Easy, Fast, and Flexible Financing for Everyone - 0% Interest for 12 Months!

 Serving all neighborhoods: Summerlin, Rhodes Ranch, Queensridge, Sun City, Henderson, Spring Valley, Centennial Hills, Red Rock, The Summit, The Lakes, Centennial Hills and the rest of our Valley

 

Smile Makeovers in Las Vegas and Summerlin

Schedule a Free Virtual Consultation With Dr. Cohan Today!

or

$500 OFF

Invisalign Treatment

Get the straighter, more confident smile you’ve always wanted with Invisalign! For a limited time, enjoy $500 off your Invisalign treatment.

Offer valid for new Invisalign cases only. Cannot be combined with other discounts or insurance.

Smile Makeovers in Summerlin: Reinvent Your Smile

ARE SMILE MAKEOVERS FOR YOU?

What to expect and how to get your celebrity smile makeover.

Changing the appearance of one’s smile through one or more cosmetic dentistry procedures, such as dental veneers, composite bonding, tooth implants, and teeth whitening, is known as a smile makeover.

Some of the aspects that are taken into account include your face structure, skin tone, hair color, teeth (color, width, length, shape, and tooth display), gum tissue, and lips. Your skin tone and hair color are other influences. A smile makeover can be performed for a number of reasons, and each one is customized for the patient depending on their unique needs.

Call +1(702) 341-9160 or contact us online today to schedule an appointment and learn more about smile makeovers in Summerlin.

Which features of your teeth or smile do you like the most? What features do you dislike the most? The following are some examples of the features of your smile that your cosmetic dentist will go over with you and feel should be improved:

Varieties of Teeth: You can make your smile look better by whitening your teeth and replacing dental fillings made of silver or amalgam with composite restorations that look natural and match the shade of your teeth. Tooth color and shading are important factors that must be considered during the assessment and preparation for a range of procedures, including porcelain veneers, crowns, bridges, composite bonding, and dental implants.

Keep in mind that dark or discolored teeth may create the appearance that your mouth is older than it actually is when considering your tooth color. Having a well-shaped smile and white, bright teeth will give you a more youthful appearance. Your dentist carefully considers your face and hair color as well as the tone and color of your teeth before deciding on the shade for veneers and teeth whitening. Cosmetic dentists are educated to find the perfect compromise between whitening and brightening a patient’s smile while maintaining the patient’s natural tooth color.

Orthodontics or Invisalign can be used to straighten and align teeth that are crooked, overlapping, or have gaps between them as needed, and veneers can be used to enhance their appearance.

The absence of teeth: Replacing missing teeth is a crucial part of preserving oral health and facial esthetic since having one or more missing teeth can have a negative impact on the appearance of your smile, affect your bite, and increase your risk for dental decay. To replace one or more lost teeth, one may use dental implants, bridges, or partial dentures.

The search of equilibrium and harmony: Cosmetic bonding can be used to cover up uneven, chipped, or broken teeth; a gummy smile can be reshaped to help the smile look better overall; and veneers can be used to fill in spaces between teeth.

Increased Proportion in the Cheeks, Lips, and Smile: Two of the procedures that fall under the umbrella of smile makeovers are orthodontics and/or oral and maxillofacial surgery. These procedures can improve the appearance of a face that has aged or is out of proportion.

A cosmetic dentist will work closely with you to develop a treatment plan that is specifically designed to achieve the goals you have for your makeover. This therapy strategy could involve a number of aesthetically pleasing and functionally beneficial procedures. Teeth whitening, composite bonding, veneers, dental crowns, orthodontics (braces), oral maxillofacial surgery, and gummy smile reduction are some of these procedures.

Preview of Your Smile Makeover

Cosmetic dentists employ a variety of dental technologies to give you an accurate preview of the changes that will be made to your smile. For example, your cosmetic dentist may make a wax model facsimile of temporary teeth during your oral health evaluation for veneers and crowns in order to clearly express the requirements of the procedure to the dental lab technician. By doing this, you may be confident that your procedure will produce the greatest results possible. 

The following alternative methods are also available to you for getting a sneak peek of your new smile:

  • Software for dental imaging Imaging technologies offer a preview of your results prior to their completion. To communicate the specifics of your procedure to the dental lab technician and any other dental professionals involved in the creation of your treatment plan, your dentist may employ imaging technology. A digital image, however, cannot guarantee that it is a true representation of your appearance; it can only give you an idea of how your final results will appear.
  • A Comparison of Before and After Photos Look at before-and-after photos of patients who have had smile makeovers in the past to get an idea of the results you can expect to see. Looking at the before and after pictures may help give you a better indication of the kind of work your cosmetic dentist performs.

Digital Scans and Models

Summerlin Dental Solutions works with digital technologies which allows us to create models of your teeth and smile using digital scans of your teeth rather than taking conventional imprints of your teeth.

Cost of a Full Smile Makeover

Your dentist, your location, the extent of your customized treatment plan, the amount of dental insurance you have, the state of your oral health, and other factors will all affect how long your treatment will take and how much it will cost.

It’s likely that your procedure will cost more and take longer if your dentist finds any preexisting oral health issues before starting treatment. The total cost of treatment will still be more for you than it would be for someone with ideal oral health, even if your dental insurance carrier agrees to cover part of these restoration procedures.

If you take the required precautions and go to the dentist regularly, your smile will look wonderful and your crowns, veneers, and other restorations will last for many years. In fact, when properly maintained, resin-based restorations (like tooth-colored fillings) have the ability to last three to nine years or even longer. Porcelain restorations can last for at least ten years before needing to be updated.

Keeping Track of Your Results

Cosmetic dental procedures require constant, thorough attention to oral hygiene and may require continuous maintenance over time. For example, it’s important to regularly whiten your teeth if you want to maintain them looking their best. Porcelain veneers have a chance of chipping and, if they do, will need to be replaced. Permanent composite bonding has a potential of discoloring, which can require its replacement or augmentation. Dental crowns typically need to be changed between the ages of 10 and 15. It’s possible that modifications to your gummy smile will require additional effort in the future.

How long your smile makeover will endure depends on a number of factors, including your dentist’s choice of materials, the lab technician who works on your case, and your ceramist. You should choose your cosmetic dentist carefully and enquire about the many material options available to you if you want the best results.

A cosmetic dentist will first need to evaluate your dental health before developing a plan for your smile makeover in Summerlin. Your dentist will first do a careful evaluation of your teeth, gums, underlying support structure, and bite to determine whether or not you are a good candidate for a smile makeover (occlusion). Before proceeding to the next phase of your smile makeover, you must address any oral health issues that were discovered during your examination, such as gum disease or an improperly aligned bite (also known as malocclusion).

Affordable Smiles for Every Budget

Insurance or Financing, We Have a Plan for You

With a variety of payment options—including insurance acceptance, flexible financing, and in-house payment plans—we ensure that your path to a beautiful smile is as easy and affordable as possible.

Real Patients, Real Results

Transformations You Can See, Confidence You Can Feel

See the stunning difference a healthy, beautiful smile can make. Explore our before-and-after gallery to witness the life-changing results of expert dental care.

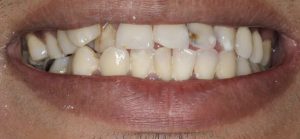
Smile makeover before at Summerlin Dental Solutions in Las Vegas

1

Patient 1

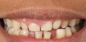
Smile makeover before at Summerlin Dental Solutions in Las Vegas

2

Smilemakeover-56-e1662165787835.2502170857472

Patient 2

3

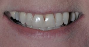
Smile makeover results at Summerlin Dental Solutions in Las Vegas

Patient 3

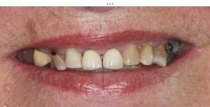
Smile makeover before at Summerlin Dental Solutions in Las Vegas

4

Smile makeover results at Summerlin Dental Solutions in Las Vegas

Patient 4

Smile makeover before at Summerlin Dental Solutions in Las Vegas

5

Smile makeover results at Summerlin Dental Solutions in Las Vegas

Patient 5

Smile makeover before at Summerlin Dental Solutions in Las Vegas

6

Smile makeover results at Summerlin Dental Solutions in Las Vegas

Patient 6

Smile makeover before at Summerlin Dental Solutions in Las Vegas

7

Smile makeover results at Summerlin Dental Solutions in Las Vegas

Patient 7

Smile makeover before at Summerlin Dental Solutions in Las Vegas

8

Smile makeover results at Summerlin Dental Solutions in Las Vegas

Patient 8

Aesthetically-Focused Smile Makeover Elements

Your cosmetic dentist will assess a number of other aspects of your teeth and smile with you in order to plan your makeover, in addition to the color, alignment, and balance of your teeth in the aesthetic zone of your smile, which is the section of your upper and lower teeth that are visible when you smile. These characteristics include the breadth of your upper and lower teeth, the length of your upper and lower front teeth, and the area of your upper and lower teeth that show when you smile. These are listed below:

Length of tooth: Longer teeth can give you a more youthful appearance. Teeth frequently become shorter as we age due to wear and tear. Additionally, a gummy smile might give the impression that teeth are shorter than they are. To contour and lengthen the two front central teeth, a treatment approach may include composite bonding or porcelain veneers. This can be done to make teeth that appear shorter look longer. Your cosmetic dentist may suggest laser dentistry procedures if you have a gummy smile as a treatment option to alter the gum line and provide the illusion of longer teeth. If you have a gummy smile, you can accomplish this. If crown lengthening is necessary, a periodontist may also be recommended to treat you.

The rest of your face may also change as a result of teeth lengthening. For instance, having long, square, and shapely teeth might make a person with a round face appear to have a slimmer face.

Smile Line: When a person smiles, an imaginary line should run from side to side along the upper teeth’s borders, ideally matching the slope of the lower lip. The smile arc is another name for the smile line. This point of comparison can be used to help you decide on the proper length for your new teeth.

Teeth’s proportions: Your cosmetic dentist will examine your teeth to determine whether they are the proper length in relation to one another. The two front teeth in the middle of the mouth, which are the most noticeable, should have a width-to-length ratio of four to five, according to the majority of people. This ratio guarantees that the smile line is symmetrical by serving as a guide for calculating the length and width of additional teeth in the aesthetic zone.

Texture and identification of teeth: Along with mimicking the appearance and feel of natural teeth or those you’ve seen in pictures, an aesthetic dentist can give your crowns or veneers a more feminine or masculine appearance. Along with emulating the appearance and texture of real teeth or those you’ve seen in pictures, this can be accomplished.

 

Maintaining Your Smile

You will be able to maintain your gorgeous new smile for many years to come if you know how to modify your oral hygiene practices in order to provide the best care for your restorations.

Extremely abrasive toothpastes and inappropriate brushing procedures can scrape the surface of restorations, reducing their luster and polish. Therefore, toothpastes with fluoride that are kinder on the teeth are advised. One example of a non-abrasive toothpaste is Rembrandt, which was initially created for patients who had cosmetic restorations. Brush your teeth twice, if not three times, per day for the optimum benefits.

Flossing makes it much simpler to remove food debris and plaque from the teeth, extending the lifespan of dental restorations and lowering the incidence of cavities. Everyone should floss, but people with veneers should floss more than anybody else since the veneers depend greatly on the condition of the gum tissue in their mouths.

It has been proven that using mouthwashes with alcohol have a negative effect on composite fillings. Additionally, mouthwashes that contain alcohol run the risk of weakening the bond between your crowns and veneers and your natural teeth over time. Instead, you ought to utilize alcohol-free mouthwashes.

Foods and Beverages to Limit or Stay Away From

You should limit your between-meal snacking and avoid sugar-rich foods if you want to avoid cavities. If you want to maintain your smile stain-free, cut back on the amount of coffee, soda, tea, and other drinks you consume.

It’s not a good idea to consume alcoholic beverages in excess. Drinking too much alcohol can damage your dental work.

Additional Steps:

  • Avoid biting or chewing on anything hard, including bottle caps, metal, staples, pencils, and other items.
  • If a night guard has been prescribed to you to stop teeth grinding, also known as bruxism, from harming your teeth and dental work, you should use it.
  • Given that composite bonding can cost between $250 and $1500 per tooth and that porcelain veneers can cost between $900 and $2,500 per tooth, it is in your best interest to follow the care instructions provided to you by your dentist and hygienist if you want your veneers to last as long as possible.

Although porcelain and composite cosmetic dental restorations have a ten to fifteen year lifespan, respectively, and are not indestructible, the longevity of your new smile depends just as much on how well you take care of it as it does on the expertise and artistry of your cosmetic dentist.

The procedures in replacing a cracked or broken veneer or crown are impression taking, shade matching, a temporary repair, and waiting for a permanent restoration. Additionally, it’s likely that the full cost of replacing the cracked dental crown or veneer will fall on your shoulders. Your dentist’s policies will determine this.

Frequently Asked Questions Regarding Smile Makeovers

Smile Makeovers in Summerlin and Las Vegas: 20 Frequently Asked Questions

Everything patients from The Summit, The Ridges, Queensridge, Henderson, Centennial Hills, Spring Valley, and all surrounding areas want to know about transforming their smile at Summerlin Dental Solutions, the practice voted Best of Las Vegas 19 times.

One Smile. Multiple Treatments. One Extraordinary Result.

A smile makeover is not a single procedure. It is a customized combination of cosmetic and restorative treatments designed to work together to transform your smile from something you hide into something you show off. Unlike choosing one treatment in isolation, a smile makeover considers the complete picture: the color, shape, proportion, alignment, and condition of every tooth, the health and contour of the gum line, the relationship between your smile and your facial features, and the long-term durability of every element in the plan. It is the most comprehensive and most rewarding outcome in cosmetic dentistry because it addresses everything at once, producing a result that is greater than the sum of its parts.

At Summerlin Dental Solutions, Dr. Marianne Cohan has been designing and delivering smile makeovers for more than 31 years. As an Accredited Member of the American Academy of Cosmetic Dentistry (fewer than 1% of dentists), a member of the American Academy of Facial Esthetics, and a 19-time Best of Las Vegas winner including Best Cosmetic Dentist, she brings the artistic vision, clinical expertise, and technological precision that a smile makeover demands. Combined with computerized smile design software that lets you preview your result before treatment begins, this is cosmetic dentistry at its highest level. Below are the 20 questions patients ask most.

20 Frequently Asked Questions About Smile Makeovers

Q1. What is a smile makeover?

A smile makeover is a comprehensive treatment plan that combines multiple cosmetic and restorative procedures to transform the overall appearance of your smile. Unlike a single treatment such as whitening or a single veneer, a smile makeover takes a holistic approach, addressing every element that affects how your smile looks and functions. The specific treatments included in a makeover vary based on each patient’s unique needs and may include porcelain veneers, professional teeth whitening, teeth contouring, dental bonding, dental crowns, dental implants, ClearCorrect aligners, laser gum recontouring, dental bridges, and anti-aging facial esthetics such as Botox and dermal fillers. Dr. Cohan designs each smile makeover as a unified plan where every treatment complements the others, producing a final result that looks natural, feels comfortable, and lasts for years.

Q2. What cosmetic concerns can a smile makeover address?

A smile makeover can address virtually any aesthetic concern you have about your smile. Common issues that patients bring to their makeover consultation include teeth that are stained, yellowed, or discolored beyond what whitening alone can correct, teeth that are chipped, cracked, worn down, or uneven in length, gaps or spacing between teeth, mild to moderate crowding or misalignment, a gummy smile where too much gum tissue is visible, teeth that are too small, too narrow, or disproportionate to the face, missing teeth that create visible gaps and cause surrounding teeth to shift, old dental work (silver fillings, discolored crowns, failing bonding) that is cosmetically unappealing, receding gums that make teeth appear too long, and an overall smile that simply does not match how you feel inside. The power of a smile makeover is that it addresses all of these concerns simultaneously in a coordinated plan rather than tackling them one at a time over years of separate treatments.

Q3. How much does a smile makeover cost in Las Vegas?

Smile makeover costs vary widely depending on the specific combination of treatments in your plan. A makeover involving professional whitening and teeth contouring may cost a few thousand dollars, while a comprehensive transformation involving multiple porcelain veneers, dental implants, laser gum recontouring, and anti-aging esthetics can range from $15,000 to $50,000 or more. At Summerlin Dental Solutions, Dr. Cohan provides a detailed, itemized cost estimate during your consultation so you understand exactly what each component costs and can make informed decisions about prioritization and phasing. Some components of your makeover may be partially covered by dental insurance (crowns, bridges, and implants often qualify as restorative rather than purely cosmetic). 0% interest financing through HFD is available with approval in under a minute and no credit impact, and the plan can be structured so you begin with the highest-impact components and add additional phases over time as your budget allows.

Q4. What happens during a smile makeover consultation at Summerlin Dental Solutions?

The smile makeover consultation is the most important appointment in the entire process because it is where your transformation is envisioned, designed, and planned. Dr. Cohan begins with a comprehensive examination evaluating every tooth, your gum health, your bite alignment, your jaw joint function, and the condition of any existing dental work. Digital X-rays with AI-assisted analysis identify any underlying issues (decay, fractures, bone loss, infections) that need to be addressed before cosmetic work begins. She takes detailed photographs and uses the TRIOS digital scanner to create a precise 3D model of your current smile. Then she sits down with you at the dual-screen monitors and uses computerized smile design software to create a digital preview of your projected result, adjusting shade, shape, proportion, and contour until the design reflects exactly what you want. You leave the consultation with a clear picture of your future smile, a detailed treatment plan, an itemized cost estimate, and a timeline for completion, all with zero obligation to proceed.

Q5. How long does a smile makeover take to complete?

The timeline depends on the complexity of the plan and the specific treatments involved. A makeover focused primarily on porcelain veneers and whitening can be completed in as little as two to four weeks. Makeovers that include ClearCorrect aligners for tooth alignment add 6 to 18 months for the orthodontic phase before the cosmetic finishing work begins. Plans involving dental implants require healing time between placement and restoration, typically three to six months per implant stage. Comprehensive makeovers that combine multiple treatment types are often completed over 3 to 12 months, with Dr. Cohan sequencing the treatments so each phase builds on the previous one and the final result comes together as a unified whole. She discusses the projected timeline during your consultation and coordinates the schedule around important events or milestones if you have a specific deadline in mind.

Q6. Can I see what my smile makeover will look like before I commit?

Yes, and this preview is one of the most exciting parts of the process at Summerlin Dental Solutions. Dr. Cohan uses computerized smile design software to create a digital rendering of your projected result during the consultation. The software maps your facial proportions, lip line, and smile zone, then composites the proposed design onto your photograph so you see a realistic representation of your new smile in the context of your actual face. You can request changes to the shape, size, shade, and proportion of individual teeth until the design matches your vision. For veneer-based makeovers, the temporary veneers placed during the preparation phase provide an additional real-world preview of the shape and contour before the final restorations are bonded. This two-stage preview process (digital design plus temporary try-in) ensures the final result meets or exceeds your expectations with no surprises.

Q7. What is the difference between a smile makeover and getting veneers?

Veneers are one component that is often included in a smile makeover, but they are not the same thing. Getting porcelain veneers is a single-treatment approach that places thin porcelain shells on the front surfaces of your teeth to change their color, shape, and proportion. A smile makeover is a comprehensive plan that may include veneers alongside other treatments such as whitening for the remaining natural teeth, crowns for more damaged teeth, implants for missing teeth, Clear Aligners for alignment correction, laser gum recontouring for the gum frame, teeth contouring for minor shaping, and anti-aging treatments for the surrounding facial area. A smile makeover addresses the complete picture, while veneers address one aspect of it. Many smile makeovers at Summerlin Dental Solutions include veneers as a key component, but the plan is always broader and more comprehensive.

Q8. Am I a good candidate for a smile makeover?

If there is something about your smile that makes you self-conscious, affects your confidence, or prevents you from smiling freely, you are likely a candidate for a smile makeover. The best candidates are patients who have specific aesthetic goals they want to achieve, are in reasonably good overall oral health (or are willing to address health issues before cosmetic work begins), understand that a makeover is a process that may involve multiple treatments over weeks or months, and are prepared to invest in a result that will transform their daily confidence for years to come. There is no minimum number of issues required. Some patients come in wanting to address a single concern and discover during the consultation that a coordinated approach involving two or three treatments produces a dramatically better outcome than the single treatment they originally planned. Dr. Cohan evaluates every patient individually, and if cosmetic work is not appropriate until gum disease is treated or a deep cleaning is completed, she will outline the steps needed to build the healthy foundation that cosmetic work requires.

Q9. Can a smile makeover be done in phases to fit my budget?

Absolutely, and phased treatment is one of the most popular approaches at Summerlin Dental Solutions. Dr. Cohan designs every smile makeover with a master plan that shows the complete vision, but the plan can be implemented in stages over months or even years, starting with the treatments that make the biggest visual impact and adding subsequent phases as your budget allows. For example, a patient might begin with professional whitening and teeth contouring (the most affordable components that produce immediate visible improvement), then add porcelain veneers on the most visible front teeth in the next phase, followed by implant replacement of missing back teeth in a later phase, and conclude with laser gum recontouring to perfect the frame. Each phase builds on the previous one and moves the smile closer to the master design. 0% interest financing through HFD makes each phase more manageable, and the phased approach means you start seeing results immediately rather than waiting until you can afford the entire plan at once.

Q10. How does a smile makeover differ from full-mouth reconstruction?

A smile makeover is driven primarily by aesthetics: the goal is to make the smile look beautiful. A full-mouth reconstruction is driven by function: the goal is to rebuild teeth that are severely damaged, worn, or missing so the patient can bite, chew, and speak properly. In practice, the two often overlap because a patient who needs functional reconstruction also wants the result to look natural and attractive, and a patient pursuing a cosmetic makeover may have underlying functional issues that need to be addressed as part of the plan. Dr. Cohan approaches complex cases from both perspectives simultaneously, designing a plan that restores both beauty and function in a single, unified treatment. Her dual AACD Accreditation (cosmetic excellence) and Operative Dentistry Award (restorative excellence) uniquely qualify her for cases where the line between makeover and reconstruction is blurred.

Q11. What role does gum recontouring play in a smile makeover?

The gum line is the frame around your teeth, and like any frame, it has a dramatic impact on how the picture looks. Uneven gum contours, a gummy smile where too much tissue is visible, or recession that makes teeth appear too long can undermine even the most beautiful dental restorations. Laser gum recontouring is a minimally invasive procedure where Dr. Cohan uses our soft tissue laser to reshape the gum line, creating a balanced, symmetrical frame that complements the proportions of the teeth. The laser produces less bleeding, no sutures, and faster healing than traditional gum surgery. For many smile makeover patients, gum recontouring is the finishing touch that elevates the result from great to extraordinary. Dr. Cohan evaluates the gum line as part of every makeover consultation using the computerized smile design software, and she includes recontouring in the plan whenever it will meaningfully improve the overall aesthetic.

Q12. How does Dr. Cohan design a smile makeover that looks natural?

Designing a natural-looking smile makeover requires mastery of the same aesthetic principles that artists and architects use: proportion, symmetry, balance, and harmony. Dr. Cohan’s AACD Accreditation required her to demonstrate this mastery through a rigorous peer-review process where the top cosmetic dentists in the profession evaluated her cases for natural appearance, proportion, shade accuracy, and functional integration. In practice, she designs every makeover by analyzing the patient’s facial features (the golden proportion between facial thirds, the interpupillary line, the midline alignment), the smile dynamics (how much tooth shows at rest, during speech, and during a full smile), the lip position and curvature, the natural shade gradient that exists in healthy teeth, and the surface texture and translucency that make porcelain look like real enamel rather than plastic. The computerized smile design software allows her to apply these principles digitally before any preparation begins, and the dual-screen exam rooms let you see and approve every design decision in real time.

Q13. What technology does Summerlin Dental Solutions use for smile makeovers?

Smile makeovers are the most technology-intensive procedures in cosmetic dentistry, and Summerlin Dental Solutions has invested in every meaningful advancement to deliver the best possible results. Computerized smile design software creates a digital preview of your makeover result before treatment begins, enabling collaborative design decisions between you and Dr. Cohan. The TRIOS digital scanner captures precise 3D impressions without messy putty trays, ensuring restorations fit perfectly. Our AI-assisted radiological analysis identifies any underlying issues that must be addressed before cosmetic work begins. The 3D CBCT scanner provides comprehensive views of bone, roots, and jaw anatomy for implant planning and complex cases. Our soft tissue laser performs gum recontouring with less bleeding, no sutures, and faster healing. Digital X-rays deliver instant imaging at up to 90% less radiation. Digital shade-matching technology ensures every restoration blends invisibly with your natural teeth. And dual-screen exam rooms display your design, images, and treatment plan in real time so you are an informed partner in every decision.

Q14. What are Dr. Cohan’s qualifications for smile makeover dentistry?

Dr. Marianne Cohan is one of the most qualified smile makeover dentists in the Las Vegas Valley. She earned her Doctor of Dental Surgery degree from the State University of New York at Buffalo with dual honors: the Operative Dentistry Award (recognizing excellence in restorative procedures, the clinical foundation of any makeover) and the Periodontics Award (recognizing expertise in the gum and tissue health that frames every smile). Her AACD Accreditation, held by fewer than 1% of dentists in the United States, required her to submit an extensive portfolio of cosmetic cases, including smile makeovers, for peer review by the top cosmetic dentists in the profession. Her membership in the American Academy of Facial Esthetics (AAFE) adds injectable Botox and filler capability for patients who want facial rejuvenation as part of their makeover. Her AAID membership supports the implant component of makeovers involving missing teeth. She has been named Best Dentist in America through peer nomination and voted Best of Las Vegas 19 times across four categories including Best Cosmetic Dentist. With more than 31 years of experience and hundreds of completed smile makeovers, you genuinely could not be in better hands.

Q15. Can I get sedation during my smile makeover appointments?

Yes. A smile makeover involves multiple appointments that may include preparation work, impression taking, bonding sessions, and other procedures. Summerlin Dental Solutions offers three levels of sedation dentistry to ensure complete comfort throughout the makeover process. Nitrous oxide (laughing gas) provides gentle relaxation for routine appointments. Oral sedation delivers deeper calm for longer or more involved sessions. IV sedation offers the deepest level of comfort for patients who want to feel as though they slept through the most intensive appointments. Sedation is also valuable for patients who want to complete more work per visit, because a relaxed, comfortable patient can sit for longer procedures without fatigue. Combined with our spa-like comfort amenities including warm blankets, noise-canceling headphones, complimentary beverages, and personal entertainment screens at every chair, the makeover experience is designed to be comfortable, enjoyable, and something you look forward to rather than endure.

Q16. How long will my smile makeover results last?

The longevity of your makeover depends on the specific treatments included. Porcelain veneers typically last 15 to 20 years. Dental crowns last 10 to 15 years or longer. Dental implants can last a lifetime with proper care. Professional whitening maintains its brightness for 6 to 12 months before touch-up is recommended. Laser gum recontouring results are permanent as long as the underlying cause of any recession or excess growth is addressed. The key to maximizing the longevity of your entire makeover is consistent preventive care at Summerlin Dental Solutions every six months, good daily oral hygiene, and wearing a custom night guard if you grind or clench your teeth. Dr. Cohan monitors every component of your makeover at each check-up visit, catching early signs of wear or stress before they become problems. With proper care, the investment you make in a smile makeover will reward you with confidence, beauty, and function for many years to come.

Q17. Where is the best smile makeover dentist near The Summit, The Ridges, and Queensridge?

Summerlin Dental Solutions is located at 851 S Rampart Blvd, Suite 230, Las Vegas, NV 89145, centrally positioned in the heart of Summerlin between Tivoli Village and Boca Park. Queensridge residents are just 5 to 10 minutes from our office. The Summit residents reach us in approximately 10 to 12 minutes via Town Center Drive and Rampart Boulevard. The Ridges residents connect via Rampart or the 215 Beltway in a similarly short drive. All three communities include residents who understand the value of investing in the best, and Dr. Cohan’s AACD Accreditation, computerized smile design technology, and 19 Best of Las Vegas wins including Best Cosmetic Dentist represent the highest standard of smile makeover expertise available in the Summerlin area. Call +1(702) 341-9160 to schedule your makeover consultation.

Q18. Can patients from Henderson get a smile makeover at Summerlin Dental Solutions?

Yes. Henderson, Green Valley, and Anthem patients reach our Summerlin office in approximately 25 to 30 minutes via the 215 Beltway. Henderson patients choose Summerlin Dental Solutions for smile makeovers because AACD-accredited cosmetic artistry combined with AI-assisted diagnostics, digital smile previews, and comprehensive on-site treatment capabilities (veneers, implants, aligners, crowns, bridges, laser gum recontouring, and facial esthetics all under one roof) delivers a coordinated result that practices splitting care across multiple specialists simply cannot achieve. Many Henderson makeover patients tell us they researched cosmetic dentists throughout the valley before concluding that Dr. Cohan’s credentials, technology, and patient reviews made the drive the clear choice for a transformation this significant.

Q19. Is there a smile makeover dentist near Centennial Hills and Spring Valley?

Yes. Summerlin Dental Solutions serves smile makeover patients from throughout the Las Vegas Valley including Centennial Hills, North Las Vegas, Spring Valley, and all surrounding areas. Centennial Hills residents travel south on the 215 or US-95 in approximately 20 to 25 minutes, while Spring Valley patients are just 10 to 15 minutes south along the 215 Beltway. Both communities include patients who discovered Summerlin Dental Solutions through the striking smile transformations of friends, family members, and coworkers and who chose this practice for their own makeover because the results they saw in person were more convincing than any advertisement could ever be. For a transformation that you will wear on your face every day for the next 15 to 20 years, patients from these communities tell us the short drive to an AACD-accredited practice is the wisest decision they have made.

Q20. How do I schedule a smile makeover consultation at Summerlin Dental Solutions?

Call +1(702) 341-9160 and let our team know you are interested in a smile makeover. You can also book online through our website or begin with a virtual consultation from the comfort of your home, which is a great first step if you want to share photos of your smile and discuss your goals before visiting the office. New patients can complete patient forms online before arriving to save time. Your consultation includes a comprehensive examination with Dr. Cohan, digital X-rays with AI-assisted analysis, a TRIOS 3D scan of your smile, a computerized smile design session with a digital preview of your projected result, a detailed discussion of treatment options and phasing, and an itemized cost estimate with insurance verification and financing options. We are located at 851 S Rampart Blvd, Suite 230, in the heart of Summerlin near Tivoli Village and Boca Park. We proudly serve patients from The Summit, The Ridges, Queensridge, Henderson, Centennial Hills, Spring Valley, and all surrounding communities. You could not be in better hands at Summerlin Dental Solutions.

Communities We Serve for Smile Makeovers and Cosmetic Transformations

Summerlin Dental Solutions is centrally located at 851 S Rampart Blvd, Suite 230, in the heart of Summerlin between Tivoli Village, Boca Park, and Downtown Summerlin. Our AACD-accredited smile makeover practice serves patients from six communities and all surrounding areas throughout the Las Vegas Valley.

The Summit

One of Summerlin’s most prestigious guard-gated communities, The Summit is approximately 10 to 12 minutes from our office. Summit residents who invest in smile makeovers expect the highest level of cosmetic artistry, and Dr. Cohan’s AACD Accreditation, computerized smile design, and partnership with premier ceramics labs deliver results that match the standard of excellence The Summit residents demand in every aspect of their lives.

The Ridges

Nestled against Red Rock Canyon, The Ridges is a short drive from our office via Rampart Boulevard or the 215 Beltway. Ridges families value Dr. Cohan’s sole-practitioner model for multi-treatment makeovers, where the same artistic vision guides every component of the plan from the first veneer to the last adjustment. No handoffs between associates, no inconsistencies in design philosophy, just one artist executing a unified vision.

Queensridge

Our closest neighboring community at just 5 to 10 minutes from our office. Queensridge residents appreciate the convenience of having an AACD-accredited makeover practice minutes from home, especially during the multi-appointment process where easy access simplifies scheduling and makes every visit effortless. Many Queensridge patients have maintained their makeover results through years of preventive care at our practice.

Henderson

Henderson, Green Valley, and Anthem patients reach our Summerlin office in approximately 25 to 30 minutes via the 215 Beltway. Henderson patients choose Summerlin Dental Solutions for smile makeovers because the ability to execute the complete plan (veneers, implants, aligners, crowns, laser gum recontouring, and facial esthetics) under one roof with one doctor ensures a coordinated result that multi-provider approaches cannot match.

Centennial Hills

North Las Vegas and Centennial Hills residents travel south on the 215 or US-95 in approximately 20 to 25 minutes. This growing community includes patients who saw the smile transformations of friends and coworkers and chose Summerlin Dental Solutions for their own makeover because real-world results are the most convincing recommendation any practice can offer.

Spring Valley

Located just south of Summerlin along the 215 Beltway, Spring Valley patients reach our office in 10 to 15 minutes. As one of our largest patient communities, Spring Valley residents include many smile makeover patients whose transformations have generated their own referral networks. When someone asks ‘Where did you get your smile done?’ the answer is consistently Summerlin Dental Solutions.

Advanced Technology for Precision Smile Makeover Results

A smile makeover is the most complex and most technology-dependent procedure in cosmetic dentistry. Every piece of advanced technology at Summerlin Dental Solutions contributes to making your makeover more precise, more predictable, and more beautiful.

Computerized Smile Design

The foundation of every smile makeover at Summerlin Dental Solutions. This software allows Dr. Cohan to digitally design your new smile based on your facial proportions, lip dynamics, and personal preferences, then show you a realistic preview before any treatment begins. The collaborative design process ensures the final result matches your vision and eliminates the fear of the unknown that prevents many patients from committing to a makeover.

TRIOS Digital Scanner

Captures precise 3D digital impressions for every restoration in your makeover plan (veneers, crowns, bridges, aligners, night guards) without messy putty trays. The accuracy of the TRIOS scan translates to better-fitting restorations, fewer adjustments, and a more seamless final result where every piece fits together as designed.

AI-Assisted Radiology

Before any cosmetic work begins, the AI system reviews your diagnostic images to identify hidden decay, fractures, infections, and bone loss that could compromise makeover results. Building cosmetic treatments on an unhealthy foundation leads to premature failure, so the AI provides an essential diagnostic safety net that protects your investment.

3D CBCT Scanner

For makeover plans that include dental implants, complex restorations, or gum surgery, the CBCT scanner provides three-dimensional views of bone structure, tooth roots, and jaw anatomy that are essential for precise surgical and restorative planning.

Soft Tissue Laser

Enables minimally invasive gum recontouring that reshapes the gum frame around your teeth with less bleeding, no sutures, and faster healing than traditional methods. For makeover patients, the laser creates the balanced, symmetrical gum contour that makes the difference between good and extraordinary.

Digital Shade Matching

Computerized shade analysis selects the exact porcelain shade that will blend seamlessly with any remaining natural teeth and produce the brightness level you want for your new smile. For full-arch makeovers, the shade is designed to complement your skin tone, eye color, and hair color for the most natural, flattering result.

Dual-Screen Exam Rooms

Every treatment room features dual monitors that display your smile design preview, X-rays, and treatment plan in real time. For makeover patients, the dual screens are where the transformation comes to life digitally, where you see the evidence behind every recommendation, and where you become a true partner in the design of your new smile.

The Cosmetic Artist and the Team That Makes Transformations Happen

Dr. Marianne Cohan has been designing and delivering smile makeovers for more than 31 years, and the transformations she has produced are visible on the faces of patients across the Las Vegas Valley every single day. She earned her DDS from the State University of New York at Buffalo with dual honors: the Operative Dentistry Award (the clinical precision that makes restorations last) and the Periodontics Award (the tissue expertise that ensures a healthy foundation and a beautiful gum frame). Her AACD Accreditation, held by fewer than 1% of dentists, confirms that her cosmetic work has been peer-reviewed and validated by the most accomplished cosmetic dentists in the profession. Her AAFE membership provides Botox and dermal filler capability for makeovers that include facial rejuvenation. Her AAID membership supports the implant components of comprehensive plans. She has been named Best Dentist in America through peer nomination and voted Best of Las Vegas 19 times across four categories including Best Cosmetic Dentist. As the sole dentist at the practice, she is the single artistic and clinical vision behind every smile makeover from initial design through final reveal. You genuinely could not be in better hands.

A smile makeover is one of the most emotional experiences a dental patient can have, and the team at Summerlin Dental Solutions treats every case with the significance it deserves. From the consultation where you share years of self-consciousness about your smile, to the bonding appointment where you see your transformation in the mirror for the first time, the team is with you at every step with warmth, encouragement, and genuine excitement for your result. The treatment coordinators make insurance and financing straightforward and stress-free. The assistants prepare every appointment with precision and care. And hundreds of five-star patient reviews confirm that this is the friendliest, most genuinely caring dental team patients have ever encountered. Tears at the final reveal are common at Summerlin Dental Solutions, and the team shares in every single one.

A Spa-Like Setting Worthy of Your Transformation

A smile makeover is a journey that unfolds over multiple appointments, and the environment where that journey takes place shapes the entire experience. After a stunning renovation, Summerlin Dental Solutions features a gorgeous, modern interior with warm lighting, contemporary design, and an atmosphere patients consistently describe as spa-like. Every treatment chair is equipped with warm blankets, noise-canceling headphones, complimentary beverages, and a personal entertainment screen. For longer makeover appointments, these amenities transform what could feel like an endurance test into something genuinely relaxing. For patients who need additional comfort, three levels of sedation dentistry (nitrous oxide, oral sedation, and IV sedation) ensure complete comfort at every stage of the makeover process. The result is a transformation experience that feels luxurious from start to finish, perfectly matching the extraordinary result that awaits you at the end.

See Your New Smile Before You Commit

Call +1(702) 341-9160 to schedule your smile makeover consultation.

Book Online     |     Virtual Consultation     |     Financing Options

851 S Rampart Blvd, Suite 230  |  Las Vegas, NV 89145  |  Near Tivoli Village & Boca Park

Smile Makeovers in Summerlin, Nevada

Are you ready for your smile makeover? At Summerlin Dental Solutions in Summerlin, Nevada, Dr. Marianne Cohan is the cosmetic dentist near you that can turn your smile into the smile of your dreams. Give us a call today to schedule your consultation.

GET TO KNOW YOUR BEST DENTIST IN SUMMERLIN

Dr. Marianne Cohan was voted The Best Dentist/ Dental Office and Best Cosmetic Dentist from The Las Vegas Review-Journal in 2020 and 2021. She received her Doctor of Dental Surgery (DDS) from the State University of New York at Buffalo in 1992.

With an emphasis on cosmetic dentistry, complete makeovers, and implant dentistry, Dr. Cohan is committed to continuing education and feels that we never stop learning.  Dr. Cohan takes pride in using high-powered magnification to perform minimally invasive restorative dentistry. She uses all the latest technological advances including digital radiography, digital photography, computer simulations, and high-resolution pictures of your proposed treatment on 55-inch screens.  She also utilizes CBCT (cone beam) and laser technology.

Dr. Cohan is always available to her patients and is available for any dental emergency. Call today at +1(702) 341-9160!

Let’s Start Your Smile Journey!

Contact Us Today

At Summerlin Dental Solutions, we’re always ready to take your calls! Give us a call or fill out the form below to contact one of our team members.
By submitting, you agree to receive text messages from Summerlin Dental Solutions at the number provided, including those related to your inquiry, follow-ups, and review requests, via automated technology. Consent is not a condition of purchase. Msg & data rates may apply. Msg frequency may vary. Reply STOP to cancel or HELP for assistance. Acceptable Use Policy
Health Grades