Offer valid for new Invisalign cases only. Cannot be combined with other discounts or insurance.
With Invisalign, the world’s most cutting-edge clear aligner, there has never been a better moment to straighten your teeth at Summerlin Dental Solutions. Our practice is pleased to be an authorized provider of Invisalign clear aligners, which offer a transparent, practical, and comfortable solution to achieve the famous smile of your dreams.
Additionally, Invisalign offers a modern approach to teeth straightening without interrupting your lifestyle. Each aligner adjustment steers your teeth towards the intended position gradually, giving you a discreet path to align with your ideal smile. Unlike traditional braces, there are no wires or brackets to contend with, which means a simpler and more comfortable experience throughout your orthodontic journey.
At Summerlin Dental Solutions, we believe in providing community-centered care that not only enhances your smile but also contributes to your overall well-being. Our practice is deeply embedded in the local Las Vegas community, and we pride ourselves on understanding the unique needs and preferences of our clients. By choosing Invisalign with us, you’re selecting a partner who values your individuality and provides a customized treatment experience.
We offer flexible scheduling, competitive pricing, and comprehensive consultations that fit into your busy life. Our commitment extends beyond the dental chair, as we actively seek feedback to continually improve our services. As part of the local community, we support various events and initiatives, fostering a network of care and support. Choose Summerlin Dental Solutions for a partner who is as invested in your smile as you are.
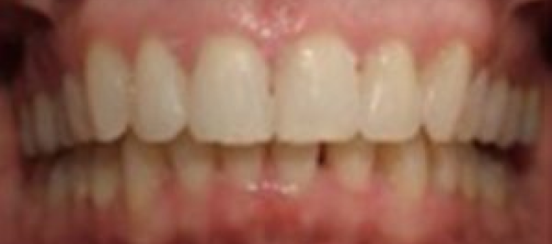
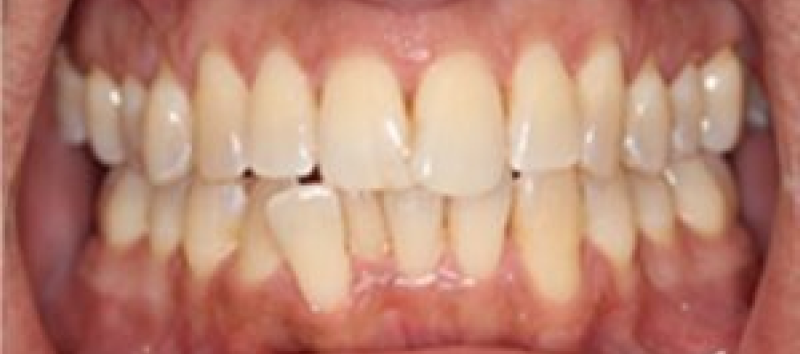
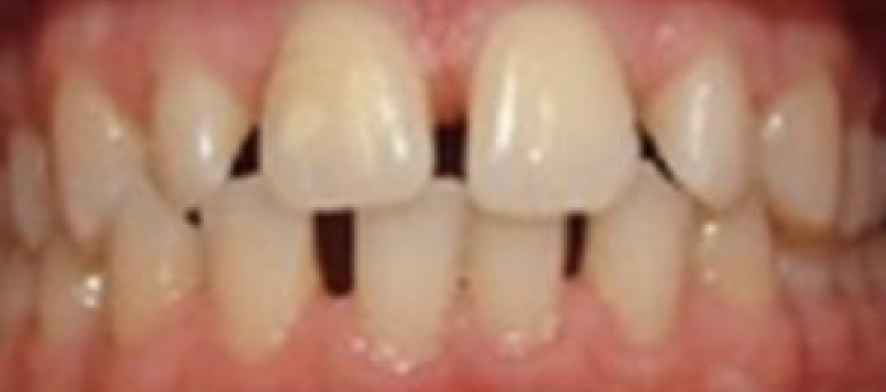
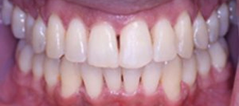
See the stunning difference a healthy, beautiful smile can make. Explore our before-and-after gallery to witness the life-changing results of expert dental care.
We will review your orthodontic requirements and determine whether Invisalign therapy is a good fit for you at your initial consultation.
This crucial first step involves a comprehensive evaluation, allowing us to discuss your lifestyle, preferences, and any specific concerns you may have about Invisalign treatment. Understanding your unique situation helps us tailor a plan that not only meets your dental needs but also fits seamlessly into your daily routine. Our team emphasizes open communication, empowering you with the knowledge to make informed decisions about your orthodontic journey.
To quickly and accurately develop 3D digital images of your teeth, we’ll use a scanner like the iTero digital scanning equipment. Then, we will create a detailed treatment plan that includes your teeth’s specific movements and the length of your therapy. You’ll even get to see a glimpse of your new smile and how your teeth will move.
The precision of our technology allows for customized dental solutions that align with each patient’s oral health goals. We take the time to explain each step of the proposed plan, ensuring you are comfortable and confident about the treatment trajectory. With state-of-the-art tools at our disposal, you can expect a seamless transition towards improved dental aesthetics and oral health.
The exclusive SmartTrack material used by Invisalign will be used to create your personalized aligners. Most people won’t even notice you are wearing them while having your teeth straightened because they are practically invisible.
Your aligners are designed to provide a snug fit that accurately adjusts your teeth with minimal discomfort. As you progress through each set, the pressure on your teeth diminishes, highlighting the advanced engineering behind Invisalign’s design. We advise regular check-ins to monitor your progress and make necessary adjustments, ensuring you stay on track to achieve your orthodontic goals.
For optimal results, wear your Invisalign clear aligners 20 to 22 hours each day, taking them out only to eat, brush, and floss.
Your teeth will gradually and softly realign as you wear each pair of aligners. We could advise switching to a fresh pair of aligners every week and scheduling check-ups about every six weeks.
At each stage of your treatment, success is measured against the pre-defined goals set during your initial assessment. Consistent progress checks allow us to celebrate milestones with you, adjust plans if needed, and ensure maximum efficiency. Our comprehensive support system is dedicated to maintaining the momentum of your dental transformation, paving the way for lasting results.
Ask us about a Vivera retainer after your treatment is over. Similar cutting-edge technology as that used to create Invisalign clear aligners is used to create personalized Vivera retainers.
Protecting the investment you’ve made in your smile is crucial. Our Vivera retainers offer the durability and clarity expected from advanced orthodontic devices, providing ongoing support in maintaining your newly aligned teeth. These retainers are specifically tailored to your mouth, helping to prevent any regression and keeping your smile picture-perfect.
Although not everyone is born with a picture-perfect smile, many misalignment issues can be corrected using orthodontic treatments such as braces or Invisalign. It is not unusual for people to have teeth that are crooked, crowded, or poorly aligned, as well as jaws that are misaligned; however, many people are unaware that these issues affect more than just their appearance. The disorder in your mouth poses additional risks to your health, some of which include:
Orthodontics is a subspecialty of cosmetic dentistry that addresses issues with the teeth and jaw by employing various orthodontic braces, retainers, and other specialized dental appliances. With orthodontic treatment, all of these conditions can be remedied or avoided entirely. Orthodontics at Dr. Cohan’s office focuses on creating beautiful smiles for patients in Summerlin by correctly aligning their teeth, lips, and jaws, helping our patients feel confident about the way they look.
Invisalign represents an evolutionary leap in the field of orthodontics by combining functionality with aesthetics, making the treatment not only effective but also discreet. Our focus is to ensure you receive the best possible care, which includes thorough assessments to evaluate your specific needs and the development of a tailored treatment plan. By choosing a customized approach, we open doors to achieving optimal oral health while enhancing your overall well-being.
Las Vegas offers a plethora of options when it comes to orthodontic care, and Invisalign stands out for its modern, adaptable treatment methodology. As a leading dental practice, Summerlin Dental Solutions is proud to offer preferred Invisalign treatments tailored specifically to meet the needs of residents in the Las Vegas area. We provide cutting-edge solutions that accommodate varied orthodontic issues, ranging from minor adjustments to more complex realignment needs.
In our practice, you can explore different levels of Invisalign treatments based on your individualized needs. Whether you are seeking treatment for yourself or your child, our experienced team ensures that you receive the appropriate level of care and attention. We address diverse needs considering the busy lifestyle of Las Vegas residents, with flexible appointment schedules and encouragement to maintain active engagement in your daily pursuits. This level of care ensures that each patient targets optimal results with minimum lifestyle disruption.
Correcting misaligned teeth offers more than just aesthetic benefits; it can contribute significantly to your overall oral health. Invisalign aids in minimizing the risk of tooth decay and gum disease by improving your ability to maintain effective oral hygiene. Misaligned teeth can create hard-to-reach areas in your mouth that trap food particles and bacteria, leading to cavities and gum issues. By straightening your teeth, Invisalign reduces these risks and promotes a healthier oral environment.
Additionally, a well-aligned bite can prevent undue stress on your jaw and subsequently reduce the experience of tension headaches or jaw pain. This holistic approach to dental alignment means that you’re addressing both visible and invisible health concerns, ensuring comprehensive wellness. Our team at Summerlin Dental Solutions educates each patient on the long-term benefits of their investment, supporting them in making well-informed dental care decisions throughout the treatment process and beyond.
The duration of Invisalign treatment varies depending on the complexity of your case and your adherence to prescribed wear times. On average, treatment may last between 12 to 18 months. However, some individuals may see improvements in as little as six months. It’s crucial to wear your aligners for 20 to 22 hours per day and switch to new sets as directed by your orthodontist to ensure timely progress. During your initial consultation at Summerlin Dental Solutions, we will provide a customized timeline based on your specific needs and goals.
Invisalign is capable of treating a range of bite issues, including overbites, underbites, and crossbites. While traditionally, braces were the go-to solution for complicated orthodontic cases, advancements in aligner technology have made it possible for Invisalign to handle more complex adjustments. However, it’s essential to have an in-depth consultation to assess the severity of your condition. Our team at Summerlin Dental Solutions will evaluate your bite and advise whether Invisalign is suitable for your particular situation or if other interventions might be necessary.
Maintaining your Invisalign aligners is straightforward but crucial to ensure the effectiveness of your treatment. We recommend cleaning your aligners regularly with a soft toothbrush and lukewarm water. Avoid using hot water as it can warp the plastic. You can also use Invisalign cleaning crystals or a gentle soap for a deeper clean. It’s important to rinse your aligners every time you remove them and brush your teeth before reinserting them to prevent plaque buildup. Consistent maintenance not only keeps your aligners clear but also ensures optimal oral hygiene throughout your treatment.
One of the appealing features of Invisalign is that it doesn’t require you to change your diet because the aligners are removable. However, it’s crucial to remove them whenever you eat or drink anything other than water. This prevents staining and potential damage to the aligners while protecting your teeth from trapped food particles. After eating, brushing your teeth before putting the aligners back is recommended to maintain your oral health and the clarity of your Invisalign trays.
Invisalign treatment is generally more comfortable than traditional braces because there are no metal brackets or wires involved. Patients may experience some discomfort or pressure when they switch to a new set of aligners, which is a sign that the aligners are working to move the teeth gradually. This sensation typically diminishes within a few days. If you experience persistent discomfort, our team at Summerlin Dental Solutions is available to provide advice and support to ensure your treatment stays on track and as comfortable as possible.
Our Summerlin dental clinic advises patients to wear their aligners for 20 to 22 hours each day, taking them out only to eat, floss, and brush their teeth.
Once you’ve made the decision to receive treatment at our Summerlin Dental office, we’ll take impressions and pictures to send to the Align lab. In that location, Align technology will scan the impressions into a computer and produce a series of aligners that will shift your teeth into the ideal position over the course of one to two weeks.
Invisalign could be the solution you’ve been looking for if you’ve always wanted your teeth to be more aligned but loathe the idea of wearing traditional metal braces.
The following are some of the reasons why many patients seeking orthodontic treatment in Summerlin choose Invisalign over traditional braces:
