Easy, Fast, and Flexible Financing for Everyone - 0% Interest for 12 Months!

 Serving all neighborhoods: Summerlin, Rhodes Ranch, Queensridge, Sun City, Henderson, Spring Valley, Centennial Hills, Red Rock, The Summit, The Lakes, Centennial Hills and the rest of our Valley

 

All-On-4 Dental Implants in Las Vegas and Summerlin

What is All-on-4 dental implant treatment?

$500 OFF

Invisalign Treatment

Get the straighter, more confident smile you’ve always wanted with Invisalign! For a limited time, enjoy $500 off your Invisalign treatment.

Offer valid for new Invisalign cases only. Cannot be combined with other discounts or insurance.

Summerlin All-on-Four Dental Implants

All-on-Four dental implants are an advanced tooth replacement solution designed for people who are missing an entire arch of teeth, whether in the upper or lower jaw. This procedure uses just four strategically placed titanium implants to support a full set of replacement teeth, offering you a stable and permanent alternative to traditional dentures.

The process begins with a detailed consultation in our Las Vegas office, including X-rays or 3D imaging, to evaluate the jawbone structure and plan implant placement. The key lies in the positioning of the implants—two are placed vertically in the front of the jaw, where bone density is typically highest, and two are positioned at an angled tilt in the back to maximize contact with the bone. This approach is meant to provide optimal support and eliminate the need for bone grafting in most cases.

During the surgery, small incisions are made in the gums to insert the titanium implants into the jawbone. These implants act like artificial tooth roots, fusing naturally with the bone in a process called osseointegration. The success of this integration process is crucial as it forms the foundation for your new prosthetic teeth, ensuring that they remain secure and functional over the long term.

Once fully integrated, a custom-made prosthetic arch of teeth is securely attached to the implants, providing a natural-looking and functional replacement. The result is a durable, secure, and lifelike restoration customized to your needs. This innovation in dental technology not only enhances aesthetics but also significantly improves oral health, as patients regain their ability to chew and speak effectively.

Call +1(702) 341-9160 or contact us online today to schedule an appointment and learn more about All-on-Four dental implants in Las Vegas.

Benefits Of All-on-Four Dental Implants in Summerlin

  • Natural Appearance & Feel: All-on-Four dental implants are custom-made to mimic the appearance of natural teeth in both size and color. Unlike traditional dentures, they feel secure and lifelike, making it easier to smile, speak, and chew with confidence. 
  • Permanent Support: Once installed, All-on-Four implants are firmly anchored into the jawbone, providing permanent stability. They don’t shift or move like removable dentures, allowing you to enjoy daily activities without worry. 
  • Quick Transformation: All-on-Four implants often allow for a same-day restoration process, meaning a new set of functional teeth can be attached within hours of implant placement. Patients quickly regain confidence in their smile and their oral function.
  • Bone Health Preservation: By integrating directly with the jawbone, All-on-Four implants prevent bone loss in the jaw. The implants stimulate the bone like natural tooth roots, maintaining facial structure and preventing a sunken appearance.
  • Wide Accessibility: Thanks to the strategic placement of the implants, most patients—including those with some jawbone loss—can qualify for All-on-Four without needing additional bone grafting. 
  • Ease Of Maintenance: Caring for All-on-Four implants is as simple as maintaining natural teeth. Regular brushing, flossing around the implants, and routine dental visits are usually enough to keep them in good condition. 
  • Improved Quality Of Life: With these implants firmly in place, you can enjoy a wide variety of foods, from crisp apples and fresh carrots to your favorite cuisine, without discomfort or worry.

This renewed functionality improves physical comfort and boosts self-esteem and social confidence. Whether you’re laughing with friends or dining out, All-on-Four implants empower you to live a fuller and more enjoyable life, blending practicality with long-term health benefits.

All-on-Four Vs. Traditional Denture Solutions in Summerlin

When comparing All-on-Four dental implants with traditional dentures, several distinct advantages are apparent. Traditional dentures rest on the gums and may require adhesives to stay in place. They can sometimes slip while eating or speaking, leading to discomfort and potential embarrassment. In contrast, All-on-Four implants are securely anchored into the jawbone, eliminating the need for adhesives and providing a stable foundation for chewing and talking. This stability can significantly enhance the quality of life for those who have struggled with the limitations of conventional dentures.

Furthermore, traditional dentures do not prevent jawbone loss because they do not stimulate the jaw in the same way natural tooth roots do. Over time, this can lead to changes in facial structure, causing a sunken appearance. All-on-Four implants help preserve the jawbone by promoting natural stimulation, which prevents bone deterioration and maintains the facial structure’s aesthetics. This aspect is particularly beneficial for long-term oral health and appearance.

FAQs About All-on-Four Dental Implants

All-on-4 Dental Implants in Summerlin and Las Vegas: 20 Frequently Asked Questions

Everything patients from The Summit, The Ridges, Queensridge, Henderson, Centennial Hills, Spring Valley, and all surrounding areas want to know about replacing a full arch of teeth with just four implants at Summerlin Dental Solutions, the practice voted Best of Las Vegas 19 times.

A Full Set of Beautiful, Permanent Teeth on Just Four Implants

For patients who are missing all or most of their teeth, or who are living with failing teeth and uncomfortable removable dentures, the All-on-4 concept represents one of the most transformative procedures in modern dentistry. Instead of replacing each missing tooth with an individual dental implant (which can require 6 to 10 implants per arch and multiple surgeries over a year or more), the All-on-4 technique supports a complete arch of fixed, non-removable teeth on just four strategically angled implants. In many cases, patients walk into the office with failing or missing teeth and walk out the same day with a full set of beautiful, functional, permanent teeth.

At Summerlin Dental Solutions, Dr. Marianne Cohan combines her membership in the American Academy of Implant Dentistry (AAID), 3D CBCT surgical planning technology, AI-assisted diagnostics, and more than 31 years of clinical experience to deliver All-on-4 results that restore not just teeth but the entire facial structure, confidence, and quality of life that tooth loss has taken away. As a 19-time Best of Las Vegas winner with AACD Accreditation held by fewer than 1% of dentists, she ensures that the functional restoration also looks naturally beautiful. Below are the 20 questions patients ask most about All-on-4 dental implants.

20 Frequently Asked Questions About All-on-4 Dental Implants

Q1. What are All-on-4 dental implants?

All-on-4 is a full-arch tooth replacement technique that uses four strategically placed titanium implants to support an entire arch of fixed, non-removable prosthetic teeth. The four implants are positioned at specific angles within the jawbone to maximize bone contact and stability: two implants are placed vertically in the front of the jaw where bone density is naturally greatest, and two implants are angled at approximately 30 to 45 degrees in the back of the jaw, allowing them to anchor into denser bone while avoiding anatomical structures like the maxillary sinus (upper jaw) and the inferior alveolar nerve (lower jaw). This angled placement is what makes All-on-4 revolutionary, because it often eliminates the need for bone grafting that would otherwise be required for patients with significant bone loss. The result is a full set of teeth that look natural, feel permanent, and function like your own teeth, all supported by just four implants per arch.

Q2. What is the difference between All-on-4 and traditional dentures?

The difference is transformative. Traditional removable dentures sit on top of the gum tissue and are held in place by suction, adhesive paste, or metal clasps. They can slip, click, and shift during eating and speaking. They cover the palate (roof of the mouth), which reduces taste sensation and can trigger gagging. They must be removed nightly for cleaning. They accelerate jawbone loss because they do not stimulate the bone the way natural tooth roots do. And they typically need to be relined or replaced every 5 to 7 years as the jawbone continues to shrink. All-on-4 implant-supported teeth are permanently fixed to four implants embedded in the jawbone. They do not slip, shift, or click. They do not cover the palate, so taste and speech are restored to normal. They never come out (they are cleaned in place like natural teeth). They stimulate and preserve the jawbone because the implants function like artificial tooth roots. And with proper care, the implants can last a lifetime, with the prosthetic arch lasting 15 to 20 years before replacement is needed. For most patients, All-on-4 is a permanent escape from the daily frustrations of removable dentures.

Q3. How much do All-on-4 dental implants cost in Las Vegas?

All-on-4 treatment in the Las Vegas area typically ranges from $20,000 to $35,000 per arch, depending on the materials used for the prosthetic teeth (acrylic, zirconia, or porcelain-fused-to-metal), the complexity of the case (whether extractions, bone grafting, or sinus lifts are needed), and the level of customization in the final restoration. A full-mouth restoration (both upper and lower arches) generally falls between $40,000 and $70,000. While this represents a significant investment, it is important to compare All-on-4 to the lifetime cost of traditional dentures, which require replacement every 5 to 7 years, ongoing adhesive purchases, frequent reline appointments, and the eventual need for bone grafting as the jaw continues to deteriorate. Over a 20-year period, All-on-4 is often comparable in total cost to dentures while providing an incomparably superior quality of life. At Summerlin Dental Solutions, Dr. Cohan provides a detailed cost estimate during your consultation. Our team verifies your insurance benefits (many plans cover a portion of implant treatment), and 0% interest financing through HFD is available with approval in under a minute and no credit impact.

Q4. Can I get All-on-4 teeth in a single day?

In many cases, yes. One of the most remarkable aspects of the All-on-4 concept is the ‘teeth in a day’ possibility. The implants are surgically placed and a temporary fixed prosthetic arch is attached the same day, meaning you can arrive in the morning with failing or missing teeth and leave in the afternoon with a full set of functional, natural-looking teeth. This temporary prosthesis is worn during the healing period (typically 3 to 6 months) while the implants integrate with the bone in a process called osseointegration. Once healing is complete, the temporary arch is replaced with your final, custom-fabricated permanent prosthesis made from premium materials. Not every patient qualifies for same-day teeth, as the decision depends on bone density, implant stability at the time of placement, and overall health factors. Dr. Cohan uses our 3D CBCT scanner to evaluate bone quality before surgery and determines during the consultation whether same-day loading is appropriate for your specific case.

Q5. Am I a candidate for All-on-4 even if I have significant bone loss?

This is one of the greatest advantages of the All-on-4 technique. Traditional implant approaches often require substantial bone grafting for patients with significant jawbone loss, adding months of healing time and thousands of dollars in additional cost. The All-on-4 protocol was specifically designed to work around bone loss by angling the posterior implants to engage the denser bone that exists naturally in the front and sides of the jaw, even in patients whose back jaw regions have lost significant bone volume. At Summerlin Dental Solutions, Dr. Cohan uses our 3D CBCT scanner to create a complete three-dimensional map of your remaining bone density, thickness, and anatomy. This imaging allows her to determine the optimal implant positions and angles for your specific bone structure. In cases where bone loss is so severe that even angled placement cannot achieve adequate stability, she may recommend targeted bone grafting in specific areas before or during the implant procedure. Her AAID membership reflects specialized training in implant dentistry that includes managing these complex bone-deficient cases.

Q6. Is All-on-4 surgery painful?

The All-on-4 procedure is performed under local anesthesia at minimum, and most patients at Summerlin Dental Solutions choose a deeper level of sedation for maximum comfort during the surgery. IV sedation is the most popular choice for All-on-4 cases because it places you in a deeply relaxed state where you have little to no awareness of the procedure and typically no memory of it afterward. Dr. Cohan also offers oral sedation for patients who prefer a moderate level of relaxation. During the surgery, you should feel no pain. After the procedure, most patients describe the discomfort as moderate and manageable with prescribed pain medication. Swelling peaks at two to three days and resolves over the following week. Most patients report that the post-surgical discomfort is significantly less than they expected and substantially less than the chronic pain and frustration they were living with from their failing teeth or ill-fitting dentures. Our spa-like office provides warm blankets, noise-canceling headphones, and personal entertainment screens to enhance your comfort, and our team is the friendliest you will ever encounter at any dental office, providing genuine care and reassurance throughout the process.

Q7. How long does the All-on-4 procedure take?

The surgical phase of All-on-4 treatment typically takes two to four hours per arch, depending on whether extractions of remaining teeth are performed at the same time, the complexity of the implant placement, and whether any bone modification is needed. If both arches are being treated, the surgery may take four to six hours total. The temporary prosthetic teeth are typically attached to the implants before you leave the office, so your total appointment on surgery day may be five to eight hours including preparation, the procedure itself, recovery observation, and post-surgical instructions. Dr. Cohan uses 3D CBCT imaging and digital surgical planning to map every implant position before the surgery begins, which reduces chair time by eliminating guesswork during the procedure. After the initial surgery, you return for follow-up visits during the 3 to 6 month healing period, and then for the final appointment where your permanent prosthesis is delivered and fitted.

Q8. What can I eat with All-on-4 dental implants?

During the initial healing period (typically 3 to 6 months after surgery) while wearing the temporary prosthesis, Dr. Cohan recommends a soft food diet for the first several weeks, gradually introducing firmer foods as healing progresses. This is to protect the implants while they integrate with the bone. Once your permanent prosthesis is placed and the implants are fully healed, you can eat virtually anything you want. Steak, apples, corn on the cob, nuts, crusty bread, raw vegetables, and all the foods that removable denture wearers must avoid become part of your life again. All-on-4 teeth restore approximately 90% of natural biting and chewing force, compared to removable dentures which typically restore only 20 to 25%. For many patients, the ability to eat freely and confidently is the single most life-changing aspect of the All-on-4 transformation.

Q9. How long do All-on-4 implants last?

The titanium implants themselves, with proper care and maintenance, can last a lifetime. Titanium is biocompatible, meaning the body does not reject it, and once the implants fully integrate with the jawbone through osseointegration, they become a permanent part of your anatomy. The prosthetic arch (the visible teeth) typically lasts 15 to 20 years before it may need to be replaced due to normal wear on the acrylic or porcelain surfaces. When replacement is needed, only the prosthetic component is replaced, not the implants, which remain firmly anchored in the bone. Longevity depends on consistent oral hygiene, regular preventive care visits at Summerlin Dental Solutions (typically every 3 to 4 months for implant patients), avoiding habits that stress the implants (smoking, chewing ice, using teeth as tools), and addressing any teeth grinding with a custom night guard to protect the prosthetic arch from excessive wear.

Q10. How does All-on-4 reverse facial collapse from missing teeth?

When teeth are missing, the jawbone beneath the empty spaces begins to resorb (shrink) because it no longer receives the mechanical stimulation from tooth roots that signals it to maintain density. Over months and years, this bone loss causes the jaw to narrow and shorten, the chin to move closer to the nose, the lips to lose support and appear thinner, the cheeks to hollow, and the lower face to take on a collapsed, prematurely aged appearance. All-on-4 implants halt and partially reverse this process by providing four titanium roots that stimulate the jawbone and prevent further resorption. As the bone stabilizes around the implants and the prosthetic teeth restore proper facial proportions, patients see a visible improvement in their facial structure. The cheeks fill out, the lips regain support, the chin-to-nose distance is restored, and the overall face looks fuller, more youthful, and more vibrant. Many All-on-4 patients at Summerlin Dental Solutions tell us they look 10 to 15 years younger after the procedure. This facial rejuvenation effect is one of the most powerful benefits of implant-supported restoration and connects directly to our anti-aging dentistry philosophy.

Q11. What is the difference between All-on-4 and individual dental implants?

Individual dental implants replace one tooth at a time, each with its own titanium root and crown. This approach is ideal for patients missing one or a few teeth in an otherwise healthy mouth. For patients missing all or most teeth in an arch, placing individual implants for every missing tooth would require 6 to 10 implants per arch, multiple surgeries, extensive bone grafting in most cases, 12 to 18 months of treatment, and significantly higher overall cost. All-on-4 achieves the same functional and aesthetic outcome (a full arch of fixed, non-removable teeth) using just four implants per arch, often without bone grafting, frequently in a single surgical session, and at a substantially lower total cost. The trade-off is that All-on-4 teeth are connected as a single unit rather than being individually removable, which means they are cleaned differently (using specialized brushes and flossers rather than traditional flossing between individual teeth). Dr. Cohan evaluates each patient’s bone quality, oral health, and goals to recommend whether individual implants or All-on-4 is the better approach for their specific case.

Q12. What materials are used for All-on-4 prosthetic teeth?

The prosthetic arch that attaches to your All-on-4 implants can be fabricated from several materials, each with its own advantages. Acrylic (PMMA) is the most affordable option and is often used for the temporary prosthesis during the healing period. It is lightweight, easy to adjust, and can be repaired quickly if damaged, but it is more prone to staining and wear over time. Zirconia is a premium material that is exceptionally strong, highly stain-resistant, and produces the most natural-looking aesthetic result. Zirconia arches are monolithic (carved from a single block of material), making them extremely durable with a lifespan that typically exceeds 20 years. Porcelain-fused-to-metal combines the strength of a metal framework with the natural appearance of porcelain, offering an excellent balance of durability and aesthetics. At Summerlin Dental Solutions, Dr. Cohan discusses each option during your consultation and uses her AACD-accredited cosmetic eye to recommend the material that will deliver the most natural, beautiful, and long-lasting result for your case and budget.

Q13. What technology does Summerlin Dental Solutions use for All-on-4?

All-on-4 is one of the most technology-dependent procedures in dentistry, and Summerlin Dental Solutions has invested in every meaningful advancement to ensure the highest level of surgical precision and patient safety. Our 3D CBCT scanner is the cornerstone of All-on-4 planning, providing a complete three-dimensional map of your jawbone density, anatomy, nerve locations, and sinus positions so Dr. Cohan can plan the exact placement angle, depth, and position of each implant before surgery begins. Our AI-assisted radiological analysis identifies any hidden infections, pathology, or bone quality concerns that must be addressed before implant placement. The TRIOS digital scanner captures precise impressions for fabricating both the temporary and permanent prosthetic arches without messy putty trays. Our soft tissue laser assists with minimally invasive gum tissue management during and after surgery. Digital X-rays provide instant imaging at 90% less radiation for post-surgical monitoring. And dual-screen exam rooms allow Dr. Cohan to walk you through the 3D surgical plan before the procedure so you understand exactly what will happen and why.

Q14. What are Dr. Cohan’s qualifications for All-on-4 treatment?

Dr. Marianne Cohan brings a unique combination of implant expertise and cosmetic artistry to every All-on-4 case. She earned her Doctor of Dental Surgery degree from the State University of New York at Buffalo with dual honors: the Operative Dentistry Award (recognizing clinical excellence in restorative procedures, directly relevant to the prosthetic component of All-on-4) and the Periodontics Award (recognizing expertise in bone and tissue health, the biological foundation that determines implant success). Her membership in the American Academy of Implant Dentistry (AAID) reflects specialized training in surgical implant placement, bone grafting, and implant prosthodontics. Her AACD Accreditation (fewer than 1% of dentists) ensures that the prosthetic teeth look naturally beautiful, not just functional. She has been named Best Dentist in America through peer nomination and voted Best of Las Vegas 19 times across four categories including Best Cosmetic Dentist. She maintains additional memberships in the AAFE, ADA, Academy of Laser Dentistry, and Academy of General Dentistry. With more than 31 years of clinical experience and comprehensive on-site implant capabilities, she manages the entire All-on-4 journey from planning through final prosthesis delivery under one roof. You genuinely could not be in better hands.

Q15. Does dental insurance cover All-on-4 implants?

Dental insurance coverage for All-on-4 varies significantly by carrier and plan. Many dental plans include some implant coverage under their major restorative benefits, though annual maximums (typically $1,500 to $3,000) cover only a portion of the total treatment cost. Some plans cover the prosthetic arch as a denture benefit even if they do not cover the implants themselves. Medical insurance may provide coverage in cases where the tooth loss resulted from accident, trauma, or a medical condition rather than dental disease. At Summerlin Dental Solutions, our front office team performs a thorough insurance benefits verification before treatment, submits pre-authorization to both dental and medical carriers when applicable, and provides a clear breakdown of estimated coverage and out-of-pocket costs. 0% interest financing through HFD is available for any remaining balance with approval in under a minute and no credit score impact. HSA and FSA accounts can also be applied toward All-on-4 treatment.

Q16. How do I care for my All-on-4 teeth?

All-on-4 prosthetic teeth are cared for somewhat differently than natural teeth because the arch is a single connected unit rather than individual teeth with spaces between them. Daily care includes brushing the prosthetic teeth, the gum tissue, and the area where the prosthesis meets the gums using a soft-bristled toothbrush and non-abrasive toothpaste. A water flosser (such as a Waterpik) is highly recommended for cleaning beneath and around the prosthetic arch where food particles can accumulate. Specialized floss threaders or interdental brushes designed for implant restorations help clean the areas between the implants and the underside of the arch. Regular preventive care visits at Summerlin Dental Solutions every 3 to 4 months allow Dr. Cohan and her hygiene team to professionally clean the implant components, check the integrity of the prosthesis, monitor bone levels around the implants, and catch any developing issues before they become problems. With consistent care, your All-on-4 implants and prosthesis will serve you beautifully for decades.

Q17. Can I get sedation during All-on-4 surgery?

Yes, and most patients choose to. All-on-4 surgery is a significant procedure, and Summerlin Dental Solutions offers three levels of sedation dentistry to ensure complete comfort. IV sedation is the most commonly chosen option for All-on-4 cases because it places you in a deeply relaxed state with little to no awareness of the surgery and typically no memory of it afterward. Oral sedation offers a moderate level of calm for patients who prefer not to have an IV. Nitrous oxide can be used as a supplement to either option or on its own for patients who want light relaxation. Dr. Cohan monitors your vital signs continuously throughout the surgery regardless of the sedation level chosen. Combined with our spa-like comfort amenities including warm blankets, noise-canceling headphones, and personal entertainment screens, the surgical experience is as comfortable and stress-free as a procedure of this magnitude can possibly be. Our team surrounds you with genuine care and reassurance from the moment you arrive until you are safely in your companion’s vehicle after the procedure.

Q18. Where is the closest All-on-4 dentist near The Summit, The Ridges, and Queensridge?

Summerlin Dental Solutions is located at 851 S Rampart Blvd, Suite 230, Las Vegas, NV 89145, centrally positioned in the heart of Summerlin between Tivoli Village and Boca Park. Queensridge residents are just 5 to 10 minutes from our office. The Summit residents reach us in approximately 10 to 12 minutes via Town Center Drive and Rampart Boulevard. The Ridges residents connect via Rampart or the 215 Beltway in a similarly short drive. Having an AAID-trained implant dentist with CBCT surgical planning, AI-assisted diagnostics, AACD-accredited cosmetic artistry, and IV sedation capability all under one roof within minutes of these communities means patients can undergo the complete All-on-4 journey without traveling to the medical district or coordinating care across multiple specialist offices. Call +1(702) 341-9160 to schedule your All-on-4 consultation.

Q19. Can patients from Henderson, Centennial Hills, and Spring Valley get All-on-4 at Summerlin Dental Solutions?

Yes. Henderson, Green Valley, and Anthem patients reach our Summerlin office in approximately 25 to 30 minutes via the 215 Beltway. Centennial Hills and North Las Vegas residents travel south on the 215 or US-95 in approximately 20 to 25 minutes. Spring Valley patients are just 10 to 15 minutes south along the 215 Beltway. Patients from all of these communities and all surrounding areas choose Summerlin Dental Solutions for All-on-4 treatment because Dr. Cohan’s AAID implant training, CBCT-guided surgical planning, and AACD-accredited cosmetic design ensure that the result is both functionally sound and naturally beautiful. The ability to complete the entire treatment from consultation through final prosthesis delivery at a single practice with a single doctor eliminates the fragmented, multi-office experience that many All-on-4 patients encounter elsewhere, where an oral surgeon places the implants and a separate prosthodontist designs the teeth, with no single provider owning the complete outcome.

Q20. How do I schedule an All-on-4 consultation at Summerlin Dental Solutions?

Call +1(702) 341-9160 and let our team know you are interested in All-on-4 dental implants or full-arch tooth replacement. You can also book online through our website or begin with a virtual consultation from the comfort of your home. New patients can complete patient forms online before arriving to save time. Your All-on-4 consultation includes a comprehensive examination with Dr. Cohan, a 3D CBCT scan to evaluate your bone density and anatomy, AI-assisted diagnostic imaging to identify any underlying conditions, a detailed discussion of whether All-on-4, individual implants, or another approach is best for your case, a review of material options for the prosthetic arch, and a complete cost estimate with insurance verification and financing options. We are located at 851 S Rampart Blvd, Suite 230, in the heart of Summerlin near Tivoli Village and Boca Park. We proudly serve patients from The Summit, The Ridges, Queensridge, Henderson, Centennial Hills, Spring Valley, and all surrounding communities. You could not be in better hands at Summerlin Dental Solutions.

Communities We Serve for All-on-4 Dental Implants

Summerlin Dental Solutions is centrally located at 851 S Rampart Blvd, Suite 230, in the heart of Summerlin between Tivoli Village, Boca Park, and Downtown Summerlin. Our All-on-4 implant practice serves patients from six communities and all surrounding areas throughout the Las Vegas Valley.

The Summit

One of Summerlin’s most prestigious guard-gated communities, The Summit is approximately 10 to 12 minutes from our office. Summit residents who need full-arch restoration expect the highest level of surgical precision and cosmetic quality. Dr. Cohan’s AAID implant training, CBCT-guided surgical planning, and AACD-accredited aesthetic design deliver an All-on-4 result that meets the standard of excellence Summit residents demand.

The Ridges

Nestled against Red Rock Canyon, The Ridges is a short drive from our office via Rampart Boulevard or the 215 Beltway. Ridges residents value having the entire All-on-4 journey managed by a single trusted doctor under one roof, from the initial 3D surgical plan through implant placement, healing, and final prosthesis delivery. No referrals, no handoffs, no fragmented care.

Queensridge

Our closest neighboring community at just 5 to 10 minutes from our office. The proximity is especially valuable for All-on-4 patients who require multiple follow-up visits during the healing period. Queensridge residents can attend post-surgical check-ups, adjustment appointments, and their final prosthesis delivery with minimal travel, making the multi-visit All-on-4 timeline as convenient as possible.

Henderson

Henderson, Green Valley, and Anthem patients reach our Summerlin office in approximately 25 to 30 minutes via the 215 Beltway. Henderson patients choose Summerlin Dental Solutions for All-on-4 because the single-provider model (one doctor managing surgery, prosthodontics, and cosmetic design) eliminates the coordination challenges and inconsistencies that arise when the procedure is split between an oral surgeon and a separate prosthodontist, which is the standard model at many practices.

Centennial Hills

North Las Vegas and Centennial Hills residents travel south on the 215 or US-95 in approximately 20 to 25 minutes. Centennial Hills patients seeking All-on-4 represent a growing demographic at our practice, with patients choosing us for the CBCT-guided precision, the IV sedation availability for comfortable surgery, and the AACD-accredited aesthetic that ensures the prosthetic teeth look like real teeth, not like dentures on implants.

Spring Valley

Located just south of Summerlin along the 215 Beltway, Spring Valley patients reach our office in 10 to 15 minutes. As one of our largest patient communities, Spring Valley includes many All-on-4 patients whose lives have been transformed by the procedure and who now refer friends and family members living with failing teeth or uncomfortable dentures to experience the same transformation at Summerlin Dental Solutions.

Advanced Technology for Precise All-on-4 Surgical Planning and Execution

All-on-4 is one of the most technically demanding procedures in dentistry, and the technology used for planning and execution directly determines the outcome. Summerlin Dental Solutions has invested in every meaningful advancement to ensure each All-on-4 case is planned with surgical precision and executed with confidence.

3D CBCT Scanner

The single most critical technology for All-on-4 treatment. The CBCT scanner produces a complete three-dimensional map of your jawbone, revealing bone density at every point, the exact location of nerves and sinuses, available bone height and width for implant placement, and anatomical variations that affect surgical approach. Dr. Cohan uses this 3D model to plan the precise angle, depth, and position of each of the four implants before the surgery begins, transforming the procedure from an intraoperative judgment call into a digitally guided execution of a pre-determined plan.

AI-Assisted Radiology

Before All-on-4 surgery is planned, the AI system reviews your diagnostic images alongside Dr. Cohan to identify hidden infections, residual root fragments, cysts, pathology, and bone quality variations that must be addressed before or during the implant procedure. For a surgery as significant as All-on-4, this AI diagnostic review provides an essential safety layer that ensures nothing is missed in the pre-surgical assessment.

TRIOS Digital Scanner

The TRIOS scanner captures precise 3D digital impressions of your existing teeth (for pre-surgical planning) and your implant positions (for prosthesis fabrication) without messy putty trays. For All-on-4 patients, the accuracy of these digital impressions directly determines how well the prosthetic arch fits and functions, making the TRIOS scanner a critical component of a successful outcome.

Soft Tissue Laser

During and after All-on-4 surgery, the soft tissue laser assists with minimally invasive gum tissue management, wound healing promotion, and bacterial decontamination around the implant sites. The laser produces less bleeding, less swelling, and faster healing than traditional surgical methods, contributing to a smoother recovery experience.

Digital X-Rays

Providing instant post-surgical imaging at up to 90% less radiation, digital X-rays are used immediately after implant placement to verify positioning, during healing visits to monitor bone integration, and at every subsequent preventive visit to assess long-term implant stability and bone maintenance.

Computerized Smile Design

For the aesthetic component of All-on-4 treatment, smile design software allows Dr. Cohan to digitally design the shape, proportion, shade, and arrangement of your prosthetic teeth based on your facial features and personal preferences. You preview the projected result before the final prosthesis is fabricated, ensuring the teeth look naturally yours rather than generically artificial.

Dual-Screen Exam Rooms

Every treatment room features dual monitors where Dr. Cohan displays your 3D CBCT surgical plan, showing you exactly where each implant will be placed and why, what the prosthetic arch will look like, and how the final result will restore your facial proportions. Understanding the plan before surgery begins builds confidence and reduces the anxiety that many All-on-4 patients feel about a procedure this significant.

The Implant Expert and the Team That Transforms Lives

Dr. Marianne Cohan brings a rare dual expertise to All-on-4 treatment: the surgical implant skill to place the four implants with precision, and the cosmetic artistry to design prosthetic teeth that look naturally beautiful rather than obviously artificial. Her DDS from the State University of New York at Buffalo came with dual honors: the Operative Dentistry Award (the restorative precision required for prosthesis design and fabrication) and the Periodontics Award (the bone and tissue expertise essential for implant surgery success). Her AAID membership reflects specialized training in implant placement, bone grafting, and implant prosthodontics. Her AACD Accreditation (fewer than 1% of dentists) ensures the visible teeth meet the highest cosmetic standards. She has been named Best Dentist in America through peer nomination and voted Best of Las Vegas 19 times across four categories including Best Cosmetic Dentist. She maintains additional memberships in the AAFE, ADA, Academy of Laser Dentistry, and Academy of General Dentistry. With more than 31 years of clinical experience and as the sole dentist at the practice, she personally manages every phase of your All-on-4 journey. You genuinely could not be in better hands.

All-on-4 treatment is one of the most emotionally significant procedures in all of dentistry. Patients who have been living with the daily embarrassment of missing teeth, the frustration of slipping dentures, and the pain of failing dentition arrive at Summerlin Dental Solutions feeling vulnerable and anxious about a major procedure. The team responds with extraordinary compassion and care. The front desk staff coordinate complex scheduling with warmth and patience. The surgical assistants prepare with meticulous attention to every detail. The treatment coordinators work through insurance and financing to make the investment manageable. And the entire team shares in the emotional moment when the patient sees their new smile for the first time. Hundreds of five-star patient reviews confirm that this is the friendliest, most genuinely caring dental team patients have ever encountered. For a procedure as life-changing as All-on-4, that human element matters as much as the clinical skill.

A Spa-Like Setting for Your Most Important Dental Procedure

All-on-4 is a significant surgical procedure, and the environment where it takes place shapes both the experience and the outcome. After a stunning renovation, Summerlin Dental Solutions features a gorgeous, modern interior with warm lighting, contemporary design, and an atmosphere patients consistently describe as spa-like rather than clinical. Every treatment chair is equipped with warm blankets, noise-canceling headphones, complimentary beverages, and a personal entertainment screen. For All-on-4 surgical appointments, three levels of sedation dentistry (nitrous oxide, oral sedation, and IV sedation) ensure you experience the surgery in complete comfort.

For All-on-4 patients specifically, the spa-like environment extends to the recovery phase as well. Post-surgical follow-up visits are conducted with the same warmth, amenities, and genuine concern for your comfort that characterized the surgery itself. The team checks on you throughout the healing process, answers every question with patience, and celebrates every milestone on the journey to your final prosthesis. When you receive your permanent All-on-4 teeth and see your complete, beautiful smile in the mirror for the first time, the experience feels not like the end of a medical procedure but like the beginning of a new chapter in your life.

A Full Smile on Just Four Implants

Call +1(702) 341-9160 to schedule your All-on-4 consultation.

Book Online     |     Virtual Consultation     |     Financing Options

851 S Rampart Blvd, Suite 230  |  Las Vegas, NV 89145  |  Near Tivoli Village & Boca Park

 

Schedule an appointment by calling +1(702) 341-9160 or contacting us online today.

Affordable Smiles for Every Budget

Insurance or Financing, We Have a Plan for You

With a variety of payment options—including insurance acceptance, flexible financing, and in-house payment plans—we ensure that your path to a beautiful smile is as easy and affordable as possible.

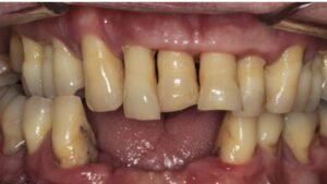
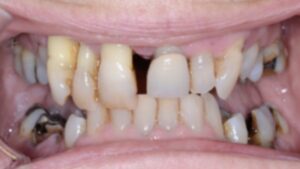
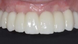
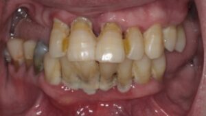
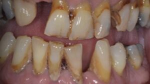
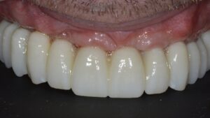
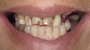
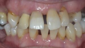
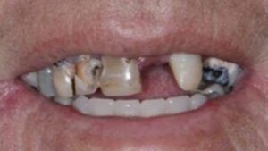
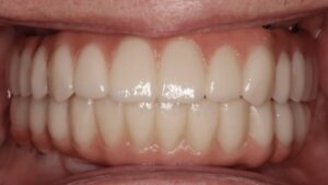
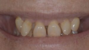
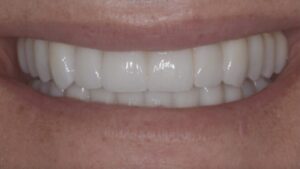
Real Patients, Real Results

Transformations You Can See, Confidence You Can Feel

See the stunning difference a healthy, beautiful smile can make. Explore our before-and-after gallery to witness the life-changing results of expert dental care.

All-on-4 dental implants consultation at Summerlin Dental Solutions

1

Full arch implant restoration results at Summerlin Dental Solutions

Patient 1

Before Advanced All-on-4 treatment planning in Summerlin Las Vegas

2

Full arch implant restoration results at Summerlin Dental Solutions

Patient 2

Before Advanced All-on-4 treatment planning in Summerlin Las Vegas

3

Full arch implant restoration results at Summerlin Dental Solutions

Patient 3

Before Advanced All-on-4 treatment planning in Summerlin Las Vegas

4

Full arch implant restoration results at Summerlin Dental Solutions

Patient 4

Before Advanced All-on-4 treatment planning in Summerlin Las Vegas

5

Full arch implant restoration results at Summerlin Dental Solutions

Patient 5

Before Advanced All-on-4 treatment planning in Summerlin Las Vegas

6

Full arch implant restoration results at Summerlin Dental Solutions

Patient 6

Before Advanced All-on-4 treatment planning in Summerlin Las Vegas

7

Full arch implant restoration results at Summerlin Dental Solutions

Patient 7

Before Advanced All-on-4 treatment planning in Summerlin Las Vegas

8

Full arch implant restoration results at Summerlin Dental Solutions

Patient 8

Potential Issues With All-on-Four Dental Implants

Like any surgical procedure, All-on-Four dental implants come with some potential risks. However, with Marianne Cohan, DDS, who has over 30 years of experience and is supported by a dedicated team, these risks can be minimized through careful planning and diligent execution. Our practice takes every possible precaution to reduce the likelihood of complications, employing state-of-the-art equipment and techniques that adhere to the highest standards of hygiene and safety. 

Here Are Some Common Concerns & How We Address Them.

Risk Of Infection

While the risk of infection is low, it’s still something we take seriously. After the procedure, you’ll receive detailed post-operative care instructions and, if needed, a course of antibiotics to further reduce the risk. We provide a sterile, precise surgical process aimed at preventing complications. This attention to detail ensures that your recovery is swift and trouble-free, enabling you to return to daily activities with minimal interruption. 

Patients can help themselves by maintaining excellent oral hygiene—regular brushing, flossing, and the use of antibacterial mouthwash to help eliminate the harmful bacteria that could lead to infection. Additionally, attending regular follow-up appointments helps monitor the healing process and address any concerns promptly.

Implant Failure

For a small percentage of patients, implants may not successfully integrate with the jawbone. This can happen for a variety of reasons, often without a clear cause. However, Dr. Cohan’s vast experience plays a vital role in dramatically lowering this risk. From assessing bone health with advanced imaging technologies to choosing the ideal implant placement, every step is taken to facilitate success. Our approach includes a comprehensive evaluation of each patient’s oral health history to customize treatment plans that maximize success.

If an implant does fail, most patients can try again with reasonable hopes for success. Following the post-procedure guidelines is also key to reducing the likelihood of failure. These include eating a soft diet, practicing diligent oral hygiene, and avoiding harmful habits like smoking, which can impede healing. Patients are encouraged to engage in a healthy lifestyle, ensuring adequate nutrition which supports the healing process and overall well-being.

Some caution is advised to protect the longevity of your implants. Avoid overly hard or sticky foods like popcorn kernels, peanut brittle, or ice cubes, as they could strain the prosthetics. That said, having the freedom to comfortably eat nutritious and wholesome foods not only supports your oral health but also contributes to a healthier overall lifestyle. Engaging in this mindful approach to eating helps to maintain the integrity of your dental work while promoting optimal health.

Experienced Dental Care in Las Vegas

Summerlin Dental Solutions has served the people of Las Vegas, Summerlin South, Spring Valley, and throughout the area since 2000. Over the years, Dr. Cohan has been voted the Best Dentist in America by her peers. She has been honored by The Las Vegas Review-Journal as the best in her field. A talented support staff surrounds her. That kind of reputation, experience, and commitment can help patients feel at ease. Our practice is dedicated to fostering a welcoming environment where personalized care and attention to detail are paramount. 

Call +1(702) 341-9160 today to schedule an appointment for your All-on-Four dental implants.

Let’s Start Your Smile Journey!

Contact Us Today

At Summerlin Dental Solutions, we’re always ready to take your calls! Give us a call or fill out the form below to contact one of our team members.
By submitting, you agree to receive text messages from Summerlin Dental Solutions at the number provided, including those related to your inquiry, follow-ups, and review requests, via automated technology. Consent is not a condition of purchase. Msg & data rates may apply. Msg frequency may vary. Reply STOP to cancel or HELP for assistance. Acceptable Use Policy
Health Grades