Offer valid for new Invisalign cases only. Cannot be combined with other discounts or insurance.
All-on-Four dental implants are an advanced tooth replacement solution designed for people who are missing an entire arch of teeth, whether in the upper or lower jaw. This procedure uses just four strategically placed titanium implants to support a full set of replacement teeth, offering you a stable and permanent alternative to traditional dentures.
The process begins with a detailed consultation in our Las Vegas office, including X-rays or 3D imaging, to evaluate the jawbone structure and plan implant placement. The key lies in the positioning of the implants—two are placed vertically in the front of the jaw, where bone density is typically highest, and two are positioned at an angled tilt in the back to maximize contact with the bone. This approach is meant to provide optimal support and eliminate the need for bone grafting in most cases.
During the surgery, small incisions are made in the gums to insert the titanium implants into the jawbone. These implants act like artificial tooth roots, fusing naturally with the bone in a process called osseointegration. The success of this integration process is crucial as it forms the foundation for your new prosthetic teeth, ensuring that they remain secure and functional over the long term.
Once fully integrated, a custom-made prosthetic arch of teeth is securely attached to the implants, providing a natural-looking and functional replacement. The result is a durable, secure, and lifelike restoration customized to your needs. This innovation in dental technology not only enhances aesthetics but also significantly improves oral health, as patients regain their ability to chew and speak effectively.
This renewed functionality improves physical comfort and boosts self-esteem and social confidence. Whether you’re laughing with friends or dining out, All-on-Four implants empower you to live a fuller and more enjoyable life, blending practicality with long-term health benefits.
When comparing All-on-Four dental implants with traditional dentures, several distinct advantages are apparent. Traditional dentures rest on the gums and may require adhesives to stay in place. They can sometimes slip while eating or speaking, leading to discomfort and potential embarrassment. In contrast, All-on-Four implants are securely anchored into the jawbone, eliminating the need for adhesives and providing a stable foundation for chewing and talking. This stability can significantly enhance the quality of life for those who have struggled with the limitations of conventional dentures.
Furthermore, traditional dentures do not prevent jawbone loss because they do not stimulate the jaw in the same way natural tooth roots do. Over time, this can lead to changes in facial structure, causing a sunken appearance. All-on-Four implants help preserve the jawbone by promoting natural stimulation, which prevents bone deterioration and maintains the facial structure’s aesthetics. This aspect is particularly beneficial for long-term oral health and appearance.
The recovery time for All-on-Four implants varies among patients but typically ranges from a few days to a couple of weeks. Initially, some swelling and discomfort may occur, similar to any surgery involving incisions. Most patients find that they can return to normal routines within a few days, although caution with diet and activities is advised during early recovery. It is crucial to follow the post-operative care instructions provided by your dental care provider to ensure smooth recovery and successful integration of the implants. Regular follow-up appointments will help monitor healing and allow any concerns to be addressed promptly for optimal outcomes.
Caring for All-on-Four dental implants involves maintaining proper oral hygiene through regular brushing and flossing. Use non-abrasive toothpaste and a soft-bristled toothbrush to clean implants thoroughly without causing damage. Flossing around the implants daily helps maintain healthy gums and prevent plaque buildup. It is also recommended to schedule regular dental checkups and cleanings to ensure the implants and surrounding tissues are in good condition. Your dental team will provide specific guidelines tailored to your needs, enabling you to extend the longevity of your implants and maintain optimal oral health. Special attention to hygiene can help prevent complications and ensure the longevity of your new smile.
During the initial recovery period, it’s advisable to stick to a soft diet that minimizes strain on the new implants. This includes foods such as scrambled eggs, yogurt, oatmeal, and soft fruits like bananas or avocados. Over time, as healing progresses and under your dentist’s guidance, you can gradually reintroduce firmer foods into your diet. Avoid extremely hard or sticky foods that could strain or damage the prosthetic teeth and implants. A balanced, nutritious diet supports the healing process and contributes to overall health. By following these dietary recommendations, you can ensure a successful adjustment period and enjoy the full benefits of your implants.
All-on-Four implants can be a highly effective solution for many individuals seeking comprehensive tooth replacement, particularly for those missing most or all of their teeth. However, suitability depends on several factors, including oral and overall health, bone density, and personal preferences. A consultation with a dental professional, such as Dr. Cohan at Summerlin Dental Solutions, will involve a thorough evaluation of your dental and medical history, along with imaging and assessment of your jawbone structure. This personalized assessment ensures that you receive the most appropriate and effective treatment plan tailored to your unique needs and goals. By discussing your expectations and lifestyle considerations, your dental team can guide you toward the optimal solution.
The cost of All-on-Four dental implants in Las Vegas can vary based on several factors, including the complexity of the individual case, the materials used, and whether any additional procedures like bone grafting are necessary. Typically, the price range for All-on-Four implants is reflective of the high quality of service and outcomes associated with the procedure. Many dental practices offer payment plans or financing options to make the treatment more accessible. During your consultation, you can discuss all financial aspects and receive a detailed estimate of costs customized to your treatment plan. This transparency helps you plan accordingly and ensures a clear understanding of the investment in your dental health. Prioritizing a consultation will also clarify potential insurance coverage options, making the procedure more feasible.
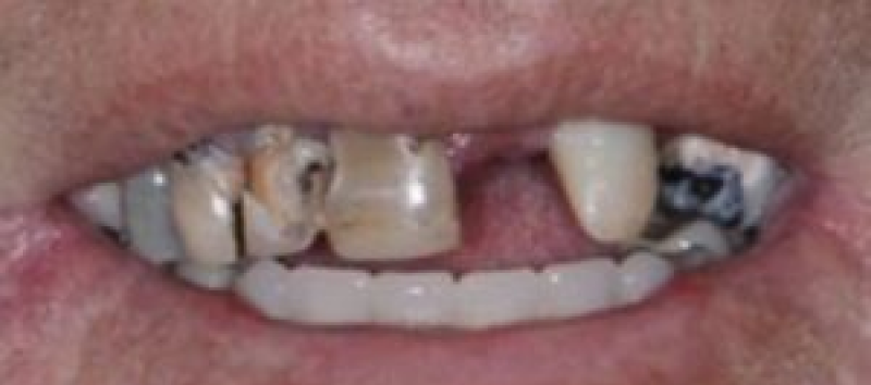
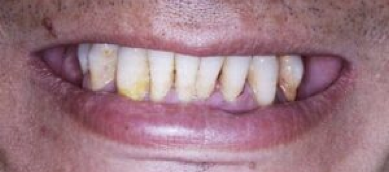
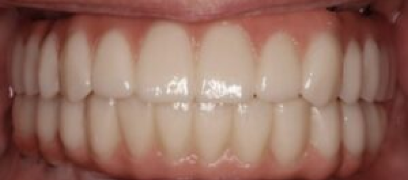
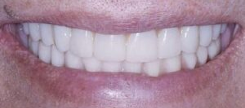
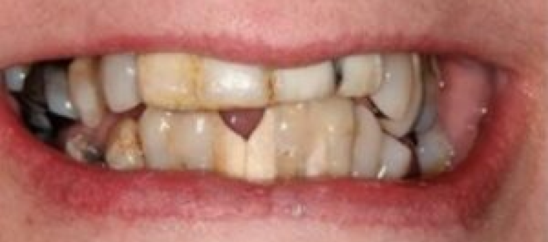
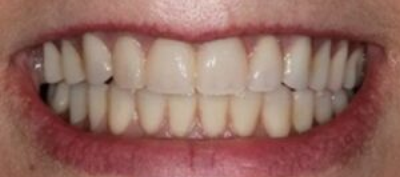
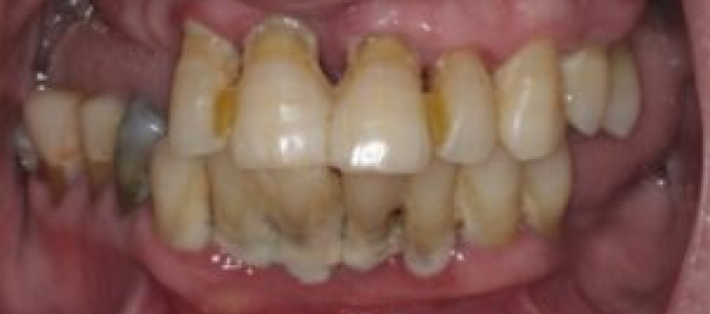
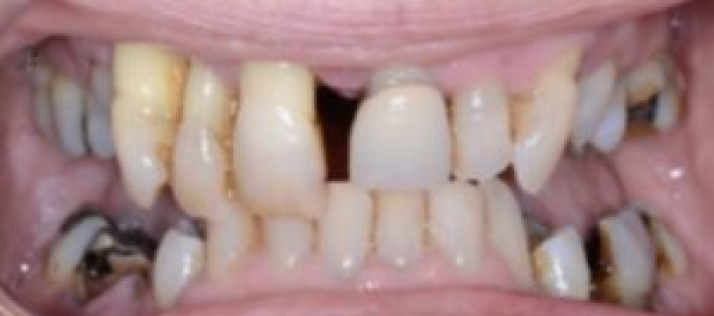
See the stunning difference a healthy, beautiful smile can make. Explore our before-and-after gallery to witness the life-changing results of expert dental care.
Like any surgical procedure, All-on-Four dental implants come with some potential risks. However, with Marianne Cohan, DDS, who has over 30 years of experience and is supported by a dedicated team, these risks can be minimized through careful planning and diligent execution. Our practice takes every possible precaution to reduce the likelihood of complications, employing state-of-the-art equipment and techniques that adhere to the highest standards of hygiene and safety.
Here Are Some Common Concerns & How We Address Them.
While the risk of infection is low, it’s still something we take seriously. After the procedure, you’ll receive detailed post-operative care instructions and, if needed, a course of antibiotics to further reduce the risk. We provide a sterile, precise surgical process aimed at preventing complications. This attention to detail ensures that your recovery is swift and trouble-free, enabling you to return to daily activities with minimal interruption.
Patients can help themselves by maintaining excellent oral hygiene—regular brushing, flossing, and the use of antibacterial mouthwash to help eliminate the harmful bacteria that could lead to infection. Additionally, attending regular follow-up appointments helps monitor the healing process and address any concerns promptly.
For a small percentage of patients, implants may not successfully integrate with the jawbone. This can happen for a variety of reasons, often without a clear cause. However, Dr. Cohan’s vast experience plays a vital role in dramatically lowering this risk. From assessing bone health with advanced imaging technologies to choosing the ideal implant placement, every step is taken to facilitate success. Our approach includes a comprehensive evaluation of each patient’s oral health history to customize treatment plans that maximize success.
If an implant does fail, most patients can try again with reasonable hopes for success. Following the post-procedure guidelines is also key to reducing the likelihood of failure. These include eating a soft diet, practicing diligent oral hygiene, and avoiding harmful habits like smoking, which can impede healing. Patients are encouraged to engage in a healthy lifestyle, ensuring adequate nutrition which supports the healing process and overall well-being.
Some caution is advised to protect the longevity of your implants. Avoid overly hard or sticky foods like popcorn kernels, peanut brittle, or ice cubes, as they could strain the prosthetics. That said, having the freedom to comfortably eat nutritious and wholesome foods not only supports your oral health but also contributes to a healthier overall lifestyle. Engaging in this mindful approach to eating helps to maintain the integrity of your dental work while promoting optimal health.
Summerlin Dental Solutions has served the people of Las Vegas, Summerlin South, Spring Valley, and throughout the area since 2000. Over the years, Dr. Cohan has been voted the Best Dentist in America by her peers. She has been honored by The Las Vegas Review-Journal as the best in her field. A talented support staff surrounds her. That kind of reputation, experience, and commitment can help patients feel at ease. Our practice is dedicated to fostering a welcoming environment where personalized care and attention to detail are paramount.
