Easy, Fast, and Flexible Financing for Everyone - 0% Interest for 12 Months!

 Serving all neighborhoods: Summerlin, Rhodes Ranch, Queensridge, Sun City, Henderson, Spring Valley, Centennial Hills, Red Rock, The Summit, The Lakes, Centennial Hills and the rest of our Valley

 

6 Common Oral Diseases In People Under 40 That Can Be Prevented

oral disease treated at summerlin dental solutions

Do you think of diseases when you think about your oral health? What you put into your mouth travels down your digestive tract in the first stage, and the food you consume has an effect on the rest of your body and can cause disease. However, the way in which you care for your gums, teeth, and mouth in general will have an effect on a number of different aspects of your overall health.

There are several disorders that can affect the mouth, and some of these diseases might progress to more serious consequences. (Always keep in mind that early intervention is the most effective approach to increase the likelihood of treatment success. (Don’t forget about your own mouth!)

AND maybe the most pervasive misconception of all is the idea that only elderly people have major oral health issues. Untrue! Even if the likelihood of developing oral disorders rises with advancing age, that does not mean that younger people have no cause for concern.

There are six different oral diseases that might affect younger people.

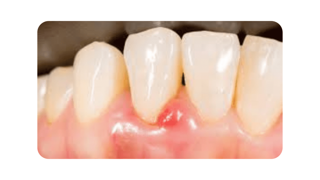
1. Gum disease

Diseases of the gums, often known as “periodontal” diseases, can take on a variety of forms and can lead to painful swelling as well as changes in the structure of the bite. According to studies, periodontal disease is not only common in individuals of advanced age; it also occurs frequently in young adults and adolescents.

2. Gingivitis

Inflammation of the gums is a symptom of gingivitis, which is a disorder that can affect anyone. This is a condition that manifests itself in both older adults and younger adults. In most cases, the condition is brought on by the accumulation of bacteria and plaque on a person’s teeth. This particular form of periodontal disease is referred to as “periodontal gingivitis.” Although it might not be as devastating, it can lead to more serious health concerns if left unchecked.

3. Dental sensitivity and the development of cavities

Decay of teeth can occasionally begin as early as childhood in some people. This can lead to various potential effects. If you have dental decay, your teeth may become more fragile as a result of the disease. This makes it more likely that you will crack or break a tooth, which is something you should want to avoid doing for as long as possible. When you have cavities in your teeth, sensitive teeth are almost a given to follow.

4. Endodontic treatment

When the crown of a tooth becomes loose or falls off, you may require a dental procedure known as a root canal, which is performed in the dentist’s office. It is a typical procedure that is frequently carried out on young individuals, and it is not a very beneficial one. It entails the removal of the tooth’s root, which helps to minimize sensitivity as well as pain. After that, a brand new crown is affixed on the very top.

5. TMJ disorder

The temporomandibular joint (TMJ) disorder is yet another ailment that can affect people of any age. This disorder affects the jaw, and as a result, a crackling sound can be heard in the jaw whenever the patient opens and closes their mouth. A great deal of people also report experiencing pain and stiffness.

6. Oral cancer

Oral cancer is a dreaded disease despite its high incidence rate. A dentist is trained to recognize the earliest warning signs of oral cancer and can devise an effective treatment strategy to stop the disease from progressing and spreading.

The function of your dental practitioner

People who seek out a dentist typically do so because they are experiencing discomfort in their oral cavity, most commonly in the form of a toothache. It is highly recommended that you get in touch with a dentist at this time; nevertheless, this should not be the only occasion on which you look for one. Everyone requires the services of a dentist that they visit on a consistent basis.

Early in one’s life, one should give some thought to initiating preventative dental care. Even in young children, the sooner in life routine dental examinations begin, the lower the likelihood of more serious oral diseases developing.

To get started, schedule an appointment with your dentist at least once every year (ideally twice). After that, make an appointment with your dentist to have a complete checkup done on your teeth, gums, and the tissue around them. When searching for a dentist in your area, you can also make an appointment for a dental cleaning. You can locate a local dentist who has a track record of success with the assistance of a website such as OpenCare.

Conclusion

The maintenance and improvement of one’s oral health should be a top priority for people of all ages. Regrettably, many younger people have the misconception that problems such as periodontal disease and cancer of the oral cavity exclusively affect older people. Despite this, a significant number of persons under the age of 40 suffer from these illnesses. Just keep in mind that you should be aware of the potential dangers and acknowledge the significance of seeing Dr. Cohan at Summerlin Dental Solutions as part of your plan for maintaining good dental hygiene.

 

Common Oral Diseases Under 40

Q1: What oral health problems are most common in younger adults?

The most common are cavities, gingivitis (early gum disease), wisdom tooth complications, enamel erosion from acidic diets, teeth grinding (bruxism), and oral infections like canker sores and cold sores. Most of these are preventable with good habits and regular checkups.

Q2: Can people in their 20s and 30s really get gum disease?

Yes. Gingivitis (the early, reversible stage of gum disease) is very common in younger adults, especially those who do not floss regularly. If caught early at Summerlin Dental Solutions, it is completely reversible with professional cleaning and improved home care.

Q3: Why are my teeth so sensitive if I am young and healthy?

Tooth sensitivity in younger adults is often caused by enamel erosion (from acidic foods, drinks, or acid reflux), aggressive brushing, teeth grinding, or early decay. Dr. Cohan can identify the specific cause and recommend targeted treatment.

Q4: Is enamel erosion really a problem for younger people?

Absolutely. Energy drinks, sports drinks, citrus juices, sparkling water, and frequent snacking on acidic foods are eroding enamel in younger adults at increasing rates. Once enamel is lost, it does not grow back. Prevention is critical.

Q5: How can I tell if I have an oral health problem that needs treatment?

Warning signs include persistent bad breath, bleeding gums, tooth sensitivity, pain when chewing, white or red patches in your mouth, a tooth that looks darker than its neighbors, or jaw pain. Any of these warrants an evaluation at our Las Vegas office.

Q6: Are oral diseases under 40 covered by dental insurance?

Yes. Diagnostic exams, X-rays, cleanings, fillings, and gum disease treatment are standard covered benefits under most dental insurance plans. Summerlin Dental Solutions verifies your coverage before treatment begins.

Q7: How do energy drinks and sports drinks affect my teeth?

They are highly acidic and often high in sugar, which is a double threat — the acid weakens enamel while the sugar feeds cavity-causing bacteria. If you consume these drinks, rinse with water afterward and wait 30 minutes before brushing (brushing acid-softened enamel can cause more damage).

Q8: Can stress affect my oral health?

Yes. Stress frequently leads to teeth grinding (bruxism), jaw clenching, canker sores, and neglected oral hygiene. Dr. Cohan can identify signs of stress-related dental damage and may recommend a custom nightguard to protect your teeth while you sleep.

Q9: What is the best way to prevent oral diseases in my 20s and 30s?

Brush twice daily with fluoride toothpaste, floss every day, limit acidic and sugary foods and drinks, avoid tobacco and vaping, and visit Summerlin Dental Solutions every six months. These habits prevent the vast majority of oral health problems in younger adults.

Q10: I have not been to the dentist in years — is it too late?

It is never too late, and you are not alone. Many patients at Summerlin Dental Solutions return to dental care after years of avoidance. Dr. Cohan and her team approach every patient with zero judgment and a clear plan for getting back on track. Sedation is available if anxiety is a concern.

CLICK HERE TO SCHEDULE YOUR APPOINTMENT!

GET TO KNOW YOUR BEST DENTIST IN SUMMERLIN

Dr. Marianne Cohan was voted The Best Dentist/ Dental Office and Best Cosmetic Dentist from The Las Vegas Review-Journal in 2020 and 2021. She received her Doctor of Dental Surgery (DDS) from the State University of New York at Buffalo in 1992.

With an emphasis on cosmetic dentistry, complete makeovers, and implant dentistry, Dr. Cohan is committed to continuing education and feels that we never stop learning. Dr. Cohan takes pride in using high-powered magnification to perform minimally invasive restorative dentistry. She uses all the latest technological advances including digital radiography, digital photography, computer simulations, and high-resolution pictures of your proposed treatment on 55-inch screens. She also utilizes CBCT (cone beam) and laser technology.

Dr. Cohan is always available to her patients and is available for any dental emergency.

CLICK HERE TO SCHEDULE YOUR APPOINTMENT!

Health Grades