice serves veneer patients from six communities and all surrounding areas throughout the Las Vegas Valley.

The Summit

One of Summerlin’s most prestigious guard-gated communities, The Summit is approximately 10 to 12 minutes from our office. Summit residents expect the highest caliber of cosmetic work, and Dr. Cohan’s AACD Accreditation, computerized smile design, and partnership with premier ceramics labs ensure veneer results that match the standard of excellence The Summit represents.

The Ridges

Nestled against Red Rock Canyon, The Ridges is a short drive from our office via Rampart Boulevard or the 215 Beltway. Ridges residents value Dr. Cohan’s sole-practitioner model for veneers, where the same doctor who designs the smile is the one who prepares the teeth, evaluates the lab work, and bonds each veneer with meticulous precision. No handoffs, no inconsistencies, just one artist from start to finish.

Queensridge

Our closest neighboring community at just 5 to 10 minutes from our office. Many Queensridge residents have trusted Dr. Cohan with their veneer transformations and maintain their results through regular preventive visits at our practice. The geographic convenience means even the multi-appointment veneer process feels effortless to schedule and complete.

Henderson

Henderson, Green Valley, and Anthem patients reach our Summerlin office in approximately 25 to 30 minutes via the 215 Beltway. Henderson veneer patients consistently tell us they chose Summerlin Dental Solutions after extensive research because AACD-accredited cosmetic dentistry combined with digital smile previews and premier lab partnerships represents a level of veneer artistry they could not find in their own community.

Centennial Hills

North Las Vegas and Centennial Hills residents travel south on the 215 or US-95 in approximately 20 to 25 minutes. Centennial Hills patients seeking veneers represent one of our fastest-growing cosmetic demographics, with patients choosing Dr. Cohan because her AACD credentials and digital design process give them confidence that their investment will deliver the natural, beautiful result they envision.

Spring Valley

Located just south of Summerlin along the 215 Beltway, Spring Valley patients reach our office in 10 to 15 minutes. Spring Valley veneer patients frequently discover us through word-of-mouth from friends, family, and coworkers whose smile transformations they admired and asked about. When you see someone’s veneers and want to know where they got them, the answer is often Summerlin Dental Solutions.

Advanced Technology That Elevates Every Veneer Case

Veneers are both a clinical and an artistic process, and the technology your dentist uses directly impacts the precision, comfort, and quality of the final result. Summerlin Dental Solutions has invested in every meaningful advancement in dental technology to ensure every veneer case is planned meticulously and executed flawlessly.

Computerized Smile Design

The centerpiece of our veneer planning process. This software allows Dr. Cohan to digitally design your new smile based on your facial proportions, lip line, and personal preferences, then show you a realistic preview before any preparation begins. You collaborate on every design decision, adjusting shape, size, and shade until the virtual smile matches your vision. This preview ensures the final result meets or exceeds your expectations with no surprises.

TRIOS Digital Scanner

The TRIOS scanner captures precise digital impressions of your prepared teeth in minutes using a small handheld wand, completely eliminating the messy putty trays that most patients find uncomfortable. The resulting 3D digital model is more accurate than traditional impressions, producing veneers with a fit so precise that adjustments at the bonding appointment are rarely needed. For veneer patients, this accuracy translates directly to better margins, better comfort, and longer-lasting results.

AI-Assisted Radiology

Before veneer treatment begins, our AI diagnostic system reviews your X-rays alongside Dr. Cohan to ensure there are no hidden cavities, fractures, infections, or bone loss that could compromise the veneer outcome. Catching and treating these issues before veneer preparation ensures your veneers are built on a healthy foundation that will support them for decades.

3D CBCT Scanner

For complex veneer cases where gum recontouring is needed, where previous dental work is extensive, or where the underlying tooth structure requires detailed evaluation, the CBCT scanner provides three-dimensional views that reveal the full clinical picture. This level of diagnostic detail allows Dr. Cohan to plan the preparation with precision that two-dimensional X-rays alone cannot provide.

Soft Tissue Laser

For veneer patients who need gum recontouring to create a balanced frame for their new smile, our soft tissue laser reshapes the gum line with less bleeding, less swelling, no sutures, and faster healing than traditional methods. The laser is particularly valuable for correcting gummy smiles and creating symmetrical gum contours that complement the veneer design.

Digital X-Rays

Delivering instant images at up to 90% less radiation than conventional film, digital X-rays provide the baseline diagnostic assessment before veneer treatment and are used for ongoing monitoring at each preventive visit to ensure the underlying teeth remain healthy beneath their porcelain restorations.

Dual-Screen Exam Rooms

Every treatment room features dual monitors where Dr. Cohan displays your smile design preview, before-and-after comparisons, shade options, and treatment plan. For veneer patients, seeing the design on a large screen in the context of your actual face is far more informative than looking at a small shade tab in a hand mirror. The dual screens make you a true partner in every aesthetic decision.

The AACD-Accredited Cosmetic Artist and the Friendliest Team in Las Vegas

Dr. Marianne Cohan earned her DDS from the State University of New York at Buffalo with dual honors: the Operative Dentistry Award, recognizing clinical excellence in restorative procedures (directly relevant to the bonding precision that determines veneer longevity), and the Periodontics Award, recognizing expertise in the gum and tissue health that frames every veneer case. Her AACD Accreditation, held by fewer than 1% of dentists in the United States, required her to submit an extensive portfolio of cosmetic cases including veneer work for rigorous peer review, confirming that her aesthetic results meet the highest standard in the profession. With more than 31 years of clinical experience and over 25 years in Las Vegas, she has designed and placed thousands of veneer cases, developing an artistic instinct for proportion, shade, and contour that transcends technical skill. She has been named Best Dentist in America through peer nomination and voted Best of Las Vegas 19 times across four categories including Best Cosmetic Dentist. She maintains memberships in the AAFE, AAID, ADA, Academy of Laser Dentistry, and Academy of General Dentistry. As the sole dentist at the practice, she is the single artistic vision behind every veneer case from design through final bonding. You genuinely could not be in better hands.

A veneer transformation is one of the most personal and emotionally significant dental experiences a patient can have, and the team at Summerlin Dental Solutions treats it accordingly. From the consultation where you share your dreams for your smile, to the preparation appointment where temporary veneers give you your first preview, to the bonding day where you see your new smile in the mirror for the first time, the team surrounds you with warmth, encouragement, and genuine excitement for the result. The front desk staff coordinate your appointments with care. The treatment coordinators walk you through insurance and financing with patience and zero pressure. And hundreds of five-star patient reviews confirm that this is the friendliest, most genuinely caring dental team patients have ever encountered. Bonding day tears are common at Summerlin Dental Solutions, and the team shares in every one of them.

A Spa-Like Setting for Your Smile Transformation

Getting veneers is a multi-appointment journey, and the environment where that journey takes place shapes the entire experience. After a stunning, top-to-bottom renovation, Summerlin Dental Solutions features a gorgeous, modern interior with warm lighting, contemporary design, and an atmosphere patients consistently describe as spa-like. Every treatment chair is equipped with warm blankets, noise-canceling headphones, complimentary beverages, and a personal entertainment screen. For veneer patients who experience any level of anxiety, three levels of sedation dentistry (nitrous oxide, oral sedation, and IV sedation) ensure complete comfort at every appointment.

The result is a veneer experience that feels more like a personal luxury than a dental procedure. When the environment matches the sophistication of the cosmetic work being performed, patients feel valued, cared for, and excited about the transformation rather than anxious about the process. That emotional experience is part of what makes Summerlin Dental Solutions the most trusted veneer practice in the Las Vegas Valley.

See Your New Smile Before Treatment Begins

Call +1(702) 341-9160 to schedule your veneer consultation.

Book Online     |     Virtual Consultation     |     Financing Options

851 S Rampart Blvd, Suite 230  |  Las Vegas, NV 89145  |  Near Tivoli Village & Boca Park

 

The Art of Smile Design: Dr. Cohan’s ApproachFacial Harmony Principles

At Summerlin Dental Solutions, we don’t just focus on individual teeth – we design smiles that enhance your entire facial appearance:Golden Ratio Applications:
  • Tooth Proportions: Creating ideal length-to-width ratios
  • Smile Arc: Designing curves that complement your lip line
  • Facial Symmetry: Balancing tooth position with facial features
  • Age-Appropriate Design: Avoiding overly white or perfect “fake” appearances
Color Science:
  • Natural Translucency: Matching how light passes through natural teeth
  • Gradient Effects: Subtle color variations for realism
  • Fluorescence: Ensuring teeth look natural under all lighting
  • Individual Characterization: Adding unique details for authenticity

Technology Advantages at Our Las Vegas Practice

Digital Smile Design:
  • Preview your results before treatment begins
  • Make adjustments to design before fabrication
  • Ensure you love your new smile before permanent placement
  • Eliminate surprises on delivery day
Advanced Materials:
  • Ultra-thin Porcelain: Maximum aesthetics with minimal preparation
  • High-Strength Ceramics: Durability for long-term success
  • Custom Staining: Individual tooth characterization
  • Premium Bonding: Strongest possible attachment

Before & After: Real Results from Our Summerlin Practice

Case Study 1: Professional Smile Makeover

Patient: 34-year-old Las Vegas business executive Concerns: discolored fillings in teeth, uneven lengths Treatment: 6 porcelain veneers Outcome: Dramatically improved confidence, professional appearance enhanced Timeline: 3 weeks from consultation to completion

Case Study 2: Combination Veneer-Crown Treatment

Patient: 45-year-old Summerlin residentConcerns: Discolored teeth, worn teeth from years of grinding, Treatment: 4 veneers on front teeth, 4 crowns on back teeth Outcome: Complete smile transformation addressing both aesthetics and function Why This Approach: Front teeth had good structure (veneers), back teeth needed full restoration from grinding(crowns)

Case Study 3: Complex Crown Case

Patient: 52-year-old with severe tetracycline staining Initial Request: Veneers for whitening Dr. Cohan’s Recommendation: Full crowns for complete color masking Outcome: Stunning white smile that would have been impossible with veneers alone Patient Feedback: “Dr. Cohan’s honesty about needing crowns instead of veneers saved me from disappointing results.”

Caring for Your Veneers and Crowns

Daily Maintenance

Essential Care Routine:

  • Gentle Brushing: Soft-bristled toothbrush twice daily
  • Daily Flossing: Maintain gum health around restorations
  • Non-Abrasive Toothpaste: Protect porcelain surface
  • Mouthwash: Antibacterial rinse for gum health

 Protecting Your Investment

Foods to Approach Carefully:
  • Hard Objects: Ice, hard candies, nuts (don’t bite directly)
  • Staining Substances: Coffee, red wine, tobacco (rinse after consumption)
  • Acidic Foods: Citrus, sodas (wait 30 minutes before brushing)
  • Sticky Foods: Caramels, taffy (can dislodge restorations)

 Regular Maintenance at Our Las Vegas Office

Recommended Schedule:
  • 6-Month Cleanings: Professional maintenance and evaluation
  • Annual Photos: Track any changes or wear
  • Bite Adjustments: Minor tweaks if needed
  • Protective Appliances: Night guards for grinders/clenchers

Advanced Treatment Options: Beyond Basic Veneers

Minimal-Prep Veneers

Ultra-Conservative Approach:
  • No-Prep Veneers: Minimal to no tooth reduction required
  • Lumineers: Brand-name ultra-thin veneers
  • Prepless Options: For specific cases with adequate space
  • Reversible Treatment: Tooth structure largely preserved

Full-Coverage Aesthetic Crowns

When Maximum Change Is Needed:

All-Ceramic Crowns:
  • E-max Crowns: Premium aesthetics with high strength
  • Zirconia Crowns: Maximum durability with excellent appearance
  • Layered Porcelain: Hand-crafted for ultimate customization
  • Digital Design: CAD/CAM precision for perfect fit
Combination Smile Makeovers:Many of our Las Vegas patients achieve their best results with strategic combinations:
  • Front 6 Teeth: Veneers for conservative aesthetics
  • Canines: Crowns for bite stability and strength
  • Premolars: Crowns for function and longevity
  • Molars: Strong restorations for chewing efficiency

Invisalign + Veneers: The Ultimate Smile Transformation

Sequential Treatment Approach

For patients with both alignment and cosmetic issues, Dr. Cohan often recommends:Phase 1: Invisalign Treatment (6-18 months)
  • Correct major alignment issues
  • Optimize tooth positions for veneer placement
  • Improve bite function
  • Reduce number of veneers needed
Phase 2: Cosmetic Refinement (1 month)
  • Place veneers on perfectly aligned teeth
  • Address remaining color and shape concerns
  • Achieve ideal smile proportions
  • Fine-tune final results
Benefits of This Approach:
  • Cost Savings: Fewer veneers needed after alignment
  • Better Results: Veneers work better on properly positioned teeth
  • Healthier Outcome: Maintains natural tooth structure where possible
  • Functional Excellence: Optimal bite with beautiful aesthetics 

Special Considerations for Las Vegas Patients

Climate and Lifestyle Factors

Desert Environment Effects:
  • Dry Mouth: Common in Las Vegas climate, we provide specific care instructions
  • Sun Exposure: Protection strategies for long-term color stability
  • Active Lifestyle: Recommendations for sports and outdoor activities
  • Hard Water: Special care instructions for mineral buildup

Professional Image Concerns

Serving Las Vegas Business Community:
  • Minimal Downtime: Treatment scheduled around business needs
  • Natural Results: Professional appearance throughout healing
  • Quick Transformation: Fast timeline for career opportunities
  • Discrete Process: Temporary veneers maintain appearance

 The Economic Case: Veneers vs. Crowns vs. Do Nothing

Long-Term Value Analysis

Investment in Veneers:
  • Immediate Impact: Transform smile in 2-3 weeks
  • Career Benefits: Enhanced professional image
  • Social Confidence: Improved personal relationships
  • Health Benefits: Better oral hygiene motivation
  • Durability: 15-25 year lifespan with proper care
Investment in Crowns:
  • Structural Protection: Prevent future tooth loss
  • Comprehensive Solution: Address multiple issues simultaneously
  • Maximum Durability: 20-30 year expected lifespan
  • Insurance Benefits: Often partially covered when medically necessary
  • Bite Improvement: Enhanced chewing function
Cost of Delaying Treatment:
  • Progressive Damage: Problems often worsen over time
  • More Extensive Treatment: May require additional procedures later
  • Career Impact: Professional opportunities may be affected
  • Self-Confidence: Ongoing impact on personal and social life

Advanced Cosmetic Techniques Available

Digital Smile Design

Cutting-Edge Technology at Our Summerlin Office:
  • Photo Analysis: Digital evaluation of your facial features
  • Smile Simulation: See your new smile before treatment starts
  • Golden Ratio Calculations: Mathematically perfect proportions
  • Patient Input: Modify design until you’re completely satisfied

Color Matching Excellence

Achieving Perfect Natural Color:
  • Multi-Spectral Analysis: Advanced shade matching technology
  • Custom Staining: Individual tooth characterization
  • Translucency Control: Natural light transmission properties
  • Fluorescence Matching: Ensures teeth look natural under all lighting

Functional Integration

Beyond Just Appearance:
  • Bite Optimization: Ensuring comfortable chewing function
  • Speech Considerations: Maintaining natural phonetics
  • Lip Support: Proper facial profile support
  • Gum Health: Designing for optimal periodontal health

Why Choose Summerlin Dental Solutions for Your Smile Makeover?

Dr. Marianne Cohan’s Qualifications
  • 19x Best of Las Vegas Winner: Consistently recognized excellence
  • Advanced Cosmetic Training: Specialized education in smile design
  • Thousands of Cases: Extensive experience with complex cosmetic treatments
  • Artistic Eye: Natural talent for beautiful, harmonious results
  • Conservative Philosophy: Preserving natural tooth structure when possible

State-of-the-Art Las Vegas Facility

Our Summerlin Office Features:
  • Digital Dentistry: Latest CAD/CAM technology
  • Comfortable Environment: Spa-like atmosphere for relaxation
  • Advanced Sterilization: Beyond standard safety protocols
  • Convenient Location: Easy access from all Las Vegas areas
  • Ample Parking: Stress-free appointment experience

Comprehensive Care Approach

What Sets Us Apart:
  • Honest Recommendations: We suggest what’s best for you, not most profitable
  • Conservative Dentistry: Preserving natural teeth whenever possible
  • Lifetime Support: Ongoing care and maintenance guidance
  • Emergency Access: Dr. Cohan available for post-treatment concerns
  • Satisfaction Guarantee: We stand behind our cosmetic work

Post-Treatment Care and Maintenance

Immediate Post-Treatment Care (First 2 Weeks)

For New Veneers:
  • Soft Diet: Avoid hard foods while bonding fully cures
  • Careful Cleaning: Gentle brushing around restoration margins
  • No Nail Biting: Break habits that could damage veneers
  • Follow-Up: Return for bite check if any discomfort occurs
For New Crowns:
  • Gradual Function: Start with soft foods, gradually return to normal diet
  • Sensitivity Management: Some temperature sensitivity is normal initially
  • Oral Hygiene: Resume normal brushing/flossing after 24 hours
  • Adjustment Period: Allow 1-2 weeks to fully adapt to new bite

Long-Term Maintenance Strategy

Professional Care Schedule:
  • 6-Month Cleanings: Regular professional maintenance
  • Annual Evaluation: Check restoration integrity and gum health
  • Professional Polishing: Maintain surface smoothness and shine
  • Bite Analysis: Ensure continued proper function
At-Home Protection:
  • Night Guard: Essential for grinders/clenchers (many Las Vegas residents due to stress)
  • Quality Oral Hygiene: Electric toothbrush and water flosser recommended
  • Regular Dental Visits: Early detection of any issues
  • Lifestyle Modifications: Avoid habits that could damage restorations

Smile Makeover Financing: Making Your Dream Smile Affordable

Understanding Your Investment

Why Quality Matters: At Summerlin Dental Solutions, we use only premium materials and proven techniques. While this may cost more initially, the superior aesthetics, durability, and function provide better long-term value than budget alternatives.What Your Investment Includes:
  • Expert Consultation: Comprehensive smile analysis
  • Digital Planning: Advanced technology for predictable results
  • Premium Materials: Highest quality porcelain and bonding agents
  • Skilled Craftsmanship: Dr. Cohan’s artistic expertise and attention to detail
  • Ongoing Support: Lifetime guidance and maintenance recommendations

Payment Plan Options

CareCredit Healthcare Financing:
  • 0% Interest: 12-24 month plans for qualified applicants
  • Extended Terms: Longer payment periods available
  • Immediate Approval: Often approved same day
  • No Down Payment: Begin treatment right away
  • Flexible Terms: Customized to your budget
  • No Interest: Direct payment arrangements
  • Treatment Phasing: Start with most visible teeth first
  • Family Plans: Coordinate treatment for multiple family members

Schedule Your Free Cosmetic Consultation

What to Bring to Your Appointment:
  • Insurance Information: We’ll verify your benefits
  • Current Medications: Important for treatment planning
  • Photo Examples: Pictures of smiles you like for reference
  • Questions List: We’ll address all your concerns
Consultation Process:
  • Initial Evaluation: Comprehensive oral examination
  • Digital Imaging: 3D scans and photographs
  • Treatment Options: Detailed explanation of veneer vs. crown recommendations
  • Cost Breakdown: Transparent pricing for all options
  • Timeline Discussion: Scheduling that works with your life
Virtual Consultation AvailableCan’t make it to our Summerlin office? Dr. Cohan offers virtual consultations for initial smile evaluations:
  • Video Call Assessment: Preliminary smile analysis
  • Photo Review: Evaluate images you send
  • Treatment Discussion: Basic recommendations and options
  • Appointment Scheduling: Plan your in-person consultation

Transform Your Smile Today

Your perfect smile is waiting! Whether you need conservative veneers for minor imperfections or comprehensive crowns for complete transformation, Dr. Marianne Cohan has the expertise and artistry to exceed your expectations.

Ready to start your smile journey?

Contact Summerlin Dental Solutions:

Serving Las Vegas and SummerlinArea:We welcome patients from Summerlin, Downtown Las Vegas, Henderson, Green Valley, Mountains Edge, Enterprise, Spring Valley, and all surrounding Nevada communities. Our central Summerlin location offers convenient access from anywhere in the Las Vegas Valley.

Don’t wait to love your smile! Call +1(702) 341-9160 today to schedule your FREE cosmetic consultation with Dr. Marianne Cohan. Discover whether porcelain veneers, cosmetic crowns, or a combination approach is right for you. Your confident, beautiful smile starts with one phone call.Most insurance plans accepted. Financing available with approved credit. Same-day consultations often available for busy professionals. Virtual consultations available for initial assessments.

Let’s Start Your Smile Journey!

Contact Us Today

At Summerlin Dental Solutions, we’re always ready to take your calls! Give us a call or fill out the form below to contact one of our team members.
By submitting, you agree to receive text messages from Summerlin Dental Solutions at the number provided, including those related to your inquiry, follow-ups, and review requests, via automated technology. Consent is not a condition of purchase. Msg & data rates may apply. Msg frequency may vary. Reply STOP to cancel or HELP for assistance. Acceptable Use Policy
Health Grades